JavaScript is disabled in your browser. Please enable JavaScript to view this website.
AB59400

Anti-Cytokeratin 8 antibody

4

(7 Reviews)

|

(59 Publications)

Rabbit Polyclonal Cytokeratin 8 antibody. Suitable for WB, IHC-P, ICC/IF and reacts with Human samples. Cited in 59 publications. Immunogen corresponding to Synthetic Peptide within Human KRT8.

View Alternative Names

CYK8, KRT8, Cytokeratin-8, Keratin-8, Type-II keratin Kb8, CK-8, K8

6 Images
Immunohistochemistry (Formalin/PFA-fixed paraffin-embedded sections) - Anti-Cytokeratin 8 antibody (AB59400)
  • IHC-P

AbReview56665****

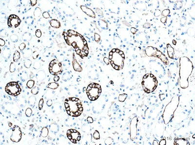
Immunohistochemistry (Formalin/PFA-fixed paraffin-embedded sections) - Anti-Cytokeratin 8 antibody (AB59400)

Immunohistochemistry (Formalin/PFA-fixed paraffin-embedded sections) analysis of human kidney tissue sections labeling Cytokeratin 8 with ab59400 at 1/100 dilution. Tissue sections were fixed with formaldehyde; heat mediated antigen retrieval was performed using a citric acid. 2% BSA was used to block, followed by incubation with ab59400 in TBS/BSA/azide for 2 hours at 21°C. a polyclonal goat anti-rabbit IgG bitin conjugated secondary antibody was used at 1/300 dilution.

This image is courtesy of an abreview submitted by Carl Hobbs, King's College London, United Kingdom

Immunocytochemistry/ Immunofluorescence - Anti-Cytokeratin 8 antibody (AB59400)
  • ICC/IF

Supplier Data

Immunocytochemistry/ Immunofluorescence - Anti-Cytokeratin 8 antibody (AB59400)

Immunocytochemistry/ Immunofluorescence analysis of HeLa cells, labeling Cytokeratin 8 with ab59400. The picture on the right is blocked with the synthesized peptide.

Immunohistochemistry (Formalin/PFA-fixed paraffin-embedded sections) - Anti-Cytokeratin 8 antibody (AB59400)
  • IHC-P

AbReview23440****

Immunohistochemistry (Formalin/PFA-fixed paraffin-embedded sections) - Anti-Cytokeratin 8 antibody (AB59400)

ab59400 staining Cytokeratin 8 in Human breast cancer cells xenografted into nude mice by Immunohistochemistry (Formalin/ PFA-fixed paraffin-embedded tissue sections). The sections were fixed in formalin and subjected to heat-mediated antigen retrieval in citrate buffer (0.1M Sodium Citrate) prior to blocking with 5% serum for 1 hour at 4°C. The primary antibody was diluted 1/200 in 5% goat serum in PBS and incubated with the sample for 12 hours at 4°C. A Biotin-conjugated Goat anti-Rabbit polyclonal was used as the secondary antibody, diluted 1/1000.

This image is courtesy of an Abreview provided by Megha Rajaram.

Immunohistochemistry (Formalin/PFA-fixed paraffin-embedded sections) - Anti-Cytokeratin 8 antibody (AB59400)
  • IHC-P

Unknown

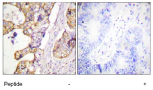
Immunohistochemistry (Formalin/PFA-fixed paraffin-embedded sections) - Anti-Cytokeratin 8 antibody (AB59400)

Immunohistochemical analysis of paraffin embedded human colon carcinoma tissue using ab59400 at 1/50 dilution, in the presence (right) and absence (left) of immunising peptide. Then, a polymer secondary antibody was used for detection.

Immunocytochemistry/ Immunofluorescence - Anti-Cytokeratin 8 antibody (AB59400)
  • ICC/IF

Unknown

Immunocytochemistry/ Immunofluorescence - Anti-Cytokeratin 8 antibody (AB59400)

ICC/IF image of ab59400 stained MCF7 cells. The cells were 100% methanol fixed (5 min) and then incubated in 1%BSA / 10% normal goat serum / 0.3M glycine in 0.1% PBS-Tween for 1h to permeabilise the cells and block non-specific protein-protein interactions. The cells were then incubated with the antibody (ab59400, 1µg/ml) overnight at +4°C. The secondary antibody (green) was Alexa Fluor® 488 goat anti-rabbit IgG (H+L) used at a 1/1000 dilution for 1h. Alexa Fluor® 594 WGA was used to label plasma membranes (red) at a 1/200 dilution for 1h. DAPI was used to stain the cell nuclei (blue) at a concentration of 1.43µM.

Western blot - Anti-Cytokeratin 8 antibody (AB59400)
  • WB

Unknown

Western blot - Anti-Cytokeratin 8 antibody (AB59400)

All lanes:

Western blot - Anti-Cytokeratin 8 antibody (ab59400) at 1/500 dilution

Lane 1:

EGF treated (200ng/ml, 30mins) 293 cell extracts

Lane 2:

EGF treated (200ng/ml, 30mins) 293 cell extracts with immunising peptide

Predicted band size: 53 kDa

Observed band size: 54 kDa

false

Key facts

Host species

Rabbit

Clonality

Polyclonal

Isotype

IgG

Carrier free

No

Reacts with

Human

Applications

ICC/IF, WB, IHC-P

applications

Immunogen

Synthetic Peptide within Human KRT8. The exact immunogen used to generate this antibody is proprietary information.

P05787

Reactivity data

{ "title": "Reactivity Data", "filters": { "stats": ["", "Species", "Dilution Info", "Notes"], "tabs": { "all-applications": {"fullname" : "All Applications", "shortname": "All Applications"}, "WB" : {"fullname" : "Western blot", "shortname":"WB"}, "IHCP" : {"fullname" : "Immunohistochemistry (Formalin/PFA-fixed paraffin-embedded sections)", "shortname":"IHC-P"}, "ICCIF" : {"fullname" : "Immunocytochemistry/ Immunofluorescence", "shortname":"ICC/IF"} }, "product-promise": { "all": "all", "testedAndGuaranteed": "tested", "guaranteed": "expected", "predicted": "predicted", "notRecommended": "not-recommended" } }, "values": { "Human": { "WB-species-checked": "testedAndGuaranteed", "WB-species-dilution-info": "1/500 - 1/1000", "WB-species-notes": "<p></p>", "IHCP-species-checked": "testedAndGuaranteed", "IHCP-species-dilution-info": "", "IHCP-species-notes": "<p></p>", "ICCIF-species-checked": "testedAndGuaranteed", "ICCIF-species-dilution-info": "1 µg/mL", "ICCIF-species-notes": "<p></p>" } } }

Properties and storage information

Form
Liquid
Purification technique
Affinity purification Immunogen
Storage buffer
pH: 7.4 Preservative: 0.02% Sodium azide Constituents: PBS, 50% Glycerol (glycerin, glycerine), 0.87% Sodium chloride
Shipped at conditions
Blue Ice
Appropriate short-term storage conditions
+4°C
Appropriate long-term storage conditions
-20°C
Storage information
Stable for 12 months at -20°C

Product protocols

For this product, it's our understanding that no specific protocols are required. You can visit:

Target data

Together with KRT19, helps to link the contractile apparatus to dystrophin at the costameres of striated muscle.
See full target information KRT8

Publications (59)

Recent publications for all applications. Explore the full list and refine your search

Molecular biology of the cell 35:ar139 PubMed39356795

2024

The rat bladder umbrella cell keratin network: Organization, dependence on the plectin cytolinker, and responses to bladder filling.

Applications

Unspecified application

Species

Unspecified reactive species

Wily G Ruiz,Dennis R Clayton,Tanmay Parakala-Jain,Marianela G Dalghi,Jonathan Franks,Gerard Apodaca

Endocrine-related cancer 30: PubMed37855322

2023

Mammary gland development and EDC-driven cancer susceptibility in mesenchymal ERα-knockout mice.

Applications

Unspecified application

Species

Unspecified reactive species

Clarissa Wormsbaecher,Brittney M Cumbia,Emma G Amurgis,Jillian M Poska,Madeline R Price,Xiaokui M Mo,Sue E Knoblaugh,Takeshi Kurita,Craig Joseph Burd

Journal of biophotonics 16:e202300043 PubMed37483112

2023

Regeneration of taste through sonic hedgehog upregulation by photobiomodulation.

Applications

Unspecified application

Species

Unspecified reactive species

Ha Young Lee,Celine Dg Abueva,Andrew Padalhin,So Young Park,Hyun Seok Ryu,Phil-Sang Chung,Hee Jung Kim,Jeongyun Kim,Seung Hoon Woo

Cancer research communications 2:1617-1625 PubMed36970725

2022

Novel Paired Normal Prostate and Prostate Cancer Model Cell Systems Derived from African American Patients.

Applications

Unspecified application

Species

Unspecified reactive species

Mira Jung,Keith Kowalczyk,Ryan Hankins,Gaurav Bandi,Bhaskar Kallakury,Michael A Carrasquilla,Partha P Banerjee,Scott Grindrod,Anatoly Dritschilo

PeerJ 10:e14455 PubMed36452076

2022

Recovery of sweet taste preference in adult rats following bilateral chorda tympani nerve transection.

Applications

Unspecified application

Species

Unspecified reactive species

Andrew Padalhin,Celine Abueva,So Young Park,Hyun Seok Ryu,Hayoung Lee,Jae Il Kim,Phil-Sang Chung,Seung Hoon Woo

International journal of molecular sciences 23: PubMed36430923

2022

Loss of Induces Granulosa Cell Defects and Development of Ovarian Tumors in the Mouse.

Applications

Unspecified application

Species

Unspecified reactive species

Kamiya Bridges,Humphrey H-C Yao,Barbara Nicol

Cell death & disease 13:624 PubMed35853880

2022

Targeting HIC1/TGF-β axis-shaped prostate cancer microenvironment restrains its progression.

Applications

Unspecified application

Species

Unspecified reactive species

Tianqi Wu,Wenfeng Wang,Guohai Shi,Mingang Hao,Yingying Wang,Mengfei Yao,Yongqiang Huang,Leilei Du,Xingming Zhang,Dingwei Ye,Xiaojie Bian,Jianhua Wang

Nature protocols 17:1658-1690 PubMed35546639

2022

Patient-derived and mouse endo-ectocervical organoid generation, genetic manipulation and applications to model infection.

Applications

Unspecified application

Species

Unspecified reactive species

Rajendra Kumar Gurumurthy,Stefanie Koster,Naveen Kumar,Thomas F Meyer,Cindrilla Chumduri

Stem cell reports 17:849-863 PubMed35334220

2022

Substance P/neurokinin-1 receptor pathway blockade ameliorates limbal stem cell deficiency by modulating mTOR pathway and preventing cell senescence.

Applications

Unspecified application

Species

Unspecified reactive species

Romina Lasagni Vitar,Francesca Triani,Marco Barbariga,Philippe Fonteyne,Paolo Rama,Giulio Ferrari

iScience 25:103982 PubMed35310332

2022

Dormant reporter-marked basal stem/progenitor cells contribute to mammary lobuloalveoli formation.

Applications

Unspecified application

Species

Unspecified reactive species

Ruiqi Liu,Huan Hu,Melissa McNeil,Jiuzhi Xu,Xueyun Bi,Pengbo Lou,Christian F Guerrero-Juarez,Xing Dai,Maksim V Plikus,Jianwei Shuai,Zhengquan Yu,Cong Lv
View all publications

Product promise

We are committed to supporting your work with high-quality reagents, and we're here for you every step of the way. In the unlikely event that one of our products does not perform as expected, you're protected by our Product Promise.
For full details, please see our Terms & Conditions

Please note: All products are 'FOR RESEARCH USE ONLY. NOT FOR USE IN DIAGNOSTIC OR THERAPEUTIC PROCEDURES'.

For licensing inquiries, please contact partnerships@abcam.com