JavaScript is disabled in your browser. Please enable JavaScript to view this website.
AB9021

Anti-Cytokeratin 7 antibody [RCK105] - Cytoskeleton Marker

4

(16 Reviews)

|

(127 Publications)

Anti-Cytokeratin 7 antibody [RCK105] - Cytoskeleton Marker (ab9021) is a mouse monoclonal antibody detecting Cytokeratin 7 in IHC-P, IHC-Fr. Suitable for Human, Pig.

- Over 100 publications
- Trusted since 2002

View Alternative Names

SCL, KRT7, Cytokeratin-7, Keratin-7, Sarcolectin, Type-II keratin Kb7, CK-7, K7

8 Images
Immunohistochemistry (Formalin/PFA-fixed paraffin-embedded sections) - Anti-Cytokeratin 7 antibody [RCK105] - Cytoskeleton Marker (AB9021)
  • IHC-P

Supplier Data

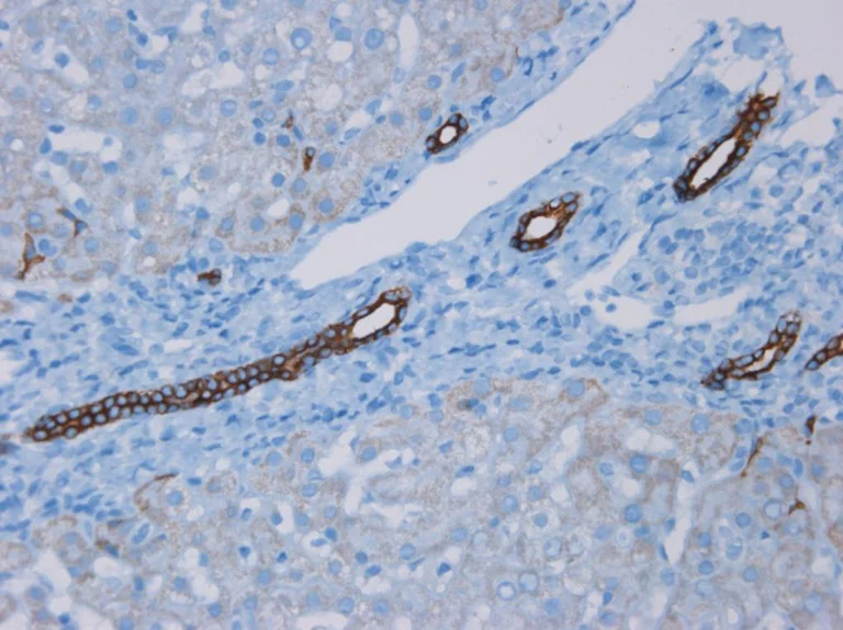
Immunohistochemistry (Formalin/PFA-fixed paraffin-embedded sections) - Anti-Cytokeratin 7 antibody [RCK105] - Cytoskeleton Marker (AB9021)

Immunohistochemistry analysis of formalin fixed, paraffin embedded sections of human liver tissue labeling Cytokeratin 7 with ab9021 at 1/100; showing positive staining in the epithelial cells lining the bile ducts and no reactivity in hepatocytes or connective tissue.

Immunohistochemistry (Frozen sections) - Anti-Cytokeratin 7 antibody [RCK105] - Cytoskeleton Marker (AB9021)
  • IHC-Fr

Unknown

Immunohistochemistry (Frozen sections) - Anti-Cytokeratin 7 antibody [RCK105] - Cytoskeleton Marker (AB9021)

Immunohistochemistry on frozen sections of human liver, only bile duct epithelium positive; no reaction in hepatocytes

Immunohistochemistry (Frozen sections) - Anti-Cytokeratin 7 antibody [RCK105] - Cytoskeleton Marker (AB9021)
  • IHC-Fr

Supplier Data

Immunohistochemistry (Frozen sections) - Anti-Cytokeratin 7 antibody [RCK105] - Cytoskeleton Marker (AB9021)

Immunohistochemistry analysis of frozen sections of human liver labeling Cytokeratin 7 with ab9021 at 1/500; showing positive staining in the epithelial cells lining the bile ducts and no reactivity in hepatocytes or connective tissue.

Immunohistochemistry (Frozen sections) - Anti-Cytokeratin 7 antibody [RCK105] - Cytoskeleton Marker (AB9021)
  • IHC-Fr

Supplier Data

Immunohistochemistry (Frozen sections) - Anti-Cytokeratin 7 antibody [RCK105] - Cytoskeleton Marker (AB9021)

Immunohistochemistry analysis of frozen sections of human urinary bladder labeling Cytokeratin 7 with ab9021 at 1/500; showing positive staining in the epithelial cells and no reactivity in connective tissue.

Immunohistochemistry (Formalin/PFA-fixed paraffin-embedded sections) - Anti-Cytokeratin 7 antibody [RCK105] - Cytoskeleton Marker (AB9021)
  • IHC-P

PubMed

Immunohistochemistry (Formalin/PFA-fixed paraffin-embedded sections) - Anti-Cytokeratin 7 antibody [RCK105] - Cytoskeleton Marker (AB9021)

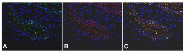
Immunofluorescent staining of β-galactosideasae and cytokeratin expression of urinary bladder after intravesical treatment with Adeno-Cre

Formalin-fixed, paraffin-embedded mouse bladder tissue stained for β-galactosidase (green, A) or Cytokeratin 7 (red, B). Panel C shows the colocalization of β-galactosidase and Cytokeratin 7. The nuclear counterstain is DAPI (blue).

Cytokeratin 7 was detected using ab9021.

(After Figure 3 of Yang et al)

Yang, X. et al PLoS One. 2013 Sep 18;8(9):e74809. doi: 10.1371/journal.pone.0074809. eCollection 2013 Reproduced under the Creative Commons license http://creativecommons.org/licenses/by/4.0/

Immunohistochemistry (Formalin/PFA-fixed paraffin-embedded sections) - Anti-Cytokeratin 7 antibody [RCK105] - Cytoskeleton Marker (AB9021)
  • IHC-P

AbReview2061****

Immunohistochemistry (Formalin/PFA-fixed paraffin-embedded sections) - Anti-Cytokeratin 7 antibody [RCK105] - Cytoskeleton Marker (AB9021)

Formalin fixed paraffin embedded mouse ovary tissue. ab9021 used at 1/1000 incubated with overnight incubation with a biotinylated secondary and peroxidase/DAB detection.

This image is courtesy of an Abreview submitted by These pictures are part of the review submitted by Todd Gocken

Immunohistochemistry (Frozen sections) - Anti-Cytokeratin 7 antibody [RCK105] - Cytoskeleton Marker (AB9021)
  • IHC-Fr

Unknown

Immunohistochemistry (Frozen sections) - Anti-Cytokeratin 7 antibody [RCK105] - Cytoskeleton Marker (AB9021)

Immunohistochemistry on frozen sections of swine liver, only bile duct epithelium positive; no reaction in hepatocytes

Immunohistochemistry (Frozen sections) - Anti-Cytokeratin 7 antibody [RCK105] - Cytoskeleton Marker (AB9021)
  • IHC-Fr

Unknown

Immunohistochemistry (Frozen sections) - Anti-Cytokeratin 7 antibody [RCK105] - Cytoskeleton Marker (AB9021)

ab9021 staining normal breast tissue section (frozen), fixated in Methanol, staining epithelial cells. These pictures are part of the review submitted by Rene Villadsen.

Key facts

Host species

Mouse

Clonality

Monoclonal

Clone number

RCK105

Isotype

IgG1

Carrier free

No

Reacts with

Human, Pig

Applications

IHC-Fr, IHC-P

applications

Immunogen

Native Full Length Protein corresponding to Human KRT7.

P08729

Specificity

This antibody reacts exclusively with cytokeratin 7 which is present in a subgroup of glandular epithelia and their tumors, as well as transitional epithelium and transitional carcinoma.

Reactivity data

{ "title": "Reactivity Data", "filters": { "stats": ["", "Species", "Dilution Info", "Notes"], "tabs": { "all-applications": {"fullname" : "All Applications", "shortname": "All Applications"}, "IHCP" : {"fullname" : "Immunohistochemistry (Formalin/PFA-fixed paraffin-embedded sections)", "shortname":"IHC-P"}, "IHCFr" : {"fullname" : "Immunohistochemistry (Frozen sections)", "shortname":"IHC-Fr"} }, "product-promise": { "all": "all", "testedAndGuaranteed": "tested", "guaranteed": "expected", "predicted": "predicted", "notRecommended": "not-recommended" } }, "values": { "Human": { "IHCP-species-checked": "testedAndGuaranteed", "IHCP-species-dilution-info": "1/1000", "IHCP-species-notes": "<p></p>", "IHCFr-species-checked": "testedAndGuaranteed", "IHCFr-species-dilution-info": "1/100 - 1/500", "IHCFr-species-notes": "<p></p>" }, "Rat": { "IHCP-species-checked": "predicted", "IHCP-species-dilution-info": "", "IHCP-species-notes": "", "IHCFr-species-checked": "predicted", "IHCFr-species-dilution-info": "", "IHCFr-species-notes": "" }, "Cat": { "IHCP-species-checked": "predicted", "IHCP-species-dilution-info": "", "IHCP-species-notes": "", "IHCFr-species-checked": "predicted", "IHCFr-species-dilution-info": "", "IHCFr-species-notes": "" }, "Dog": { "IHCP-species-checked": "predicted", "IHCP-species-dilution-info": "", "IHCP-species-notes": "", "IHCFr-species-checked": "predicted", "IHCFr-species-dilution-info": "", "IHCFr-species-notes": "" }, "Goat": { "IHCP-species-checked": "predicted", "IHCP-species-dilution-info": "", "IHCP-species-notes": "", "IHCFr-species-checked": "predicted", "IHCFr-species-dilution-info": "", "IHCFr-species-notes": "" }, "Hamster": { "IHCP-species-checked": "predicted", "IHCP-species-dilution-info": "", "IHCP-species-notes": "", "IHCFr-species-checked": "predicted", "IHCFr-species-dilution-info": "", "IHCFr-species-notes": "" }, "Pig": { "IHCP-species-checked": "guaranteed", "IHCP-species-dilution-info": "", "IHCP-species-notes": "", "IHCFr-species-checked": "testedAndGuaranteed", "IHCFr-species-dilution-info": "1/100 - 1/500", "IHCFr-species-notes": "<p></p>" }, "Zebrafish": { "IHCP-species-checked": "predicted", "IHCP-species-dilution-info": "", "IHCP-species-notes": "", "IHCFr-species-checked": "predicted", "IHCFr-species-dilution-info": "", "IHCFr-species-notes": "" } } }

Product details

What is this antibody validated in?
Anti-Cytokeratin 7 antibody [RCK105] - Cytoskeleton Marker (ab9021) is a mouse monoclonal antibody and is validated for use in Immunohistochemistry (IHC-P), Immunohistochemistry (IHC-Fr) in Human, Pig samples.

Trusted by the scientific community
Anti-Cytokeratin 7 [RCK105] - Cytoskeleton Marker (ab9021) was first used in a scientific publication in 2002 and has been cited over 100 times in peer-reviewed journals.

Reviewed by scientists
Anti-Cytokeratin 7 [RCK105] - Cytoskeleton Marker (ab9021) has over 15 independent reviews from customers.

Properties and storage information

Form
Liquid
Purification technique
Affinity purification Protein G
Storage buffer
Preservative: 0.09% Sodium azide Constituents: PBS
Shipped at conditions
Blue Ice
Appropriate short-term storage duration
1-2 weeks
Appropriate short-term storage conditions
+4°C
Appropriate long-term storage conditions
-20°C
Aliquoting information
Upon delivery aliquot
Storage information
Avoid freeze / thaw cycle

Product protocols

For this product, it's our understanding that no specific protocols are required. You can visit:

Target data

Blocks interferon-dependent interphase and stimulates DNA synthesis in cells. Involved in the translational regulation of the human papillomavirus type 16 E7 mRNA (HPV16 E7).
See full target information KRT7

Publications (127)

Recent publications for all applications. Explore the full list and refine your search

Cells 14: PubMed40710304

2025

Modeling Early Stages of Trophectoderm-Endometrium Interactions Using Trophoblastic and Endometrial Organoids and the Generation of Lacunoids/Cystoids.

Applications

Unspecified application

Species

Unspecified reactive species

Islam M Saadeldin,Budur Alshehri,Maha AlThubyani,Falah H Almohanna,Goran Matic,Ayman A Swelum,Serdar Coskun,Khalid A Awartani,Abdullah M Assiri

Hepatology research : the official journal of the Japan Society of Hepatology 55:1296-1306 PubMed40515742

2025

CXCL6 Is a Novel Biliary Marker and a Downstream Target of MMP7 in Biliary Atresia.

Applications

Unspecified application

Species

Unspecified reactive species

Fanyang Kong,Jingying Jiang,Min Du,Rui Dong,Gong Chen,Shan Zheng,Junfeng Wang

Frontiers in immunology 16:1530015 PubMed40242759

2025

BNIP3-mediated mitophagy aggravates placental injury in preeclampsia via NLRP1 inflammasome.

Applications

Unspecified application

Species

Unspecified reactive species

Man Zhao,Zexin Yang,Yan Kang,Zhenya Fang,Changqing Zhang,Chunying Wang,Meijuan Zhou,Junjun Guo,Anna Li,Meihua Zhang

Science advances 11:eads1568 PubMed40020072

2025

Cystic fibrosis alters the structure of the olfactory epithelium and the expression of olfactory receptors affecting odor perception.

Applications

Unspecified application

Species

Unspecified reactive species

Ignacio Caballero,Yvon Mbouamboua,Susanne Weise,Raquel López-Gálvez,Marie Couralet,Isabelle Fleurot,Nicolas Pons,Marta Barrera-Conde,Nayima Quílez-Playán,Matthieu Keller,Nikolai Klymiuk,Patricia Robledo,Thomas Hummel,Pascal Barbry,Pablo Chamero

Cell communication and signaling : CCS 23:96 PubMed39966859

2025

REG3A secreted by peritumoral acinar cells enhances pancreatic ductal adenocarcinoma progression via activation of EGFR signaling.

Applications

Unspecified application

Species

Unspecified reactive species

Xiaojing Ren,Yunfei Teng,Kunxin Xie,Xiao He,Gang Chen,Kaini Zhang,Qingyi Liao,Jia Zhang,Xiaohang Zhou,Yating Zhu,Wenyu Song,Yuege Lin,Yi Zhang,Zhijian Xu,Noriaki Maeshige,Xiubin Liang,Dongming Su,Peng Sun,Ying Ding

Nature communications 15:10378 PubMed39627202

2024

Loss of NUMB drives aggressive bladder cancer via a RHOA/ROCK/YAP signaling axis.

Applications

Unspecified application

Species

Unspecified reactive species

F A Tucci,R Pennisi,D C Rigiracciolo,M G Filippone,R Bonfanti,F Romeo,S Freddi,E Guerrera,C Soriani,S Rodighiero,R H Gunby,G Jodice,F Sanguedolce,G Renne,N Fusco,P P Di Fiore,G Pruneri,G Bertalot,G Musi,G Vago,D Tosoni,S Pece

Nature 634:652-661 PubMed39294373

2024

Temporal BMP4 effects on mouse embryonic and extraembryonic development.

Applications

Unspecified application

Species

Unspecified reactive species

Ron Hadas,Hernan Rubinstein,Markus Mittnenzweig,Yoav Mayshar,Raz Ben-Yair,Saifeng Cheng,Alejandro Aguilera-Castrejon,Netta Reines,Ayelet-Hashahar Orenbuch,Aviezer Lifshitz,Dong-Yuan Chen,Michael B Elowitz,Magdalena Zernicka-Goetz,Jacob H Hanna,Amos Tanay,Yonatan Stelzer

Genes & development 38:569-582 PubMed38997156

2024

Tert-expressing cells contribute to salivary gland homeostasis and tissue regeneration after radiation therapy.

Applications

Unspecified application

Species

Unspecified reactive species

Li Guan,Vignesh Viswanathan,Yuyan Jiang,Sivakamasundari Vijayakumar,Hongbin Cao,Junfei Zhao,Deana Rae Crystal Colburg,Patrick Neuhöfer,Yiru Zhang,Jinglong Wang,Yu Xu,Eyiwunmi E Laseinde,Rachel Hildebrand,Mobeen Rahman,Richard Frock,Christina Kong,Philip A Beachy,Steven Artandi,Quynh-Thu Le

Cell reports. Medicine 5:101627 PubMed38964315

2024

Personalized drug screening using patient-derived organoid and its clinical relevance in gastric cancer.

Applications

Unspecified application

Species

Unspecified reactive species

Yi Zhao,Shangru Li,Lefan Zhu,Mingle Huang,Yubin Xie,Xinming Song,Zhihui Chen,Harry Cheuk-Hay Lau,Joseph Jao-Yiu Sung,Lixia Xu,Jun Yu,Xiaoxing Li

Extracellular vesicle 3: PubMed38872854

2024

A multi-organ, feto-maternal interface organ-on-chip, models pregnancy pathology and is a useful preclinical extracellular vesicle drug trial platform.

Applications

Unspecified application

Species

Unspecified reactive species

Melody Safarzadeh,Lauren S Richardson,Ananth Kumar Kammala,Angela Mosebarger,Mohamed Bettayeb,Sungjin Kim,Po Yi Lam,Enkhtuya Radnaa,Arum Han,Ramkumar Menon
View all publications

Product promise

We are committed to supporting your work with high-quality reagents, and we're here for you every step of the way. In the unlikely event that one of our products does not perform as expected, you're protected by our Product Promise.
For full details, please see our Terms & Conditions

Please note: All products are 'FOR RESEARCH USE ONLY. NOT FOR USE IN DIAGNOSTIC OR THERAPEUTIC PROCEDURES'.

For licensing inquiries, please contact partnerships@abcam.com