JavaScript is disabled in your browser. Please enable JavaScript to view this website.
AB227246

Anti-Cytosolic Phospholipase A2 antibody - N-terminal

Be the first to review this product! Submit a review

|

(2 Publications)

Rabbit Polyclonal Cytosolic Phospholipase A2 antibody. N-terminal. Suitable for WB, IHC-P, ICC/IF and reacts with Mouse, Human samples. Cited in 2 publications. Immunogen corresponding to Recombinant Fragment Protein within Human PLA2G4A.

View Alternative Names

CPLA2, PLA2G4, PLA2G4A, Cytosolic phospholipase A2, cPLA2, Phospholipase A2 group IVA

6 Images
Immunocytochemistry/ Immunofluorescence - Anti-Cytosolic Phospholipase A2 antibody - N-terminal (AB227246)
  • ICC/IF

Supplier Data

Immunocytochemistry/ Immunofluorescence - Anti-Cytosolic Phospholipase A2 antibody - N-terminal (AB227246)

Paraformaldehyde-fixed HeLa (human epithelial cell line from cervix adenocarcinoma) cells stained for Cytosolic Phospholipase A2 (green) using ab227246 at 1/200 dilution in ICC/IF.

Lower panel : Merged with DNA probe.

Immunohistochemistry (Formalin/PFA-fixed paraffin-embedded sections) - Anti-Cytosolic Phospholipase A2 antibody - N-terminal (AB227246)
  • IHC-P

Supplier Data

Immunohistochemistry (Formalin/PFA-fixed paraffin-embedded sections) - Anti-Cytosolic Phospholipase A2 antibody - N-terminal (AB227246)

Paraffin-embedded U87 xenograft tissue stained for Cytosolic Phospholipase A2 using ab227246 at 1/500 dilution in immunohistochemical analysis.

Immunohistochemistry (Formalin/PFA-fixed paraffin-embedded sections) - Anti-Cytosolic Phospholipase A2 antibody - N-terminal (AB227246)
  • IHC-P

Supplier Data

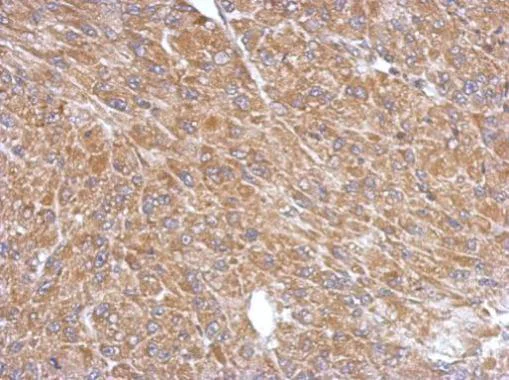
Immunohistochemistry (Formalin/PFA-fixed paraffin-embedded sections) - Anti-Cytosolic Phospholipase A2 antibody - N-terminal (AB227246)

Paraffin-embedded mouse liver tissue stained for Cytosolic Phospholipase A2 using ab227246 at 1/500 dilution in immunohistochemical analysis.

Immunohistochemistry (Formalin/PFA-fixed paraffin-embedded sections) - Anti-Cytosolic Phospholipase A2 antibody - N-terminal (AB227246)
  • IHC-P

Supplier Data

Immunohistochemistry (Formalin/PFA-fixed paraffin-embedded sections) - Anti-Cytosolic Phospholipase A2 antibody - N-terminal (AB227246)

Paraffin-embedded mouse duodenum tissue stained for Cytosolic Phospholipase A2 using ab227246 at 1/500 dilution in immunohistochemical analysis.

Western blot - Anti-Cytosolic Phospholipase A2 antibody - N-terminal (AB227246)
  • WB

Supplier Data

Western blot - Anti-Cytosolic Phospholipase A2 antibody - N-terminal (AB227246)

7.5% SDS-PAGE gel.

All lanes:

Western blot - Anti-Cytosolic Phospholipase A2 antibody - N-terminal (ab227246) at 1/1000 dilution

All lanes:

Raji (human Burkitt's lymphoma cell line) whole cell lysate at 30 µg

Predicted band size: 85 kDa

false

Western blot - Anti-Cytosolic Phospholipase A2 antibody - N-terminal (AB227246)
  • WB

Supplier Data

Western blot - Anti-Cytosolic Phospholipase A2 antibody - N-terminal (AB227246)

7.5% SDS-PAGE gel.

All lanes:

Western blot - Anti-Cytosolic Phospholipase A2 antibody - N-terminal (ab227246) at 1/1000 dilution

All lanes:

NIH/3T3 (mouse embryo fibroblast cell line) whole cell lysate at 30 µg

Predicted band size: 85 kDa

false

Key facts

Host species

Rabbit

Clonality

Polyclonal

Isotype

IgG

Carrier free

No

Reacts with

Mouse, Human

Applications

ICC/IF, IHC-P, WB

applications

Immunogen

Recombinant Fragment Protein within Human PLA2G4A. The exact immunogen used to generate this antibody is proprietary information.

P47712

Reactivity data

{ "title": "Reactivity Data", "filters": { "stats": ["", "Species", "Dilution Info", "Notes"], "tabs": { "all-applications": {"fullname" : "All Applications", "shortname": "All Applications"}, "WB" : {"fullname" : "Western blot", "shortname":"WB"}, "IHCP" : {"fullname" : "Immunohistochemistry (Formalin/PFA-fixed paraffin-embedded sections)", "shortname":"IHC-P"}, "ICCIF" : {"fullname" : "Immunocytochemistry/ Immunofluorescence", "shortname":"ICC/IF"} }, "product-promise": { "all": "all", "testedAndGuaranteed": "tested", "guaranteed": "expected", "predicted": "predicted", "notRecommended": "not-recommended" } }, "values": { "Human": { "WB-species-checked": "testedAndGuaranteed", "WB-species-dilution-info": "1/500 - 1/3000", "WB-species-notes": "<p></p>", "IHCP-species-checked": "testedAndGuaranteed", "IHCP-species-dilution-info": "1/100 - 1/1000", "IHCP-species-notes": "<p></p>", "ICCIF-species-checked": "testedAndGuaranteed", "ICCIF-species-dilution-info": "1/100 - 1/1000", "ICCIF-species-notes": "<p></p>" }, "Mouse": { "WB-species-checked": "testedAndGuaranteed", "WB-species-dilution-info": "1/500 - 1/3000", "WB-species-notes": "<p></p>", "IHCP-species-checked": "testedAndGuaranteed", "IHCP-species-dilution-info": "1/100 - 1/1000", "IHCP-species-notes": "<p></p>", "ICCIF-species-checked": "guaranteed", "ICCIF-species-dilution-info": "", "ICCIF-species-notes": "" }, "Rat": { "WB-species-checked": "predicted", "WB-species-dilution-info": "", "WB-species-notes": "", "IHCP-species-checked": "predicted", "IHCP-species-dilution-info": "", "IHCP-species-notes": "", "ICCIF-species-checked": "predicted", "ICCIF-species-dilution-info": "", "ICCIF-species-notes": "" }, "Cow": { "WB-species-checked": "predicted", "WB-species-dilution-info": "", "WB-species-notes": "", "IHCP-species-checked": "predicted", "IHCP-species-dilution-info": "", "IHCP-species-notes": "", "ICCIF-species-checked": "predicted", "ICCIF-species-dilution-info": "", "ICCIF-species-notes": "" }, "Rabbit": { "WB-species-checked": "predicted", "WB-species-dilution-info": "", "WB-species-notes": "", "IHCP-species-checked": "predicted", "IHCP-species-dilution-info": "", "IHCP-species-notes": "", "ICCIF-species-checked": "predicted", "ICCIF-species-dilution-info": "", "ICCIF-species-notes": "" } } }

Properties and storage information

Form
Liquid
Purification technique
Affinity purification Immunogen
Storage buffer
pH: 7 Preservative: 0.025% Proclin 300 Constituents: PBS, 20% Glycerol (glycerin, glycerine)
Shipped at conditions
Blue Ice
Appropriate short-term storage duration
1-2 weeks
Appropriate short-term storage conditions
+4°C
Appropriate long-term storage conditions
-20°C
Aliquoting information
Upon delivery aliquot
Storage information
Avoid freeze / thaw cycle

Product protocols

For this product, it's our understanding that no specific protocols are required. You can visit:

Target data

Has primarily calcium-dependent phospholipase and lysophospholipase activities, with a major role in membrane lipid remodeling and biosynthesis of lipid mediators of the inflammatory response (PubMed : 10358058, PubMed : 14709560, PubMed : 16617059, PubMed : 17472963, PubMed : 18451993, PubMed : 27642067, PubMed : 7794891, PubMed : 8619991, PubMed : 8702602, PubMed : 9425121). Plays an important role in embryo implantation and parturition through its ability to trigger prostanoid production (By similarity). Preferentially hydrolyzes the ester bond of the fatty acyl group attached at sn-2 position of phospholipids (phospholipase A2 activity) (PubMed : 10358058, PubMed : 17472963, PubMed : 18451993, PubMed : 7794891, PubMed : 8619991, PubMed : 9425121). Selectively hydrolyzes sn-2 arachidonoyl group from membrane phospholipids, providing the precursor for eicosanoid biosynthesis via the cyclooxygenase pathway (PubMed : 10358058, PubMed : 17472963, PubMed : 18451993, PubMed : 7794891, PubMed : 9425121). In an alternative pathway of eicosanoid biosynthesis, hydrolyzes sn-2 fatty acyl chain of eicosanoid lysophopholipids to release free bioactive eicosanoids (PubMed : 27642067). Hydrolyzes the ester bond of the fatty acyl group attached at sn-1 position of phospholipids (phospholipase A1 activity) only if an ether linkage rather than an ester linkage is present at the sn-2 position. This hydrolysis is not stereospecific (PubMed : 7794891). Has calcium-independent phospholipase A2 and lysophospholipase activities in the presence of phosphoinositides (PubMed : 12672805). Has O-acyltransferase activity. Catalyzes the transfer of fatty acyl chains from phospholipids to a primary hydroxyl group of glycerol (sn-1 or sn-3), potentially contributing to monoacylglycerol synthesis (PubMed : 7794891).
See full target information PLA2G4A

Publications (2)

Recent publications for all applications. Explore the full list and refine your search

Journal of cerebral blood flow and metabolism : official journal of the International Society of Cerebral Blood Flow and Metabolism 45:2189-2202 PubMed40569616

2025

Assessing the effects of aging on the Koizumi's and Zea Longa's methods and their suitability as mouse models for evaluating neurodegeneration post-ischemic stroke: A comparative study.

Applications

Unspecified application

Species

Unspecified reactive species

Chiyeon Lim,Hongrae Kim,Sehyun Lim,Hyo-Eun Kim,So-Jung Moon,Hyung-Hwan Kim,Suin Cho

Cancer research 85:2890-2904 PubMed40327605

2025

Combining Multiplexed CRISPR/Cas9-Nickase and PARP Inhibitors Efficiently and Precisely Targets Cancer Cells.

Applications

Unspecified application

Species

Unspecified reactive species

Soyoung Lee,Kyunghwan Kim,Hye-Jin Jeong,Subin Choi,Himchan Cheng,Dayoung Kim,Soomin Heo,Jinhee Mun,Minjong Kim,Eunjin Lee,Yoon Ji Choi,Seon-Gyeong Lee,Eun A Lee,Yewon Jang,Kayeong Lim,Heon Seok Kim,Euihwan Jeong,Seung-Jae Myung,Deok-Beom Jung,Chang Sik Yu,In Ho Song,M Ryan Corces,Joo H Kang,Kyungjae Myung,Taejoon Kwon,Tae-Eun Park,Jinmyoung Joo,Seung Woo Cho
View all publications

Product promise

We are committed to supporting your work with high-quality reagents, and we're here for you every step of the way. In the unlikely event that one of our products does not perform as expected, you're protected by our Product Promise.
For full details, please see our Terms & Conditions

Please note: All products are 'FOR RESEARCH USE ONLY. NOT FOR USE IN DIAGNOSTIC OR THERAPEUTIC PROCEDURES'.

For licensing inquiries, please contact partnerships@abcam.com