JavaScript is disabled in your browser. Please enable JavaScript to view this website.
AB23905

Anti-Cytoplasmic Dynein Intermediate chain antibody [74.1]

4

(6 Reviews)

|

(47 Publications)

Mouse Recombinant Monoclonal DC1I1 antibody. Suitable for IP, Flow Cyt, WB and reacts with Rat, Human, Mouse samples. Cited in 47 publications.

View Alternative Names

DNCI1, DNCIC1, DYNC1I1, Cytoplasmic dynein 1 intermediate chain 1, Cytoplasmic dynein intermediate chain 1, DH IC-1

6 Images
Flow Cytometry - Anti-Cytoplasmic Dynein Intermediate chain antibody [74.1] (AB23905)
  • Flow Cyt

Lab

Flow Cytometry - Anti-Cytoplasmic Dynein Intermediate chain antibody [74.1] (AB23905)

Flow Cytometry analysis of HeLa (human cervix adenocarcinoma epithelial cell line) cells labeling Cytoplasmic Dynein Intermediate chain with ab23905 at 1/1000 dilution. Cells were fixed with 4% paraformaldehyde and permeabilised with 90% methanol. Goat Anti-Mouse IgG (Alexa Fluor® 488) (ab150113) at 1/2000 was used as the secondary antibody (red). Mouse monoclonal IgG was used as the isotype control (black). Cells without incubation with primary and secondary antibodies were used as the unlabeled control (blue).

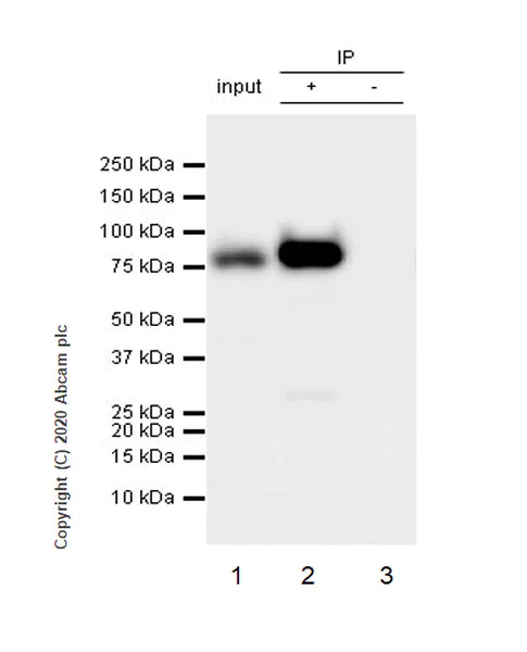
Immunoprecipitation - Anti-Cytoplasmic Dynein Intermediate chain antibody [74.1] (AB23905)
  • IP

Lab

Immunoprecipitation - Anti-Cytoplasmic Dynein Intermediate chain antibody [74.1] (AB23905)

Cytoplasmic Dynein Intermediate chain was immunoprecipitated from 0.35 mg U-87 MG (human glioblastoma-astrocytoma epithelial cell) whole cell lysate 10 μg with ab23905 at 1/30 dilution (2 μg in 0.35 mg lysates). Western blot was performed on the immunoprecipitate using ab23905 at 1/1000 dilution. mouse IgG for IP (HRP) (ab131368) was used at 1/10000 dilution.

Lane 1 : U-87 MG whole cell lysate 10 μg

Lane 2 : ab23905 IP in U-87 MG whole cell lysate

Lane 3 : Mouse monoclonal IgG instead of ab23905 in U-87 MG whole cell lysate

Blocking and dilution buffer and concentration : 5% NFDM/TBST.

Exposure time : 1 second

All lanes:

Immunoprecipitation - Anti-Cytoplasmic Dynein Intermediate chain antibody [74.1] (ab23905)

Predicted band size: 73 kDa

false

Exposure time: 1s

Flow Cytometry - Anti-Cytoplasmic Dynein Intermediate chain antibody [74.1] (AB23905)
  • Flow Cyt

Supplier Data

Flow Cytometry - Anti-Cytoplasmic Dynein Intermediate chain antibody [74.1] (AB23905)

Flow Cytometry analysis of C6 (rat glial tumor cell line) cells labeling Cytoplasmic Dynein Intermediate chain with ab23905 at 1/1000 dilution. Cells were fixed with 4% paraformaldehyde and permeabilised with 90% methanol. Goat Anti-Mouse IgG (Alexa Fluor® 488) (ab150113) at 1/2000 was used as the secondary antibody (red). Mouse monoclonal IgG was used as the isotype control (black). Cells without incubation with primary and secondary antibodies were used as the unlabeled control (blue).

Immunoprecipitation - Anti-Cytoplasmic Dynein Intermediate chain antibody [74.1] (AB23905)
  • IP

Lab

Immunoprecipitation - Anti-Cytoplasmic Dynein Intermediate chain antibody [74.1] (AB23905)

Cytoplasmic Dynein Intermediate chain was immunoprecipitated from 0.35 mg Rat brain tissue lysate 10 μg with ab23905 at 1/30 dilution (2 μg in 0.35 mg lysates). Western blot was performed on the immunoprecipitate using ab23905 at 1/1000 dilution. mouse IgG for IP (HRP) (ab131368) was used at 1/10000 dilution.

Lane 1 : Rat brain tissue lysate 10 μg

Lane 2 : ab23905 IP in Rat brain tissue lysate

Lane 3 : Mouse monoclonal IgG instead of ab23905 in rat brain tissue lysate

Blocking and dilution buffer and concentration : 5% NFDM/TBST.

Exposure time : 1 second

All lanes:

Immunoprecipitation - Anti-Cytoplasmic Dynein Intermediate chain antibody [74.1] (ab23905)

Predicted band size: 73 kDa

false

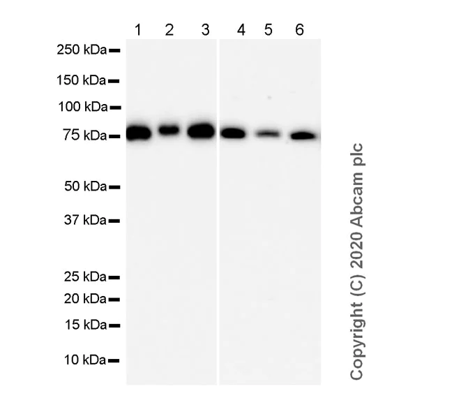
Western blot - Anti-Cytoplasmic Dynein Intermediate chain antibody [74.1] (AB23905)
  • WB

Lab

Western blot - Anti-Cytoplasmic Dynein Intermediate chain antibody [74.1] (AB23905)

Blocking buffer and concentration : 5% NFDM/TBST

Exposure time :

Lanes 1-3 : 37 seconds
Lanes 4-6 : 81 seconds

All lanes:

Western blot - Anti-Cytoplasmic Dynein Intermediate chain antibody [74.1] (ab23905) at 1/1000 dilution

Lane 1:

U-87 MG (human glioblastoma-astrocytoma epithelial cell), whole cell lysate at 20 µg

Lane 2:

SH-SY5Y (human neuroblastoma epithelial cell), whole cell lysate at 20 µg

Lane 3:

MDA-MB-231 (human breast adenocarcinoma epithelial cell), whole cell lysate at 20 µg

Lane 4:

PC-12 (rat adrenal gland pheochromocytoma), whole cell lysate at 20 µg

Lane 5:

C6 (rat glial tumor glial cell), whole cell lysate at 20 µg

Lane 6:

RAW264.7 (mouse Abelson murine leukemia virus-induced tumor macrophage), whole cell lysate at 20 µg

Secondary

All lanes:

Peroxidase-Conjugated Goat anti-Mouse IgG (H+L) at 1/10000 dilution

Predicted band size: 73 kDa

Observed band size: 73 kDa

false

Western blot - Anti-Cytoplasmic Dynein Intermediate chain antibody [74.1] (AB23905)
  • WB

AbReview18030****

Western blot - Anti-Cytoplasmic Dynein Intermediate chain antibody [74.1] (AB23905)

Gel : 10% acryl amid
Blocking Step : 5% Milk for 30 minutes at 25°C

This image was generated from the hybridoma version of the product.

All lanes:

Western blot - Anti-Cytoplasmic Dynein Intermediate chain antibody [74.1] (ab23905) at 1/1000 dilution

All lanes:

Rat Sciatic nerve whole tissue lysate at 60 µg

Secondary

All lanes:

HRP-conjugated Goat anti-mouse IgG at 1/10000 dilution

Predicted band size: 73 kDa

true

This image is courtesy of an anonymous Abreview

  • Carrier free

    Anti-Cytoplasmic Dynein Intermediate chain antibody [74.1] - BSA and Azide free

Key facts

Host species

Mouse

Clonality

Monoclonal

Clone number

74.1

Isotype

IgG2b

Carrier free

No

Reacts with

Mouse, Rat, Human

Applications

WB, IP, Flow Cyt

applications

Immunogen

The exact immunogen used to generate this antibody is proprietary information.

Reactivity data

{ "title": "Reactivity Data", "filters": { "stats": ["", "Species", "Dilution Info", "Notes"], "tabs": { "all-applications": {"fullname" : "All Applications", "shortname": "All Applications"}, "IP" : {"fullname" : "Immunoprecipitation", "shortname":"IP"}, "FlowCyt" : {"fullname" : "Flow Cytometry", "shortname":"Flow Cyt"}, "WB" : {"fullname" : "Western blot", "shortname":"WB"}, "ICC" : {"fullname" : "Immunocytochemistry", "shortname":"ICC"} }, "product-promise": { "all": "all", "testedAndGuaranteed": "tested", "guaranteed": "expected", "predicted": "predicted", "notRecommended": "not-recommended" } }, "values": { "Human": { "IP-species-checked": "testedAndGuaranteed", "IP-species-dilution-info": "1/30", "IP-species-notes": "<p></p>", "FlowCyt-species-checked": "testedAndGuaranteed", "FlowCyt-species-dilution-info": "1/1000", "FlowCyt-species-notes": "<p></p>", "WB-species-checked": "testedAndGuaranteed", "WB-species-dilution-info": "1/1000", "WB-species-notes": "<p></p>", "ICC-species-checked": "notRecommended", "ICC-species-dilution-info": "", "ICC-species-notes": "<p></p>" }, "Mouse": { "IP-species-checked": "guaranteed", "IP-species-dilution-info": "", "IP-species-notes": "", "FlowCyt-species-checked": "guaranteed", "FlowCyt-species-dilution-info": "", "FlowCyt-species-notes": "", "WB-species-checked": "testedAndGuaranteed", "WB-species-dilution-info": "1/1000", "WB-species-notes": "<p></p>", "ICC-species-checked": "notRecommended", "ICC-species-dilution-info": "", "ICC-species-notes": "" }, "Rat": { "IP-species-checked": "testedAndGuaranteed", "IP-species-dilution-info": "1/30", "IP-species-notes": "<p></p>", "FlowCyt-species-checked": "testedAndGuaranteed", "FlowCyt-species-dilution-info": "1/1000", "FlowCyt-species-notes": "<p></p>", "WB-species-checked": "testedAndGuaranteed", "WB-species-dilution-info": "1/1000", "WB-species-notes": "<p></p>", "ICC-species-checked": "notRecommended", "ICC-species-dilution-info": "", "ICC-species-notes": "<p></p>" } } }

Product details

This product has switched from a hybridoma to recombinant production method on 8th March 2021.

What are the advantages of a recombinant monoclonal antibody?
This product is a recombinant monoclonal antibody, which offers several advantages including:

  • - High batch-to-batch consistency and reproducibility
  • - Improved sensitivity and specificity
  • - Long-term security of supply
  • - Animal-free batch production

For more information, read more on recombinant antibodies.

Properties and storage information

Form
Liquid
Purification technique
Affinity purification Protein A
Storage buffer
Preservative: 0.01% Sodium azide Constituents: PBS, 40% Glycerol (glycerin, glycerine), 0.05% BSA
Shipped at conditions
Blue Ice
Appropriate short-term storage duration
1-2 weeks
Appropriate short-term storage conditions
+4°C
Appropriate long-term storage conditions
-20°C
Aliquoting information
Upon delivery aliquot
Storage information
Avoid freeze / thaw cycle

Product protocols

For this product, it's our understanding that no specific protocols are required. You can visit:

Target data

Acts as one of several non-catalytic accessory components of the cytoplasmic dynein 1 complex that are thought to be involved in linking dynein to cargos and to adapter proteins that regulate dynein function. Cytoplasmic dynein 1 acts as a motor for the intracellular retrograde motility of vesicles and organelles along microtubules. The intermediate chains mediate the binding of dynein to dynactin via its 150 kDa component (p150-glued) DCTN1. May play a role in mediating the interaction of cytoplasmic dynein with membranous organelles and kinetochores.
See full target information DYNC1I1

Publications (47)

Recent publications for all applications. Explore the full list and refine your search

Nature communications 16:7165 PubMed40759894

2025

Histone lactylation regulates DOCK4 to control heat nociception and supports Dynein-mediated Nav1.7 trafficking.

Applications

Unspecified application

Species

Unspecified reactive species

Man-Xiu Xie,Ren-Chun Lai,Yi-Bin Xiao,Shi-Yu Zuo,Hao Tang,Xian-Ying Cao,Jin-Kun Liu,Zi-Su Zhou,Shu-Hang Wang,Xiao-Fan Lu,Ying He,Yan Xie,Xiao-Long Zhang

Cell death & disease 16:328 PubMed40263294

2025

Opposing roles for GSK3β and ERK1-dependent phosphorylation of huntingtin during neuronal dysfunction and cell death in Huntington's disease.

Applications

Unspecified application

Species

Unspecified reactive species

Thomas J Krzystek,Rasika Rathnayake,Jia Zeng,Jing Huang,Gary Iacobucci,Michael C Yu,Shermali Gunawardena

Scientific reports 15:6891 PubMed40011606

2025

High-intensity interval training alleviates STZ-induced muscle atrophy by restoration of nuclear positioning defects in C57BL/6 male mice.

Applications

Unspecified application

Species

Unspecified reactive species

Masoud Rahmati,Rohollah Nikooie

Bio-protocol 14:e4961 PubMed38841287

2024

Proximity Labelling to Quantify Kv7.4 and Dynein Protein Interaction in Freshly Isolated Rat Vascular Smooth Muscle Cells.

Applications

Unspecified application

Species

Unspecified reactive species

Jennifer van der Horst,Thomas A Jepps

eLife 12: PubMed37096882

2023

Kazrin promotes dynein/dynactin-dependent traffic from early to recycling endosomes.

Applications

Unspecified application

Species

Unspecified reactive species

Ines Hernandez-Perez,Javier Rubio,Adrian Baumann,Henrique Girao,Miriam Ferrando,Elena Rebollo,Anna M Aragay,María Isabel Geli

Acta neuropathologica communications 11:44 PubMed36922901

2023

Loss of MBNL1-mediated retrograde BDNF signaling in the myotonic dystrophy brain.

Applications

Unspecified application

Species

Unspecified reactive species

Pei-Ying Wang,Ting-Yu Kuo,Lee-Hsin Wang,Wen-Hsing Liang,Guey-Shin Wang

Journal of innate immunity 15:380-396 PubMed36649698

2023

Ste20-Like Kinase TAOK1 Positively Regulates Antiviral Responses by Controlling the TBK1-IRF3 Signaling Axis.

Applications

Unspecified application

Species

Unspecified reactive species

Xiaogang Luo,Ruihua Ji,Qianru Liu,Xiaoxue Xiao,Wengang Song,Huazhang An,Yingke Li,Jun Zhou

Frontiers in cell and developmental biology 10:934684 PubMed36601539

2022

Molecular, morphological and functional properties of tunnelling nanotubes between normal and cancer urothelial cells: New insights from the model mimicking the situation after surgical removal of the urothelial tumor.

Applications

Unspecified application

Species

Unspecified reactive species

Nataša Resnik,Diana Baraga,Polona Glažar,Špela Jokhadar Zemljič,Jure Derganc,Kristina Sepčić,Peter Veranič,Mateja Erdani Kreft

eLife 11: PubMed36476638

2022

Doublecortin and JIP3 are neural-specific counteracting regulators of dynein-mediated retrograde trafficking.

Applications

Unspecified application

Species

Unspecified reactive species

Xiaoqin Fu,Lu Rao,Peijun Li,Xinglei Liu,Qi Wang,Alexander I Son,Arne Gennerich,Judy Shih-Hwa Liu

Autophagy 19:1199-1220 PubMed36048753

2022

HTT (huntingtin) and RAB7 co-migrate retrogradely on a signaling LAMP1-containing late endosome during axonal injury.

Applications

Unspecified application

Species

Unspecified reactive species

Thomas J Krzystek,Joseph A White,Rasika Rathnayake,Layne Thurston,Hayley Hoffmar-Glennon,Yichen Li,Shermali Gunawardena
View all publications

Product promise

We are committed to supporting your work with high-quality reagents, and we're here for you every step of the way. In the unlikely event that one of our products does not perform as expected, you're protected by our Product Promise.
For full details, please see our Terms & Conditions

Please note: All products are 'FOR RESEARCH USE ONLY. NOT FOR USE IN DIAGNOSTIC OR THERAPEUTIC PROCEDURES'.

For licensing inquiries, please contact partnerships@abcam.com