JavaScript is disabled in your browser. Please enable JavaScript to view this website.
AB181259

Anti-D4 GDI antibody [EPR14211(B)]

Be the first to review this product! Submit a review

|

(2 Publications)

Rabbit Recombinant Monoclonal D4 GDI antibody. Suitable for IHC-P, IP, WB, ICC/IF and reacts with Human samples. Cited in 2 publications.

View Alternative Names

GDIA2, GDID4, RAP1GN1, ARHGDIB, Rho GDP-dissociation inhibitor 2, Rho GDI 2, Ly-GDI, Rho-GDI beta

5 Images
Immunohistochemistry (Formalin/PFA-fixed paraffin-embedded sections) - Anti-D4 GDI antibody [EPR14211(B)] (AB181259)
  • IHC-P

Unknown

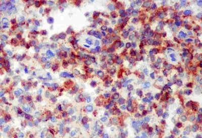
Immunohistochemistry (Formalin/PFA-fixed paraffin-embedded sections) - Anti-D4 GDI antibody [EPR14211(B)] (AB181259)

Immunohistochemical analysis of paraffin-embedded Human spleen tissue labeling D4 GDI with ab181259 at 1/2000 dilution followed by pre-diluted HRP-conjugated secondary antibody and counter-stained with Hematoxylin.

Perform heat mediated antigen retrieval with citrate buffer pH 6 before commencing with IHC staining protocol.

Immunocytochemistry/ Immunofluorescence - Anti-D4 GDI antibody [EPR14211(B)] (AB181259)
  • ICC/IF

Supplier Data

Immunocytochemistry/ Immunofluorescence - Anti-D4 GDI antibody [EPR14211(B)] (AB181259)

Immunofluorescent analysis of HL60 cells (-20°Acetone-fixed) labeling D4 GDI with ab181259 at 1/100 dilution followed by Goat anti rabbit IgG (Alexa Fluor® 488) secondary at 1/200 dilution and counter-stained with DAPI (blue).

Immunoprecipitation - Anti-D4 GDI antibody [EPR14211(B)] (AB181259)
  • IP

Supplier Data

Immunoprecipitation - Anti-D4 GDI antibody [EPR14211(B)] (AB181259)

Western blot analysis of immunoprecipitation pellet from Jurkat cell lysate (lane 1) or a negative control (lane 2) immunoprecipitated using ab181259 at 1/50 dilution.
Secondary : Anti-Rabbit IgG (HRP), specific to the non-reduced form of IgG at 1/1500 dilution.

All lanes:

Immunoprecipitation - Anti-D4 GDI antibody [EPR14211(B)] (ab181259)

Predicted band size: 22 kDa

false

Western blot - Anti-D4 GDI antibody [EPR14211(B)] (AB181259)
  • WB

Supplier Data

Western blot - Anti-D4 GDI antibody [EPR14211(B)] (AB181259)

All lanes:

Western blot - Anti-D4 GDI antibody [EPR14211(B)] (ab181259) at 1/50000 dilution

Lane 1:

Jurkat cell lysate at 20 µg

Lane 2:

U937 cell lysate at 20 µg

Lane 3:

HL60 cell lysate at 20 µg

Secondary

All lanes:

Goat Anti-Rabbit IgG, (H+L), Peroxidase conjugated at 1/1000 dilution

Predicted band size: 22 kDa

false

Western blot - Anti-D4 GDI antibody [EPR14211(B)] (AB181259)
  • WB

Supplier Data

Western blot - Anti-D4 GDI antibody [EPR14211(B)] (AB181259)

All lanes:

Western blot - Anti-D4 GDI antibody [EPR14211(B)] (ab181259) at 1/10000 dilution

All lanes:

Human bone marrow lysate at 10 µg

Secondary

All lanes:

Western blot - Goat Anti-Rabbit IgG H&L (HRP) (<a href='/en-us/products/secondary-antibodies/goat-rabbit-igg-h-l-hrp-ab136636'>ab136636</a>) at 1/500 dilution

Predicted band size: 22 kDa

false

Key facts

Host species

Rabbit

Clonality

Monoclonal

Clone number

EPR14211(B)

Isotype

IgG

Carrier free

No

Reacts with

Human

Applications

WB, ICC/IF, IHC-P, IP

applications

Immunogen

The exact immunogen used to generate this antibody is proprietary information.

Reactivity data

{ "title": "Reactivity Data", "filters": { "stats": ["", "Species", "Dilution Info", "Notes"], "tabs": { "all-applications": {"fullname" : "All Applications", "shortname": "All Applications"}, "IHCP" : {"fullname" : "Immunohistochemistry (Formalin/PFA-fixed paraffin-embedded sections)", "shortname":"IHC-P"}, "IP" : {"fullname" : "Immunoprecipitation", "shortname":"IP"}, "WB" : {"fullname" : "Western blot", "shortname":"WB"}, "ICCIF" : {"fullname" : "Immunocytochemistry/ Immunofluorescence", "shortname":"ICC/IF"} }, "product-promise": { "all": "all", "testedAndGuaranteed": "tested", "guaranteed": "expected", "predicted": "predicted", "notRecommended": "not-recommended" } }, "values": { "Human": { "IHCP-species-checked": "testedAndGuaranteed", "IHCP-species-dilution-info": "1/1000 - 1/2000", "IHCP-species-notes": "<p></p>", "IP-species-checked": "testedAndGuaranteed", "IP-species-dilution-info": "1/40 - 1/60", "IP-species-notes": "<p></p>", "WB-species-checked": "testedAndGuaranteed", "WB-species-dilution-info": "1/10000 - 1/50000", "WB-species-notes": "<p></p>", "ICCIF-species-checked": "testedAndGuaranteed", "ICCIF-species-dilution-info": "1/100", "ICCIF-species-notes": "<p></p>" }, "Mouse": { "IHCP-species-checked": "predicted", "IHCP-species-dilution-info": "", "IHCP-species-notes": "", "IP-species-checked": "predicted", "IP-species-dilution-info": "", "IP-species-notes": "", "WB-species-checked": "predicted", "WB-species-dilution-info": "", "WB-species-notes": "", "ICCIF-species-checked": "predicted", "ICCIF-species-dilution-info": "", "ICCIF-species-notes": "" }, "Rat": { "IHCP-species-checked": "predicted", "IHCP-species-dilution-info": "", "IHCP-species-notes": "", "IP-species-checked": "predicted", "IP-species-dilution-info": "", "IP-species-notes": "", "WB-species-checked": "predicted", "WB-species-dilution-info": "", "WB-species-notes": "", "ICCIF-species-checked": "predicted", "ICCIF-species-dilution-info": "", "ICCIF-species-notes": "" } } }

Product details

Patented technology
Our RabMAb® technology is a patented hybridoma-based technology for making rabbit monoclonal antibodies. For details on our patents, please refer to RabMAb® patents.

What are the advantages of a recombinant monoclonal antibody?
This product is a recombinant monoclonal antibody, which offers several advantages including:

  • - High batch-to-batch consistency and reproducibility
  • - Improved sensitivity and specificity
  • - Long-term security of supply
  • - Animal-free batch production

For more information, read more on recombinant antibodies.

Properties and storage information

Form
Liquid
Purity
Tissue culture supernatant
Storage buffer
Preservative: 0.01% Sodium azide Constituents: PBS, 40% Glycerol (glycerin, glycerine), 0.05% BSA
Shipped at conditions
Blue Ice
Appropriate short-term storage duration
1-2 weeks
Appropriate short-term storage conditions
+4°C
Appropriate long-term storage conditions
-20°C
Aliquoting information
Upon delivery aliquot
Storage information
Avoid freeze / thaw cycle

Product protocols

For this product, it's our understanding that no specific protocols are required. You can visit:

Target data

Regulates the GDP/GTP exchange reaction of the Rho proteins by inhibiting the dissociation of GDP from them, and the subsequent binding of GTP to them (PubMed : 7512369, PubMed : 8356058). Regulates reorganization of the actin cytoskeleton mediated by Rho family members (PubMed : 8262133).
See full target information ARHGDIB

Publications (2)

Recent publications for all applications. Explore the full list and refine your search

Environmental toxicology 38:1063-1077 PubMed36793247

2023

Diallyl disulfide downregulating RhoGDI2 induces differentiation and inhibit invasion via the Rac1/Pak1/LIMK1 pathway in human leukemia HL-60 cells.

Applications

Unspecified application

Species

Unspecified reactive species

Tan Hui,Jiang Yiling,Chen Guangqun,Liu Ran,Ling Hui,Yi Lan,He Jie,Qi Su

Cell calcium 72:70-80 PubMed29748135

2018

Oncogenic KRAS suppresses store-operated Ca entry and I through ERK pathway-dependent remodelling of STIM expression in colorectal cancer cell lines.

Applications

Unspecified application

Species

Unspecified reactive species

Cristina Pierro,Xuexin Zhang,Cynthia Kankeu,Mohamed Trebak,Martin D Bootman,H Llewelyn Roderick
View all publications

Product promise

We are committed to supporting your work with high-quality reagents, and we're here for you every step of the way. In the unlikely event that one of our products does not perform as expected, you're protected by our Product Promise.
For full details, please see our Terms & Conditions

Please note: All products are 'FOR RESEARCH USE ONLY. NOT FOR USE IN DIAGNOSTIC OR THERAPEUTIC PROCEDURES'.

For licensing inquiries, please contact partnerships@abcam.com