JavaScript is disabled in your browser. Please enable JavaScript to view this website.
AB176718

Anti-DACH1 antibody

4

(1 Review)

|

(6 Publications)

Rabbit Polyclonal DACH1 antibody. Suitable for IP, WB, IHC-P and reacts with Human samples. Cited in 6 publications. Immunogen corresponding to Synthetic Peptide within Human DACH1 aa 700-750.

View Alternative Names

DACH, DACH1, Dachshund homolog 1, Dach1

3 Images
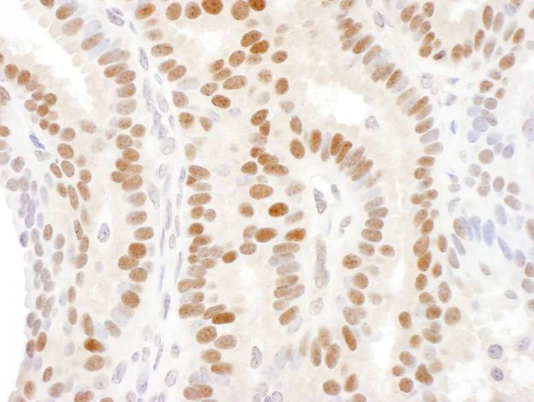
Immunohistochemistry (Formalin/PFA-fixed paraffin-embedded sections) - Anti-DACH1 antibody (AB176718)
  • IHC-P

Unknown

Immunohistochemistry (Formalin/PFA-fixed paraffin-embedded sections) - Anti-DACH1 antibody (AB176718)

Immunohistochemistry (Formalin/PFA-fixed paraffin-embedded sections) analysis of Human breast carcinoma tissue labelling DACH1 with ab176718 at 1/200 dilution. Detection : DAB. Counterstain : Hematoxylin (blue).

Immunoprecipitation - Anti-DACH1 antibody (AB176718)
  • IP

Supplier Data

Immunoprecipitation - Anti-DACH1 antibody (AB176718)

Detection of DACH1 in Immunoprecipitates of 293T whole cell lysate (1 mg for IP, 20% of IP loaded) using ab176718 at 6 μg/mg lysate for IP and at 1 μg/ml for subsequent Western blot detection.

Detection : Chemiluminescence with an exposure time of 3 seconds.

All lanes:

Immunoprecipitation - Anti-DACH1 antibody (ab176718)

Predicted band size: 79 kDa

false

Western blot - Anti-DACH1 antibody (AB176718)
  • WB

Supplier Data

Western blot - Anti-DACH1 antibody (AB176718)

All lanes:

Western blot - Anti-DACH1 antibody (ab176718) at 0.04 µg/mL

Lane 1:

293T whole cell lysate at 50 µg

Lane 2:

293T whole cell lysate at 15 µg

Lane 3:

Jurkat whole cell lysate at 50 µg

Lane 4:

HeLa whole cell lysate at 50 µg

Predicted band size: 79 kDa

true

Exposure time: 30s

Key facts

Host species

Rabbit

Clonality

Polyclonal

Isotype

IgG

Carrier free

No

Reacts with

Human

Applications

IHC-P, IP, WB

applications

Immunogen

Synthetic Peptide within Human DACH1 aa 700-750. The exact immunogen used to generate this antibody is proprietary information.

Q9UI36

Reactivity data

{ "title": "Reactivity Data", "filters": { "stats": ["", "Species", "Dilution Info", "Notes"], "tabs": { "all-applications": {"fullname" : "All Applications", "shortname": "All Applications"}, "IP" : {"fullname" : "Immunoprecipitation", "shortname":"IP"}, "WB" : {"fullname" : "Western blot", "shortname":"WB"}, "IHCP" : {"fullname" : "Immunohistochemistry (Formalin/PFA-fixed paraffin-embedded sections)", "shortname":"IHC-P"} }, "product-promise": { "all": "all", "testedAndGuaranteed": "tested", "guaranteed": "expected", "predicted": "predicted", "notRecommended": "not-recommended" } }, "values": { "Human": { "IP-species-checked": "testedAndGuaranteed", "IP-species-dilution-info": "2-10 µg/mg of lysate", "IP-species-notes": "<p></p>", "WB-species-checked": "testedAndGuaranteed", "WB-species-dilution-info": "1/2000 - 1/10000", "WB-species-notes": "<p></p>", "IHCP-species-checked": "testedAndGuaranteed", "IHCP-species-dilution-info": "1/200", "IHCP-species-notes": "<p></p>" }, "Mouse": { "IP-species-checked": "predicted", "IP-species-dilution-info": "", "IP-species-notes": "", "WB-species-checked": "predicted", "WB-species-dilution-info": "", "WB-species-notes": "", "IHCP-species-checked": "predicted", "IHCP-species-dilution-info": "", "IHCP-species-notes": "" }, "Chicken": { "IP-species-checked": "predicted", "IP-species-dilution-info": "", "IP-species-notes": "", "WB-species-checked": "predicted", "WB-species-dilution-info": "", "WB-species-notes": "", "IHCP-species-checked": "predicted", "IHCP-species-dilution-info": "", "IHCP-species-notes": "" }, "Chimpanzee": { "IP-species-checked": "predicted", "IP-species-dilution-info": "", "IP-species-notes": "", "WB-species-checked": "predicted", "WB-species-dilution-info": "", "WB-species-notes": "", "IHCP-species-checked": "predicted", "IHCP-species-dilution-info": "", "IHCP-species-notes": "" }, "Cow": { "IP-species-checked": "predicted", "IP-species-dilution-info": "", "IP-species-notes": "", "WB-species-checked": "predicted", "WB-species-dilution-info": "", "WB-species-notes": "", "IHCP-species-checked": "predicted", "IHCP-species-dilution-info": "", "IHCP-species-notes": "" }, "Gorilla": { "IP-species-checked": "predicted", "IP-species-dilution-info": "", "IP-species-notes": "", "WB-species-checked": "predicted", "WB-species-dilution-info": "", "WB-species-notes": "", "IHCP-species-checked": "predicted", "IHCP-species-dilution-info": "", "IHCP-species-notes": "" }, "Horse": { "IP-species-checked": "predicted", "IP-species-dilution-info": "", "IP-species-notes": "", "WB-species-checked": "predicted", "WB-species-dilution-info": "", "WB-species-notes": "", "IHCP-species-checked": "predicted", "IHCP-species-dilution-info": "", "IHCP-species-notes": "" }, "Orangutan": { "IP-species-checked": "predicted", "IP-species-dilution-info": "", "IP-species-notes": "", "WB-species-checked": "predicted", "WB-species-dilution-info": "", "WB-species-notes": "", "IHCP-species-checked": "predicted", "IHCP-species-dilution-info": "", "IHCP-species-notes": "" }, "Pig": { "IP-species-checked": "predicted", "IP-species-dilution-info": "", "IP-species-notes": "", "WB-species-checked": "predicted", "WB-species-dilution-info": "", "WB-species-notes": "", "IHCP-species-checked": "predicted", "IHCP-species-dilution-info": "", "IHCP-species-notes": "" }, "Rabbit": { "IP-species-checked": "predicted", "IP-species-dilution-info": "", "IP-species-notes": "", "WB-species-checked": "predicted", "WB-species-dilution-info": "", "WB-species-notes": "", "IHCP-species-checked": "predicted", "IHCP-species-dilution-info": "", "IHCP-species-notes": "" }, "Rhesus monkey": { "IP-species-checked": "predicted", "IP-species-dilution-info": "", "IP-species-notes": "", "WB-species-checked": "predicted", "WB-species-dilution-info": "", "WB-species-notes": "", "IHCP-species-checked": "predicted", "IHCP-species-dilution-info": "", "IHCP-species-notes": "" } } }

Properties and storage information

Form
Liquid
Purification technique
Affinity purification Immunogen
Purification notes
ab176718 was affinity purified using an epitope specific to DACH1 immobilized on solid support.
Storage buffer
pH: 6.8 - 7.4 Preservative: 0.09% Sodium azide Constituents: 99% Tris buffered saline, 0.1% BSA
Shipped at conditions
Blue Ice
Appropriate short-term storage duration
1-2 weeks
Appropriate short-term storage conditions
+4°C
Appropriate long-term storage conditions
+4°C
Aliquoting information
Upon delivery aliquot
Storage information
Avoid freeze / thaw cycle

Product protocols

For this product, it's our understanding that no specific protocols are required. You can visit:

Target data

Transcription factor that is involved in regulation of organogenesis. Seems to be a regulator of SIX1, SIX6 and probably SIX5. Corepression of precursor cell proliferation in myoblasts by SIX1 is switched to coactivation through recruitment of EYA3 to the SIX1-DACH1 complex. Transcriptional activation seems also to involve association of CREBBP. Seems to act as a corepressor of SIX6 in regulating proliferation by directly repressing cyclin-dependent kinase inhibitors, including the p27Kip1 promoter (By similarity). Inhibits TGF-beta signaling through interaction with SMAD4 and NCOR1. Binds to chromatin DNA via its DACHbox-N domain (By similarity).
See full target information DACH1

Publications (6)

Recent publications for all applications. Explore the full list and refine your search

International journal of molecular sciences 25: PubMed38542074

2024

Dachshund Homolog 1: Unveiling Its Potential Role in Megakaryopoiesis and Lethal Toxin-Induced Thrombocytopenia.

Applications

Unspecified application

Species

Unspecified reactive species

Guan-Ling Lin,Hsin-Hou Chang,Wei-Ting Lin,Yu-Shan Liou,Yi-Ling Lai,Min-Hua Hsieh,Po-Kong Chen,Chi-Yuan Liao,Chi-Chih Tsai,Tso-Fu Wang,Sung-Chao Chu,Jyh-Hwa Kau,Hsin-Hsien Huang,Hui-Ling Hsu,Der-Shan Sun

Molecular medicine reports 23: PubMed33313942

2020

Upregulation of microRNA‑140‑3p mediates dachshund family transcription factor 1 expression in immunoglobulin A nephropathy through cell cycle‑dependent mechanisms.

Applications

Unspecified application

Species

Unspecified reactive species

Xiaobin Zhou,Yao Lu,Pengfei Guo,Chenglin Zhou

Medicine 99:e20793 PubMed32569224

2020

Correlation between single nucleotide polymorphisms of DACH1 gene microRNA binding site and susceptibility of patients with endometrial cancer.

Applications

Unspecified application

Species

Unspecified reactive species

Liyan Xu,Yafen Qiu,Ling Feng,Li Zhou,Xufeng Chen,Dongqi Yu

Human cell 33:1091-1098 PubMed32529465

2020

MiR-645 regulates the proliferation and apoptosis of diffuse large B-cell lymphoma by targeting DACH1.

Applications

Unspecified application

Species

Unspecified reactive species

Ruihuan Wang,Jie Shen,Na Su,Qing Wang,Minjuan Zhang,Chunyan Liu

Cancer biology & therapy 19:381-390 PubMed29333942

2018

SIX1 and DACH1 influence the proliferation and apoptosis of hepatocellular carcinoma through regulating p53.

Applications

Unspecified application

Species

Unspecified reactive species

Qi Cheng,Deng Ning,Jin Chen,Xue Li,Xiao-Ping Chen,Li Jiang

The Journal of biological chemistry 291:13495-508 PubMed27129776

2016

Forkhead Box Q1 Is a Novel Target of Breast Cancer Stem Cell Inhibition by Diallyl Trisulfide.

Applications

Unspecified application

Species

Unspecified reactive species

Su-Hyeong Kim,Catherine H Kaschula,Nolan Priedigkeit,Adrian V Lee,Shivendra V Singh
View all publications

Product promise

We are committed to supporting your work with high-quality reagents, and we're here for you every step of the way. In the unlikely event that one of our products does not perform as expected, you're protected by our Product Promise.
For full details, please see our Terms & Conditions

Please note: All products are 'FOR RESEARCH USE ONLY. NOT FOR USE IN DIAGNOSTIC OR THERAPEUTIC PROCEDURES'.

For licensing inquiries, please contact partnerships@abcam.com