JavaScript is disabled in your browser. Please enable JavaScript to view this website.
AB6499

Anti-Cytomegalovirus Glycoprotein B antibody [2F12]

5

(1 Review)

|

(16 Publications)

Mouse Monoclonal GB antibody. Carrier free. Suitable for ELISA, WB, ICC/IF and reacts with Human cytomegalovirus samples. Cited in 16 publications.

View Alternative Names

UL55, gB, Envelope glycoprotein B

5 Images
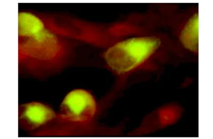
Immunocytochemistry/ Immunofluorescence - Anti-Cytomegalovirus Glycoprotein B antibody [2F12] (AB6499)
  • ICC/IF

Unknown

Immunocytochemistry/ Immunofluorescence - Anti-Cytomegalovirus Glycoprotein B antibody [2F12] (AB6499)

Determined by IFA (see protocol section) at an antibody dilution of 1 : 100 with anti-Mouse-FITC F(ab')2 w/ counterstain.

Immunocytochemistry/ Immunofluorescence - Anti-Cytomegalovirus Glycoprotein B antibody [2F12] (AB6499)
  • ICC/IF

Unknown

Immunocytochemistry/ Immunofluorescence - Anti-Cytomegalovirus Glycoprotein B antibody [2F12] (AB6499)

See protocol for procedure. Procedure uses 10-well CMV slides and anti-Mouse-FITC F(ab')2 w/ counterstain.

Immunocytochemistry/ Immunofluorescence - Anti-Cytomegalovirus Glycoprotein B antibody [2F12] (AB6499)
  • ICC/IF

Unknown

Immunocytochemistry/ Immunofluorescence - Anti-Cytomegalovirus Glycoprotein B antibody [2F12] (AB6499)

See protocol for procedure. Procedure uses 10-well CMV slides and anti-Mouse-FITC F(ab')2 w/ counterstain.

ELISA - Anti-Cytomegalovirus Glycoprotein B antibody [2F12] (AB6499)
  • ELISA

Unknown

ELISA - Anti-Cytomegalovirus Glycoprotein B antibody [2F12] (AB6499)

See protocol for procedure. Antigen is CMV Infected Cell Extract coated at a dilution of 1 : 100.

Western blot - Anti-Cytomegalovirus Glycoprotein B antibody [2F12] (AB6499)
  • WB

Unknown

Western blot - Anti-Cytomegalovirus Glycoprotein B antibody [2F12] (AB6499)

See protocol for procedure. Antigen is CMV Infected Cell Extract at 10 μg/cm. See protocol for procedure. Antigen is CMV Infected Cell Extract at 10 µg/cm.

All lanes:

Western blot - Anti-Cytomegalovirus Glycoprotein B antibody [2F12] (ab6499)

Predicted band size: 102 kDa

false

Key facts

Host species

Mouse

Clonality

Monoclonal

Clone number

2F12

Isotype

IgG1

Light chain type

kappa

Carrier free

Yes

Reacts with

Human cytomegalovirus

Applications

ELISA, ICC/IF, WB

applications

Epitope

Epitope has not been mapped.

Reactivity data

{ "title": "Reactivity Data", "filters": { "stats": ["", "Species", "Dilution Info", "Notes"], "tabs": { "all-applications": {"fullname" : "All Applications", "shortname": "All Applications"}, "ELISA" : {"fullname" : "ELISA", "shortname":"ELISA"}, "WB" : {"fullname" : "Western blot", "shortname":"WB"}, "ICCIF" : {"fullname" : "Immunocytochemistry/ Immunofluorescence", "shortname":"ICC/IF"} }, "product-promise": { "all": "all", "testedAndGuaranteed": "tested", "guaranteed": "expected", "predicted": "predicted", "notRecommended": "not-recommended" } }, "values": { "Human cytomegalovirus": { "ELISA-species-checked": "testedAndGuaranteed", "ELISA-species-dilution-info": "", "ELISA-species-notes": "<p></p>", "WB-species-checked": "testedAndGuaranteed", "WB-species-dilution-info": "", "WB-species-notes": "<p></p>", "ICCIF-species-checked": "testedAndGuaranteed", "ICCIF-species-dilution-info": "", "ICCIF-species-notes": "<p></p>" } } }

Properties and storage information

Form
Liquid
Purification technique
Affinity purification Protein A
Storage buffer
pH: 7.4 Constituents: PBS
Shipped at conditions
Blue Ice
Appropriate short-term storage conditions
+4°C
Appropriate long-term storage conditions
-20°C
Aliquoting information
Upon delivery aliquot
Storage information
Avoid freeze / thaw cycle

Product protocols

For this product, it's our understanding that no specific protocols are required. You can visit:

Target data

Envelope glycoprotein that plays a role in host cell entry, cell to-cell virus transmission, and fusion of infected cells. May be involved in the initial attachment via binding to heparan sulfate together with the gM/gN complex that binds heparin with higher affinity. Interacts with host integrin ITGB1, PDGFRA and EGFR that likely serve as postattachment entry receptors. Participates also in the fusion of viral and cellular membranes leading to virus entry into the host cell. Membrane fusion is mediated by the fusion machinery composed at least of gB and the heterodimer gH/gL.
See full target information gB

Publications (16)

Recent publications for all applications. Explore the full list and refine your search

Frontiers in microbiology 13:1106401 PubMed36726564

2023

Human immunoglobulins are transported to HCMV viral envelope by viral Fc gamma receptors-dependent and independent mechanisms.

Applications

Unspecified application

Species

Unspecified reactive species

Giacomo Vezzani,Silvia Pimazzoni,Rossella Ferranti,Stefano Calò,Giuseppina Monda,Diego Amendola,Elisabetta Frigimelica,Domenico Maione,Mirko Cortese,Marcello Merola

iScience 25:105168 PubMed36204275

2022

UL49 is an essential subunit of the viral pre-initiation complex that regulates human cytomegalovirus gene transcription.

Applications

Unspecified application

Species

Unspecified reactive species

Declan L Turner,Svenja Fritzlar,Sara Sadeghipour,Adele A Barugahare,Brendan E Russ,Stephen J Turner,Rommel A Mathias

PLoS pathogens 18:e1010575 PubMed35925870

2022

Intermittent bulk release of human cytomegalovirus.

Applications

Unspecified application

Species

Unspecified reactive species

Felix J Flomm,Timothy K Soh,Carola Schneider,Linda Wedemann,Hannah M Britt,Konstantinos Thalassinos,Søren Pfitzner,Rudolph Reimer,Kay Grünewald,Jens B Bosse

International journal of molecular sciences 23: PubMed35628580

2022

UL34 Deletion Restricts Human Cytomegalovirus Capsid Formation and Maturation.

Applications

Unspecified application

Species

Unspecified reactive species

Declan L Turner,Rachel M Templin,Adele A Barugahare,Brendan E Russ,Stephen J Turner,Georg Ramm,Rommel A Mathias

Frontiers in microbiology 13:861734 PubMed35359726

2022

Vitamin D3 Suppresses Human Cytomegalovirus-Induced Vascular Endothelial Apoptosis Rectification of Paradoxical m6A Modification of Mitochondrial Calcium Uniporter mRNA, Which Is Regulated by METTL3 and YTHDF3.

Applications

Unspecified application

Species

Unspecified reactive species

Wenbo Zhu,Hongbo Zhang,Shao Wang

eLife 9: PubMed32910773

2020

The host exosome pathway underpins biogenesis of the human cytomegalovirus virion.

Applications

Unspecified application

Species

Unspecified reactive species

Declan L Turner,Denis V Korneev,John G Purdy,Alex de Marco,Rommel A Mathias

Viruses 12: PubMed32486172

2020

Human Cytomegalovirus-Encoded G Protein-Coupled Receptor UL33 Facilitates Virus Dissemination via the Extracellular and Cell-to-Cell Route.

Applications

Unspecified application

Species

Unspecified reactive species

Jeffrey R van Senten,Maarten P Bebelman,Puck van Gasselt,Nick D Bergkamp,Jelle van den Bor,Marco Siderius,Martine J Smit

ACS sensors 5:147-153 PubMed31850749

2020

Nanoparticle Reservoirs for Paper-Only Immunosensors.

Applications

Unspecified application

Species

Unspecified reactive species

Alejandra Alba-Patiño,Cristina Adrover-Jaume,Roberto de la Rica

Japanese journal of ophthalmology 62:667-676 PubMed30191418

2018

Infection of endotheliotropic human cytomegalovirus of trabecular meshwork cells.

Applications

Unspecified application

Species

Unspecified reactive species

Daisuke Shimizu,Dai Miyazaki,Yumiko Shimizu,Mayumi Hosogai,Isao Kosugi,Yoshitsugu Inoue

Proceedings of the National Academy of Sciences of 115:6273-6278 PubMed29686064

2018

Protection from cytomegalovirus viremia following glycoprotein B vaccination is not dependent on neutralizing antibodies.

Applications

Unspecified application

Species

Unspecified reactive species

Ilona Baraniak,Barbara Kropff,Lyn Ambrose,Megan McIntosh,Gary R McLean,Sylvie Pichon,Claire Atkinson,Richard S B Milne,Michael Mach,Paul D Griffiths,Matthew B Reeves
View all publications

Product promise

We are committed to supporting your work with high-quality reagents, and we're here for you every step of the way. In the unlikely event that one of our products does not perform as expected, you're protected by our Product Promise.
For full details, please see our Terms & Conditions

Please note: All products are 'FOR RESEARCH USE ONLY. NOT FOR USE IN DIAGNOSTIC OR THERAPEUTIC PROCEDURES'.

For licensing inquiries, please contact partnerships@abcam.com