JavaScript is disabled in your browser. Please enable JavaScript to view this website.
AB247600

Anti-Cytokeratin 6 antibody [EPR1602Y] - BSA and Azide free

Be the first to review this product! Submit a review

|

(1 Publication)

Rabbit Recombinant Monoclonal K2C6C antibody. Carrier free. Suitable for IHC-P, ICC/IF, WB and reacts with Human samples. Cited in 1 publication.

View Alternative Names

KRT6E, KRT6C, Cytokeratin-6C, Cytokeratin-6E, Keratin K6h, Keratin-6C, Type-II keratin Kb12, CK-6C, CK-6E, K6C

9 Images
Immunocytochemistry/ Immunofluorescence - Anti-Cytokeratin 6 antibody [EPR1602Y] - BSA and Azide free (AB247600)
  • ICC/IF

Unknown

Immunocytochemistry/ Immunofluorescence - Anti-Cytokeratin 6 antibody [EPR1602Y] - BSA and Azide free (AB247600)

This data was developed using ab93279, the same antibody clone in a different buffer formulation.

ICC/IF image of unpurified ab93279 stained A431 (Human epidermoid carcinoma cell line) cells.

The cells were 100% methanol fixed (5 min) and then incubated in 1%BSA / 10% normal goat serum / 0.3M glycine in 0.1% PBS-Tween for 1h to permeabilize the cells and block non-specific protein-protein interactions. The cells were then incubated with the antibody (ab93279, 1/100 dilution) overnight at +4°C. The secondary antibody (green) was ab96899, DyLight® 488 goat anti-rabiit IgG (H+L) used at a 1/250 dilution for 1h. Alexa Fluor® 594 WGA was used to label plasma membranes (red) at a 1/200 dilution for 1h. DAPI was used to stain the cell nuclei (blue) at a concentration of 1.43μM.

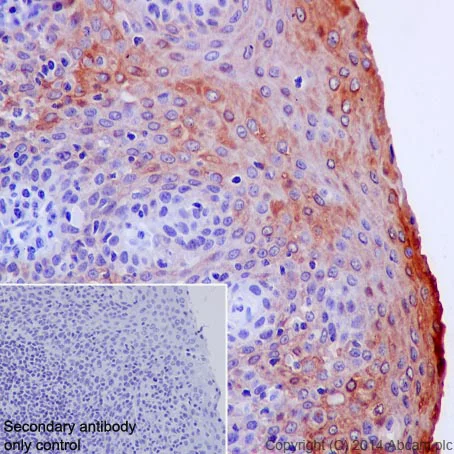
Immunohistochemistry (Formalin/PFA-fixed paraffin-embedded sections) - Anti-Cytokeratin 6 antibody [EPR1602Y] - BSA and Azide free (AB247600)
  • IHC-P

Supplier Data

Immunohistochemistry (Formalin/PFA-fixed paraffin-embedded sections) - Anti-Cytokeratin 6 antibody [EPR1602Y] - BSA and Azide free (AB247600)

This data was developed using ab93279, the same antibody clone in a different buffer formulation.

Immunohistochemistry (Formalin/PFA-fixed paraffin-embedded sections) analysis of human tonsil tissue labelling Cytokeratin 6 with purified ab93279 at 1/50. Heat mediated antigen retrieval was performed using Tris/EDTA buffer pH 9. ab97051, a HRP-conjugated goat anti-rabbit IgG (H+L) was used as the secondary antibody (1/500).

Negative control using PBS instead of primary antibody. Counterstained with hematoxylin.

Immunohistochemistry (Formalin/PFA-fixed paraffin-embedded sections) - Anti-Cytokeratin 6 antibody [EPR1602Y] - BSA and Azide free (AB247600)
  • IHC-P

Lab

Immunohistochemistry (Formalin/PFA-fixed paraffin-embedded sections) - Anti-Cytokeratin 6 antibody [EPR1602Y] - BSA and Azide free (AB247600)

This data was developed using the same antibody clone in a different buffer formulation containing PBS and sodium azide (ab93279). IHC image of Cytokeratin 6 staining in a section of formalin-fixed paraffin-embedded normal human skin* performed on a Leica Biosystems BOND® RX instrument. The section was pre-treated using heat mediated antigen retrieval with sodium citrate buffer (pH6, epitope retrieval solution 1) for 20mins. The section was then incubated with ab93279, 0.5ug/ml, for 15 mins at room temperature and detected using an HRP conjugated compact polymer system. DAB was used as the chromogen. The section was then counterstained with haematoxylin and mounted with DPX. The inset secondary-only control image is taken from an identical assay without primary antibody. For other IHC staining systems (automated and non-automated) customers should optimize variable parameters such as antigen retrieval conditions, primary antibody concentration and antibody incubation times. *Tissue obtained from the Human Research Tissue Bank, supported by the NIHR Cambridge Biomedical Research Centre

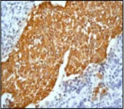
Immunohistochemistry (Formalin/PFA-fixed paraffin-embedded sections) - Anti-Cytokeratin 6 antibody [EPR1602Y] - BSA and Azide free (AB247600)
  • IHC-P

Unknown

Immunohistochemistry (Formalin/PFA-fixed paraffin-embedded sections) - Anti-Cytokeratin 6 antibody [EPR1602Y] - BSA and Azide free (AB247600)

This data was developed using ab93279, the same antibody clone in a different buffer formulation.

Immunohistochemistry (Formalin/PFA-fixed paraffin-embedded sections) analysis of human squamous cervical carcinoma tissue labelling Cytokeratin 6 with unpurified ab93279 at a dilution of 1/250.

Perform heat mediated antigen retrieval before commencing with IHC staining protocol.

Immunocytochemistry/ Immunofluorescence - Anti-Cytokeratin 6 antibody [EPR1602Y] - BSA and Azide free (AB247600)
  • ICC/IF

Supplier Data

Immunocytochemistry/ Immunofluorescence - Anti-Cytokeratin 6 antibody [EPR1602Y] - BSA and Azide free (AB247600)

This data was developed using ab93279, the same antibody clone in a different buffer formulation.

Immunocytochemistry/Immunofluorescence analysis of A431 (Human epidermoid carcinoma cell line) cells labelling Cytokeratin 6 with purified ab93279 at 1/50. Cells were fixed with 4% paraformaldehyde and permeabilized with 0.1% Triton X-100. ab150077, an Alexa Fluor® 488-conjugated goat anti-rabbit IgG (1/500) was used as the secondary antibody. DAPI (blue) was used as the nuclear counterstain. ab7291, a mouse anti-tubulin (1/500) and ab150120, an Alexa Fluor® 594-conjugated goat anti-mouse IgG (1/500) were also used.

Control 1 : Primary antibody (1/100) and secondary antibody, ab150120, an Alexa Fluor® 594-conjugated goat anti-mouse IgG (1/500).

Control 2 : ab7291 (1/1000) and secondary antibody, ab150077, an Alexa Fluor® 488-conjugated goat anti-rabbit IgG (1/500).

Western blot - Anti-Cytokeratin 6 antibody [EPR1602Y] - BSA and Azide free (AB247600)
  • WB

Lab

Western blot - Anti-Cytokeratin 6 antibody [EPR1602Y] - BSA and Azide free (AB247600)

Blocking buffer : 5% NFDM /TBST.

All lanes:

Western blot - Anti-Cytokeratin 6 antibody [EPR1602Y] (<a href='/en-us/products/primary-antibodies/cytokeratin-6-antibody-epr1602y-ab93279'>ab93279</a>) at 1/1000 dilution

Lane 1:

N-GST tagged full-length recombinant human Cytokeratin 6A protein at 10 ng

Lane 2:

N-GST tagged full-length recombinant human Cytokeratin 5 protein at 10 ng

Secondary

All lanes:

Western blot - Goat Anti-Rabbit IgG H&L (HRP) (<a href='/en-us/products/secondary-antibodies/goat-rabbit-igg-h-l-hrp-ab97051'>ab97051</a>) at 1/20000 dilution

Observed band size: 87 kDa

false

Exposure time: 180s

Western blot - Anti-Cytokeratin 6 antibody [EPR1602Y] - BSA and Azide free (AB247600)
  • WB

Unknown

Western blot - Anti-Cytokeratin 6 antibody [EPR1602Y] - BSA and Azide free (AB247600)

This data was developed using ab93279, the same antibody clone in a different buffer formulation.

Blocking and dilution buffer : 5% NFDM/TBST.

All lanes:

Western blot - Anti-Cytokeratin 6 antibody [EPR1602Y] (<a href='/en-us/products/primary-antibodies/cytokeratin-6-antibody-epr1602y-ab93279'>ab93279</a>) at 1/2000 dilution

Lane 1:

Human skin tissue lysate at 20 µg

Lane 2:

Human tonsil tissue lysate at 20 µg

Secondary

All lanes:

Peroxidase conjugated goat anti-rabbit IgG (H+L) at 1/1000 dilution

Predicted band size: 60 kDa

Observed band size: 56 kDa

false

Western blot - Anti-Cytokeratin 6 antibody [EPR1602Y] - BSA and Azide free (AB247600)
  • WB

Unknown

Western blot - Anti-Cytokeratin 6 antibody [EPR1602Y] - BSA and Azide free (AB247600)

This data was developed using ab93279, the same antibody clone in a different buffer formulation.

Blocking and dilution buffer : 5% NFDM/TBST.

All lanes:

Western blot - Anti-Cytokeratin 6 antibody [EPR1602Y] (<a href='/en-us/products/primary-antibodies/cytokeratin-6-antibody-epr1602y-ab93279'>ab93279</a>) at 1/10000 dilution

All lanes:

HaCaT (Human keratinocyte cell line) cell lysate at 20 µg

Secondary

All lanes:

Peroxidase conjugated goat anti-rabbit IgG (H+L) at 1/1000 dilution

Predicted band size: 54 kDa,60 kDa

Observed band size: 56 kDa

false

Western blot - Anti-Cytokeratin 6 antibody [EPR1602Y] - BSA and Azide free (AB247600)
  • WB

Unknown

Western blot - Anti-Cytokeratin 6 antibody [EPR1602Y] - BSA and Azide free (AB247600)

This data was developed using ab93279, the same antibody clone in a different buffer formulation.

All lanes:

Western blot - Anti-Cytokeratin 6 antibody [EPR1602Y] (<a href='/en-us/products/primary-antibodies/cytokeratin-6-antibody-epr1602y-ab93279'>ab93279</a>) at 1/5000 dilution

All lanes:

A431 (Human epidermoid carcinoma cell line) cell lysate at 10 µg

Predicted band size: 60 kDa

false

Key facts

Host species

Rabbit

Clonality

Monoclonal

Clone number

EPR1602Y

Isotype

IgG

Carrier free

Yes

Reacts with

Human

Applications

WB, ICC/IF, IHC-P

applications

Immunogen

The exact immunogen used to generate this antibody is proprietary information.

Reactivity data

{ "title": "Reactivity Data", "filters": { "stats": ["", "Species", "Dilution Info", "Notes"], "tabs": { "all-applications": {"fullname" : "All Applications", "shortname": "All Applications"}, "IHCP" : {"fullname" : "Immunohistochemistry (Formalin/PFA-fixed paraffin-embedded sections)", "shortname":"IHC-P"}, "ICCIF" : {"fullname" : "Immunocytochemistry/ Immunofluorescence", "shortname":"ICC/IF"}, "IP" : {"fullname" : "Immunoprecipitation", "shortname":"IP"}, "FlowCyt" : {"fullname" : "Flow Cytometry", "shortname":"Flow Cyt"}, "WB" : {"fullname" : "Western blot", "shortname":"WB"} }, "product-promise": { "all": "all", "testedAndGuaranteed": "tested", "guaranteed": "expected", "predicted": "predicted", "notRecommended": "not-recommended" } }, "values": { "Human": { "IHCP-species-checked": "testedAndGuaranteed", "IHCP-species-dilution-info": "", "IHCP-species-notes": "<p></p>", "ICCIF-species-checked": "testedAndGuaranteed", "ICCIF-species-dilution-info": "", "ICCIF-species-notes": "<p></p>", "IP-species-checked": "notRecommended", "IP-species-dilution-info": "", "IP-species-notes": "<p></p>", "FlowCyt-species-checked": "notRecommended", "FlowCyt-species-dilution-info": "", "FlowCyt-species-notes": "<p></p>", "WB-species-checked": "testedAndGuaranteed", "WB-species-dilution-info": "", "WB-species-notes": "<p></p>" } } }

Product details

ab247600 is the carrier-free version of ab93279.

Species reactivity
Mouse, Rat: We have preliminary internal testing data to indicate this antibody may not react with these species.
Please contact us for more information.

Patented technology
Our RabMAb® technology is a patented hybridoma-based technology for making rabbit monoclonal antibodies. For details on our patents, please refer to RabMAb® patents.

What are the advantages of a recombinant monoclonal antibody?
This product is a recombinant monoclonal antibody, which offers several advantages including:

  • - High batch-to-batch consistency and reproducibility
  • - Improved sensitivity and specificity
  • - Long-term security of supply
  • - Animal-free batch production

For more information, read more on recombinant antibodies.

Conjugation ready
Our carrier-free antibodies are typically supplied in a PBS-only formulation, purified and free of BSA, sodium azide and glycerol. This conjugation-ready format is designed for use with fluorochromes, metal isotopes, oligonucleotides, and enzymes, which makes them ideal for antibody labelling, functional and cell-based assays, flow-based assays (e.g. mass cytometry) and Multiplex Imaging applications.

Use our conjugation kits for antibody conjugates that are ready-to-use in as little as 20 minutes with 1 minute hands-on-time and 100% antibody recovery: available for fluorescent dyes, HRP, biotin and gold.

Compatibility
This product is compatible with the Maxpar® Antibody Labeling Kit from Fluidigm, without the need for antibody preparation. Maxpar® is a trademark of Fluidigm Canada Inc.

Properties and storage information

Form
Liquid
Purification technique
Affinity purification Protein A
Storage buffer
pH: 7.2 - 7.4 Constituents: PBS
Shipped at conditions
Blue Ice
Appropriate short-term storage conditions
+4°C
Appropriate long-term storage conditions
+4°C
Storage information
Do Not Freeze

Product protocols

For this product, it's our understanding that no specific protocols are required. You can visit:

Publications (1)

Recent publications for all applications. Explore the full list and refine your search

TH open : companion journal to thrombosis and haemostasis 7:e217-e225 PubMed37501780

2023

Levels of Fibrinogen Variants Are Altered in Severe COVID-19.

Applications

Unspecified application

Species

Unspecified reactive species

Judith J de Vries,Chantal Visser,Maureen van Ommen,Casper Rokx,Els van Nood,Eric C M van Gorp,Marco Goeijenbier,Johannes P C van den Akker,Henrik Endeman,Dingeman C Rijken,Marieke J H A Kruip,Miranda Weggeman,Jaap Koopman,Moniek P M de Maat
View all publications

Product promise

We are committed to supporting your work with high-quality reagents, and we're here for you every step of the way. In the unlikely event that one of our products does not perform as expected, you're protected by our Product Promise.
For full details, please see our Terms & Conditions

Please note: All products are 'FOR RESEARCH USE ONLY. NOT FOR USE IN DIAGNOSTIC OR THERAPEUTIC PROCEDURES'.

For licensing inquiries, please contact partnerships@abcam.com