JavaScript is disabled in your browser. Please enable JavaScript to view this website.
AB215887

Anti-Cytokeratin 7 antibody [OV-TL12/30] - BSA and Azide free

Be the first to review this product! Submit a review

|

(1 Publication)

Mouse Monoclonal Cytokeratin 7 antibody. Carrier free. Suitable for IHC-P and reacts with Human samples. Cited in 1 publication. Immunogen corresponding to Cell preparation containing KRT7 protein.

View Alternative Names

SCL, KRT7, Cytokeratin-7, Keratin-7, Sarcolectin, Type-II keratin Kb7, CK-7, K7

2 Images
Immunohistochemistry (Formalin/PFA-fixed paraffin-embedded sections) - Anti-Cytokeratin 7 antibody [OV-TL12/30] - BSA and Azide free (AB215887)
  • IHC-P

Supplier Data

Immunohistochemistry (Formalin/PFA-fixed paraffin-embedded sections) - Anti-Cytokeratin 7 antibody [OV-TL12/30] - BSA and Azide free (AB215887)

Immunohistochemical analysis of formalin fixed, paraffin embedded Human ovarian carcinoma tissue labeling Cytokeratin 7 with ab215887 at 1μg/ml.

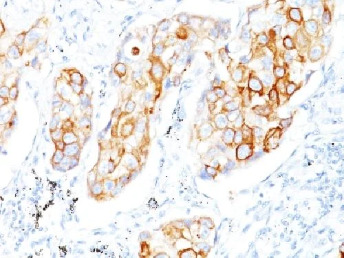
Immunohistochemistry (Formalin/PFA-fixed paraffin-embedded sections) - Anti-Cytokeratin 7 antibody [OV-TL12/30] - BSA and Azide free (AB215887)
  • IHC-P

Supplier Data

Immunohistochemistry (Formalin/PFA-fixed paraffin-embedded sections) - Anti-Cytokeratin 7 antibody [OV-TL12/30] - BSA and Azide free (AB215887)

Immunohistochemical analysis of formalin fixed, paraffin embedded Human lung SCC tissue labeling Cytokeratin 7 with ab215887 at 1μg/ml.

Key facts

Host species

Mouse

Clonality

Monoclonal

Clone number

OV-TL12/30

Isotype

IgG1

Carrier free

Yes

Reacts with

Human

Applications

IHC-P

applications

Immunogen

Cell preparation containing KRT7 protein. The exact immunogen used to generate this antibody is proprietary information.

P08729

Reactivity data

{ "title": "Reactivity Data", "filters": { "stats": ["", "Species", "Dilution Info", "Notes"], "tabs": { "all-applications": {"fullname" : "All Applications", "shortname": "All Applications"}, "IHCP" : {"fullname" : "Immunohistochemistry (Formalin/PFA-fixed paraffin-embedded sections)", "shortname":"IHC-P"} }, "product-promise": { "all": "all", "testedAndGuaranteed": "tested", "guaranteed": "expected", "predicted": "predicted", "notRecommended": "not-recommended" } }, "values": { "Human": { "IHCP-species-checked": "testedAndGuaranteed", "IHCP-species-dilution-info": "0.5-1 µg/mL", "IHCP-species-notes": "<p></p>" } } }

Properties and storage information

Form
Liquid
Purification technique
Affinity purification Protein G
Storage buffer
pH: 7.2 - 7.4 Constituents: PBS
Shipped at conditions
Blue Ice
Appropriate short-term storage duration
1-2 weeks
Appropriate short-term storage conditions
+4°C
Appropriate long-term storage conditions
-20°C
Aliquoting information
Upon delivery aliquot
Storage information
Avoid freeze / thaw cycle

Product protocols

For this product, it's our understanding that no specific protocols are required. You can visit:

Target data

Blocks interferon-dependent interphase and stimulates DNA synthesis in cells. Involved in the translational regulation of the human papillomavirus type 16 E7 mRNA (HPV16 E7).
See full target information KRT7

Publications (1)

Recent publications for all applications. Explore the full list and refine your search

Nature communications 9:3634 PubMed30194383

2018

Mapping molecular landmarks of human skeletal ontogeny and pluripotent stem cell-derived articular chondrocytes.

Applications

Unspecified application

Species

Unspecified reactive species

Gabriel B Ferguson,Ben Van Handel,Maxwell Bay,Petko Fiziev,Tonis Org,Siyoung Lee,Ruzanna Shkhyan,Nicholas W Banks,Mila Scheinberg,Ling Wu,Biagio Saitta,Joseph Elphingstone,A Noelle Larson,Scott M Riester,April D Pyle,Nicholas M Bernthal,Hanna Ka Mikkola,Jason Ernst,Andre J van Wijnen,Michael Bonaguidi,Denis Evseenko
View all publications

Product promise

We are committed to supporting your work with high-quality reagents, and we're here for you every step of the way. In the unlikely event that one of our products does not perform as expected, you're protected by our Product Promise.
For full details, please see our Terms & Conditions

Please note: All products are 'FOR RESEARCH USE ONLY. NOT FOR USE IN DIAGNOSTIC OR THERAPEUTIC PROCEDURES'.

For licensing inquiries, please contact partnerships@abcam.com