JavaScript is disabled in your browser. Please enable JavaScript to view this website.
AB243922

Anti-Cytokeratin 5 antibody [SP178] - BSA and Azide free

Be the first to review this product! Submit a review

|

(0 Publication)

Rabbit Recombinant Monoclonal Cytokeratin 5 antibody. Carrier free. Suitable for IHC-P, ICC/IF, Flow Cyt (Intra) and reacts with Human samples.

View Alternative Names

58 kDa cytokeratin, Cytokeratin-5, Keratin-5, Type-II keratin Kb5, CK-5, K5, KRT5

15 Images
Immunohistochemistry (Formalin/PFA-fixed paraffin-embedded sections) - Anti-Cytokeratin 5 antibody [SP178] - BSA and Azide free (AB243922)
  • IHC-P

Unknown

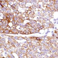
Immunohistochemistry (Formalin/PFA-fixed paraffin-embedded sections) - Anti-Cytokeratin 5 antibody [SP178] - BSA and Azide free (AB243922)

Immunohistochemistry (Formalin/PFA-fixed paraffin-embedded sections) analysis of Human prostate tissue sections labeling Cytokeratin 5 with ab183336 at 1/100 dilution (2.35 µg/ml). Heat mediated antigen retrieval was performed Heat mediated antigen retrieval with Tris-EDTA buffer (pH 9.0, epitope retrieval solution 2) for 10 mins. Rabbit specific IHC polymer detection kit HRP/DAB (ab209101) was used as the secondary antibody. Negative control : PBS instead of the primary antibody. Hematoxylin was used as a counterstain.
This data was developed using the same antibody clone in a different buffer formulation containing PBS, BSA, glycerol, and sodium azide (ab183336)

Immunohistochemistry (Formalin/PFA-fixed paraffin-embedded sections) - Anti-Cytokeratin 5 antibody [SP178] - BSA and Azide free (AB243922)
  • IHC-P

Unknown

Immunohistochemistry (Formalin/PFA-fixed paraffin-embedded sections) - Anti-Cytokeratin 5 antibody [SP178] - BSA and Azide free (AB243922)

Immunohistochemistry (Formalin/PFA-fixed paraffin-embedded sections) analysis of Human cervix carcinoma tissue sections labeling Cytokeratin 5 with ab183336 at 1/100 dilution (2.35 µg/ml). Heat mediated antigen retrieval was performed Heat mediated antigen retrieval with Tris-EDTA buffer (pH 9.0, epitope retrieval solution 2) for 10 mins. Rabbit specific IHC polymer detection kit HRP/DAB (ab209101) was used as the secondary antibody. Negative control : PBS instead of the primary antibody. Hematoxylin was used as a counterstain.
This data was developed using the same antibody clone in a different buffer formulation containing PBS, BSA, glycerol, and sodium azide (ab183336)

Immunohistochemistry (Formalin/PFA-fixed paraffin-embedded sections) - Anti-Cytokeratin 5 antibody [SP178] - BSA and Azide free (AB243922)
  • IHC-P

Unknown

Immunohistochemistry (Formalin/PFA-fixed paraffin-embedded sections) - Anti-Cytokeratin 5 antibody [SP178] - BSA and Azide free (AB243922)

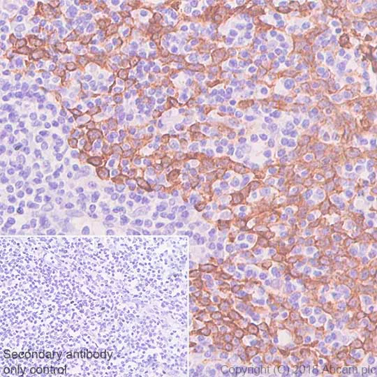
Immunohistochemistry (Formalin/PFA-fixed paraffin-embedded sections) analysis of Human tonsil tissue sections labeling Cytokeratin 5 with ab183336 at 1/100 dilution (2.35 µg/ml). Heat mediated antigen retrieval was performed Heat mediated antigen retrieval with Tris-EDTA buffer (pH 9.0, epitope retrieval solution 2) for 10 mins. Rabbit specific IHC polymer detection kit HRP/DAB (ab209101) was used as the secondary antibody. Negative control : PBS instead of the primary antibody. Hematoxylin was used as a counterstain.
This data was developed using the same antibody clone in a different buffer formulation containing PBS, BSA, glycerol, and sodium azide (ab183336)

Immunocytochemistry/ Immunofluorescence - Anti-Cytokeratin 5 antibody [SP178] - BSA and Azide free (AB243922)
  • ICC/IF

Unknown

Immunocytochemistry/ Immunofluorescence - Anti-Cytokeratin 5 antibody [SP178] - BSA and Azide free (AB243922)

Immunocytochemistry/ Immunofluorescence analysis of A431 (human epidermoid carcinoma epithelial cell) cells labeling Cytokeratin 5 with purified ab183336 at 1/50 (4.7 μg/ml). Cells were fixed in 4% paraformaldehyde and permeabilized with 0.1% Triton X-100. Cells were counterstained with ab195889 Anti-alpha Tubulin antibody [DM1A] - Microtubule Marker (Alexa Fluor® 594) 1/200 (2.5 μg/ml). Goat anti rabbit IgG (Alexa Fluor® 488, ab150077) was used as the secondary antibody at 1/1000 (2 μg/ml) dilution. DAPI (blue) was used as nuclear counterstain. PBS instead of the primary antibody was used as the secondary antibody only control.
This data was developed using the same antibody clone in a different buffer formulation containing PBS, BSA, glycerol, and sodium azide (ab183336).

Flow Cytometry (Intracellular) - Anti-Cytokeratin 5 antibody [SP178] - BSA and Azide free (AB243922)
  • Flow Cyt (Intra)

Unknown

Flow Cytometry (Intracellular) - Anti-Cytokeratin 5 antibody [SP178] - BSA and Azide free (AB243922)

Intracellular Flow Cytometry analysis of A431 (human epidermoid carcinoma epithelial cell) cells labeling Cytokeratin 5 with purified ab183336 at 1/20 dilution (11.75μg/ml) (red). Cells were fixed with 4% paraformaldehyde and permeabilised with 90% methanol. A Goat anti rabbit IgG (Alexa Fluor® 488, ab150077) secondary antibody was used at 1/2000 dilution. Isotype control - Rabbit monoclonal IgG (ab172730) / Black. Unlabeled control - Unlabelled cells / blue. This data was developed using the same antibody clone in a different buffer formulation containing PBS, BSA, glycerol, and sodium azide (ab183336).

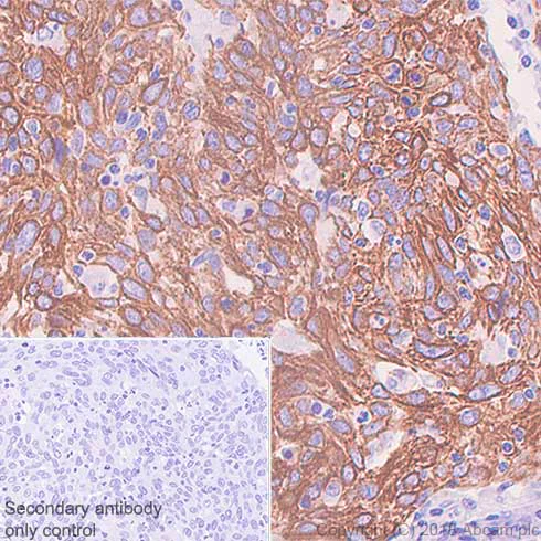
Immunohistochemistry (Formalin/PFA-fixed paraffin-embedded sections) - Anti-Cytokeratin 5 antibody [SP178] - BSA and Azide free (AB243922)
  • IHC-P

Supplier Data

Immunohistochemistry (Formalin/PFA-fixed paraffin-embedded sections) - Anti-Cytokeratin 5 antibody [SP178] - BSA and Azide free (AB243922)

Immunohistochemical analysis of formalin-fixed, paraffin-embedded Human cervix squamous cell carcinoma tissue labeling Cytokeratin 5 with ab183336 at 1/100 dilution.

This data was developed using the same antibody clone in a different buffer formulation containing PBS, BSA, and sodium azide (ab183336).

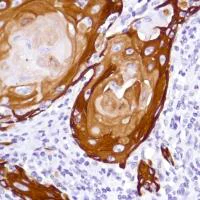
Immunohistochemistry (Formalin/PFA-fixed paraffin-embedded sections) - Anti-Cytokeratin 5 antibody [SP178] - BSA and Azide free (AB243922)
  • IHC-P

Supplier Data

Immunohistochemistry (Formalin/PFA-fixed paraffin-embedded sections) - Anti-Cytokeratin 5 antibody [SP178] - BSA and Azide free (AB243922)

Immunohistochemical analysis of formalin-fixed, paraffin-embedded Human lung squamous cell carcinoma tissue labeling Cytokeratin 5 with ab183336 at 1/100 dilution.

This data was developed using the same antibody clone in a different buffer formulation containing PBS, BSA, and sodium azide (ab183336).

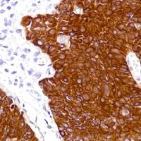
Immunohistochemistry (Formalin/PFA-fixed paraffin-embedded sections) - Anti-Cytokeratin 5 antibody [SP178] - BSA and Azide free (AB243922)
  • IHC-P

Unknown

Immunohistochemistry (Formalin/PFA-fixed paraffin-embedded sections) - Anti-Cytokeratin 5 antibody [SP178] - BSA and Azide free (AB243922)

Immunohistochemical analysis of formalin-fixed, paraffin-embedded Human skin squamous cell carcinoma tissue labeling Cytokeratin 5 with ab183336 at 1/100 dilution.

This data was developed using the same antibody clone in a different buffer formulation containing PBS, BSA, and sodium azide (ab183336).

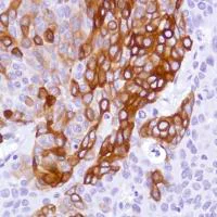
Immunohistochemistry (Formalin/PFA-fixed paraffin-embedded sections) - Anti-Cytokeratin 5 antibody [SP178] - BSA and Azide free (AB243922)
  • IHC-P

Supplier Data

Immunohistochemistry (Formalin/PFA-fixed paraffin-embedded sections) - Anti-Cytokeratin 5 antibody [SP178] - BSA and Azide free (AB243922)

Immunohistochemical analysis of formalin-fixed, paraffin-embedded Human rectal carcinoma tissue labeling Cytokeratin 5 with ab183336 at 1/100 dilution.

This data was developed using the same antibody clone in a different buffer formulation containing PBS, BSA, and sodium azide (ab183336).

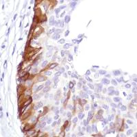
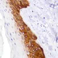
Immunohistochemistry (Formalin/PFA-fixed paraffin-embedded sections) - Anti-Cytokeratin 5 antibody [SP178] - BSA and Azide free (AB243922)
  • IHC-P

Unknown

Immunohistochemistry (Formalin/PFA-fixed paraffin-embedded sections) - Anti-Cytokeratin 5 antibody [SP178] - BSA and Azide free (AB243922)

Immunohistochemical analysis of formalin-fixed, paraffin-embedded Human skin tissue labeling Cytokeratin 5 with ab183336 at 1/100 dilution.

This data was developed using the same antibody clone in a different buffer formulation containing PBS, BSA, and sodium azide (ab183336).

Immunohistochemistry (Formalin/PFA-fixed paraffin-embedded sections) - Anti-Cytokeratin 5 antibody [SP178] - BSA and Azide free (AB243922)
  • IHC-P

Unknown

Immunohistochemistry (Formalin/PFA-fixed paraffin-embedded sections) - Anti-Cytokeratin 5 antibody [SP178] - BSA and Azide free (AB243922)

Immunohistochemical analysis of formalin-fixed, paraffin-embedded Human tonsil tissue labeling Cytokeratin 5 with ab183336 at 1/100 dilution.

This data was developed using the same antibody clone in a different buffer formulation containing PBS, BSA, and sodium azide (ab183336).

Immunohistochemistry (Formalin/PFA-fixed paraffin-embedded sections) - Anti-Cytokeratin 5 antibody [SP178] - BSA and Azide free (AB243922)
  • IHC-P

Supplier Data

Immunohistochemistry (Formalin/PFA-fixed paraffin-embedded sections) - Anti-Cytokeratin 5 antibody [SP178] - BSA and Azide free (AB243922)

Immunohistochemical analysis of formalin-fixed, paraffin-embedded Human bladder tissue labeling Cytokeratin 5 with ab183336 at 1/100 dilution.

This data was developed using the same antibody clone in a different buffer formulation containing PBS, BSA, and sodium azide (ab183336).

Immunohistochemistry (Formalin/PFA-fixed paraffin-embedded sections) - Anti-Cytokeratin 5 antibody [SP178] - BSA and Azide free (AB243922)
  • IHC-P

Unknown

Immunohistochemistry (Formalin/PFA-fixed paraffin-embedded sections) - Anti-Cytokeratin 5 antibody [SP178] - BSA and Azide free (AB243922)

Immunohistochemical analysis of formalin-fixed, paraffin-embedded Human breast tissue labeling Cytokeratin 5 with ab183336 at 1/100 dilution.

This data was developed using the same antibody clone in a different buffer formulation containing PBS, BSA, and sodium azide (ab183336).

Immunohistochemistry (Formalin/PFA-fixed paraffin-embedded sections) - Anti-Cytokeratin 5 antibody [SP178] - BSA and Azide free (AB243922)
  • IHC-P

Supplier Data

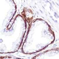
Immunohistochemistry (Formalin/PFA-fixed paraffin-embedded sections) - Anti-Cytokeratin 5 antibody [SP178] - BSA and Azide free (AB243922)

Immunohistochemical analysis of formalin-fixed, paraffin-embedded Human prostate tissue labeling Cytokeratin 5 with ab183336 at 1/100 dilution.

This data was developed using the same antibody clone in a different buffer formulation containing PBS, BSA, and sodium azide (ab183336).

Flow Cytometry (Intracellular) - Anti-Cytokeratin 5 antibody [SP178] - BSA and Azide free (AB243922)
  • Flow Cyt (Intra)

Supplier Data

Flow Cytometry (Intracellular) - Anti-Cytokeratin 5 antibody [SP178] - BSA and Azide free (AB243922)

Intracellular flow cytometric analysis of A431 cells labeling Cytokeratin 5 with ab183336 at 1/100 dilution (green) compared to a negative control rabbit IgG (blue).

This data was developed using the same antibody clone in a different buffer formulation containing PBS, BSA, and sodium azide (ab183336).

Key facts

Host species

Rabbit

Clonality

Monoclonal

Clone number

SP178

Isotype

IgG

Carrier free

Yes

Reacts with

Human

Applications

ICC/IF, Flow Cyt (Intra), IHC-P

applications

Immunogen

The exact immunogen used to generate this antibody is proprietary information.

Reactivity data

{ "title": "Reactivity Data", "filters": { "stats": ["", "Species", "Dilution Info", "Notes"], "tabs": { "all-applications": {"fullname" : "All Applications", "shortname": "All Applications"}, "IHCP" : {"fullname" : "Immunohistochemistry (Formalin/PFA-fixed paraffin-embedded sections)", "shortname":"IHC-P"}, "ICCIF" : {"fullname" : "Immunocytochemistry/ Immunofluorescence", "shortname":"ICC/IF"}, "FlowCytIntra" : {"fullname" : "Flow Cytometry (Intracellular)", "shortname":"Flow Cyt (Intra)"} }, "product-promise": { "all": "all", "testedAndGuaranteed": "tested", "guaranteed": "expected", "predicted": "predicted", "notRecommended": "not-recommended" } }, "values": { "Human": { "IHCP-species-checked": "testedAndGuaranteed", "IHCP-species-dilution-info": "", "IHCP-species-notes": "<p>Deparaffinization: Deparaffinize slides using xylene or xylene alternative and graded alcohols. <br>Antigen Retrieval: Boil tissue section in EDTA buffer, pH 8.0 for 10 min followed by cooling at room temperature for 20 min. <br>Primary Antibody Incubation: Incubate for 10 minutes at room temperature. <br>Slide Washing: Slides must be washed in between steps. Rinse slides with PBS/0.05% Tween.</p>", "ICCIF-species-checked": "testedAndGuaranteed", "ICCIF-species-dilution-info": "", "ICCIF-species-notes": "<p></p>", "FlowCytIntra-species-checked": "testedAndGuaranteed", "FlowCytIntra-species-dilution-info": "", "FlowCytIntra-species-notes": "<p>Incubate for 30 minutes at 4°C. <a href='/en-us/products/primary-antibodies/rabbit-igg-monoclonal-epr25a-isotype-control-ab172730'>ab172730</a> - Rabbit monoclonal IgG, is suitable for use as an isotype control with this antibody.</p>" }, "Mouse": { "IHCP-species-checked": "predicted", "IHCP-species-dilution-info": "", "IHCP-species-notes": "", "ICCIF-species-checked": "predicted", "ICCIF-species-dilution-info": "", "ICCIF-species-notes": "", "FlowCytIntra-species-checked": "predicted", "FlowCytIntra-species-dilution-info": "", "FlowCytIntra-species-notes": "" }, "Rat": { "IHCP-species-checked": "predicted", "IHCP-species-dilution-info": "", "IHCP-species-notes": "", "ICCIF-species-checked": "predicted", "ICCIF-species-dilution-info": "", "ICCIF-species-notes": "", "FlowCytIntra-species-checked": "predicted", "FlowCytIntra-species-dilution-info": "", "FlowCytIntra-species-notes": "" }, "Cow": { "IHCP-species-checked": "predicted", "IHCP-species-dilution-info": "", "IHCP-species-notes": "", "ICCIF-species-checked": "predicted", "ICCIF-species-dilution-info": "", "ICCIF-species-notes": "", "FlowCytIntra-species-checked": "predicted", "FlowCytIntra-species-dilution-info": "", "FlowCytIntra-species-notes": "" } } }

You may be interested in:

AB226896

Human Cytokeratin 5 ELISA Kit

0

0 Reviews

View product

We recommend this product because it’s often used in the same experiment or related research.

We advise that you always check the datasheet to ensure it fits your experiments, or contact ourtechnical teamfor help.

Product details

ab243922 is the carrier-free version of ab183336.

There are no definitive signs to indicate instability of this product; therefore, positive and negative controls should be tested simultaneously with unknown specimens.

Patented technology
Our RabMAb® technology is a patented hybridoma-based technology for making rabbit monoclonal antibodies. For details on our patents, please refer to RabMAb® patents.

What are the advantages of a recombinant monoclonal antibody?
This product is a recombinant monoclonal antibody, which offers several advantages including:

  • - High batch-to-batch consistency and reproducibility
  • - Improved sensitivity and specificity
  • - Long-term security of supply
  • - Animal-free batch production

For more information, read more on recombinant antibodies.

Conjugation ready
Our carrier-free antibodies are typically supplied in a PBS-only formulation, purified and free of BSA, sodium azide and glycerol. This conjugation-ready format is designed for use with fluorochromes, metal isotopes, oligonucleotides, and enzymes, which makes them ideal for antibody labelling, functional and cell-based assays, flow-based assays (e.g. mass cytometry) and Multiplex Imaging applications.

Use our conjugation kits for antibody conjugates that are ready-to-use in as little as 20 minutes with 1 minute hands-on-time and 100% antibody recovery: available for fluorescent dyes, HRP, biotin and gold.

Compatibility
This product is compatible with the Maxpar® Antibody Labeling Kit from Fluidigm, without the need for antibody preparation. Maxpar® is a trademark of Fluidigm Canada Inc.

Properties and storage information

Form
Liquid
Purification technique
Affinity purification Protein A/G
Purification notes
Purified from TCS by protein A/G.
Storage buffer
pH: 7.2 - 7.4 Constituents: PBS
Shipped at conditions
Blue Ice
Appropriate short-term storage conditions
+4°C
Appropriate long-term storage conditions
+4°C
Storage information
Do Not Freeze

Product protocols

For this product, it's our understanding that no specific protocols are required. You can visit:

Target data

Required for the formation of keratin intermediate filaments in the basal epidermis and maintenance of the skin barrier in response to mechanical stress (By similarity). Regulates the recruitment of Langerhans cells to the epidermis, potentially by modulation of the abundance of macrophage chemotactic cytokines, macrophage inflammatory cytokines and CTNND1 localization in keratinocytes (By similarity).
See full target information Keratin, type II cytoskeletal 5

Product promise

We are committed to supporting your work with high-quality reagents, and we're here for you every step of the way. In the unlikely event that one of our products does not perform as expected, you're protected by our Product Promise.
For full details, please see our Terms & Conditions

Associated Products

Select an associated product type
Alternative Product
Primary Antibodies

AB224985

PE Anti-Cytokeratin 5 antibody [EP1601Y]

primary-antibodies

pe-cytokeratin-5-antibody-ep1601y-ab224985

0

(0 reviews)

Alternative Product
Primary Antibodies

AB224984

APC Anti-Cytokeratin 5 antibody [EP1601Y]

primary-antibodies

apc-cytokeratin-5-antibody-ep1601y-ab224984

0

(0 reviews)

Alternative Product
Primary Antibodies

AB52635

Anti-Cytokeratin 5 antibody [EP1601Y] - Cytoskeleton Marker

primary-antibodies

cytokeratin-5-antibody-ep1601y-cytoskeleton-marker-ab52635

5

(10 reviews)

Alternative Product
Primary Antibodies

AB193895

Alexa Fluor® 647 Anti-Cytokeratin 5 antibody [EP1601Y]

primary-antibodies

alexa-fluor-647-cytokeratin-5-antibody-ep1601y-ab193895

5

(4 reviews)

Alternative Product
Primary Antibodies

AB214586

Anti-Cytokeratin 5 antibody [EP1601Y] - BSA and Azide free

primary-antibodies

cytokeratin-5-antibody-ep1601y-bsa-and-azide-free-ab214586

5

(2 reviews)

Alternative Product
Primary Antibodies

AB75869

Anti-Cytokeratin 5 antibody [EPR1600Y]

primary-antibodies

cytokeratin-5-antibody-epr1600y-ab75869

4

(1 reviews)

Alternative Product
Primary Antibodies

AB193894

Alexa Fluor® 488 Anti-Cytokeratin 5 antibody [EP1601Y]

primary-antibodies

alexa-fluor-488-cytokeratin-5-antibody-ep1601y-ab193894

0

(0 reviews)

Please note: All products are 'FOR RESEARCH USE ONLY. NOT FOR USE IN DIAGNOSTIC OR THERAPEUTIC PROCEDURES'.

For licensing inquiries, please contact partnerships@abcam.com