JavaScript is disabled in your browser. Please enable JavaScript to view this website.
AB283679

Anti-DAP12 antibody [EPR24244-76]

  • BOND RX™ Validated
  • 20ul selling size
  • RabMAb
  • Recombinant
  • What is this?

Be the first to review this product! Submit a review

|

(6 Publications)

Anti-DAP12 antibody [EPR24244-76] (ab283679) is a rabbit monoclonal antibody detecting DAP12 in Western Blot, Flow Cytometry (Intra), Flow Cytometry, IP, IHC-P, ICC/IF. Suitable for Mouse, Rat.

- Biophysical QC for unrivalled batch-batch consistency

View Alternative Names

Dap12, Karap, Tyrobp, TYRO protein tyrosine kinase-binding protein, DNAX-activation protein 12, Killer-activating receptor-associated protein, KAR-associated protein

10 Images
Flow Cytometry (Intracellular) - Anti-DAP12 antibody [EPR24244-76] (AB283679)
  • Flow Cyt (Intra)

Supplier Data

Flow Cytometry (Intracellular) - Anti-DAP12 antibody [EPR24244-76] (AB283679)

Flow cytometric analysis of 4% paraformaldehyde fixed 90% methanol permeabilized Mouse blood cells cells labelling DAP12 with ab283679 at 1/50 dilution (1ug) (Right) compared with a Rabbit monoclonal IgG (ab172730) (Left) isotype control. A Goat F(ab')2 Anti-Rabbit IgG(DyLight® 488, ab98507) at 1/500 dilution was used as the secondary antibody.

Immunohistochemistry (Formalin/PFA-fixed paraffin-embedded sections) - Anti-DAP12 antibody [EPR24244-76] (AB283679)
  • IHC-P

Supplier Data

Immunohistochemistry (Formalin/PFA-fixed paraffin-embedded sections) - Anti-DAP12 antibody [EPR24244-76] (AB283679)

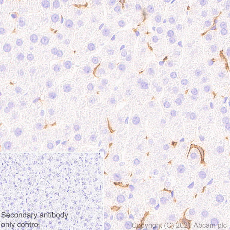
Immunohistochemical analysis of paraffin-embedded Rat liver tissue labelling DAP12 with ab283679 at 1/2000 (0.232 ug/ml) dilution followed by a ready to use LeicaDS9800 (Bond™ Polymer Refine Detection). Positive staining on kupffer cells of rat liver. The section was incubated with ab283679 for 30 mins at room temperature. The immunostaining was performed on a Leica Biosystems BOND® RX instrument Counterstained with Hematoxylin.

Secondary antibody only control : Secondary antibody is a ready to use LeicaDS9800 (Bond™ Polymer Refine Detection).

Heat mediated antigen retrieval with Tris-EDTA buffer (pH 9.0, epitope retrieval solution2) for 20 mins

Immunohistochemistry (Formalin/PFA-fixed paraffin-embedded sections) - Anti-DAP12 antibody [EPR24244-76] (AB283679)
  • IHC-P

Supplier Data

Immunohistochemistry (Formalin/PFA-fixed paraffin-embedded sections) - Anti-DAP12 antibody [EPR24244-76] (AB283679)

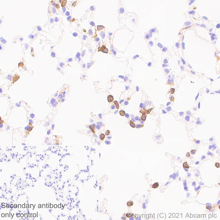
Immunohistochemical analysis of paraffin-embedded Rat lung tissue labelling DAP12 with ab283679 at 1/2000 (0.232 ug/ml) dilution followed by a ready to use LeicaDS9800 (Bond™ Polymer Refine Detection). Positive staining on rat lung. The section was incubated with ab283679 for 30 mins at room temperature. The immunostaining was performed on a Leica Biosystems BOND® RX instrument Counterstained with Hematoxylin.

Secondary antibody only control : Secondary antibody is a ready to use LeicaDS9800 (Bond™ Polymer Refine Detection).

Heat mediated antigen retrieval with Tris-EDTA buffer (pH 9.0, epitope retrieval solution2) for 20 mins

Immunohistochemistry (Formalin/PFA-fixed paraffin-embedded sections) - Anti-DAP12 antibody [EPR24244-76] (AB283679)
  • IHC-P

Supplier Data

Immunohistochemistry (Formalin/PFA-fixed paraffin-embedded sections) - Anti-DAP12 antibody [EPR24244-76] (AB283679)

Immunohistochemical analysis of paraffin-embedded Mouse spleen tissue labelling DAP12 with ab283679 at 1/2000 (0.232 ug/ml) dilution followed by a ready to use LeicaDS9800 (Bond™ Polymer Refine Detection). Positive staining on mouse spleen. The section was incubated with ab283679 for 30 mins at room temperature. The immunostaining was performed on a Leica Biosystems BOND® RX instrument Counterstained with Hematoxylin.

Secondary antibody only control : Secondary antibody is a ready to use LeicaDS9800 (Bond™ Polymer Refine Detection).

Heat mediated antigen retrieval with Tris-EDTA buffer (pH 9.0, epitope retrieval solution2) for 20 mins

Immunohistochemistry (Formalin/PFA-fixed paraffin-embedded sections) - Anti-DAP12 antibody [EPR24244-76] (AB283679)
  • IHC-P

Supplier Data

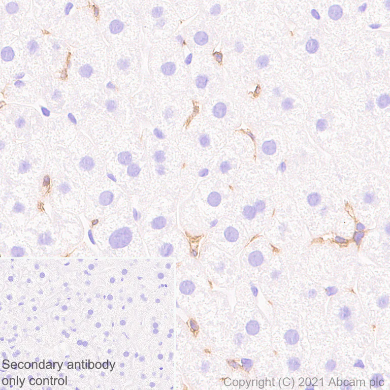
Immunohistochemistry (Formalin/PFA-fixed paraffin-embedded sections) - Anti-DAP12 antibody [EPR24244-76] (AB283679)

Immunohistochemical analysis of paraffin-embedded Mouse liver tissue labelling DAP12 with ab283679 at 1/2000 (0.232 ug/ml) dilution followed by a ready to use LeicaDS9800 (Bond™ Polymer Refine Detection). Positive staining on kupffer cells of mouse liver. The section was incubated with ab283679 for 30 mins at room temperature. The immunostaining was performed on a Leica Biosystems BOND® RX instrument Counterstained with Hematoxylin.

Secondary antibody only control : Secondary antibody is a ready to use LeicaDS9800 (Bond™ Polymer Refine Detection).

Heat mediated antigen retrieval with Tris-EDTA buffer (pH 9.0, epitope retrieval solution2) for 20 mins

Immunocytochemistry/ Immunofluorescence - Anti-DAP12 antibody [EPR24244-76] (AB283679)
  • ICC/IF

Supplier Data

Immunocytochemistry/ Immunofluorescence - Anti-DAP12 antibody [EPR24244-76] (AB283679)

Immunofluorescent analysis of 100% methanol-fixed, 0.1% TritonX-100 permeabilized RAW264.7 cells labelling DAP12 with ab283679 at 1/50 (9.28 ug/ml) dilution, followed by ab150081 Goat Anti-Rabbit IgG H&L (Alexa Fluor® 488) preadsorbed antibody at 1/1000 (2 ug/ml) dilution (Green). Confocal image showing cytoplasmic and membranous staining in RAW 264.7 cell line. ab195889 Anti-alpha Tubulin mouse monoclonal antibody - Microtubule Marker (Alexa Fluor® 594) was used to counterstain tubulin at 1/200 (2.5 ug/ml) dilution (Red). The Nuclear counterstain was DAPI (Blue).

Negative control : M1 (PMID : 11034384).

Secondary antibody only control : Secondary antibody is ab150081 Goat Anti-Rabbit IgG H&L (Alexa Fluor® 488) preadsorbed at 1/1000 (2 ug/ml) dilution.

Flow Cytometry (Intracellular) - Anti-DAP12 antibody [EPR24244-76] (AB283679)
  • Flow Cyt (Intra)

Supplier Data

Flow Cytometry (Intracellular) - Anti-DAP12 antibody [EPR24244-76] (AB283679)

Flow cytometric analysis of 4% paraformaldehyde fixed 90% methanol permeabilized M1 (mouse myeloid leukemia myeloblast) (Left), RAW264.7 (mouse Abelson murine leukemia virus-induced tumor macrophage) (Right) cells labelling DAP12 with ab283679 at 1/500 dilution (0.1ug)(Red) compared with a Rabbit monoclonal IgG (ab172730) (Black) isotype control and an unlabelled control (cells without incubation with primary antibody and secondary antibody) (Blue). A Goat F(ab')2 Anti-Rabbit IgG(DyLight® 488, ab98507) at 1/500 dilution was used as the secondary antibody.

Negative control : M1 (PMID : 11034384).

Immunoprecipitation - Anti-DAP12 antibody [EPR24244-76] (AB283679)
  • IP

Supplier Data

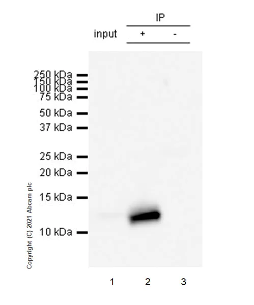
Immunoprecipitation - Anti-DAP12 antibody [EPR24244-76] (AB283679)

DAP12 was immunoprecipitated from 0.35 mg RAW264.7 (mouse Abelson murine leukemia virus-induced tumor macrophage) whole cell lysate 10 ug with ab283679 at 1/30 dilution (2ug in 0.35mg lysates). Western blot was performed on the immunoprecipitate using ab283679 at 1/1000 dilution. VeriBlot for IP secondary antibody(HRP)(ab131366) was used at 1/5000 dilution.

Lane 1 : RAW264.7 whole cell lysate 10 ug

Lane 2 : ab283679 IP in RAW264.7 whole cell lysate

Lane 3 : Rabbit monoclonal IgG (ab172730) instead of ab283679 in RAW264.7 whole cell lysate

Blocking and dilution buffer and concentration : 5% NFDM/TBST.

Exposure time : 5.5 seconds

All lanes:

Immunoprecipitation - Anti-DAP12 antibody [EPR24244-76] (ab283679)

Predicted band size: 12 kDa

false

Western blot - Anti-DAP12 antibody [EPR24244-76] (AB283679)
  • WB

Lab

Western blot - Anti-DAP12 antibody [EPR24244-76] (AB283679)

Blocking and diluting buffer and concentration : 5% NFDM/TBST

Negative control : M1 (PMID : 11034384).

Exposure time : 114 seconds

All lanes:

Western blot - Anti-DAP12 antibody [EPR24244-76] (ab283679) at 1/1000 dilution

Lane 1:

RAW264.7 (mouse Abelson murine leukemia virus-induced tumor macrophage), whole cell lysate at 20 µg

Lane 2:

N9 (mouse microglia), whole cell lysate at 20 µg

Lane 3:

M1 (mouse myeloid leukemia myeloblast), whole cell lysate at 20 µg

Secondary

All lanes:

Goat Anti-Rabbit IgG, (H+L), Peroxidase conjugated (<a href='/en-us/products/secondary-antibodies/goat-rabbit-igg-h-l-hrp-ab97051'>ab97051</a>) at 1/100000 dilution

Predicted band size: 12 kDa

false

Western blot - Anti-DAP12 antibody [EPR24244-76] (AB283679)
  • WB

Lab

Western blot - Anti-DAP12 antibody [EPR24244-76] (AB283679)

Blocking and diluting buffer and concentration : 5% NFDM/TBST

Exposure time : 3 minutes

All lanes:

Western blot - Anti-DAP12 antibody [EPR24244-76] (ab283679) at 1/1000 dilution

All lanes:

Rat spleen tissue lysate at 20 µg

Secondary

All lanes:

Goat Anti-Rabbit IgG, (H+L), Peroxidase conjugated (<a href='/en-us/products/secondary-antibodies/goat-rabbit-igg-h-l-hrp-ab97051'>ab97051</a>) at 1/100000 dilution

Predicted band size: 12 kDa

Observed band size: 12 kDa

false

Key facts

Host species

Rabbit

Clonality

Monoclonal

Clone number

EPR24244-76

Isotype

IgG

Carrier free

No

Reacts with

Rat, Mouse

Applications

IHC-P, ICC/IF, Flow Cyt (Intra), WB, IP

applications

Immunogen

The exact immunogen used to generate this antibody is proprietary information.

Reactivity data

{ "title": "Reactivity Data", "filters": { "stats": ["", "Species", "Dilution Info", "Notes"], "tabs": { "all-applications": {"fullname" : "All Applications", "shortname": "All Applications"}, "IP" : {"fullname" : "Immunoprecipitation", "shortname":"IP"}, "WB" : {"fullname" : "Western blot", "shortname":"WB"}, "ICCIF" : {"fullname" : "Immunocytochemistry/ Immunofluorescence", "shortname":"ICC/IF"}, "IHCFr" : {"fullname" : "Immunohistochemistry (Frozen sections)", "shortname":"IHC-Fr"}, "FlowCytIntra" : {"fullname" : "Flow Cytometry (Intracellular)", "shortname":"Flow Cyt (Intra)"}, "IHCP" : {"fullname" : "Immunohistochemistry (Formalin/PFA-fixed paraffin-embedded sections)", "shortname":"IHC-P"} }, "product-promise": { "all": "all", "testedAndGuaranteed": "tested", "guaranteed": "expected", "predicted": "predicted", "notRecommended": "not-recommended" } }, "values": { "Human": { "IP-species-checked": "notRecommended", "IP-species-dilution-info": "1/30", "IP-species-notes": "<p></p>", "WB-species-checked": "notRecommended", "WB-species-dilution-info": "1/1000", "WB-species-notes": "<p></p>", "ICCIF-species-checked": "notRecommended", "ICCIF-species-dilution-info": "1/50", "ICCIF-species-notes": "<p></p>", "IHCFr-species-checked": "notRecommended", "IHCFr-species-dilution-info": "", "IHCFr-species-notes": "", "FlowCytIntra-species-checked": "notRecommended", "FlowCytIntra-species-dilution-info": "1/50", "FlowCytIntra-species-notes": "<p></p>", "IHCP-species-checked": "notRecommended", "IHCP-species-dilution-info": "1/2000", "IHCP-species-notes": "<p></p>" }, "Mouse": { "IP-species-checked": "testedAndGuaranteed", "IP-species-dilution-info": "1/30", "IP-species-notes": "<p></p>", "WB-species-checked": "testedAndGuaranteed", "WB-species-dilution-info": "1/1000", "WB-species-notes": "<p></p>", "ICCIF-species-checked": "testedAndGuaranteed", "ICCIF-species-dilution-info": "1/50", "ICCIF-species-notes": "<p></p>", "IHCFr-species-checked": "notRecommended", "IHCFr-species-dilution-info": "", "IHCFr-species-notes": "<p></p>", "FlowCytIntra-species-checked": "testedAndGuaranteed", "FlowCytIntra-species-dilution-info": "1/50", "FlowCytIntra-species-notes": "<p></p>", "IHCP-species-checked": "testedAndGuaranteed", "IHCP-species-dilution-info": "1/2000", "IHCP-species-notes": "<p></p>" }, "Rat": { "IP-species-checked": "guaranteed", "IP-species-dilution-info": "", "IP-species-notes": "", "WB-species-checked": "testedAndGuaranteed", "WB-species-dilution-info": "1/1000", "WB-species-notes": "<p></p>", "ICCIF-species-checked": "guaranteed", "ICCIF-species-dilution-info": "", "ICCIF-species-notes": "", "IHCFr-species-checked": "notRecommended", "IHCFr-species-dilution-info": "", "IHCFr-species-notes": "<p></p>", "FlowCytIntra-species-checked": "guaranteed", "FlowCytIntra-species-dilution-info": "", "FlowCytIntra-species-notes": "", "IHCP-species-checked": "testedAndGuaranteed", "IHCP-species-dilution-info": "1/2000", "IHCP-species-notes": "<p></p>" } } }

Product details

What is this antibody validated in?
Anti-DAP12 antibody [EPR24244-76] (ab283679) is a rabbit recombinant monoclonal antibody and is validated for use in Western Blot (WB), Flow Cytometry (Intra), Flow Cytometry (Flow Cyt), Immunoprecipitation (IP), Immunohistochemistry (IHC-P), Immunocytochemistry/immunofluorescence (ICC/IF) in Mouse, Rat samples.

What is the molecular weight of DAP12?
Anti-DAP12 [EPR24244-76] (ab283679) specifically detects a band for DAP12 (UniProt: O54885) at a molecular weight of 12kDa.

Trial sizes available!
Test your antibody or perform pre-screening before committing to a larger quantity. Sold in 10µl. Discover our selection of trial-size antibodies.

Other related products
We have a range of other formats of antibody clone [EPR24244-76] also available for your convenience: ab283679, Carrier free - ab283703, Alexa Fluor® 647 - ab315262, Alexa Fluor® 488 - ab315294

Patented technology
Our RabMAb® technology is a patented hybridoma-based technology for making rabbit monoclonal antibodies. For details on our patents, please refer to RabMAb® patents.

What are the advantages of a recombinant monoclonal antibody?
This product is a recombinant monoclonal antibody, which offers several advantages including:

  • - High batch-to-batch consistency and reproducibility
  • - Improved sensitivity and specificity
  • - Long-term security of supply
  • - Animal-free batch production

For more information, read more on recombinant antibodies.

Properties and storage information

Form
Liquid
Purification technique
Affinity purification Protein A
Storage buffer
pH: 7.2 - 7.4 Preservative: 0.01% Sodium azide Constituents: PBS, 40% Glycerol (glycerin, glycerine), 0.05% BSA
Shipped at conditions
Blue Ice
Appropriate short-term storage duration
1-2 weeks
Appropriate short-term storage conditions
+4°C
Appropriate long-term storage conditions
-20°C
Aliquoting information
Upon delivery aliquot
Storage information
Avoid freeze / thaw cycle

Product protocols

For this product, it's our understanding that no specific protocols are required. You can visit:

Target data

Adapter protein which non-covalently associates with activating receptors found on the surface of a variety of immune cells to mediate signaling and cell activation following ligand binding by the receptors (PubMed : 15471863, PubMed : 9647200). TYROBP is tyrosine-phosphorylated in the ITAM domain following ligand binding by the associated receptors which leads to activation of additional tyrosine kinases and subsequent cell activation (PubMed : 15728241, PubMed : 16715077). Also has an inhibitory role in some cells (PubMed : 21727189). Non-covalently associates with activating receptors of the CD300 family to mediate cell activation (By similarity). Also mediates cell activation through association with activating receptors of the CD200R family (PubMed : 15471863). Required for neutrophil activation mediated by integrin (PubMed : 17086186). Required for the activation of myeloid cells mediated by the CLEC5A/MDL1 receptor (By similarity). Associates with natural killer (NK) cell receptors such as the KLRD1/KLRC2 heterodimer to mediate NK cell activation (By similarity). Also associates non-covalently with the NK cell receptors KLRA4/LY49D and KLRA8/LY49H which leads to NK cell activation (PubMed : 9647200). Associates with TREM1 to mediate activation of neutrophils and monocytes (By similarity). Associates with TREM2 on monocyte-derived dendritic cells to mediate up-regulation of chemokine receptor CCR7 and dendritic cell maturation and survival (By similarity). Association with TREM2 mediates cytokine-induced formation of multinucleated giant cells which are formed by the fusion of macrophages (PubMed : 18957693). Stabilizes the TREM2 C-terminal fragment (TREM2-CTF) which is produced by TREM2 ectodomain shedding (By similarity). In microglia, required with TREM2 for phagocytosis of apoptotic neurons (PubMed : 15728241). Required with ITGAM/CD11B in microglia to control production of microglial superoxide ions which promote the neuronal apoptosis that occurs during brain development (PubMed : 18685038). Promotes pro-inflammatory responses in microglia following nerve injury which accelerates degeneration of injured neurons (PubMed : 25690660). Positively regulates the expression of the IRAK3/IRAK-M kinase and IL10 production by liver dendritic cells and inhibits their T cell allostimulatory ability (PubMed : 21257958). Negatively regulates B cell proliferation (PubMed : 21727189). Required for CSF1-mediated osteoclast cytoskeletal organization (PubMed : 18691974). Positively regulates multinucleation during osteoclast development (PubMed : 12569157, PubMed : 14969392).
See full target information Tyrobp

Publications (6)

Recent publications for all applications. Explore the full list and refine your search

Archiv der Pharmazie 358:e2400641 PubMed39623809

2024

Evaluation of betanin-loaded liposomal nanocarriers in AlCl-induced Alzheimer's disease in rats: Impact on cognitive function, neurodegeneration, and TREM2/ADAM10 pathways.

Applications

Unspecified application

Species

Unspecified reactive species

Rania M Salama,Rana Yehia,Noura F Elmongy,Al Aliaa Sallam,Mona M Abd-Elgalil,Mona F Schaalan,Mona M A Abdel-Mottaleb,Lamyaa S Bazan

Oncogene 43:3277-3290 PubMed39300255

2024

Single-cell RNA-sequencing reveals a unique landscape of the tumor microenvironment in obesity-associated breast cancer.

Applications

Unspecified application

Species

Unspecified reactive species

Guanghui Zhao,Xiaodong Zhang,Liying Meng,Ke Dong,Shipeng Shang,Tengfei Jiang,Ziqian Liu,Haidong Gao

Cell reports 43:113784 PubMed38386560

2024

Single-cell spatial transcriptomic and translatomic profiling of dopaminergic neurons in health, aging, and disease.

Applications

Unspecified application

Species

Unspecified reactive species

Peter Kilfeather,Jia Hui Khoo,Katherina Wagner,Han Liang,Maria Claudia Caiazza,Yanru An,Xingju Zhang,Xiaoyan Chen,Natalie Connor-Robson,Zhouchun Shang,Richard Wade-Martins

Materials today. Bio 21:100700 PubMed37455821

2023

Size-dependent gold nanoparticles induce macrophage M2 polarization and promote intracellular clearance of to alleviate tissue infection.

Applications

Unspecified application

Species

Unspecified reactive species

Wang Peilin,Peng Ying,Wang Renyuan,Li Zhuoxuan,Yang Zhenwu,Zhao Mai,Song Jianguo,Zhang Hao,Yin Gang,Lin Lin,Lin Haodong

Journal of biomedical science 30:12 PubMed36803804

2023

CLEC5A mediates Zika virus-induced testicular damage.

Applications

Unspecified application

Species

Unspecified reactive species

Hsin-Wei Wang,Hsing-Han Li,Shih-Cheng Wu,Cheng-Kang Tang,Hui-Ying Yu,Ya-Chen Chang,Pei-Shan Sung,Wei-Liang Liu,Matthew P Su,Guann-Yi Yu,Li-Rung Huang,Chun-Hong Chen,Shie-Liang Hsieh

Medicine 101:e30658 PubMed36595751

2023

Higher TYROBP and lower SOX6 as predictive biomarkers for poor prognosis of clear cell renal cell carcinoma: A pilot study.

Applications

Unspecified application

Species

Unspecified reactive species

Xian-Qiang Lv,Kai-Bo Zhang,Xu Guo,Long Pei,Feng Li
View all publications

Product promise

We are committed to supporting your work with high-quality reagents, and we're here for you every step of the way. In the unlikely event that one of our products does not perform as expected, you're protected by our Product Promise.
For full details, please see our Terms & Conditions

Please note: All products are 'FOR RESEARCH USE ONLY. NOT FOR USE IN DIAGNOSTIC OR THERAPEUTIC PROCEDURES'.

For licensing inquiries, please contact partnerships@abcam.com