JavaScript is disabled in your browser. Please enable JavaScript to view this website.
AB52620

Anti-Cytokeratin 6 antibody [EPR1603Y]

Be the first to review this product! Submit a review

|

(4 Publications)

Rabbit Recombinant Monoclonal K2C6C antibody. Suitable for IHC-P, WB, ICC/IF and reacts with Human samples. Cited in 4 publications.

View Alternative Names

KRT6E, KRT6C, Cytokeratin-6C, Cytokeratin-6E, Keratin K6h, Keratin-6C, Type-II keratin Kb12, CK-6C, CK-6E, K6C

6 Images
Immunocytochemistry/ Immunofluorescence - Anti-Cytokeratin 6 antibody [EPR1603Y] (AB52620)
  • ICC/IF

Unknown

Immunocytochemistry/ Immunofluorescence - Anti-Cytokeratin 6 antibody [EPR1603Y] (AB52620)

ab52620 at 1/100-1/250 dilution staining A431 cells.

Immunocytochemistry/ Immunofluorescence - Anti-Cytokeratin 6 antibody [EPR1603Y] (AB52620)
  • ICC/IF

Unknown

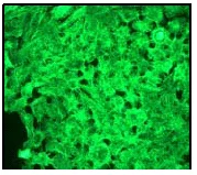
Immunocytochemistry/ Immunofluorescence - Anti-Cytokeratin 6 antibody [EPR1603Y] (AB52620)

Immunocytochemistry/Immunofluorescence analysis of HaCaT (Human keratinocyte cell line) labelling Cytokeratin 6 with purified ab52620 at 1/1000. Cells were fixed with 4% PFA and permeabilized with 0.1% triton X-100. ab150077 Goat anti rabbit IgG (Alexa Fluor® 488) at 1/1000 was used as the secondary antibody. Nuclei were counterstained with DAPI. PBS was used instead of the primary antibody as the negative control.

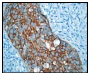
Immunohistochemistry (Formalin/PFA-fixed paraffin-embedded sections) - Anti-Cytokeratin 6 antibody [EPR1603Y] (AB52620)
  • IHC-P

Unknown

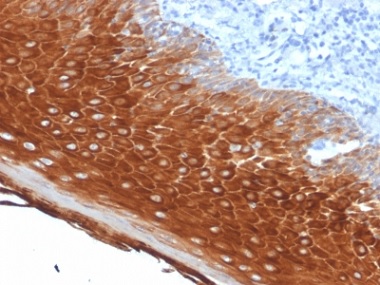
Immunohistochemistry (Formalin/PFA-fixed paraffin-embedded sections) - Anti-Cytokeratin 6 antibody [EPR1603Y] (AB52620)

ab52620 at 1/100-1/250 dilution staining human squamous cervical carcinoma; paraffin embedded.

Perform heat mediated antigen retrieval with citrate buffer pH 6 before commencing with IHC staining protocol.

Immunohistochemistry (Formalin/PFA-fixed paraffin-embedded sections) - Anti-Cytokeratin 6 antibody [EPR1603Y] (AB52620)
  • IHC-P

Lab

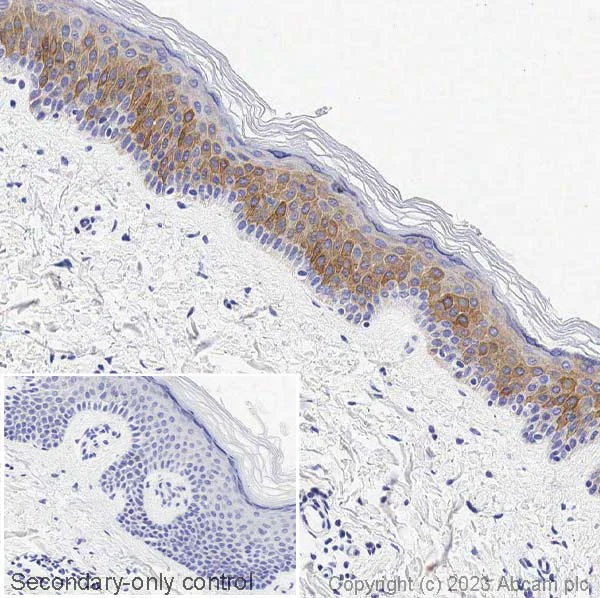
Immunohistochemistry (Formalin/PFA-fixed paraffin-embedded sections) - Anti-Cytokeratin 6 antibody [EPR1603Y] (AB52620)

IHC image of Cytokeratin 6 staining in a section of formalin-fixed paraffin-embedded normal human skin* performed on a Leica Biosystems BOND® RX instrument. The section was pre-treated using heat mediated antigen retrieval with sodium citrate buffer (pH6, epitope retrieval solution 1) for 20mins. The section was then incubated with ab52620, 1ug/ml, for 15 mins at room temperature and detected using an HRP conjugated compact polymer system. DAB was used as the chromogen. The section was then counterstained with haematoxylin and mounted with DPX. The inset secondary-only control image is taken from an identical assay without primary antibody. For other IHC staining systems (automated and non-automated) customers should optimize variable parameters such as antigen retrieval conditions, primary antibody concentration and antibody incubation times. *Tissue obtained from the Human Research Tissue Bank, supported by the NIHR Cambridge Biomedical Research Centre

Western blot - Anti-Cytokeratin 6 antibody [EPR1603Y] (AB52620)
  • WB

Unknown

Western blot - Anti-Cytokeratin 6 antibody [EPR1603Y] (AB52620)

All lanes:

Western blot - Anti-Cytokeratin 6 antibody [EPR1603Y] (ab52620) at 1/100000 dilution

All lanes:

A431 cell lysate at 10 µg

Secondary

All lanes:

Goat anti-rabbit HRP antibody at 1/2000 dilution

Predicted band size: 60 kDa

Observed band size: 60 kDa

false

Western blot - Anti-Cytokeratin 6 antibody [EPR1603Y] (AB52620)
  • WB

Lab

Western blot - Anti-Cytokeratin 6 antibody [EPR1603Y] (AB52620)

Blocking buffer : 5% NFDM /TBST.

All lanes:

Western blot - Anti-Cytokeratin 6 antibody [EPR1603Y] (ab52620) at 1/1000 dilution

Lane 1:

N-GST tagged full-length recombinant human Cytokeratin 6A protein at 10 ng

Lane 2:

N-GST tagged full-length recombinant human Cytokeratin 5 protein at 10 ng

Secondary

All lanes:

Western blot - Goat Anti-Rabbit IgG H&L (HRP) (<a href='/en-us/products/secondary-antibodies/goat-rabbit-igg-h-l-hrp-ab97051'>ab97051</a>) at 1/20000 dilution

Observed band size: 87 kDa

false

Exposure time: 180s

  • 665 Alexa Fluor® 647

    Alexa Fluor® 647 Anti-Cytokeratin 6 antibody [EPR1603Y]

  • Carrier free

    Anti-Cytokeratin 6 antibody [EPR1603Y] - BSA and Azide free

Key facts

Host species

Rabbit

Clonality

Monoclonal

Clone number

EPR1603Y

Isotype

IgG

Carrier free

No

Reacts with

Human

Applications

WB, ICC/IF, IHC-P

applications

Immunogen

The exact immunogen used to generate this antibody is proprietary information.

Reactivity data

{ "title": "Reactivity Data", "filters": { "stats": ["", "Species", "Dilution Info", "Notes"], "tabs": { "all-applications": {"fullname" : "All Applications", "shortname": "All Applications"}, "IHCP" : {"fullname" : "Immunohistochemistry (Formalin/PFA-fixed paraffin-embedded sections)", "shortname":"IHC-P"}, "IP" : {"fullname" : "Immunoprecipitation", "shortname":"IP"}, "FlowCyt" : {"fullname" : "Flow Cytometry", "shortname":"Flow Cyt"}, "WB" : {"fullname" : "Western blot", "shortname":"WB"}, "ICCIF" : {"fullname" : "Immunocytochemistry/ Immunofluorescence", "shortname":"ICC/IF"} }, "product-promise": { "all": "all", "testedAndGuaranteed": "tested", "guaranteed": "expected", "predicted": "predicted", "notRecommended": "not-recommended" } }, "values": { "Human": { "IHCP-species-checked": "testedAndGuaranteed", "IHCP-species-dilution-info": "", "IHCP-species-notes": "<p></p> Perform heat-mediated antigen retrieval with citrate buffer pH 6 before commencing with IHC staining protocol.", "IP-species-checked": "notRecommended", "IP-species-dilution-info": "1/30", "IP-species-notes": "<p></p>", "FlowCyt-species-checked": "notRecommended", "FlowCyt-species-dilution-info": "", "FlowCyt-species-notes": "<p></p>", "WB-species-checked": "testedAndGuaranteed", "WB-species-dilution-info": "1/100000", "WB-species-notes": "<p></p>", "ICCIF-species-checked": "testedAndGuaranteed", "ICCIF-species-dilution-info": "1/100 - 1/250", "ICCIF-species-notes": "<p></p>" } } }

Product details

Species reactivity
Mouse, Rat: We have preliminary internal testing data to indicate this antibody may not react with these species.
Please contact us for more information.

Patented technology
Our RabMAb® technology is a patented hybridoma-based technology for making rabbit monoclonal antibodies. For details on our patents, please refer to RabMAb® patents.

What are the advantages of a recombinant monoclonal antibody?
This product is a recombinant monoclonal antibody, which offers several advantages including:

  • - High batch-to-batch consistency and reproducibility
  • - Improved sensitivity and specificity
  • - Long-term security of supply
  • - Animal-free batch production

For more information, read more on recombinant antibodies.

Properties and storage information

Form
Liquid
Purification technique
Affinity purification Protein A
Storage buffer
pH: 7.2 - 7.4 Preservative: 0.05% Sodium azide Constituents: 50% Tissue culture supernatant, 40% Glycerol (glycerin, glycerine), 9.85% Tris glycine, 0.1% BSA
Shipped at conditions
Blue Ice
Appropriate short-term storage conditions
+4°C
Appropriate long-term storage conditions
-20°C
Aliquoting information
Upon delivery aliquot
Storage information
Avoid freeze / thaw cycle

Product protocols

For this product, it's our understanding that no specific protocols are required. You can visit:

Publications (4)

Recent publications for all applications. Explore the full list and refine your search

Scientific reports 13:14213 PubMed37648686

2023

Trajectory of hiPSCs derived neural progenitor cells differentiation into dermal papilla-like cells and their characteristics.

Applications

Unspecified application

Species

Unspecified reactive species

Andrei Riabinin,Ekaterina Kalabusheva,Anastasia Khrustaleva,Mikhail Akulinin,Alexander Tyakht,Egor Osidak,Elina Chermnykh,Andrey Vasiliev,Ekaterina Vorotelyak

eLife 11: PubMed35796428

2022

Regionally distinct trophoblast regulate barrier function and invasion in the human placenta.

Applications

Unspecified application

Species

Unspecified reactive species

Bryan Marsh,Yan Zhou,Mirhan Kapidzic,Susan Fisher,Robert Blelloch

PloS one 11:e0161163 PubMed27512993

2016

Keratin 17 Is Induced in Oral Cancer and Facilitates Tumor Growth.

Applications

Unspecified application

Species

Unspecified reactive species

Rumana Khanom,Chi Thi Kim Nguyen,Kou Kayamori,Xin Zhao,Keiichi Morita,Yoshio Miki,Ken-Ichi Katsube,Akira Yamaguchi,Kei Sakamoto

Stem cells (Dayton, Ohio) 31:786-99 PubMed23335266

2013

The CD44+ ALDH+ population of human keratinocytes is enriched for epidermal stem cells with long-term repopulating ability.

Applications

Unspecified application

Species

Unspecified reactive species

Akos Z Szabo,Stephen Fong,Lili Yue,Kai Zhang,Lauren R Strachan,Kenneth Scalapino,Maria Laura Mancianti,Ruby Ghadially
View all publications

Product promise

We are committed to supporting your work with high-quality reagents, and we're here for you every step of the way. In the unlikely event that one of our products does not perform as expected, you're protected by our Product Promise.
For full details, please see our Terms & Conditions

Please note: All products are 'FOR RESEARCH USE ONLY. NOT FOR USE IN DIAGNOSTIC OR THERAPEUTIC PROCEDURES'.

For licensing inquiries, please contact partnerships@abcam.com