JavaScript is disabled in your browser. Please enable JavaScript to view this website.
AB154334

Anti-Cytokeratin 7 antibody

Be the first to review this product! Submit a review

|

(5 Publications)

Rabbit Polyclonal Cytokeratin 7 antibody. Suitable for IHC-P, WB, ICC/IF, IHC-Fr and reacts with Human samples. Cited in 5 publications. Immunogen corresponding to Recombinant Fragment Protein within Human KRT7 aa 1-350.

View Alternative Names

SCL, KRT7, Cytokeratin-7, Keratin-7, Sarcolectin, Type-II keratin Kb7, CK-7, K7

4 Images
Immunohistochemistry (Frozen sections) - Anti-Cytokeratin 7 antibody (AB154334)
  • IHC-Fr

Unknown

Immunohistochemistry (Frozen sections) - Anti-Cytokeratin 7 antibody (AB154334)

Immunohistochemical analysis of Human placenta tissue (paraformaldehyde-fixed frozen sections), labeling Cytokeratin 7 with ab154334 at 1/200 dilution.

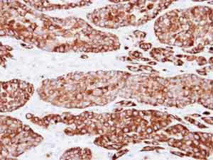
Immunohistochemistry (Formalin/PFA-fixed paraffin-embedded sections) - Anti-Cytokeratin 7 antibody (AB154334)
  • IHC-P

Unknown

Immunohistochemistry (Formalin/PFA-fixed paraffin-embedded sections) - Anti-Cytokeratin 7 antibody (AB154334)

Immunohistochemical analysis of paraffin-embedded Human A549 xenograft tissue, labeling Cytokeratin 7 with ab154334 at 1/500 dilution.

Immunocytochemistry/ Immunofluorescence - Anti-Cytokeratin 7 antibody (AB154334)
  • ICC/IF

Unknown

Immunocytochemistry/ Immunofluorescence - Anti-Cytokeratin 7 antibody (AB154334)

Immunofluorescence analysis of paraformaldehyde-fixed HeLa cells, labeling Cytokeratin 7 with ab154334 at 1/200 dilution. Lower image is merged with DNA probe.

Western blot - Anti-Cytokeratin 7 antibody (AB154334)
  • WB

Unknown

Western blot - Anti-Cytokeratin 7 antibody (AB154334)

10% SDS PAGE

All lanes:

Western blot - Anti-Cytokeratin 7 antibody (ab154334) at 1/10000 dilution

All lanes:

A431 whole cell lysate at 30 µg

Predicted band size: 51 kDa

false

Key facts

Host species

Rabbit

Clonality

Polyclonal

Isotype

IgG

Carrier free

No

Reacts with

Human

Applications

IHC-P, ICC/IF, IHC-Fr, WB

applications

Immunogen

Recombinant Fragment Protein within Human KRT7 aa 1-350. The exact immunogen used to generate this antibody is proprietary information.

P08729

Reactivity data

{ "title": "Reactivity Data", "filters": { "stats": ["", "Species", "Dilution Info", "Notes"], "tabs": { "all-applications": {"fullname" : "All Applications", "shortname": "All Applications"}, "IHCP" : {"fullname" : "Immunohistochemistry (Formalin/PFA-fixed paraffin-embedded sections)", "shortname":"IHC-P"}, "WB" : {"fullname" : "Western blot", "shortname":"WB"}, "ICCIF" : {"fullname" : "Immunocytochemistry/ Immunofluorescence", "shortname":"ICC/IF"}, "IHCFr" : {"fullname" : "Immunohistochemistry (Frozen sections)", "shortname":"IHC-Fr"} }, "product-promise": { "all": "all", "testedAndGuaranteed": "tested", "guaranteed": "expected", "predicted": "predicted", "notRecommended": "not-recommended" } }, "values": { "Human": { "IHCP-species-checked": "testedAndGuaranteed", "IHCP-species-dilution-info": "1/100 - 1/1000", "IHCP-species-notes": "<p></p> Perform heat-mediated antigen retrieval with citrate buffer pH 6 before commencing with IHC staining protocol.", "WB-species-checked": "testedAndGuaranteed", "WB-species-dilution-info": "1/5000 - 1/20000", "WB-species-notes": "<p></p>", "ICCIF-species-checked": "testedAndGuaranteed", "ICCIF-species-dilution-info": "1/100 - 1/1000", "ICCIF-species-notes": "<p></p>", "IHCFr-species-checked": "testedAndGuaranteed", "IHCFr-species-dilution-info": "1/100 - 1/1000", "IHCFr-species-notes": "<p></p>" }, "Rat": { "IHCP-species-checked": "predicted", "IHCP-species-dilution-info": "", "IHCP-species-notes": "", "WB-species-checked": "predicted", "WB-species-dilution-info": "", "WB-species-notes": "", "ICCIF-species-checked": "predicted", "ICCIF-species-dilution-info": "", "ICCIF-species-notes": "", "IHCFr-species-checked": "predicted", "IHCFr-species-dilution-info": "", "IHCFr-species-notes": "" }, "Monkey": { "IHCP-species-checked": "predicted", "IHCP-species-dilution-info": "", "IHCP-species-notes": "", "WB-species-checked": "predicted", "WB-species-dilution-info": "", "WB-species-notes": "", "ICCIF-species-checked": "predicted", "ICCIF-species-dilution-info": "", "ICCIF-species-notes": "", "IHCFr-species-checked": "predicted", "IHCFr-species-dilution-info": "", "IHCFr-species-notes": "" } } }

Properties and storage information

Form
Liquid
Purification technique
Affinity purification Immunogen
Storage buffer
pH: 7 Preservative: 0.01% Thimerosal (merthiolate) Constituents: 10% Glycerol (glycerin, glycerine), 1.21% Tris, 0.75% Glycine
Shipped at conditions
Blue Ice
Appropriate short-term storage conditions
+4°C
Appropriate long-term storage conditions
-20°C
Aliquoting information
Upon delivery aliquot
Storage information
Avoid freeze / thaw cycle

Product protocols

For this product, it's our understanding that no specific protocols are required. You can visit:

Target data

Blocks interferon-dependent interphase and stimulates DNA synthesis in cells. Involved in the translational regulation of the human papillomavirus type 16 E7 mRNA (HPV16 E7).
See full target information KRT7

Publications (5)

Recent publications for all applications. Explore the full list and refine your search

Biomarker research 12:55 PubMed38831319

2024

Single-cell and spatial transcriptomics reveal alterations in trophoblasts at invasion sites and disturbed myometrial immune microenvironment in placenta accreta spectrum disorders.

Applications

Unspecified application

Species

Unspecified reactive species

Kaiyuan Ji,Yunshan Chen,Xiuyu Pan,Lina Chen,Xiaodi Wang,Bolun Wen,Junjie Bao,Junmin Zhong,Zi Lv,Zheng Zheng,Huishu Liu

Clinical and translational medicine 13:e1234 PubMed37095651

2023

Integrating single-cell RNA sequencing with spatial transcriptomics reveals an immune landscape of human myometrium during labour.

Applications

Unspecified application

Species

Unspecified reactive species

Kaiyuan Ji,Lina Chen,Xiaodi Wang,Bolun Wen,Fan Yang,Wenfeng Deng,Yunshan Chen,Guozheng Zhang,Huishu Liu

The Journal of reproduction and development 68:21-29 PubMed34690214

2021

Exosomes derived from placental trophoblast cells regulate endometrial epithelial receptivity in dairy cows during pregnancy.

Applications

Unspecified application

Species

Unspecified reactive species

Yue Su,Qianru Li,Qiaochu Zhang,Zhiming Li,Xinxin Yao,Yong Guo,Longfei Xiao,Xiangguo Wang,Hemin Ni

Frontiers in oncology 11:744256 PubMed34671560

2021

Patient-Derived Xenografts Are a Reliable Preclinical Model for the Personalized Treatment of Epithelial Ovarian Cancer.

Applications

Unspecified application

Species

Unspecified reactive species

Jiayu Chen,Ying Jin,Siyi Li,Cui Qiao,Xinxin Peng,Yan Li,Yu Gu,Wei Wang,Yan You,Jie Yin,Ying Shan,Yong-Xue Wang,Meng Qin,Hongyue Li,Yan Cai,Yu Dong,Siying Peng,Lingya Pan

Oncology letters 15:9793-9801 PubMed29928353

2018

Identification of proteins associated with paclitaxel resistance of epithelial ovarian cancer using iTRAQ-based proteomics.

Applications

Unspecified application

Species

Unspecified reactive species

Yuanjing Wang,Hongxia Li
View all publications

Product promise

We are committed to supporting your work with high-quality reagents, and we're here for you every step of the way. In the unlikely event that one of our products does not perform as expected, you're protected by our Product Promise.
For full details, please see our Terms & Conditions

Please note: All products are 'FOR RESEARCH USE ONLY. NOT FOR USE IN DIAGNOSTIC OR THERAPEUTIC PROCEDURES'.

For licensing inquiries, please contact partnerships@abcam.com