JavaScript is disabled in your browser. Please enable JavaScript to view this website.
AB181831

Anti-Cytokeratin 7 antibody [EPR1619Y] - BSA and Azide free

Be the first to review this product! Submit a review

|

(3 Publications)

Rabbit Recombinant Monoclonal Cytokeratin 7 antibody. Carrier free. Suitable for IHC-P, ICC/IF, IP, WB, Flow Cyt (Intra) and reacts with Human samples. Cited in 3 publications.

View Alternative Names

SCL, KRT7, Cytokeratin-7, Keratin-7, Sarcolectin, Type-II keratin Kb7, CK-7, K7

4 Images
Immunocytochemistry/ Immunofluorescence - Anti-Cytokeratin 7 antibody [EPR1619Y] - BSA and Azide free (AB181831)
  • ICC/IF

Unknown

Immunocytochemistry/ Immunofluorescence - Anti-Cytokeratin 7 antibody [EPR1619Y] - BSA and Azide free (AB181831)

Clone EPR1619Y (ab181831) has been successfully conjugated by Abcam. This image was generated using Anti-Cytokeratin 7 antibody [EPR1619Y] - Cytoskeleton Marker (Alexa Fluor® 647). Please refer to ab192077 for protocol details.

ab192077 staining Cytokeratin 7 in T47D cells. The cells were fixed with 4% formaldehyde (10 min), permeabilised in 0.1% Triton X-100 for 5 minutes and then blocked in 1% BSA/10% normal goat serum/0.3M glycine in 0.1% PBS-Tween for 1h. The cells were then incubated with ab192077 at a working dilution of 1 in 100 (shown in red) and ab195887, Mouse monoclonal [DM1A] to alpha Tubulin (Alexa Fluor® 488, shown in green) at 2µg/ml overnight at +4°C. Nuclear DNA was labelled in blue with DAPI.

This product gave a positive signal in 100% methanol (5 min) fixed T47D cells under the same testing conditions.

Image was taken with a confocal microscope (Leica-Microsystems, TCS SP8).

Immunocytochemistry/ Immunofluorescence - Anti-Cytokeratin 7 antibody [EPR1619Y] - BSA and Azide free (AB181831)
  • ICC/IF

Unknown

Immunocytochemistry/ Immunofluorescence - Anti-Cytokeratin 7 antibody [EPR1619Y] - BSA and Azide free (AB181831)

Clone EPR1619Y (ab181831) has been successfully conjugated by Abcam. This image was generated using Anti-Cytokeratin 7 antibody [EPR1619Y] - Cytoskeleton Marker (Alexa Fluor® 488). Please refer to ab185048 for protocol details.

ab185048 staining Cytokeratin 7 in T47D cells. The cells were fixed with 4% formaldehyde (10 min), permeabilised in 0.1% Triton X-100 for 5 minutes and then blocked in 1% BSA/10% normal goat serum/0.3M glycine in 0.1%PBS-Tween for 1h. The cells were then incubated with ab185048 at 1/100 dilution (shown in green) and ab195889, Mouse monoclonal [DM1A] to alpha Tubulin (Alexa Fluor® 594, shown in red) at 2µg/ml overnight at +4°C. Nuclear DNA was labelled in blue with DAPI.

This product gave a positive signal in 100% methanol (5 min) fixed A549 cells under the same testing conditions.

Image was taken with a confocal microscope (Leica-Microsystems, TCS SP8).

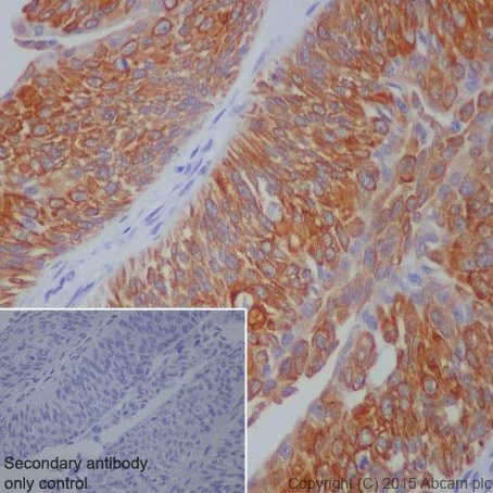
Immunohistochemistry (Formalin/PFA-fixed paraffin-embedded sections) - Anti-Cytokeratin 7 antibody [EPR1619Y] - BSA and Azide free (AB181831)
  • IHC-P

Supplier Data

Immunohistochemistry (Formalin/PFA-fixed paraffin-embedded sections) - Anti-Cytokeratin 7 antibody [EPR1619Y] - BSA and Azide free (AB181831)

Immunohistochemistry (Formalin/PFA-fixed paraffin-embedded sections) analysis of human bladder carcinoma tissue labelling Cytokeratin 7 with purified ab68459 at a dilution of 1/1000. Heat mediated antigen retrieval was performed using EDTA buffer pH 9. ab97051, a HRP-conjugated goat anti-rabbit IgG (H+L) was used as the secondary antibody (1/500). Negative control using PBS instead of primary antibody. Counterstained with hematoxylin.

This data was developed using the same antibody clone in a different buffer formulation containing PBS, BSA, glycerol, and sodium azide (ab68459).

Immunocytochemistry/ Immunofluorescence - Anti-Cytokeratin 7 antibody [EPR1619Y] - BSA and Azide free (AB181831)
  • ICC/IF

Unknown

Immunocytochemistry/ Immunofluorescence - Anti-Cytokeratin 7 antibody [EPR1619Y] - BSA and Azide free (AB181831)

Clone EPR1619Y (ab181831) has been successfully conjugated by Abcam. This image was generated using Anti-Cytokeratin 7 antibody [EPR1619Y] - Cytoskeleton Marker (PE). Please refer to ab210628 for protocol details.

Figure Legend for the image : ab210628 staining Cytokeratin 7 in T74D cells. The cells were fixed with 100%methanol, permeabilized with 0.1% Triton X-100 for 5 minutes and then blocked with 1% BSA/10% normal goat serum/0.3M glycine in 0.1%PBS-Tween for 1h. The cells were then incubated overnight at +4°C with ab210628 at 1/100 dilution (pseudocolored in green). Nuclear DNA was labelled with DAPI (shown in blue).

Image was taken with a confocal microscope (Leica-Microsystems, TCS SP8).

This product also gave a positive signal under the same testing conditions in T74D cells fixed with 4%formaldehyde.

  • Unconjugated

    Anti-Cytokeratin 7 antibody [EPR1619Y] - Cytoskeleton Marker

  • 578 PE

    PE Anti-Cytokeratin 7 antibody [EPR1619Y] - Cytoskeleton Marker

  • 665 Alexa Fluor® 647

    Alexa Fluor® 647 Anti-Cytokeratin 7 antibody [EPR1619Y] - Cytoskeleton Marker

  • 519 Alexa Fluor® 488

    Alexa Fluor® 488 Anti-Cytokeratin 7 antibody [EPR1619Y] - Cytoskeleton Marker

  • 565 Alexa Fluor® 555

    Alexa Fluor® 555 Anti-Cytokeratin 7 antibody [EPR1619Y] - Cytoskeleton Marker

  • 617 Alexa Fluor® 594

    Alexa Fluor® 594 Anti-Cytokeratin 7 antibody [EPR1619Y] - Cytoskeleton Marker

Key facts

Host species

Rabbit

Clonality

Monoclonal

Clone number

EPR1619Y

Isotype

IgG

Carrier free

Yes

Reacts with

Human

Applications

ICC/IF, Flow Cyt (Intra), WB, IP, IHC-P

applications

Immunogen

The exact immunogen used to generate this antibody is proprietary information.

Reactivity data

{ "title": "Reactivity Data", "filters": { "stats": ["", "Species", "Dilution Info", "Notes"], "tabs": { "all-applications": {"fullname" : "All Applications", "shortname": "All Applications"}, "IHCP" : {"fullname" : "Immunohistochemistry (Formalin/PFA-fixed paraffin-embedded sections)", "shortname":"IHC-P"}, "ICCIF" : {"fullname" : "Immunocytochemistry/ Immunofluorescence", "shortname":"ICC/IF"}, "IP" : {"fullname" : "Immunoprecipitation", "shortname":"IP"}, "WB" : {"fullname" : "Western blot", "shortname":"WB"}, "FlowCytIntra" : {"fullname" : "Flow Cytometry (Intracellular)", "shortname":"Flow Cyt (Intra)"} }, "product-promise": { "all": "all", "testedAndGuaranteed": "tested", "guaranteed": "expected", "predicted": "predicted", "notRecommended": "not-recommended" } }, "values": { "Human": { "IHCP-species-checked": "testedAndGuaranteed", "IHCP-species-dilution-info": "", "IHCP-species-notes": "<p></p> Perform heat-mediated antigen retrieval before commencing with IHC staining protocol.", "ICCIF-species-checked": "testedAndGuaranteed", "ICCIF-species-dilution-info": "", "ICCIF-species-notes": "<p></p>", "IP-species-checked": "testedAndGuaranteed", "IP-species-dilution-info": "", "IP-species-notes": "<p></p>", "WB-species-checked": "testedAndGuaranteed", "WB-species-dilution-info": "", "WB-species-notes": "<p></p>", "FlowCytIntra-species-checked": "testedAndGuaranteed", "FlowCytIntra-species-dilution-info": "", "FlowCytIntra-species-notes": "<p><a href='/en-us/products/primary-antibodies/rabbit-igg-monoclonal-epr25a-isotype-control-ab172730'>ab172730</a> - Rabbit monoclonal IgG, is suitable for use as an isotype control with this antibody.</p>" } } }

Product details

ab181831 is the carrier-free version of ab68459.

Patented technology
Our RabMAb® technology is a patented hybridoma-based technology for making rabbit monoclonal antibodies. For details on our patents, please refer to RabMAb® patents.

What are the advantages of a recombinant monoclonal antibody?
This product is a recombinant monoclonal antibody, which offers several advantages including:

  • - High batch-to-batch consistency and reproducibility
  • - Improved sensitivity and specificity
  • - Long-term security of supply
  • - Animal-free batch production

For more information, read more on recombinant antibodies.

Conjugation ready
Our carrier-free antibodies are typically supplied in a PBS-only formulation, purified and free of BSA, sodium azide and glycerol. This conjugation-ready format is designed for use with fluorochromes, metal isotopes, oligonucleotides, and enzymes, which makes them ideal for antibody labelling, functional and cell-based assays, flow-based assays (e.g. mass cytometry) and Multiplex Imaging applications.

Use our conjugation kits for antibody conjugates that are ready-to-use in as little as 20 minutes with 1 minute hands-on-time and 100% antibody recovery: available for fluorescent dyes, HRP, biotin and gold.

Compatibility
This product is compatible with the Maxpar® Antibody Labeling Kit from Fluidigm, without the need for antibody preparation. Maxpar® is a trademark of Fluidigm Canada Inc.

Properties and storage information

Form
Liquid
Purification technique
Affinity purification Protein A
Storage buffer
Constituents: PBS
Shipped at conditions
Blue Ice
Appropriate short-term storage conditions
+4°C
Appropriate long-term storage conditions
+4°C
Storage information
Do Not Freeze

Product protocols

For this product, it's our understanding that no specific protocols are required. You can visit:

Target data

Blocks interferon-dependent interphase and stimulates DNA synthesis in cells. Involved in the translational regulation of the human papillomavirus type 16 E7 mRNA (HPV16 E7).
See full target information KRT7

Publications (3)

Recent publications for all applications. Explore the full list and refine your search

Journal of clinical medicine 11: PubMed35683527

2022

An Evaluation of the Physicochemical Properties of Preservative-Free 0.005% (/) Latanoprost Ophthalmic Solutions, and the Impact on In Vitro Human Conjunctival Goblet Cell Survival.

Applications

Unspecified application

Species

Unspecified reactive species

Josefine C Freiberg,Anne Hedengran,Steffen Heegaard,Goran Petrovski,Jette Jacobsen,Barbara Cvenkel,Miriam Kolko

Acta ophthalmologica 100:819-827 PubMed35527390

2022

Generic benzalkonium chloride-preserved travoprost eye drops are not identical to the branded polyquarternium-1-preserved travoprost eye drop: Effect on cultured human conjunctival goblet cells and their physicochemical properties.

Applications

Unspecified application

Species

Unspecified reactive species

Anne Hedengran,Josefine Clement Freiberg,Pernille May Hansen,Jette Jacobsen,Susan Weng Larsen,Stine Harloff-Helleberg,Kristine Freude,Gerard Boix-Lemonche,Goran Petrovski,Steffen Heegaard,Miriam Kolko

BMJ open ophthalmology 6:e000892 PubMed34993350

2021

Impact of benzalkonium chloride-preserved and preservative-free latanoprost eye drops on cultured human conjunctival goblet cells upon acute exposure and differences in physicochemical properties of the eye drops.

Applications

Unspecified application

Species

Unspecified reactive species

Olivia Müllertz,Anne Hedengran,Zaynab Ahmad Mouhammad,Josefine Freiberg,Richárd Nagymihály,Jette Jacobsen,Susan Weng Larsen,Jeffrey Bair,Tor P Utheim,Darlene A Dartt,Steffen Heegaard,Goran Petrovski,Miriam Kolko
View all publications

Product promise

We are committed to supporting your work with high-quality reagents, and we're here for you every step of the way. In the unlikely event that one of our products does not perform as expected, you're protected by our Product Promise.
For full details, please see our Terms & Conditions

Associated Products

Select an associated product type
Alternative Product
Primary Antibodies

AB208273

Alexa Fluor® 488 Anti-Cytokeratin 7 antibody [EPR17078]

primary-antibodies

alexa-fluor-488-cytokeratin-7-antibody-epr17078-ab208273

0

(0 reviews)

Alternative Product
Primary Antibodies

AB209601

Alexa Fluor® 555 Anti-Cytokeratin 7 antibody [EPR17078]

primary-antibodies

alexa-fluor-555-cytokeratin-7-antibody-epr17078-ab209601

5

(1 reviews)

Alternative Product
Primary Antibodies

AB181598

Anti-Cytokeratin 7 antibody [EPR17078] - Cytoskeleton Marker

primary-antibodies

cytokeratin-7-antibody-epr17078-cytoskeleton-marker-ab181598

5

(12 reviews)

Alternative Product
Primary Antibodies

AB271885

Anti-Cytokeratin 7 antibody [SP52] - BSA and Azide free

primary-antibodies

cytokeratin-7-antibody-sp52-bsa-and-azide-free-ab271885

0

(0 reviews)

Alternative Version
Primary Antibodies

AB210628

PE Anti-Cytokeratin 7 antibody [EPR1619Y] - Cytoskeleton Marker

primary-antibodies

pe-cytokeratin-7-antibody-epr1619y-cytoskeleton-marker-ab210628

0

(0 reviews)

Alternative Version
Primary Antibodies

AB192077

Alexa Fluor® 647 Anti-Cytokeratin 7 antibody [EPR1619Y] - Cytoskeleton Marker

primary-antibodies

alexa-fluor-647-cytokeratin-7-antibody-epr1619y-cytoskeleton-marker-ab192077

0

(0 reviews)

Alternative Version
Primary Antibodies

AB185048

Alexa Fluor® 488 Anti-Cytokeratin 7 antibody [EPR1619Y] - Cytoskeleton Marker

primary-antibodies

alexa-fluor-488-cytokeratin-7-antibody-epr1619y-cytoskeleton-marker-ab185048

5

(2 reviews)

Alternative Version
Primary Antibodies

AB203434

Alexa Fluor® 555 Anti-Cytokeratin 7 antibody [EPR1619Y] - Cytoskeleton Marker

primary-antibodies

alexa-fluor-555-cytokeratin-7-antibody-epr1619y-cytoskeleton-marker-ab203434

0

(0 reviews)

Alternative Version
Primary Antibodies

AB203427

Alexa Fluor® 594 Anti-Cytokeratin 7 antibody [EPR1619Y] - Cytoskeleton Marker

primary-antibodies

alexa-fluor-594-cytokeratin-7-antibody-epr1619y-cytoskeleton-marker-ab203427

0

(0 reviews)

Please note: All products are 'FOR RESEARCH USE ONLY. NOT FOR USE IN DIAGNOSTIC OR THERAPEUTIC PROCEDURES'.

For licensing inquiries, please contact partnerships@abcam.com