JavaScript is disabled in your browser. Please enable JavaScript to view this website.
AB183336

Anti-Cytokeratin 5 antibody [SP178]

0

(1 Review)

|

(1 Publication)

Rabbit Recombinant Monoclonal Cytokeratin 5 antibody. Suitable for Flow Cyt (Intra), IHC-P, ICC/IF and reacts with Human samples. Cited in 1 publication.

View Alternative Names

58 kDa cytokeratin, Cytokeratin-5, Keratin-5, Type-II keratin Kb5, CK-5, K5, KRT5

15 Images
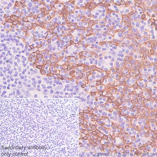
Immunohistochemistry (Formalin/PFA-fixed paraffin-embedded sections) - Anti-Cytokeratin 5 antibody [SP178] (AB183336)
  • IHC-P

Unknown

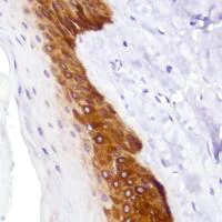
Immunohistochemistry (Formalin/PFA-fixed paraffin-embedded sections) - Anti-Cytokeratin 5 antibody [SP178] (AB183336)

Immunohistochemistry (Formalin/PFA-fixed paraffin-embedded sections) analysis of Human tonsil tissue sections labeling Cytokeratin 5 with ab183336 at 1/100 dilution (2.35 µg/ml). Heat mediated antigen retrieval was performed Heat mediated antigen retrieval with Tris-EDTA buffer (pH 9.0, epitope retrieval solution 2) for 10 mins. Rabbit specific IHC polymer detection kit HRP/DAB (ab209101) was used as the secondary antibody. Negative control : PBS instead of the primary antibody. Hematoxylin was used as a counterstain.

Immunocytochemistry/ Immunofluorescence - Anti-Cytokeratin 5 antibody [SP178] (AB183336)
  • ICC/IF

Unknown

Immunocytochemistry/ Immunofluorescence - Anti-Cytokeratin 5 antibody [SP178] (AB183336)

Immunocytochemistry/ Immunofluorescence analysis of A431 (human epidermoid carcinoma epithelial cell) cells labeling Cytokeratin 5 with purified ab183336 at 1/50 (4.7 μg/ml). Cells were fixed in 4% paraformaldehyde and permeabilized with 0.1% Triton X-100. Cells were counterstained with ab195889 Anti-alpha Tubulin antibody [DM1A] - Microtubule Marker (Alexa Fluor® 594) 1/200 (2.5 μg/ml). Goat anti rabbit IgG (Alexa Fluor® 488, ab150077) was used as the secondary antibody at 1/1000 (2 μg/ml) dilution. DAPI (blue) was used as nuclear counterstain. PBS instead of the primary antibody was used as the secondary antibody only control.

Immunohistochemistry (Formalin/PFA-fixed paraffin-embedded sections) - Anti-Cytokeratin 5 antibody [SP178] (AB183336)
  • IHC-P

Supplier Data

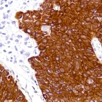
Immunohistochemistry (Formalin/PFA-fixed paraffin-embedded sections) - Anti-Cytokeratin 5 antibody [SP178] (AB183336)

Immunohistochemical analysis of formalin-fixed, paraffin-embedded Human bladder tissue labeling Cytokeratin 5 with ab183336 at 1/100 dilution.

Immunohistochemistry (Formalin/PFA-fixed paraffin-embedded sections) - Anti-Cytokeratin 5 antibody [SP178] (AB183336)
  • IHC-P

Unknown

Immunohistochemistry (Formalin/PFA-fixed paraffin-embedded sections) - Anti-Cytokeratin 5 antibody [SP178] (AB183336)

Immunohistochemical analysis of formalin-fixed, paraffin-embedded Human tonsil tissue labeling Cytokeratin 5 with ab183336 at 1/100 dilution.

Immunohistochemistry (Formalin/PFA-fixed paraffin-embedded sections) - Anti-Cytokeratin 5 antibody [SP178] (AB183336)
  • IHC-P

Unknown

Immunohistochemistry (Formalin/PFA-fixed paraffin-embedded sections) - Anti-Cytokeratin 5 antibody [SP178] (AB183336)

Immunohistochemical analysis of formalin-fixed, paraffin-embedded Human skin tissue labeling Cytokeratin 5 with ab183336 at 1/100 dilution.

Flow Cytometry (Intracellular) - Anti-Cytokeratin 5 antibody [SP178] (AB183336)
  • Flow Cyt (Intra)

Unknown

Flow Cytometry (Intracellular) - Anti-Cytokeratin 5 antibody [SP178] (AB183336)

Flow Cytometry analysis of A431 (human epidermoid carcinoma epithelial cell) cells labeling Cytokeratin 5 with purified ab183336 at 1/20 dilution (11.75 μg/ml) (red). Cells were fixed with 4% paraformaldehyde and permeabilised with 90% methanol. A Goat anti rabbit IgG (Alexa Fluor® 488, ab150077) secondary antibody was used at 1/2000 dilution. Isotype control - Rabbit monoclonal IgG (ab172730) / Black. Unlabeled control - Unlabelled cells / blue.

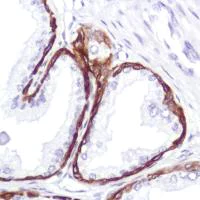
Immunohistochemistry (Formalin/PFA-fixed paraffin-embedded sections) - Anti-Cytokeratin 5 antibody [SP178] (AB183336)
  • IHC-P

Supplier Data

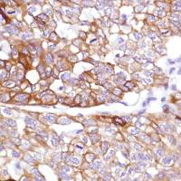
Immunohistochemistry (Formalin/PFA-fixed paraffin-embedded sections) - Anti-Cytokeratin 5 antibody [SP178] (AB183336)

Immunohistochemical analysis of formalin-fixed, paraffin-embedded Human rectal carcinoma tissue labeling Cytokeratin 5 with ab183336 at 1/100 dilution.

Immunohistochemistry (Formalin/PFA-fixed paraffin-embedded sections) - Anti-Cytokeratin 5 antibody [SP178] (AB183336)
  • IHC-P

Unknown

Immunohistochemistry (Formalin/PFA-fixed paraffin-embedded sections) - Anti-Cytokeratin 5 antibody [SP178] (AB183336)

Immunohistochemical analysis of formalin-fixed, paraffin-embedded Human breast tissue labeling Cytokeratin 5 with ab183336 at 1/100 dilution.

Immunohistochemistry (Formalin/PFA-fixed paraffin-embedded sections) - Anti-Cytokeratin 5 antibody [SP178] (AB183336)
  • IHC-P

Unknown

Immunohistochemistry (Formalin/PFA-fixed paraffin-embedded sections) - Anti-Cytokeratin 5 antibody [SP178] (AB183336)

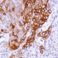
Immunohistochemistry (Formalin/PFA-fixed paraffin-embedded sections) analysis of Human cervix carcinoma tissue sections labeling Cytokeratin 5 with ab183336 at 1/100 dilution (2.35 µg/ml). Heat mediated antigen retrieval was performed Heat mediated antigen retrieval with Tris-EDTA buffer (pH 9.0, epitope retrieval solution 2) for 10 mins. Rabbit specific IHC polymer detection kit HRP/DAB (ab209101) was used as the secondary antibody. Negative control : PBS instead of the primary antibody. Hematoxylin was used as a counterstain.

Immunohistochemistry (Formalin/PFA-fixed paraffin-embedded sections) - Anti-Cytokeratin 5 antibody [SP178] (AB183336)
  • IHC-P

Supplier Data

Immunohistochemistry (Formalin/PFA-fixed paraffin-embedded sections) - Anti-Cytokeratin 5 antibody [SP178] (AB183336)

Immunohistochemical analysis of formalin-fixed, paraffin-embedded Human lung squamous cell carcinoma tissue labeling Cytokeratin 5 with ab183336 at 1/100 dilution.

Immunohistochemistry (Formalin/PFA-fixed paraffin-embedded sections) - Anti-Cytokeratin 5 antibody [SP178] (AB183336)
  • IHC-P

Unknown

Immunohistochemistry (Formalin/PFA-fixed paraffin-embedded sections) - Anti-Cytokeratin 5 antibody [SP178] (AB183336)

Immunohistochemistry (Formalin/PFA-fixed paraffin-embedded sections) analysis of Human prostate tissue sections labeling Cytokeratin 5 with ab183336 at 1/100 dilution (2.35 µg/ml). Heat mediated antigen retrieval was performed Heat mediated antigen retrieval with Tris-EDTA buffer (pH 9.0, epitope retrieval solution 2) for 10 mins. Rabbit specific IHC polymer detection kit HRP/DAB (ab209101) was used as the secondary antibody. Negative control : PBS instead of the primary antibody. Hematoxylin was used as a counterstain.

Immunohistochemistry (Formalin/PFA-fixed paraffin-embedded sections) - Anti-Cytokeratin 5 antibody [SP178] (AB183336)
  • IHC-P

Supplier Data

Immunohistochemistry (Formalin/PFA-fixed paraffin-embedded sections) - Anti-Cytokeratin 5 antibody [SP178] (AB183336)

Immunohistochemical analysis of formalin-fixed, paraffin-embedded Human prostate tissue labeling Cytokeratin 5 with ab183336 at 1/100 dilution.

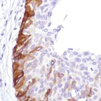
Immunohistochemistry (Formalin/PFA-fixed paraffin-embedded sections) - Anti-Cytokeratin 5 antibody [SP178] (AB183336)
  • IHC-P

Unknown

Immunohistochemistry (Formalin/PFA-fixed paraffin-embedded sections) - Anti-Cytokeratin 5 antibody [SP178] (AB183336)

Immunohistochemical analysis of formalin-fixed, paraffin-embedded Human skin squamous cell carcinoma tissue labeling Cytokeratin 5 with ab183336 at 1/100 dilution.

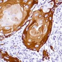
Immunohistochemistry (Formalin/PFA-fixed paraffin-embedded sections) - Anti-Cytokeratin 5 antibody [SP178] (AB183336)
  • IHC-P

Supplier Data

Immunohistochemistry (Formalin/PFA-fixed paraffin-embedded sections) - Anti-Cytokeratin 5 antibody [SP178] (AB183336)

Immunohistochemical analysis of formalin-fixed, paraffin-embedded Human cervix squamous cell carcinoma tissue labeling Cytokeratin 5 with ab183336 at 1/100 dilution.

Flow Cytometry (Intracellular) - Anti-Cytokeratin 5 antibody [SP178] (AB183336)
  • Flow Cyt (Intra)

Supplier Data

Flow Cytometry (Intracellular) - Anti-Cytokeratin 5 antibody [SP178] (AB183336)

Flow cytometric analysis of A431 cells labeling Cytokeratin 5 with ab183336 at 1/100 dilution (green) compared to a negative control rabbit IgG (blue).

  • Carrier free

    Anti-Cytokeratin 5 antibody [SP178] - BSA and Azide free

Key facts

Host species

Rabbit

Clonality

Monoclonal

Clone number

SP178

Isotype

IgG

Carrier free

No

Reacts with

Human

Applications

Flow Cyt (Intra), IHC-P, ICC/IF

applications

Immunogen

The exact immunogen used to generate this antibody is proprietary information.

Reactivity data

{ "title": "Reactivity Data", "filters": { "stats": ["", "Species", "Dilution Info", "Notes"], "tabs": { "all-applications": {"fullname" : "All Applications", "shortname": "All Applications"}, "FlowCytIntra" : {"fullname" : "Flow Cytometry (Intracellular)", "shortname":"Flow Cyt (Intra)"}, "IHCP" : {"fullname" : "Immunohistochemistry (Formalin/PFA-fixed paraffin-embedded sections)", "shortname":"IHC-P"}, "ICCIF" : {"fullname" : "Immunocytochemistry/ Immunofluorescence", "shortname":"ICC/IF"} }, "product-promise": { "all": "all", "testedAndGuaranteed": "tested", "guaranteed": "expected", "predicted": "predicted", "notRecommended": "not-recommended" } }, "values": { "Human": { "FlowCytIntra-species-checked": "testedAndGuaranteed", "FlowCytIntra-species-dilution-info": "1/20 - 1/100", "FlowCytIntra-species-notes": "<p>Incubate for 30 minutes at 4°C.</p>", "IHCP-species-checked": "testedAndGuaranteed", "IHCP-species-dilution-info": "1/100", "IHCP-species-notes": "<p>Deparaffinization: Deparaffinize slides using xylene or xylene alternative and graded alcohols. <br>Antigen Retrieval: Boil tissue section in EDTA buffer, pH 8.0 for 10 min followed by cooling at room temperature for 20 min. <br>Primary Antibody Incubation: Incubate for 10 minutes at room temperature. <br>Slide Washing: Slides must be washed in between steps. Rinse slides with PBS/0.05% Tween.</p>", "ICCIF-species-checked": "testedAndGuaranteed", "ICCIF-species-dilution-info": "1/50", "ICCIF-species-notes": "<p></p>" }, "Mouse": { "FlowCytIntra-species-checked": "predicted", "FlowCytIntra-species-dilution-info": "", "FlowCytIntra-species-notes": "", "IHCP-species-checked": "predicted", "IHCP-species-dilution-info": "", "IHCP-species-notes": "", "ICCIF-species-checked": "predicted", "ICCIF-species-dilution-info": "", "ICCIF-species-notes": "" }, "Rat": { "FlowCytIntra-species-checked": "predicted", "FlowCytIntra-species-dilution-info": "", "FlowCytIntra-species-notes": "", "IHCP-species-checked": "predicted", "IHCP-species-dilution-info": "", "IHCP-species-notes": "", "ICCIF-species-checked": "predicted", "ICCIF-species-dilution-info": "", "ICCIF-species-notes": "" }, "Cow": { "FlowCytIntra-species-checked": "predicted", "FlowCytIntra-species-dilution-info": "", "FlowCytIntra-species-notes": "", "IHCP-species-checked": "predicted", "IHCP-species-dilution-info": "", "IHCP-species-notes": "", "ICCIF-species-checked": "predicted", "ICCIF-species-dilution-info": "", "ICCIF-species-notes": "" } } }

Product details

There are no definitive signs to indicate instability of this product; therefore, positive and negative controls should be tested simultaneously with unknown specimens.

Patented technology
Our RabMAb® technology is a patented hybridoma-based technology for making rabbit monoclonal antibodies. For details on our patents, please refer to RabMAb® patents.

Properties and storage information

Form
Liquid
Purification technique
Affinity purification Protein A/G
Purification notes
Purified from TCS by protein A/G.
Storage buffer
pH: 7.6 Preservative: 0.1% Sodium azide Constituents: PBS, 1% BSA
Shipped at conditions
Blue Ice
Appropriate short-term storage duration
1-2 weeks
Appropriate short-term storage conditions
+4°C
Appropriate long-term storage conditions
-20°C
Aliquoting information
Upon delivery aliquot
Storage information
Avoid freeze / thaw cycle

Product protocols

For this product, it's our understanding that no specific protocols are required. You can visit:

Target data

Required for the formation of keratin intermediate filaments in the basal epidermis and maintenance of the skin barrier in response to mechanical stress (By similarity). Regulates the recruitment of Langerhans cells to the epidermis, potentially by modulation of the abundance of macrophage chemotactic cytokines, macrophage inflammatory cytokines and CTNND1 localization in keratinocytes (By similarity).
See full target information Keratin, type II cytoskeletal 5

Publications (1)

Recent publications for all applications. Explore the full list and refine your search

PloS one 10:e0125255 PubMed25955027

2015

Initiation and characterization of small cell lung cancer patient-derived xenografts from ultrasound-guided transbronchial needle aspirates.

Applications

Unspecified application

Species

Unspecified reactive species

Wade C Anderson,Michael B Boyd,Jorge Aguilar,Brett Pickell,Amy Laysang,Marybeth A Pysz,Sheila Bheddah,Johanna Ramoth,Brian C Slingerland,Scott J Dylla,Edmundo R Rubio
View all publications

Product promise

We are committed to supporting your work with high-quality reagents, and we're here for you every step of the way. In the unlikely event that one of our products does not perform as expected, you're protected by our Product Promise.
For full details, please see our Terms & Conditions

Please note: All products are 'FOR RESEARCH USE ONLY. NOT FOR USE IN DIAGNOSTIC OR THERAPEUTIC PROCEDURES'.

For licensing inquiries, please contact partnerships@abcam.com