JavaScript is disabled in your browser. Please enable JavaScript to view this website.
AB307889

Anti-Cytosolic Phospholipase A2 antibody [EPR26068-26]

  • 20ul selling size
  • RabMAb
  • Recombinant
  • KO Validated
  • What is this?

Be the first to review this product! Submit a review

|

(1 Publication)

Knockout Tested Rabbit Recombinant Monoclonal Cytosolic Phospholipase A2 antibody. Suitable for WB, IP and reacts with Human, Mouse, Rat samples. Cited in 1 publication.

View Alternative Names

CPLA2, PLA2G4, PLA2G4A, Cytosolic phospholipase A2, cPLA2, Phospholipase A2 group IVA

5 Images
Immunoprecipitation - Anti-Cytosolic Phospholipase A2 antibody [EPR26068-26] (AB307889)
  • IP

Supplier Data

Immunoprecipitation - Anti-Cytosolic Phospholipase A2 antibody [EPR26068-26] (AB307889)

Cytosolic Phospholipase A2 was immunoprecipitated from 0.35 mg HeLa (human cervix adenocarcinoma epithelial cell) whole cell lysate 10 ug with ab307889 at 1/30 dilution (2ug in 0.35mg lysates). Western blot was performed on the immunoprecipitate using ab307889 at 1/1000 dilution. VeriBlot for IP secondary antibody(HRP)(ab131366) was used at 1/5000 dilution. Lane 1 : HeLa whole cell lysate 10 ug Lane 2 : ab307889 IP in HeLa whole cell lysate Lane 3 : Rabbit monoclonal IgG (ab172730) instead of ab307889 in HeLa whole cell lysate Blocking and dilution buffer and concentration : 5% NFDM/TBST. Exposure time : 50 seconds.

All lanes:

Immunoprecipitation - Anti-Cytosolic Phospholipase A2 antibody [EPR26068-26] (ab307889) at 1/30 dilution

All lanes:

ab307889 IP in HeLa whole cell lysate at 10 µg

false

Exposure time: 50s

Western blot - Anti-Cytosolic Phospholipase A2 antibody [EPR26068-26] (AB307889)
  • WB

Supplier Data

Western blot - Anti-Cytosolic Phospholipase A2 antibody [EPR26068-26] (AB307889)

In lane 1, the lysate was freshly made and used for Western Blotting immediately to minimize protein degradation. In lanes 2-3, the lysates were stored at -80℃ prior to Western Blotting. The bands beneath the target band (75 kDa) are likely to be degradation products. The secondary antibody dilution for Lane1 was 1 : 100000, the secondary antibody dilution for Lane2 and 3 was 1 : 20000. In Western blot, anti-GAPDH antibody (ab181602) loading control staining at 1/200000 dilution. Blocking/Dilution buffer : 5% NFDM/TBST.

All lanes:

Western blot - Anti-Cytosolic Phospholipase A2 antibody [EPR26068-26] (ab307889) at 1/1000 dilution

Lane 1:

HeLa whole cell lysate at 20 µg

Lane 2:

HeLa transfected with scrambled siRNA control whole cell lysate at 20 µg

Lane 3:

HeLa transfected with siRNA specifically targeting Cytosolic Phospholipase A2 whole cell lysate at 20 µg

Secondary

Lane 1:

Western blot - Goat Anti-Rabbit IgG H&L (HRP) (<a href='/en-us/products/secondary-antibodies/goat-rabbit-igg-h-l-hrp-ab97051'>ab97051</a>) at 1/100000 dilution

Lanes 2 - 3:

Western blot - Goat Anti-Rabbit IgG H&L (HRP) (<a href='/en-us/products/secondary-antibodies/goat-rabbit-igg-h-l-hrp-ab97051'>ab97051</a>) at 1/20000 dilution

Predicted band size: 85 kDa

Observed band size: 100 kDa

false

Western blot - Anti-Cytosolic Phospholipase A2 antibody [EPR26068-26] (AB307889)
  • WB

Supplier Data

Western blot - Anti-Cytosolic Phospholipase A2 antibody [EPR26068-26] (AB307889)

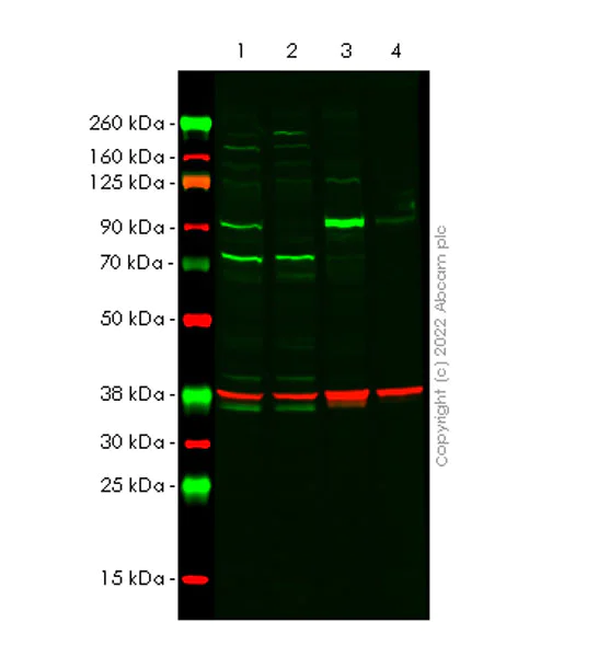
Lysates at 20 µg per lane. The samples were run on a Bis-Tris gel. Performed under reducing conditions. False colour image of Western blot : Anti-Cytosolic Phospholipase A2 antibody (ab307889) staining at 1/1000 dilution, shown in green; Mouse anti-GAPDH antibody 6C5 (ab8245) loading control staining at 1/20000 dilution, shown in red. In Western blot, ab307889 was shown to bind specifically to Cytosolic Phospholipase A2. A band was observed at 100 kDa in wild-type HAP1 cell lysates with no signal observed at this size in Cytosolic Phospholipase A2 knockout cell line. To generate this image, wild-type and Cytosolic Phospholipase A2 knockout HAP1 cell lysates were analyzed. First, samples were run on an SDS-PAGE gel then transferred onto an immobilon-FL PVDF membrane. Membranes were blocked in in Intercept® (TBS) Blocking Buffer diluted with an equal volume of 0.1% TBS before incubation with primary antibodies overnight at 4 °C. Blots were washed four times in TBS-T, incubated with secondary antibodies for 1 h at room temperature, washed again four times then imaged. Secondary antibodies used were Goat anti-Rabbit IgG H&L (IRDye® 800CW) preabsorbed (ab216773) and Goat anti-Mouse IgG H&L (IRDye® 680RD) preabsorbed (ab216776) at 1/20000 dilution. The identity of the lower MW band at approximately 75 kDa is unknown.

All lanes:

Western blot - Anti-Cytosolic Phospholipase A2 antibody [EPR26068-26] (ab307889) at 1/1000 dilution

Lane 1:

Wild-type HAP1 whole cell lysate at 20 µg

Lane 2:

Cytosolic Phospholipase A2 knockout HAP1 whole cell lysate at 20 µg

Lane 3:

HeLa whole cell lysate at 20 µg

Lane 4:

A549 whole cell lysate at 20 µg

Secondary

All lanes:

Western blot - Goat anti-Rabbit IgG H&L (IRDye® 800CW) preadsorbed (<a href='/en-us/products/secondary-antibodies/goat-rabbit-igg-h-l-irdye-800cw-preadsorbed-ab216773'>ab216773</a>) at 1/10000 dilution

Predicted band size: 85 kDa

Observed band size: 100 kDa

false

Western blot - Anti-Cytosolic Phospholipase A2 antibody [EPR26068-26] (AB307889)
  • WB

Lab

Western blot - Anti-Cytosolic Phospholipase A2 antibody [EPR26068-26] (AB307889)

Blocking and diluting buffer and concentration : 5% NFDM/TBST.

In Western blot, Anti-GAPDH antibody [EPR16891] - Loading Control (ab181602).

In Western blot, ab307889 was shown to bind specifically to Cytosolic Phospholipase A2. A band was observed at 100 kDa in wild-type HeLa cell lysates with no signal observed at this size in Cytosolic Phospholipase A2 knockout cell line(lane 2) (lane 2, knockout cell line ab265490 / knockout cell lysate ab257133).

All lanes:

Western blot - Anti-Cytosolic Phospholipase A2 antibody [EPR26068-26] (ab307889) at 1/1000 dilution

Lane 1:

Wild-type HeLa (human cervical adenocarcinoma epithelial cell) whole cell lysate at 20 µg

Lane 2:

Cytosolic Phospholipase A2 knockout HeLa whole cell lysate at 20 µg

Lane 2:

Western blot - Human PLA2G4A (Cytosolic Phospholipase A2) knockout HeLa cell line (<a href='/en-us/products/cell-lines/human-pla2g4a-cytosolic-phospholipase-a2-knockout-hela-cell-line-ab265490'>ab265490</a>)

Lane 2:

Western blot - Human PLA2G4A (Cytosolic Phospholipase A2) knockout HeLa cell lysate (<a href='/en-us/products/cell-lysates/human-pla2g4a-cytosolic-phospholipase-a2-knockout-hela-cell-lysate-ab257133'>ab257133</a>) at 20 µg

Secondary

All lanes:

Western blot - Goat Anti-Rabbit IgG H&L (HRP) (<a href='/en-us/products/secondary-antibodies/goat-rabbit-igg-h-l-hrp-ab97051'>ab97051</a>) at 1/100000 dilution

Observed band size: 100 kDa

false

Exposure time: 38s

Western blot - Anti-Cytosolic Phospholipase A2 antibody [EPR26068-26] (AB307889)
  • WB

Supplier Data

Western blot - Anti-Cytosolic Phospholipase A2 antibody [EPR26068-26] (AB307889)

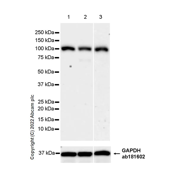
Lane 3 was developed using a high sensitivity ECL substrate. In Western blot, anti-GAPDH antibody (ab181602) loading control staining at 1/200000 dilution. Blocking/Dilution buffer : 5% NFDM/TBST.

All lanes:

Western blot - Anti-Cytosolic Phospholipase A2 antibody [EPR26068-26] (ab307889) at 1/1000 dilution

Lane 1:

NIH/3T3 whole cell lysate at 20 µg

Lane 2:

RAW264.7 whole cell lysate at 20 µg

Lane 3:

C6 whole cell lysate at 20 µg

Secondary

All lanes:

Western blot - Goat Anti-Rabbit IgG H&L (HRP) (<a href='/en-us/products/secondary-antibodies/goat-rabbit-igg-h-l-hrp-ab97051'>ab97051</a>) at 1/100000 dilution

Predicted band size: 85 kDa

Observed band size: 100 kDa

true

  • Carrier free

    Anti-Cytosolic Phospholipase A2 antibody [EPR26068-26] - BSA and Azide free

Key facts

Host species

Rabbit

Clonality

Monoclonal

Clone number

EPR26068-26

Isotype

IgG

Carrier free

No

Reacts with

Human, Mouse, Rat

Applications

WB, IP

applications

Immunogen

The exact immunogen used to generate this antibody is proprietary information.

Reactivity data

{ "title": "Reactivity Data", "filters": { "stats": ["", "Species", "Dilution Info", "Notes"], "tabs": { "all-applications": {"fullname" : "All Applications", "shortname": "All Applications"}, "FlowCytIntra" : {"fullname" : "Flow Cytometry (Intracellular)", "shortname":"Flow Cyt (Intra)"}, "WB" : {"fullname" : "Western blot", "shortname":"WB"}, "IP" : {"fullname" : "Immunoprecipitation", "shortname":"IP"}, "IHCP" : {"fullname" : "Immunohistochemistry (Formalin/PFA-fixed paraffin-embedded sections)", "shortname":"IHC-P"}, "ICCIF" : {"fullname" : "Immunocytochemistry/ Immunofluorescence", "shortname":"ICC/IF"} }, "product-promise": { "all": "all", "testedAndGuaranteed": "tested", "guaranteed": "expected", "predicted": "predicted", "notRecommended": "not-recommended" } }, "values": { "Human": { "FlowCytIntra-species-checked": "notRecommended", "FlowCytIntra-species-dilution-info": "", "FlowCytIntra-species-notes": "<p></p>", "WB-species-checked": "testedAndGuaranteed", "WB-species-dilution-info": "1/1000", "WB-species-notes": "<p></p>", "IP-species-checked": "testedAndGuaranteed", "IP-species-dilution-info": "1/30", "IP-species-notes": "<p></p>", "IHCP-species-checked": "notRecommended", "IHCP-species-dilution-info": "", "IHCP-species-notes": "<p></p>", "ICCIF-species-checked": "notRecommended", "ICCIF-species-dilution-info": "", "ICCIF-species-notes": "<p></p>" }, "Mouse": { "FlowCytIntra-species-checked": "notRecommended", "FlowCytIntra-species-dilution-info": "", "FlowCytIntra-species-notes": "<p></p>", "WB-species-checked": "testedAndGuaranteed", "WB-species-dilution-info": "1/1000", "WB-species-notes": "<p></p>", "IP-species-checked": "notRecommended", "IP-species-dilution-info": "1/30", "IP-species-notes": "<p></p>", "IHCP-species-checked": "notRecommended", "IHCP-species-dilution-info": "", "IHCP-species-notes": "<p></p>", "ICCIF-species-checked": "notRecommended", "ICCIF-species-dilution-info": "", "ICCIF-species-notes": "" }, "Rat": { "FlowCytIntra-species-checked": "notRecommended", "FlowCytIntra-species-dilution-info": "", "FlowCytIntra-species-notes": "<p></p>", "WB-species-checked": "testedAndGuaranteed", "WB-species-dilution-info": "1/1000", "WB-species-notes": "<p></p>", "IP-species-checked": "notRecommended", "IP-species-dilution-info": "1/30", "IP-species-notes": "<p></p>", "IHCP-species-checked": "notRecommended", "IHCP-species-dilution-info": "", "IHCP-species-notes": "<p></p>", "ICCIF-species-checked": "notRecommended", "ICCIF-species-dilution-info": "", "ICCIF-species-notes": "" } } }

Product details

Patented technology
Our RabMAb® technology is a patented hybridoma-based technology for making rabbit monoclonal antibodies. For details on our patents, please refer to RabMAb® patents.

What are the advantages of a recombinant monoclonal antibody?
This product is a recombinant monoclonal antibody, which offers several advantages including:

  • - High batch-to-batch consistency and reproducibility
  • - Improved sensitivity and specificity
  • - Long-term security of supply
  • - Animal-free batch production

For more information, read more on recombinant antibodies.

Properties and storage information

Form
Liquid
Purification technique
Affinity purification Protein A
Storage buffer
pH: 7.2 - 7.4 Preservative: 0.01% Sodium azide Constituents: PBS, 40% Glycerol (glycerin, glycerine), 0.05% BSA
Shipped at conditions
Blue Ice
Appropriate short-term storage duration
1-2 weeks
Appropriate short-term storage conditions
+4°C
Appropriate long-term storage conditions
-20°C
Aliquoting information
Upon delivery aliquot
Storage information
Avoid freeze / thaw cycle

Product protocols

For this product, it's our understanding that no specific protocols are required. You can visit:

Target data

Has primarily calcium-dependent phospholipase and lysophospholipase activities, with a major role in membrane lipid remodeling and biosynthesis of lipid mediators of the inflammatory response (PubMed : 10358058, PubMed : 14709560, PubMed : 16617059, PubMed : 17472963, PubMed : 18451993, PubMed : 27642067, PubMed : 7794891, PubMed : 8619991, PubMed : 8702602, PubMed : 9425121). Plays an important role in embryo implantation and parturition through its ability to trigger prostanoid production (By similarity). Preferentially hydrolyzes the ester bond of the fatty acyl group attached at sn-2 position of phospholipids (phospholipase A2 activity) (PubMed : 10358058, PubMed : 17472963, PubMed : 18451993, PubMed : 7794891, PubMed : 8619991, PubMed : 9425121). Selectively hydrolyzes sn-2 arachidonoyl group from membrane phospholipids, providing the precursor for eicosanoid biosynthesis via the cyclooxygenase pathway (PubMed : 10358058, PubMed : 17472963, PubMed : 18451993, PubMed : 7794891, PubMed : 9425121). In an alternative pathway of eicosanoid biosynthesis, hydrolyzes sn-2 fatty acyl chain of eicosanoid lysophopholipids to release free bioactive eicosanoids (PubMed : 27642067). Hydrolyzes the ester bond of the fatty acyl group attached at sn-1 position of phospholipids (phospholipase A1 activity) only if an ether linkage rather than an ester linkage is present at the sn-2 position. This hydrolysis is not stereospecific (PubMed : 7794891). Has calcium-independent phospholipase A2 and lysophospholipase activities in the presence of phosphoinositides (PubMed : 12672805). Has O-acyltransferase activity. Catalyzes the transfer of fatty acyl chains from phospholipids to a primary hydroxyl group of glycerol (sn-1 or sn-3), potentially contributing to monoacylglycerol synthesis (PubMed : 7794891).
See full target information PLA2G4A

Publications (1)

Recent publications for all applications. Explore the full list and refine your search

The clinical respiratory journal 18:e13814 PubMed39129202

2024

FOXA2 Activates RND1 to Regulate Arachidonic Acid Metabolism Pathway and Suppress Cisplatin Resistance in Lung Squamous Cell Carcinoma.

Applications

Unspecified application

Species

Unspecified reactive species

Yafu Zhou,Huiguo Chen,Jianhua Yan,Qi Yao,Chunchu Kong,You Peng,Shengying Xiao,Jinsong Yang
View all publications

Product promise

We are committed to supporting your work with high-quality reagents, and we're here for you every step of the way. In the unlikely event that one of our products does not perform as expected, you're protected by our Product Promise.
For full details, please see our Terms & Conditions

Please note: All products are 'FOR RESEARCH USE ONLY. NOT FOR USE IN DIAGNOSTIC OR THERAPEUTIC PROCEDURES'.

For licensing inquiries, please contact partnerships@abcam.com