JavaScript is disabled in your browser. Please enable JavaScript to view this website.
AB214233

Anti-DAGLB antibody

Be the first to review this product! Submit a review

|

(1 Publication)

Rabbit Polyclonal DAGLB antibody. Suitable for IHC-P and reacts with Mouse samples. Cited in 1 publication. Immunogen corresponding to Synthetic Peptide within Human DAGLB aa 50-150 conjugated to Keyhole Limpet Haemocyanin.

View Alternative Names

Diacylglycerol lipase-beta, DAGL-beta, DGL-beta, KCCR13L, PUFA-specific triacylglycerol lipase, Sn1-specific diacylglycerol lipase beta, DAGLB

1 Images
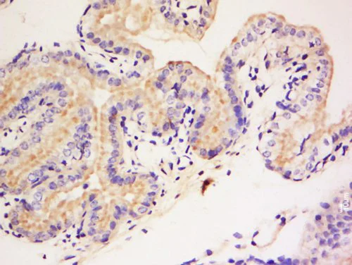
Immunohistochemistry (Formalin/PFA-fixed paraffin-embedded sections) - Anti-DAGLB antibody (AB214233)
  • IHC-P

Supplier Data

Immunohistochemistry (Formalin/PFA-fixed paraffin-embedded sections) - Anti-DAGLB antibody (AB214233)

Immunohistochemical analysis of formalin-fixed, paraffin-embedded mouse placenta tissue, labeling DAGLB with ab214233 at 1/200 dilution, followed by conjugation to the secondary antibody and DAB staining.

Key facts

Host species

Rabbit

Clonality

Polyclonal

Isotype

IgG

Carrier free

No

Reacts with

Mouse

Applications

IHC-P

applications

Immunogen

Synthetic Peptide within Human DAGLB aa 50-150 conjugated to Keyhole Limpet Haemocyanin. The exact immunogen used to generate this antibody is proprietary information.

Q8NCG7

Reactivity data

{ "title": "Reactivity Data", "filters": { "stats": ["", "Species", "Dilution Info", "Notes"], "tabs": { "all-applications": {"fullname" : "All Applications", "shortname": "All Applications"}, "IHCP" : {"fullname" : "Immunohistochemistry (Formalin/PFA-fixed paraffin-embedded sections)", "shortname":"IHC-P"} }, "product-promise": { "all": "all", "testedAndGuaranteed": "tested", "guaranteed": "expected", "predicted": "predicted", "notRecommended": "not-recommended" } }, "values": { "Human": { "IHCP-species-checked": "predicted", "IHCP-species-dilution-info": "", "IHCP-species-notes": "" }, "Mouse": { "IHCP-species-checked": "testedAndGuaranteed", "IHCP-species-dilution-info": "1/100 - 1/500", "IHCP-species-notes": "<p></p> Perform heat-mediated antigen retrieval with citrate buffer pH 6 before commencing with IHC staining protocol." }, "Rat": { "IHCP-species-checked": "predicted", "IHCP-species-dilution-info": "", "IHCP-species-notes": "" } } }

Properties and storage information

Form
Liquid
Purification technique
Affinity purification Protein A
Storage buffer
pH: 7.4 Preservative: 0.02% Proclin 300 Constituents: 50% Glycerol (glycerin, glycerine), 48.98% TBS, 1X, 1% BSA
Shipped at conditions
Blue Ice
Appropriate short-term storage duration
1-2 weeks
Appropriate short-term storage conditions
+4°C
Appropriate long-term storage conditions
-20°C
Aliquoting information
Upon delivery aliquot
Storage information
Avoid freeze / thaw cycle

Product protocols

For this product, it's our understanding that no specific protocols are required. You can visit:

Target data

Lipase that catalyzes the hydrolysis of arachidonic acid (AA)-esterified diacylglycerols (DAGs) to produce the principal endocannabinoid, 2-arachidonoylglycerol (2-AG) which can be further cleaved by downstream enzymes to release arachidonic acid (AA) for cyclooxygenase (COX)-mediated eicosanoid production (PubMed : 14610053). Preferentially hydrolyzes DAGs at the sn-1 position in a calcium-dependent manner and has negligible activity against other lipids including monoacylglycerols and phospholipids (PubMed : 14610053). Plays a key role in the regulation of 2-AG and AA pools utilized by COX1/2 to generate lipid mediators of macrophage and microglia inflammatory responses. Functions also as a polyunsaturated fatty acids-specific triacylglycerol lipase in macrophages. Plays an important role to support the metabolic and signaling demands of macrophages (By similarity).
See full target information DAGLB

Publications (1)

Recent publications for all applications. Explore the full list and refine your search

Cellular and molecular gastroenterology and hepatology 18:101358 PubMed38750898

2024

Sorted-Cell Sequencing on HCC Specimens Reveals EPS8L3 as a Key Player in CD24/CD13/EpCAM-Triple Positive, Stemness-Related HCC Cells.

Applications

Unspecified application

Species

Unspecified reactive species

Yu-Man Tsui,Daniel Wai-Hung Ho,Karen Man-Fong Sze,Joyce Man-Fong Lee,Eva Lee,Qingyang Zhang,Gary Cheuk-Hang Cheung,Chung-Ngai Tang,Victor Wai-Lun Tang,Elaine Tin-Yan Cheung,Irene Lai-Oi Lo,Albert Chi-Yan Chan,Tan-To Cheung,Irene Oi-Lin Ng
View all publications

Product promise

We are committed to supporting your work with high-quality reagents, and we're here for you every step of the way. In the unlikely event that one of our products does not perform as expected, you're protected by our Product Promise.
For full details, please see our Terms & Conditions

Please note: All products are 'FOR RESEARCH USE ONLY. NOT FOR USE IN DIAGNOSTIC OR THERAPEUTIC PROCEDURES'.

For licensing inquiries, please contact partnerships@abcam.com