JavaScript is disabled in your browser. Please enable JavaScript to view this website.
AB218438

Anti-Cytokeratin 6 antibody [KRT6/1702]

Be the first to review this product! Submit a review

|

(4 Publications)

Mouse Monoclonal K2C6A antibody. Suitable for IHC-P and reacts with Human samples. Cited in 4 publications. Immunogen corresponding to Recombinant Full Length Protein corresponding to Human KRT6A.

View Alternative Names

K6A, KRT6D, KRT6A, Cytokeratin-6A, Cytokeratin-6D, Keratin-6A, Type-II keratin Kb6, CK-6A, CK-6D

1 Images
Immunohistochemistry (Formalin/PFA-fixed paraffin-embedded sections) - Anti-Cytokeratin 6 antibody [KRT6/1702] (AB218438)
  • IHC-P

Supplier Data

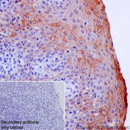
Immunohistochemistry (Formalin/PFA-fixed paraffin-embedded sections) - Anti-Cytokeratin 6 antibody [KRT6/1702] (AB218438)

Immunohistochemical analysis of formalin-fixed, paraffin-embedded human bladder carcinoma tissue labeling Cytokeratin 6 with ab218438 at 0.2 μg/mL.

Key facts

Host species

Mouse

Clonality

Monoclonal

Clone number

KRT6/1702

Isotype

IgG2a

Light chain type

kappa

Carrier free

No

Reacts with

Human

Applications

IHC-P

applications

Immunogen

Recombinant Full Length Protein corresponding to Human KRT6A.

P02538

Reactivity data

{ "title": "Reactivity Data", "filters": { "stats": ["", "Species", "Dilution Info", "Notes"], "tabs": { "all-applications": {"fullname" : "All Applications", "shortname": "All Applications"}, "IHCP" : {"fullname" : "Immunohistochemistry (Formalin/PFA-fixed paraffin-embedded sections)", "shortname":"IHC-P"} }, "product-promise": { "all": "all", "testedAndGuaranteed": "tested", "guaranteed": "expected", "predicted": "predicted", "notRecommended": "not-recommended" } }, "values": { "Human": { "IHCP-species-checked": "testedAndGuaranteed", "IHCP-species-dilution-info": "0.1-0.2 µg/mL", "IHCP-species-notes": "<p>(for 30 minutes at RT)</p> Perform heat-mediated antigen retrieval with citrate buffer pH 6 before commencing with IHC staining protocol." } } }

Properties and storage information

Form
Liquid
Purification technique
Affinity purification Protein A
Storage buffer
pH: 7.2 - 7.4 Preservative: 0.05% Sodium azide Constituents: PBS, 0.05% BSA
Shipped at conditions
Blue Ice
Appropriate short-term storage duration
1-2 weeks
Appropriate short-term storage conditions
+4°C
Appropriate long-term storage conditions
-20°C
Aliquoting information
Upon delivery aliquot
Storage information
Avoid freeze / thaw cycle

Product protocols

For this product, it's our understanding that no specific protocols are required. You can visit:

Target data

Epidermis-specific type I keratin involved in wound healing. Involved in the activation of follicular keratinocytes after wounding, while it does not play a major role in keratinocyte proliferation or migration. Participates in the regulation of epithelial migration by inhibiting the activity of SRC during wound repair.
See full target information KRT6A

Publications (4)

Recent publications for all applications. Explore the full list and refine your search

Investigative ophthalmology & visual science 64:29 PubMed38133507

2023

Isolation and Culture of Human Meibomian Gland Ductal Cells.

Applications

Unspecified application

Species

Unspecified reactive species

Xi Peng,Ya-Li Du,Shu-Ting Liu,Hua Chen,Jia-Song Wang,Chao Wang,Hua-Tao Xie,Ming-Chang Zhang

Scientific reports 13:17234 PubMed37821474

2023

Potential chemopreventive effects of Broccoli extract supplementation against 7, 12 dimethyl Benz(a)anthracene (DMBA) -induced toxicity in female rats.

Applications

Unspecified application

Species

Unspecified reactive species

Aya M Allam,Huda O AbuBakr,Aya M Yassin,Ahmed S Abdel-Razek,Marwa S Khattab,Eman M Gouda,Said Z Mousa

Dermatology (Basel, Switzerland) 238:236-243 PubMed34077928

2021

3D-SeboSkin Model for Human ex vivo Studies of Hidradenitis Suppurativa/Acne Inversa.

Applications

Unspecified application

Species

Unspecified reactive species

Xiaoxiao Hou,Amir M Hossini,Georgios Nikolakis,Ottfried Balthasar,Andreas Kurtz,Christos C Zouboulis

Journal of the European Academy of Dermatology and Venereology : JEADV 34:846-861 PubMed31838778

2020

Alterations in innate immunity and epithelial cell differentiation are the molecular pillars of hidradenitis suppurativa.

Applications

Unspecified application

Species

Unspecified reactive species

C C Zouboulis,A Nogueira da Costa,E Makrantonaki,X X Hou,D Almansouri,J T Dudley,H Edwards,B Readhead,O Balthasar,G B E Jemec,N G Bonitsis,G Nikolakis,D Trebing,K C Zouboulis,A M Hossini
View all publications

Product promise

We are committed to supporting your work with high-quality reagents, and we're here for you every step of the way. In the unlikely event that one of our products does not perform as expected, you're protected by our Product Promise.
For full details, please see our Terms & Conditions

Please note: All products are 'FOR RESEARCH USE ONLY. NOT FOR USE IN DIAGNOSTIC OR THERAPEUTIC PROCEDURES'.

For licensing inquiries, please contact partnerships@abcam.com