JavaScript is disabled in your browser. Please enable JavaScript to view this website.
AB239869

Anti-Cytokeratin 5 antibody [EPR1600Y] - BSA and Azide free

Be the first to review this product! Submit a review

|

(1 Publication)

Rabbit Recombinant Monoclonal Cytokeratin 5 antibody. Carrier free. Suitable for IHC-P, WB, ICC/IF, Flow Cyt (Intra) and reacts with Human samples. Cited in 1 publication.

View Alternative Names

58 kDa cytokeratin, Cytokeratin-5, Keratin-5, Type-II keratin Kb5, CK-5, K5, KRT5

9 Images
Immunohistochemistry (Formalin/PFA-fixed paraffin-embedded sections) - Anti-Cytokeratin 5 antibody [EPR1600Y] - BSA and Azide free (AB239869)
  • IHC-P

Unknown

Immunohistochemistry (Formalin/PFA-fixed paraffin-embedded sections) - Anti-Cytokeratin 5 antibody [EPR1600Y] - BSA and Azide free (AB239869)

Fluorescent immunohistochemical analysis of paraffin-embedded human cervical carcinoma using unpurified ab75869. Green-CK5 red-PI.

This data was developed using the same antibody clone in a different buffer formulation containing PBS, BSA, glycerol, and sodium azide (ab75869).

Perform heat mediated antigen retrieval before commencing with IHC staining protocol.

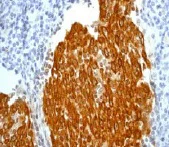
Immunohistochemistry (Formalin/PFA-fixed paraffin-embedded sections) - Anti-Cytokeratin 5 antibody [EPR1600Y] - BSA and Azide free (AB239869)
  • IHC-P

Unknown

Immunohistochemistry (Formalin/PFA-fixed paraffin-embedded sections) - Anti-Cytokeratin 5 antibody [EPR1600Y] - BSA and Azide free (AB239869)

Unpurified ab75869 at 1/100 dilution staining Cytokeratin 5 in human squamous cervical carcinoma by Immunohistochemistry, Paraffin-embedded tissue.

This data was developed using the same antibody clone in a different buffer formulation containing PBS, BSA, glycerol, and sodium azide (ab75869).

Perform heat mediated antigen retrieval before commencing with IHC staining protocol.

Flow Cytometry (Intracellular) - Anti-Cytokeratin 5 antibody [EPR1600Y] - BSA and Azide free (AB239869)
  • Flow Cyt (Intra)

Unknown

Flow Cytometry (Intracellular) - Anti-Cytokeratin 5 antibody [EPR1600Y] - BSA and Azide free (AB239869)

Intracellular Flow Cytometry analysis of A431 (human epidermoid carcinoma) cells labeling Cytokeratin 5 with purified ab75869 at 1/20 dilution (10ug/ml) (red). Cells were fixed with 4% paraformaldehyde and permeabilised with 90% methanol. A Goat anti rabbit IgG (Alexa Fluor® 488) (1/2000 dilution) was used as the secondary antibody. Rabbit monoclonal IgG (Black) was used as the isotype control, cells without incubation with primary antibody and secondary antibody (Blue) was used as the unlabeled control.

This data was developed using the same antibody clone in a different buffer formulation containing PBS, BSA, glycerol, and sodium azide (ab75869).

Immunohistochemistry (Formalin/PFA-fixed paraffin-embedded sections) - Anti-Cytokeratin 5 antibody [EPR1600Y] - BSA and Azide free (AB239869)
  • IHC-P

Unknown

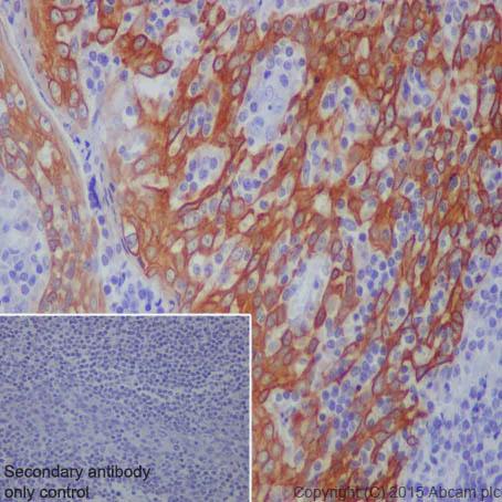
Immunohistochemistry (Formalin/PFA-fixed paraffin-embedded sections) - Anti-Cytokeratin 5 antibody [EPR1600Y] - BSA and Azide free (AB239869)

Immunohistochemical analysis of paraffin embedded human tonsil tissue section labelling Cytokeratin 5 with purified ab75869 at dilution of 1/1000. The secondary antibody used was HRP-conjugated Goat Anti-Rabbit IgG H&L (ab97051) at dilution of 1/500. The sample was counter-stained with hematoxylin. Antigen retrieval was perfomed using Tris-EDTA buffer, pH 9.0. PBS was used instead of the primary antibody as the negative control and is shown in the inset.

This data was developed using the same antibody clone in a different buffer formulation containing PBS, BSA, glycerol, and sodium azide (ab75869).

Immunohistochemistry (Formalin/PFA-fixed paraffin-embedded sections) - Anti-Cytokeratin 5 antibody [EPR1600Y] - BSA and Azide free (AB239869)
  • IHC-P

Unknown

Immunohistochemistry (Formalin/PFA-fixed paraffin-embedded sections) - Anti-Cytokeratin 5 antibody [EPR1600Y] - BSA and Azide free (AB239869)

Fluorescent immunohistochemical analysis of paraffin-embedded human cervical carcinoma tissue using unpurified ab75869. Green-CK5 red-PI

This data was developed using the same antibody clone in a different buffer formulation containing PBS, BSA, glycerol, and sodium azide (ab75869).

Perform heat mediated antigen retrieval before commencing with IHC staining protocol.

Immunocytochemistry/ Immunofluorescence - Anti-Cytokeratin 5 antibody [EPR1600Y] - BSA and Azide free (AB239869)
  • ICC/IF

Unknown

Immunocytochemistry/ Immunofluorescence - Anti-Cytokeratin 5 antibody [EPR1600Y] - BSA and Azide free (AB239869)

Immunocytochemistry/Immunofluorescence analysis of A431 (human epidermoid carcinoma) cells labelling Cytokeratin 5 with purified ab75869 at 1/100. Cells were fixed with 4% Paraformaldehyde and permeabilized with 0.1% Triton X-100. ab150077, Alexa Fluor® 488-conjugated goat anti-rabbit IgG (1/1000) was used as the secondary antibody. The cells were co-stained with ab7291, a mouse anti-tubulin antibody (1/1000) using ab150120, an Alexa Fluor® 594-conjugated goat anti-mouse IgG (1/1000) as the secondary. Nuclei couterstained with DAPI (blue).

For negative control 1, rabbit primary antibody was used, followed by anti-mouse secondary antibody (ab150120). For negative control 2, mouse primary antibody (ab7291) was used followed by anti-rabbit secondary antibody (ab150077).

This data was developed using the same antibody clone in a different buffer formulation containing PBS, BSA, glycerol, and sodium azide (ab75869).

Immunohistochemistry (Formalin/PFA-fixed paraffin-embedded sections) - Anti-Cytokeratin 5 antibody [EPR1600Y] - BSA and Azide free (AB239869)
  • IHC-P

Lab

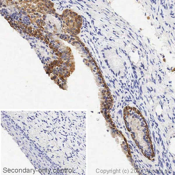
Immunohistochemistry (Formalin/PFA-fixed paraffin-embedded sections) - Anti-Cytokeratin 5 antibody [EPR1600Y] - BSA and Azide free (AB239869)

This data was developed using the same antibody clone in a different buffer formulation containing PBS, BSA, glycerol, and sodium azide (ab75869). IHC image of Cytokeratin 5 staining in a section of formalin-fixed paraffin-embedded normal human cervix* performed on a Leica Biosystems BOND® RX instrument. The section was pre-treated using heat mediated antigen retrieval with sodium citrate buffer (pH6, epitope retrieval solution 1) for 20mins. The section was then incubated with ab78569, 0.1ug/ml, for 15 mins at room temperature and detected using an HRP conjugated compact polymer system. DAB was used as the chromogen. The section was then counterstained with haematoxylin and mounted with DPX. The inset secondary-only control image is taken from an identical assay without primary antibody. For other IHC staining systems (automated and non-automated) customers should optimize variable parameters such as antigen retrieval conditions, primary antibody concentration and antibody incubation times. *Tissue obtained from the Human Research Tissue Bank, supported by the NIHR Cambridge Biomedical Research Centre

Western blot - Anti-Cytokeratin 5 antibody [EPR1600Y] - BSA and Azide free (AB239869)
  • WB

Lab

Western blot - Anti-Cytokeratin 5 antibody [EPR1600Y] - BSA and Azide free (AB239869)

Blocking buffer : 5% NFDM/TBST.

All lanes:

Western blot - Anti-Cytokeratin 5 antibody [EPR1600Y] (<a href='/en-us/products/primary-antibodies/cytokeratin-5-antibody-epr1600y-ab75869'>ab75869</a>) at 1/1000 dilution

Lane 1:

N-GST tagged full-length recombinant human Cytokeratin 6A Protein at 10 ng

Lane 2:

N-GST tagged full-length recombinant human Cytokeratin 5 protein at 10 ng

Secondary

All lanes:

Western blot - Goat Anti-Rabbit IgG H&L (HRP) (<a href='/en-us/products/secondary-antibodies/goat-rabbit-igg-h-l-hrp-ab97051'>ab97051</a>) at 1/20000 dilution

Observed band size: 87 kDa

false

Exposure time: 10s

OI-RD Scanning - Anti-Cytokeratin 5 antibody [EPR1600Y] - BSA and Azide free (AB239869)
  • OI-RD Scanning

Unknown

OI-RD Scanning - Anti-Cytokeratin 5 antibody [EPR1600Y] - BSA and Azide free (AB239869)

We have systematically measured KD (the equilibrium dissociation constant between the antibody and its antigen), of more than 840 recombinant antibodies to assess not only their individual KD values but also to see the average affinity of antibody. Based on the comparison with published literature values for mouse monoclonal antibodies, Recombinant antibodies appear to be on average 1-2 order of magnitude higher affinity.

  • Unconjugated

    Anti-Cytokeratin 5 antibody [EPR1600Y]

  • 775 Alexa Fluor® 750

    Alexa Fluor® 750 Anti-Cytokeratin 5 antibody [EPR1600Y]

  • 665 Alexa Fluor® 647

    Alexa Fluor® 647 Anti-Cytokeratin 5 antibody [EPR1600Y]

  • 519 Alexa Fluor® 488

    Alexa Fluor® 488 Anti-Cytokeratin 5 antibody [EPR1600Y]

  • 578 PE

    PE Anti-Cytokeratin 5 antibody [EPR1600Y]

  • 660 APC

    APC Anti-Cytokeratin 5 antibody [EPR1600Y]

  • HRP

    HRP Anti-Cytokeratin 5 antibody [EPR1600Y]

  • 617 Alexa Fluor® 594

    Alexa Fluor® 594 Anti-Cykeratin 5 antibody [EPR1600Y]

  • 565 Alexa Fluor® 555

    Alexa Fluor® 555 Anti-Cytokeratin 5 antibody [EPR1600Y]

Key facts

Host species

Rabbit

Clonality

Monoclonal

Clone number

EPR1600Y

Isotype

IgG

Carrier free

Yes

Reacts with

Human

Applications

ICC/IF, IHC-P, WB, Flow Cyt (Intra)

applications

Immunogen

The exact immunogen used to generate this antibody is proprietary information.

Reactivity data

{ "title": "Reactivity Data", "filters": { "stats": ["", "Species", "Dilution Info", "Notes"], "tabs": { "all-applications": {"fullname" : "All Applications", "shortname": "All Applications"}, "IHCP" : {"fullname" : "Immunohistochemistry (Formalin/PFA-fixed paraffin-embedded sections)", "shortname":"IHC-P"}, "IP" : {"fullname" : "Immunoprecipitation", "shortname":"IP"}, "WB" : {"fullname" : "Western blot", "shortname":"WB"}, "ICCIF" : {"fullname" : "Immunocytochemistry/ Immunofluorescence", "shortname":"ICC/IF"}, "FlowCytIntra" : {"fullname" : "Flow Cytometry (Intracellular)", "shortname":"Flow Cyt (Intra)"} }, "product-promise": { "all": "all", "testedAndGuaranteed": "tested", "guaranteed": "expected", "predicted": "predicted", "notRecommended": "not-recommended" } }, "values": { "Human": { "IHCP-species-checked": "testedAndGuaranteed", "IHCP-species-dilution-info": "", "IHCP-species-notes": "<p></p>", "IP-species-checked": "notRecommended", "IP-species-dilution-info": "", "IP-species-notes": "<p></p>", "WB-species-checked": "testedAndGuaranteed", "WB-species-dilution-info": "", "WB-species-notes": "<p></p>", "ICCIF-species-checked": "testedAndGuaranteed", "ICCIF-species-dilution-info": "", "ICCIF-species-notes": "<p></p>", "FlowCytIntra-species-checked": "testedAndGuaranteed", "FlowCytIntra-species-dilution-info": "", "FlowCytIntra-species-notes": "<p></p>" } } }

Product details

ab239869 is the carrier-free version of ab75869.

Species reactivity
Mouse, Rat: We have preliminary internal testing data to indicate this antibody may not react with these species.
Please contact us for more information.

Patented technology
Our RabMAb® technology is a patented hybridoma-based technology for making rabbit monoclonal antibodies. For details on our patents, please refer to RabMAb® patents.

What are the advantages of a recombinant monoclonal antibody?
This product is a recombinant monoclonal antibody, which offers several advantages including:

  • - High batch-to-batch consistency and reproducibility
  • - Improved sensitivity and specificity
  • - Long-term security of supply
  • - Animal-free batch production

For more information, read more on recombinant antibodies.

Conjugation ready
Our carrier-free antibodies are typically supplied in a PBS-only formulation, purified and free of BSA, sodium azide and glycerol. This conjugation-ready format is designed for use with fluorochromes, metal isotopes, oligonucleotides, and enzymes, which makes them ideal for antibody labelling, functional and cell-based assays, flow-based assays (e.g. mass cytometry) and Multiplex Imaging applications.

Use our conjugation kits for antibody conjugates that are ready-to-use in as little as 20 minutes with 1 minute hands-on-time and 100% antibody recovery: available for fluorescent dyes, HRP, biotin and gold.

Compatibility
This product is compatible with the Maxpar® Antibody Labeling Kit from Fluidigm, without the need for antibody preparation. Maxpar® is a trademark of Fluidigm Canada Inc.

Properties and storage information

Form
Liquid
Purification technique
Affinity purification Protein A
Storage buffer
pH: 7.2 - 7.4 Constituents: PBS
Shipped at conditions
Blue Ice
Appropriate short-term storage conditions
+4°C
Appropriate long-term storage conditions
+4°C
Storage information
Do Not Freeze

Product protocols

For this product, it's our understanding that no specific protocols are required. You can visit:

Target data

Required for the formation of keratin intermediate filaments in the basal epidermis and maintenance of the skin barrier in response to mechanical stress (By similarity). Regulates the recruitment of Langerhans cells to the epidermis, potentially by modulation of the abundance of macrophage chemotactic cytokines, macrophage inflammatory cytokines and CTNND1 localization in keratinocytes (By similarity).
See full target information Keratin, type II cytoskeletal 5

Publications (1)

Recent publications for all applications. Explore the full list and refine your search

International archives of allergy and immunology 182:1245-1254 PubMed34428765

2021

Celastrol Exerts Cardioprotective Effect in Rheumatoid Arthritis by Inhibiting TLR2/HMGB1 Signaling Pathway-Mediated Autophagy.

Applications

Unspecified application

Species

Unspecified reactive species

Xiaohong Lu,Sha Gong,Xiaojun Wang,Nan Hu,Dan Pu,Jing Zhang,Yanhua Wang,Jing Luo,Qi An,Bomiao Ju,Lan He
View all publications

Product promise

We are committed to supporting your work with high-quality reagents, and we're here for you every step of the way. In the unlikely event that one of our products does not perform as expected, you're protected by our Product Promise.
For full details, please see our Terms & Conditions

Please note: All products are 'FOR RESEARCH USE ONLY. NOT FOR USE IN DIAGNOSTIC OR THERAPEUTIC PROCEDURES'.

For licensing inquiries, please contact partnerships@abcam.com