JavaScript is disabled in your browser. Please enable JavaScript to view this website.
AB236216

Anti-Cytokeratin 5 antibody [SP27] - BSA and Azide free

  • BOND RX™ Validated
  • RabMAb
  • Advanced Validation
  • Recombinant
  • What is this?

5

(1 Review)

|

(2 Publications)

Rabbit Recombinant Monoclonal Cytokeratin 5 antibody. Carrier free. Suitable for Flow Cyt (Intra), WB, IHC-P, ICC/IF, IHC-Fr, mIHC and reacts with Human, Mouse, Rat samples. Cited in 2 publications.

View Alternative Names

58 kDa cytokeratin, Cytokeratin-5, Keratin-5, Type-II keratin Kb5, CK-5, K5, KRT5

15 Images
Immunohistochemistry (Formalin/PFA-fixed paraffin-embedded sections) - Anti-Cytokeratin 5 antibody [SP27] - BSA and Azide free (AB236216)
  • IHC-P

Supplier Data

Immunohistochemistry (Formalin/PFA-fixed paraffin-embedded sections) - Anti-Cytokeratin 5 antibody [SP27] - BSA and Azide free (AB236216)

Formalin-fixed, paraffin-embedded human prostate tissue stained for Cytokeratin 5 using ab64081 at 1/100 dilution in immunohistochemical analysis.

This data was developed using the same antibody clone in a different buffer formulation containing PBS, BSA, glycerol, and sodium azide (ab64081).

Immunohistochemistry (Formalin/PFA-fixed paraffin-embedded sections) - Anti-Cytokeratin 5 antibody [SP27] - BSA and Azide free (AB236216)
  • IHC-P

Unknown

Immunohistochemistry (Formalin/PFA-fixed paraffin-embedded sections) - Anti-Cytokeratin 5 antibody [SP27] - BSA and Azide free (AB236216)

Immunohistochemistry (Formalin/PFA-fixed paraffin-embedded sections) analysis of Human lung squamous cell cancer tissue sections labeling Cytokeratin 5 with ab64081 at 1/100 dilution (2.46 μg/ml). Heat mediated antigen retrieval with sodium citrate buffer (pH 6.0, epitope retrieval solution 1) for 10mins. Rabbit specific IHC polymer detection kit HRP/DAB (ab209101) was used as the secondary antibody. Hematoxylin was used as a counterstain. Cytoplasmic staining on tumor cells of human lung squamous cell cancer, performed on a Leica Biosystems BOND™ RX instrument.
The section was incubated with ab64081 for 30 mins at room temperature. This image was generated using ab64081, the same clone, but with a different buffer formulation.

Immunohistochemistry (Formalin/PFA-fixed paraffin-embedded sections) - Anti-Cytokeratin 5 antibody [SP27] - BSA and Azide free (AB236216)
  • IHC-P

Unknown

Immunohistochemistry (Formalin/PFA-fixed paraffin-embedded sections) - Anti-Cytokeratin 5 antibody [SP27] - BSA and Azide free (AB236216)

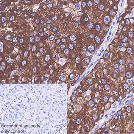
Immunohistochemistry (Formalin/PFA-fixed paraffin-embedded sections) analysis of Human prostate cancer
tissue sections labeling Cytokeratin 5 with ab64081 at 1/100 dilution (2.46 μg/ml). Heat mediated antigen retrieval with sodium citrate buffer (pH 6.0, epitope retrieval solution 1) for 10mins. Rabbit specific IHC polymer detection kit HRP/DAB (ab209101) was used as the secondary antibody. Hematoxylin was used as a counterstain. Positive staining on human prostate cancer, performed on a Leica Biosystems BOND™ RX instrument.
The section was incubated with ab64081 for 30 mins at room temperature. This image was generated using ab64081, the same clone, but with a different buffer formulation.

Flow Cytometry (Intracellular) - Anti-Cytokeratin 5 antibody [SP27] - BSA and Azide free (AB236216)
  • Flow Cyt (Intra)

Supplier Data

Flow Cytometry (Intracellular) - Anti-Cytokeratin 5 antibody [SP27] - BSA and Azide free (AB236216)

Flow cytometric analysis of A431 (human epidermoid carcinoma cell line) cell line labeling Cytokeratin 5 with ab64081 at 1/100 dilution (green) compared with a negative control of rabbit IgG (blue).

This image was generated using ab64081, the same clone, but with a different buffer formulation.

Immunocytochemistry/ Immunofluorescence - Anti-Cytokeratin 5 antibody [SP27] - BSA and Azide free (AB236216)
  • ICC/IF

Unknown

Immunocytochemistry/ Immunofluorescence - Anti-Cytokeratin 5 antibody [SP27] - BSA and Azide free (AB236216)

Immunocytochemistry/ Immunofluorescence analysis of A431 (human epidermoid carcinoma epithelial cell) cells labeling Cytokeratin 5 with purified ab64081 at 1/100 (2.5 μg/ml). Cells were fixed in 4% paraformaldehyde and permeabilized with 0.1% Triton X-100. Cells were counterstained with ab195889 Anti-alpha Tubulin antibody [DM1A] - Microtubule Marker (Alexa Fluor® 594) 1/200 (2.5 μg/ml). Goat anti rabbit IgG (Alexa Fluor® 488, ab150077) was used as the secondary antibody at 1/1000 (2 μg/ml) dilution. DAPI was used as nuclear counterstain. PBS instead of the primary antibody was used as the secondary antibody only control.

This image was generated using ab64081, the same clone, but with a different buffer formulation.

Multiplex immunohistochemistry - Anti-Cytokeratin 5 antibody [SP27] - BSA and Azide free (AB236216)
  • mIHC

Lab

Multiplex immunohistochemistry - Anti-Cytokeratin 5 antibody [SP27] - BSA and Azide free (AB236216)

Fluorescence multiplex immunohistochemical analysis of human prostate gland tissue (formalin/PFA-fixed paraffin-embedded section). Panel A : merged staining of anti-Prostate Specific Antigen (ab76113, red; Opal™690), anti-Cytokeratin 5 (ab236216, green; Opal™520) and anti-Nkx3.1 (ab196020, gray; Opal™570) on human prostate gland tissue. Panel B : anti-Prostate Specific Antigen stained on cytoplasm of luminal cells. Panel C : anti-Cytokeratin 5 stained on basal cells. Panel D : anti-p63 stained on nucleus of luminal cells. Opal Polymer HRP Ms + Rb was used as a secondary antibody. The immunostaining was performed on a Leica Biosystems BOND® RX instrument with an Opal™ 4-color kit. The section was incubated in three rounds of staining : in the order of ab76113 (1/2000), ab236216 (1/400) and ab196020 (1/2000) for 30 mins at room temperature. Each round was followed by a separate fluorescent tyramide signal amplification system. Each round was followed by a separate fluorescent tyramide signal amplification system. Heat mediated antigen retrieval with Tris-EDTA buffer (pH 9.0, epitope retrieval solution 2) was used for 20 mins. DAPI (blue) was used as a nuclear counter stain. Image acquisition was performed with Leica SP8 confocal microscope.

Multiplex immunohistochemistry - Anti-Cytokeratin 5 antibody [SP27] - BSA and Azide free (AB236216)
  • mIHC

Lab

Multiplex immunohistochemistry - Anti-Cytokeratin 5 antibody [SP27] - BSA and Azide free (AB236216)

Fluorescence multiplex immunohistochemical analysis of human prostate gland tissue (formalin/PFA-fixed paraffin-embedded section). Panel A : merged staining of anti-p63 (ab124762, magenta; Opal™690), anti-Cytokeratin 5 (ab236216, green; Opal™520) and anti-Prostate Specific Antigen (ab76113, red; Opal™570) on human prostate gland tissue. Panel B : anti-Prostate Specific Antigen stained on luminal cells. Panel C : anti-Cytokeratin 5 stained on cytoplasm of basal cells. Panel D : anti-p63 stained on nucleus of basal cells. Opal Polymer HRP Ms + Rb was used as a secondary antibody. The immunostaining was performed on a Leica Biosystems BOND® RX instrument with an Opal™ 4-color kit. The section was incubated in three rounds of staining : in the order of ab124762 (1/5000), ab236216 (1/400), and ab76113 (1/2000) for 30 mins at room temperature. Each round was followed by a separate fluorescent tyramide signal amplification system. Each round was followed by a separate fluorescent tyramide signal amplification system. Heat mediated antigen retrieval with Tris-EDTA buffer (pH 9.0, epitope retrieval solution 2) was used for 20 mins. DAPI (blue) was used as a nuclear counter stain. Image acquisition was performed with Leica SP8 confocal microscope. This image was generated using ab64081, the same clone, but with a different buffer formulation.

Multiplex immunohistochemistry - Anti-Cytokeratin 5 antibody [SP27] - BSA and Azide free (AB236216)
  • mIHC

Lab

Multiplex immunohistochemistry - Anti-Cytokeratin 5 antibody [SP27] - BSA and Azide free (AB236216)

Fluorescence multiplex immunohistochemical analysis of human prostate gland tissue (formalin/PFA-fixed paraffin-embedded section). Panel A : merged staining of anti-Collagen VI (ab271938, magenta; Opal™690), anti-Cytokeratin 5 (ab236216, green; Opal™520) and anti-Prostate Specific Antigen (ab76113, red; Opal™570) on human prostate gland tissue. Panel B : anti-Prostate Specific Antigen stained on luminal cells. Panel C : anti-Cytokeratin 5 stained on basal cells. Panel D : anti-Collagen VI stained on stroma. Opal Polymer HRP Ms + Rb was used as a secondary antibody. The immunostaining was performed on a Leica Biosystems BOND® RX instrument with an Opal™ 4-color kit. The section was incubated in three rounds of staining : in the order of ab271938 (1/500), ab236216 (1/400), and ab76113 (1/2000) for 30 mins at room temperature. Each round was followed by a separate fluorescent tyramide signal amplification system. Each round was followed by a separate fluorescent tyramide signal amplification system. Heat mediated antigen retrieval with Tris-EDTA buffer (pH 9.0, epitope retrieval solution 2) was used for 20 mins. DAPI (blue) was used as a nuclear counter stain. Image acquisition was performed with Leica SP8 confocal microscope. This image was generated using ab64081, the same clone, but with a different buffer formulation.

Flow Cytometry (Intracellular) - Anti-Cytokeratin 5 antibody [SP27] - BSA and Azide free (AB236216)
  • Flow Cyt (Intra)

Lab

Flow Cytometry (Intracellular) - Anti-Cytokeratin 5 antibody [SP27] - BSA and Azide free (AB236216)

This data was developed using the same antibody clone in a different buffer formulation containing PBS, BSA, glycerol, and sodium azide (ab64081).

Flow cytometry overlay histogram showing left A-431 positive cells and right negative MCF7 stained with ab64081 (red line). The cells were fixed with 80% methanol (5 min) and then permeabilised with 0.1% PBS-Triton X-100 for 15 min. The cells were then incubated in 1x PBS containing 10% normal goat serum to block non-specific protein-protein interaction followed by the antibody (ab64081) (1x 106 in 100μl at 1.0μg/ml (1/2080)) for 30min at 22°C.

The secondary antibody Goat Anti-Rabbit IgG H&L (Alexa Fluor® 488) preadsorbed was incubated at 1/4000 for 30min at 22°C

Isotype control antibody (black line) was Recombinant Rabbit IgG, monoclonal [EPR25A] - Isotype Control used at the same concentration and conditions as the primary antibody. Unlabelled sample (blue line) was also used as a control.

Acquisition of >5000 events were collected using a 50 mW Blue laser (488nm) and 525/40 bandpass filter.

Immunohistochemistry (Formalin/PFA-fixed paraffin-embedded sections) - Anti-Cytokeratin 5 antibody [SP27] - BSA and Azide free (AB236216)
  • IHC-P

Unknown

Immunohistochemistry (Formalin/PFA-fixed paraffin-embedded sections) - Anti-Cytokeratin 5 antibody [SP27] - BSA and Azide free (AB236216)

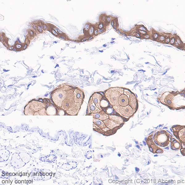
Immunohistochemistry (Formalin/PFA-fixed paraffin-embedded sections) analysis of Rat skin tissue sections labeling Cytokeratin 5 with ab64081 at 1/100 dilution (2.46 μg/ml). Heat mediated antigen retrieval with sodium citrate buffer (pH 6.0, epitope retrieval solution 1) for 10mins. Rabbit specific IHC polymer detection kit HRP/DAB (ab209101) was used as the secondary antibody. Hematoxylin was used as a counterstain. Cytoplasmic staining on rat skin, performed on a Leica Biosystems BOND™ RX instrument.

The section was incubated with ab64081 for 30 mins at room temperature.

This image was generated using ab64081, the same clone, but with a different buffer formulation.

Immunohistochemistry (Frozen sections) - Anti-Cytokeratin 5 antibody [SP27] - BSA and Azide free (AB236216)
  • IHC-Fr

Unknown

Immunohistochemistry (Frozen sections) - Anti-Cytokeratin 5 antibody [SP27] - BSA and Azide free (AB236216)

Immunohistochemistry (Frozen) analysis of mouse skin tissue section labeling Cytokeratin 5 with purified ab64081 at 1/30 (8.2 μg/ml). Sections were fixed in 4% paraformaldehyde and permeabilized with 0.2% Triton X-100. Antigen retrieval was Heat mediated antigen retrieval using sodium citrate buffer (10mM citrate pH 6.0 + 0.05% Tween-20). Goat anti rabbit IgG (Alexa Fluor® 488, ab150077) was used as the secondary antibody at 1/1000 (2 μg/ml) dilution. DAPI was used as nuclear counterstain. PBS instead of the primary antibody was used as the secondary antibody only control.

This image was generated using ab64081, the same clone, but with a different buffer formulation.

Immunohistochemistry (Frozen sections) - Anti-Cytokeratin 5 antibody [SP27] - BSA and Azide free (AB236216)
  • IHC-Fr

Unknown

Immunohistochemistry (Frozen sections) - Anti-Cytokeratin 5 antibody [SP27] - BSA and Azide free (AB236216)

Immunohistochemistry (Frozen) analysis of rat skin tissue section labeling Cytokeratin 5 with purified ab64081 at 1/30 (8.2 μg/ml). Sections were fixed in 4% paraformaldehyde and permeabilized with 0.2% Triton X-100. Antigen retrieval was Heat mediated antigen retrieval using sodium citrate buffer (10mM citrate pH 6.0 + 0.05% Tween-20). Goat anti rabbit IgG (Alexa Fluor® 488, ab150077) was used as the secondary antibody at 1/1000 (2 μg/ml) dilution. DAPI was used as nuclear counterstain. PBS instead of the primary antibody was used as the secondary antibody only control.

This image was generated using ab64081, the same clone, but with a different buffer formulation.

Immunohistochemistry (Formalin/PFA-fixed paraffin-embedded sections) - Anti-Cytokeratin 5 antibody [SP27] - BSA and Azide free (AB236216)
  • IHC-P

Unknown

Immunohistochemistry (Formalin/PFA-fixed paraffin-embedded sections) - Anti-Cytokeratin 5 antibody [SP27] - BSA and Azide free (AB236216)

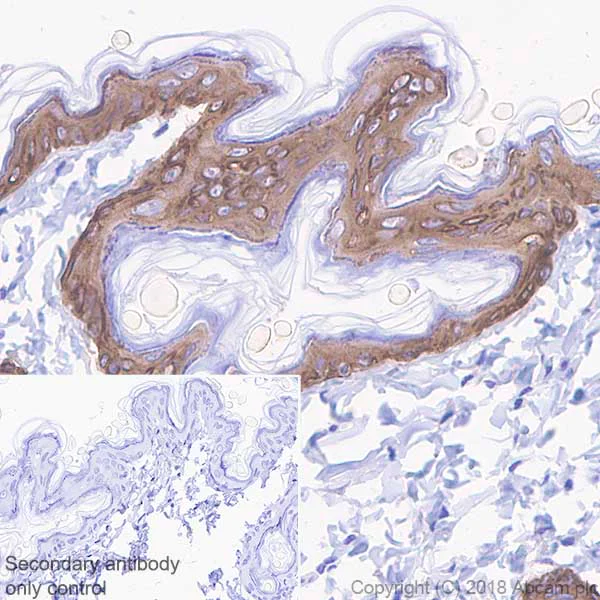
Immunohistochemistry (Formalin/PFA-fixed paraffin-embedded sections) analysis of Mouse skin tissue sections labeling Cytokeratin 5 with ab64081 at 1/100 dilution (2.46 μg/ml). Heat mediated antigen retrieval with sodium citrate buffer (pH 6.0, epitope retrieval solution 1) for 10mins. Rabbit specific IHC polymer detection kit HRP/DAB (ab209101) was used as the secondary antibody. Hematoxylin was used as a counterstain. Cytoplasmic staining on mouse skin, performed on a Leica Biosystems BOND™ RX instrument
The section was incubated with ab64081 for 30 mins at room temperature. This image was generated using ab64081, the same clone, but with a different buffer formulation.

Multiplex immunohistochemistry - Anti-Cytokeratin 5 antibody [SP27] - BSA and Azide free (AB236216)
  • mIHC

Lab

Multiplex immunohistochemistry - Anti-Cytokeratin 5 antibody [SP27] - BSA and Azide free (AB236216)

Immunohistochemistry analysis of Formalin/PFA-fixed paraffin-embedded sections Mouse Prostate tissue labelling E Cadherin with ab324191 at 1 : 500 dilution (B), Cytokeratin 5 with ab236216 at 1 : 1500 dilution (C) and Collagen VI with ab271938 at 1 : 2000 dilution (D). Opal Polymer HRP Ms + Rb was used as a secondary antibody, and DAPI was used for a nuclear counter stain. Heat mediated antigen retrieval with Tris-EDTA buffer (pH 9.0, epitope retrieval solution2) for 20 mins.

Panel A : merged staining of anti-E Cadherin (green; Opal™690), anti-Cytokeratin 5 (magenta; Opal™520) and anti-Collagen VI (gray; Opal™570) on mouse prostate.

Panel B : anti-E Cadherin staining epithelium in mouse prostate.

Panel C : ant-Cytokeratin 5 staining basal cells in mouse prostate.

Panel D : ant-Collagen VI staining stoma in mouse prostate.

Nuclear DNA was labelled with DAPI (shown in blue).

The section was incubated in three rounds of staining : in the order of ab324191, ab236216 and ab271938 for 30 mins at room temperature. Each round was followed by a separate fluorescent tyramide signal amplification system.

The immunostaining was performed on a Leica Biosystems BOND® RX instrument with an Opal™ 4-color kit. Image acquisition was performed with Leica SP8 confocal microscope.

Multiplex immunohistochemistry - Anti-Cytokeratin 5 antibody [SP27] - BSA and Azide free (AB236216)
  • mIHC

Lab

Multiplex immunohistochemistry - Anti-Cytokeratin 5 antibody [SP27] - BSA and Azide free (AB236216)

Immunohistochemistry analysis of Formalin/PFA-fixed paraffin-embedded sections Mouse Prostate tissue labelling E Cadherin with ab324191 at 1 : 500 dilution (B), Cytokeratin 5 with ab236216 at 1 : 1500 dilution (C) and smooth muscle Myosin heavy chain 11 with ab240983 at 1 : 4000 dilution (D). Opal Polymer HRP Ms + Rb was used as a secondary antibody, and DAPI was used for a nuclear counter stain. Heat mediated antigen retrieval with Tris-EDTA buffer (pH 9.0, epitope retrieval solution2) for 20 mins.

Panel A : merged staining of anti-E Cadherin (green; Opal™690), anti-Cytokeratin 5 (magenta; Opal™520) and anti-smooth muscle Myosin heavy chain 11 (gray; Opal™570) on mouse prostate.

Panel B : anti-E Cadherin staining epithelium in mouse prostate.

Panel C : ant-Cytokeratin 5 staining basal cells in mouse prostate.

Panel D : ant-smooth muscle Myosin heavy chain 11 staining smooth muscle in mouse prostate.

Nuclear DNA was labeled with DAPI (shown in blue).

The section was incubated in three rounds of staining : in the order of ab324191, ab236216 and ab240983 for 30 mins at room temperature. Each round was followed by a separate fluorescent tyramide signal amplification system.

The immunostaining was performed on a Leica Biosystems BOND® RX instrument with an Opal™ 4-color kit. Image acquisition was performed with Leica SP8 confocal microscope.

  • Unconjugated

    Anti-Cytokeratin 5 antibody [SP27]

  • 665 Alexa Fluor® 647

    Alexa Fluor® 647 Anti-Cytokeratin 5 antibody [SP27]

  • 565 Alexa Fluor® 555

    Alexa Fluor® 555 Anti-Cytokeratin 5 antibody [SP27]

  • 617 Alexa Fluor® 594

    Alexa Fluor® 594 Anti-Cytokeratin 5 antibody [SP27]

  • 578 PE

    PE Anti-Cytokeratin 5 antibody [SP27]

  • 660 APC

    APC Anti-Cytokeratin 5 antibody [SP27]

  • 775 Alexa Fluor® 750

    Alexa Fluor® 750 Anti-Cytokeratin 5 antibody [SP27]

  • 519 Alexa Fluor® 488

    Alexa Fluor® 488 Anti-Cytokeratin 5 antibody [SP27]

Key facts

Host species

Rabbit

Clonality

Monoclonal

Clone number

SP27

Isotype

IgG

Carrier free

Yes

Reacts with

Mouse, Rat, Human

Applications

IHC-P, ICC/IF, WB, mIHC, Flow Cyt (Intra), IHC-Fr

applications

Immunogen

The exact immunogen used to generate this antibody is proprietary information.

Reactivity data

{ "title": "Reactivity Data", "filters": { "stats": ["", "Species", "Dilution Info", "Notes"], "tabs": { "all-applications": {"fullname" : "All Applications", "shortname": "All Applications"}, "FlowCytIntra" : {"fullname" : "Flow Cytometry (Intracellular)", "shortname":"Flow Cyt (Intra)"}, "WB" : {"fullname" : "Western blot", "shortname":"WB"}, "IHCP" : {"fullname" : "Immunohistochemistry (Formalin/PFA-fixed paraffin-embedded sections)", "shortname":"IHC-P"}, "ICCIF" : {"fullname" : "Immunocytochemistry/ Immunofluorescence", "shortname":"ICC/IF"}, "IHCFr" : {"fullname" : "Immunohistochemistry (Frozen sections)", "shortname":"IHC-Fr"}, "mIHC" : {"fullname" : "Multiplex immunohistochemistry", "shortname":"mIHC"} }, "product-promise": { "all": "all", "testedAndGuaranteed": "tested", "guaranteed": "expected", "predicted": "predicted", "notRecommended": "not-recommended" } }, "values": { "Human": { "FlowCytIntra-species-checked": "testedAndGuaranteed", "FlowCytIntra-species-dilution-info": "", "FlowCytIntra-species-notes": "<p></p>", "WB-species-checked": "testedAndGuaranteed", "WB-species-dilution-info": "", "WB-species-notes": "<p></p>", "IHCP-species-checked": "testedAndGuaranteed", "IHCP-species-dilution-info": "", "IHCP-species-notes": "<p>Incubate for 30 min at room temperature. Staining of formalin fixed tissues requires boiling tissue sections in 10mM citrate buffer, pH 6.0 for 10 min followed by cooling at room temperature for 20 min.</p>", "ICCIF-species-checked": "testedAndGuaranteed", "ICCIF-species-dilution-info": "", "ICCIF-species-notes": "<p></p>", "IHCFr-species-checked": "guaranteed", "IHCFr-species-dilution-info": "", "IHCFr-species-notes": "", "mIHC-species-checked": "testedAndGuaranteed", "mIHC-species-dilution-info": "", "mIHC-species-notes": "<p></p>" }, "Mouse": { "FlowCytIntra-species-checked": "guaranteed", "FlowCytIntra-species-dilution-info": "", "FlowCytIntra-species-notes": "", "WB-species-checked": "guaranteed", "WB-species-dilution-info": "", "WB-species-notes": "", "IHCP-species-checked": "testedAndGuaranteed", "IHCP-species-dilution-info": "", "IHCP-species-notes": "<p>Incubate for 30 min at room temperature. Staining of formalin fixed tissues requires boiling tissue sections in 10mM citrate buffer, pH 6.0 for 10 min followed by cooling at room temperature for 20 min.</p>", "ICCIF-species-checked": "guaranteed", "ICCIF-species-dilution-info": "", "ICCIF-species-notes": "", "IHCFr-species-checked": "testedAndGuaranteed", "IHCFr-species-dilution-info": "", "IHCFr-species-notes": "<p></p>", "mIHC-species-checked": "testedAndGuaranteed", "mIHC-species-dilution-info": "", "mIHC-species-notes": "<p></p>" }, "Rat": { "FlowCytIntra-species-checked": "guaranteed", "FlowCytIntra-species-dilution-info": "", "FlowCytIntra-species-notes": "", "WB-species-checked": "guaranteed", "WB-species-dilution-info": "", "WB-species-notes": "", "IHCP-species-checked": "testedAndGuaranteed", "IHCP-species-dilution-info": "", "IHCP-species-notes": "<p>Incubate for 30 min at room temperature. Staining of formalin fixed tissues requires boiling tissue sections in 10mM citrate buffer, pH 6.0 for 10 min followed by cooling at room temperature for 20 min.</p>", "ICCIF-species-checked": "guaranteed", "ICCIF-species-dilution-info": "", "ICCIF-species-notes": "", "IHCFr-species-checked": "testedAndGuaranteed", "IHCFr-species-dilution-info": "", "IHCFr-species-notes": "<p></p>", "mIHC-species-checked": "guaranteed", "mIHC-species-dilution-info": "", "mIHC-species-notes": "" }, "Cow": { "FlowCytIntra-species-checked": "predicted", "FlowCytIntra-species-dilution-info": "", "FlowCytIntra-species-notes": "", "WB-species-checked": "predicted", "WB-species-dilution-info": "", "WB-species-notes": "", "IHCP-species-checked": "predicted", "IHCP-species-dilution-info": "", "IHCP-species-notes": "", "ICCIF-species-checked": "predicted", "ICCIF-species-dilution-info": "", "ICCIF-species-notes": "", "IHCFr-species-checked": "predicted", "IHCFr-species-dilution-info": "", "IHCFr-species-notes": "", "mIHC-species-checked": "predicted", "mIHC-species-dilution-info": "", "mIHC-species-notes": "" }, "Dog": { "FlowCytIntra-species-checked": "predicted", "FlowCytIntra-species-dilution-info": "", "FlowCytIntra-species-notes": "", "WB-species-checked": "predicted", "WB-species-dilution-info": "", "WB-species-notes": "", "IHCP-species-checked": "predicted", "IHCP-species-dilution-info": "", "IHCP-species-notes": "", "ICCIF-species-checked": "predicted", "ICCIF-species-dilution-info": "", "ICCIF-species-notes": "", "IHCFr-species-checked": "predicted", "IHCFr-species-dilution-info": "", "IHCFr-species-notes": "", "mIHC-species-checked": "predicted", "mIHC-species-dilution-info": "", "mIHC-species-notes": "" }, "Pig": { "FlowCytIntra-species-checked": "predicted", "FlowCytIntra-species-dilution-info": "", "FlowCytIntra-species-notes": "", "WB-species-checked": "predicted", "WB-species-dilution-info": "", "WB-species-notes": "", "IHCP-species-checked": "predicted", "IHCP-species-dilution-info": "", "IHCP-species-notes": "", "ICCIF-species-checked": "predicted", "ICCIF-species-dilution-info": "", "ICCIF-species-notes": "", "IHCFr-species-checked": "predicted", "IHCFr-species-dilution-info": "", "IHCFr-species-notes": "", "mIHC-species-checked": "predicted", "mIHC-species-dilution-info": "", "mIHC-species-notes": "" } } }

Product details

ab236216 is the carrier-free version of ab64081.

What are the advantages of a recombinant monoclonal antibody?
This product is a recombinant monoclonal antibody, which offers several advantages including:

  • - High batch-to-batch consistency and reproducibility
  • - Improved sensitivity and specificity
  • - Long-term security of supply
  • - Animal-free batch production

For more information, read more on recombinant antibodies.

Conjugation ready
Our carrier-free antibodies are typically supplied in a PBS-only formulation, purified and free of BSA, sodium azide and glycerol. This conjugation-ready format is designed for use with fluorochromes, metal isotopes, oligonucleotides, and enzymes, which makes them ideal for antibody labelling, functional and cell-based assays, flow-based assays (e.g. mass cytometry) and Multiplex Imaging applications.

Use our conjugation kits for antibody conjugates that are ready-to-use in as little as 20 minutes with 1 minute hands-on-time and 100% antibody recovery: available for fluorescent dyes, HRP, biotin and gold.

Compatibility
This product is compatible with the Maxpar® Antibody Labeling Kit from Fluidigm, without the need for antibody preparation. Maxpar® is a trademark of Fluidigm Canada Inc.

Properties and storage information

Form
Liquid
Purification technique
Affinity purification Protein A/G
Purification notes
Purified from TCS by protein A/G.
Storage buffer
pH: 7.2 - 7.4 Constituents: PBS
Shipped at conditions
Blue Ice
Appropriate short-term storage conditions
+4°C
Appropriate long-term storage conditions
+4°C
Storage information
Do Not Freeze

Product protocols

For this product, it's our understanding that no specific protocols are required. You can visit:

Target data

Required for the formation of keratin intermediate filaments in the basal epidermis and maintenance of the skin barrier in response to mechanical stress (By similarity). Regulates the recruitment of Langerhans cells to the epidermis, potentially by modulation of the abundance of macrophage chemotactic cytokines, macrophage inflammatory cytokines and CTNND1 localization in keratinocytes (By similarity).
See full target information Keratin, type II cytoskeletal 5

Publications (2)

Recent publications for all applications. Explore the full list and refine your search

Breast cancer research : BCR 25:23 PubMed36859337

2023

Lineage plasticity enables low-ER luminal tumors to evolve and gain basal-like traits.

Applications

Unspecified application

Species

Unspecified reactive species

Gadisti Aisha Mohamed,Sundis Mahmood,Nevena B Ognjenovic,Min Kyung Lee,Owen M Wilkins,Brock C Christensen,Kristen E Muller,Diwakar R Pattabiraman

Nature communications 13:7099 PubMed36402816

2022

The non-catalytic role of DNA polymerase epsilon in replication initiation in human cells.

Applications

Unspecified application

Species

Unspecified reactive species

Sameera Vipat,Dipika Gupta,Sagun Jonchhe,Hele Anderspuk,Eli Rothenberg,Tatiana N Moiseeva
View all publications

Product promise

We are committed to supporting your work with high-quality reagents, and we're here for you every step of the way. In the unlikely event that one of our products does not perform as expected, you're protected by our Product Promise.
For full details, please see our Terms & Conditions

Please note: All products are 'FOR RESEARCH USE ONLY. NOT FOR USE IN DIAGNOSTIC OR THERAPEUTIC PROCEDURES'.

For licensing inquiries, please contact partnerships@abcam.com