JavaScript is disabled in your browser. Please enable JavaScript to view this website.
AB192617

Anti-DAP13/NDUFA12 antibody [EPR15867-28]

Be the first to review this product! Submit a review

|

(11 Publications)

Rabbit Recombinant Monoclonal DAP13/NDUFA12 antibody. Suitable for WB, ICC/IF, IHC-P and reacts with Mouse, Rat, Human samples. Cited in 11 publications.

View Alternative Names

DAP13, NDUFA12, NADH dehydrogenase [ubiquinone] 1 alpha subcomplex subunit 12, 13 kDa differentiation-associated protein, Complex I-B17.2, NADH-ubiquinone oxidoreductase subunit B17.2, CI-B17.2, CIB17.2

8 Images
Immunocytochemistry/ Immunofluorescence - Anti-DAP13/NDUFA12 antibody [EPR15867-28] (AB192617)
  • ICC/IF

Supplier Data

Immunocytochemistry/ Immunofluorescence - Anti-DAP13/NDUFA12 antibody [EPR15867-28] (AB192617)

Immunofluorescent analysis of HeLa cells (100% Methanol-fixed 0.1% triton X-100-permealized) labeling DAP13/NDUFA12 with ab192617 at 1/100 dilution (20 μg/ml). A Goat anti rabbit IgG (Alexa Fluor488) at 1/400 dilution (ab150077) was used as secondary antibody. Cells were fixed with Counterstain : DAPI.

Immunohistochemistry (Formalin/PFA-fixed paraffin-embedded sections) - Anti-DAP13/NDUFA12 antibody [EPR15867-28] (AB192617)
  • IHC-P

Supplier Data

Immunohistochemistry (Formalin/PFA-fixed paraffin-embedded sections) - Anti-DAP13/NDUFA12 antibody [EPR15867-28] (AB192617)

Immunohistochemical analysis of paraffin-embedded Human stomach tissue labeling DAP13/NDUFA12 with ab192617 at 1/1000 dilution (2μg/ml). A Ready to use HRP Polymer for Rabbit IgG (prediluted) was used as secondary. Counterstain : Hematoxylin.

Perform heat mediated antigen retrieval with Tris/EDTA buffer pH 9.0 before commencing with IHC staining protocol.

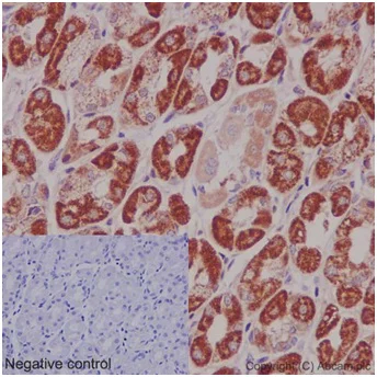
Immunohistochemistry (Formalin/PFA-fixed paraffin-embedded sections) - Anti-DAP13/NDUFA12 antibody [EPR15867-28] (AB192617)
  • IHC-P

Supplier Data

Immunohistochemistry (Formalin/PFA-fixed paraffin-embedded sections) - Anti-DAP13/NDUFA12 antibody [EPR15867-28] (AB192617)

Immunohistochemical analysis of paraffin-embedded Human brain tissue labeling DAP13/NDUFA12 with ab192617 at 1/1000 dilution (2μg/ml). A Ready to use HRP Polymer for Rabbit IgG (prediluted) was used as secondary. Counterstain : Hematoxylin.

Perform heat mediated antigen retrieval with Tris/EDTA buffer pH 9.0 before commencing with IHC staining protocol.

Immunohistochemistry (Formalin/PFA-fixed paraffin-embedded sections) - Anti-DAP13/NDUFA12 antibody [EPR15867-28] (AB192617)
  • IHC-P

Supplier Data

Immunohistochemistry (Formalin/PFA-fixed paraffin-embedded sections) - Anti-DAP13/NDUFA12 antibody [EPR15867-28] (AB192617)

Immunohistochemical analysis of paraffin-embedded Rat muscle tissue labeling DAP13/NDUFA12 with ab192617 at 1/1000 dilution (2μg/ml). A Ready to use HRP Polymer for Rabbit IgG (prediluted) was used as secondary. Counterstain : Hematoxylin.

Perform heat mediated antigen retrieval with Tris/EDTA buffer pH 9.0 before commencing with IHC staining protocol.

Western blot - Anti-DAP13/NDUFA12 antibody [EPR15867-28] (AB192617)
  • WB

Unknown

Western blot - Anti-DAP13/NDUFA12 antibody [EPR15867-28] (AB192617)

All lanes:

Western blot - Anti-DAP13/NDUFA12 antibody [EPR15867-28] (ab192617) at 1/1000 dilution

Lane 1:

Human fetal heart tissue lysate at 20 µg

Lane 2:

Human skeletal muscle tissue lysate at 20 µg

Secondary

All lanes:

Anti-Rabbit IgG (HRP), specific to the non-reduced form of IgG at 1/1000 dilution

Predicted band size: 17 kDa

false

Western blot - Anti-DAP13/NDUFA12 antibody [EPR15867-28] (AB192617)
  • WB

Supplier Data

Western blot - Anti-DAP13/NDUFA12 antibody [EPR15867-28] (AB192617)

All lanes:

Western blot - Anti-DAP13/NDUFA12 antibody [EPR15867-28] (ab192617) at 1/5000 dilution

All lanes:

Human fetal heart tissue lysate at 10 µg

Secondary

All lanes:

Goat Anti-Rabbit IgG, (H+L), Peroxidase conjugate at 1/1000 dilution

Predicted band size: 17 kDa

false

Western blot - Anti-DAP13/NDUFA12 antibody [EPR15867-28] (AB192617)
  • WB

Supplier Data

Western blot - Anti-DAP13/NDUFA12 antibody [EPR15867-28] (AB192617)

All lanes:

Western blot - Anti-DAP13/NDUFA12 antibody [EPR15867-28] (ab192617) at 1/1000 dilution

Lane 1:

mouse brain tissue lysate at 10 µg

Lanes 2 and 4:

mouse heart tissue lysate at 10 µg

Lanes 3 and 5:

mouse kidney tissue lysate at 10 µg

Secondary

All lanes:

Goat Anti-Rabbit IgG, (H+L), Peroxidase conjugate at 1/1000 dilution

Predicted band size: 17 kDa

false

Western blot - Anti-DAP13/NDUFA12 antibody [EPR15867-28] (AB192617)
  • WB

Supplier Data

Western blot - Anti-DAP13/NDUFA12 antibody [EPR15867-28] (AB192617)

All lanes:

Western blot - Anti-DAP13/NDUFA12 antibody [EPR15867-28] (ab192617) at 1/5000 dilution

All lanes:

Rat muscle tissue lysate at 10 µg

Secondary

All lanes:

Goat Anti-Rabbit IgG, (H+L), Peroxidase conjugate at 1/1000 dilution

Predicted band size: 17 kDa

false

  • Carrier free

    Anti-DAP13/NDUFA12 antibody [EPR15867-28] - BSA and Azide free

Key facts

Host species

Rabbit

Clonality

Monoclonal

Clone number

EPR15867-28

Isotype

IgG

Carrier free

No

Reacts with

Mouse, Rat, Human

Applications

ICC/IF, IHC-P, WB

applications

Immunogen

The exact immunogen used to generate this antibody is proprietary information.

Reactivity data

{ "title": "Reactivity Data", "filters": { "stats": ["", "Species", "Dilution Info", "Notes"], "tabs": { "all-applications": {"fullname" : "All Applications", "shortname": "All Applications"}, "WB" : {"fullname" : "Western blot", "shortname":"WB"}, "ICCIF" : {"fullname" : "Immunocytochemistry/ Immunofluorescence", "shortname":"ICC/IF"}, "IHCP" : {"fullname" : "Immunohistochemistry (Formalin/PFA-fixed paraffin-embedded sections)", "shortname":"IHC-P"} }, "product-promise": { "all": "all", "testedAndGuaranteed": "tested", "guaranteed": "expected", "predicted": "predicted", "notRecommended": "not-recommended" } }, "values": { "Human": { "WB-species-checked": "testedAndGuaranteed", "WB-species-dilution-info": "1/1000 - 1/2000", "WB-species-notes": "<p></p>", "ICCIF-species-checked": "testedAndGuaranteed", "ICCIF-species-dilution-info": "1/100", "ICCIF-species-notes": "<p></p>", "IHCP-species-checked": "testedAndGuaranteed", "IHCP-species-dilution-info": "1/400 - 1/1000", "IHCP-species-notes": "<p></p>" }, "Mouse": { "WB-species-checked": "testedAndGuaranteed", "WB-species-dilution-info": "1/1000 - 1/2000", "WB-species-notes": "<p></p>", "ICCIF-species-checked": "guaranteed", "ICCIF-species-dilution-info": "", "ICCIF-species-notes": "", "IHCP-species-checked": "guaranteed", "IHCP-species-dilution-info": "", "IHCP-species-notes": "" }, "Rat": { "WB-species-checked": "testedAndGuaranteed", "WB-species-dilution-info": "1/1000 - 1/2000", "WB-species-notes": "<p></p>", "ICCIF-species-checked": "guaranteed", "ICCIF-species-dilution-info": "", "ICCIF-species-notes": "", "IHCP-species-checked": "testedAndGuaranteed", "IHCP-species-dilution-info": "1/400 - 1/1000", "IHCP-species-notes": "<p></p>" } } }

Product details

Patented technology
Our RabMAb® technology is a patented hybridoma-based technology for making rabbit monoclonal antibodies. For details on our patents, please refer to RabMAb® patents.

What are the advantages of a recombinant monoclonal antibody?
This product is a recombinant monoclonal antibody, which offers several advantages including:

  • - High batch-to-batch consistency and reproducibility
  • - Improved sensitivity and specificity
  • - Long-term security of supply
  • - Animal-free batch production

For more information, read more on recombinant antibodies.

Properties and storage information

Form
Liquid
Purification technique
Affinity purification Protein A
Storage buffer
pH: 7.2 - 7.4 Preservative: 0.01% Sodium azide Constituents: PBS, 40% Glycerol (glycerin, glycerine), 0.05% BSA
Shipped at conditions
Blue Ice
Appropriate short-term storage duration
1-2 weeks
Appropriate short-term storage conditions
+4°C
Appropriate long-term storage conditions
-20°C
Aliquoting information
Upon delivery aliquot
Storage information
Avoid freeze / thaw cycle

Product protocols

For this product, it's our understanding that no specific protocols are required. You can visit:

Target data

Accessory subunit of the mitochondrial membrane respiratory chain NADH dehydrogenase (Complex I), that is believed not to be involved in catalysis. Complex I functions in the transfer of electrons from NADH to the respiratory chain. The immediate electron acceptor for the enzyme is believed to be ubiquinone.
See full target information NDUFA12

Publications (11)

Recent publications for all applications. Explore the full list and refine your search

Chembiochem : a European journal of chemical biology 26:e202500551 PubMed40931691

2025

Mitochondrial ClpX Inhibition Induces Ferroptosis and Blocks Pancreatic Cancer Cell Proliferation.

Applications

Unspecified application

Species

Unspecified reactive species

Pengyu Wang,Ranran Zhang,Yihui Pan,Wei Wu,Tao Zhang,Cai-Guang Yang

Molecular medicine reports 31: PubMed40183404

2025

α‑ketoglutarate protects against septic cardiomyopathy by improving mitochondrial mitophagy and fission.

Applications

Unspecified application

Species

Unspecified reactive species

Wei Wu,Qiong Ma,Bo-Tao Li,Shuang Shi,Gong-Chang Guan,Jun-Kui Wang,Bao-Yao Xue,Zhong-Wei Liu

Nature communications 15:10599 PubMed39638793

2024

Aberrant METTL1-mediated tRNA mG modification alters B-cell responses in systemic autoimmunity in humans and mice.

Applications

Unspecified application

Species

Unspecified reactive species

Shuyi Wang,Hui Han,Yichao Qian,Xinyuan Ruan,Zhangmei Lin,Jin Li,Binfeng Chen,Yimei Lai,Zhaoyu Wang,Mengyuan Li,Jingping Wen,Xiaoyu Yin,Niansheng Yang,Shuibin Lin,Hui Zhang

Cell reports. Medicine 5:101837 PubMed39615486

2024

Structure-guided development of selective caseinolytic protease P agonists as antistaphylococcal agents.

Applications

Unspecified application

Species

Unspecified reactive species

Tao Zhang,Pengyu Wang,Hailing Zhou,Bingyan Wei,Yanling Zhao,Jiahui Li,Min Zhang,Wenjuan Wu,Lefu Lan,Jianhua Gan,Cai-Guang Yang

Journal of medicinal chemistry 67:21009-21029 PubMed39574384

2024

Discovery of CLPP-1071 as an Exceptionally Potent and Orally Efficacious Human ClpP Activator with Strong In Vivo Antitumor Activity.

Applications

Unspecified application

Species

Unspecified reactive species

Beijing Chen,Mingyang Sun,Chun Zhang,Qi Huang,Dan Teng,Linghao Hu,Huicong Ma,Xinyi Lin,Zan Huang,Renzhao Gui,Xiaobei Hu,Lei Xu,Mingyue Zheng,Yubo Zhou,Jia Li,Mingliang Wang

Nature communications 14:7069 PubMed37923710

2023

Selective activator of human ClpP triggers cell cycle arrest to inhibit lung squamous cell carcinoma.

Applications

Unspecified application

Species

Unspecified reactive species

Lin-Lin Zhou,Tao Zhang,Yun Xue,Chuan Yue,Yihui Pan,Pengyu Wang,Teng Yang,Meixia Li,Hu Zhou,Kan Ding,Jianhua Gan,Hongbin Ji,Cai-Guang Yang

Cancer discovery 13:2370-2393 PubMed37584601

2023

Clinical Efficacy of ONC201 in H3K27M-Mutant Diffuse Midline Gliomas Is Driven by Disruption of Integrated Metabolic and Epigenetic Pathways.

Applications

Unspecified application

Species

Unspecified reactive species

Sriram Venneti,Abed Rahman Kawakibi,Sunjong Ji,Sebastian M Waszak,Stefan R Sweha,Mateus Mota,Matthew Pun,Akash Deogharkar,Chan Chung,Rohinton S Tarapore,Samuel Ramage,Andrew Chi,Patrick Y Wen,Isabel Arrillaga-Romany,Tracy T Batchelor,Nicholas A Butowski,Ashley Sumrall,Nicole Shonka,Rebecca A Harrison,John de Groot,Minesh Mehta,Matthew D Hall,Doured Daghistani,Timothy F Cloughesy,Benjamin M Ellingson,Kevin Beccaria,Pascale Varlet,Michelle M Kim,Yoshie Umemura,Hugh Garton,Andrea Franson,Jonathan Schwartz,Rajan Jain,Maureen Kachman,Heidi Baum,Charles F Burant,Sophie L Mottl,Rodrigo T Cartaxo,Vishal John,Dana Messinger,Tingting Qin,Erik Peterson,Peter Sajjakulnukit,Karthik Ravi,Alyssa Waugh,Dustin Walling,Yujie Ding,Ziyun Xia,Anna Schwendeman,Debra Hawes,Fusheng Yang,Alexander R Judkins,Daniel Wahl,Costas A Lyssiotis,Daniel de la Nava,Marta M Alonso,Augustine Eze,Jasper Spitzer,Susanne V Schmidt,Ryan J Duchatel,Matthew D Dun,Jason E Cain,Li Jiang,Sylwia A Stopka,Gerard Baquer,Michael S Regan,Mariella G Filbin,Nathalie Y R Agar,Lili Zhao,Chandan Kumar-Sinha,Rajen Mody,Arul Chinnaiyan,Ryo Kurokawa,Drew Pratt,Viveka N Yadav,Jacques Grill,Cassie Kline,Sabine Mueller,Adam Resnick,Javad Nazarian,Joshua E Allen,Yazmin Odia,Sharon L Gardner,Carl Koschmann

Metabolism: clinical and experimental 115:154431 PubMed33181191

2020

A requirement for PAK1 to support mitochondrial function and maintain cellular redox balance via electron transport chain proteins to prevent β-cell apoptosis.

Applications

Unspecified application

Species

Unspecified reactive species

Miwon Ahn,Eunjin Oh,Erika M McCown,Xin Wang,Rajakrishnan Veluthakal,Debbie C Thurmond

Cell research 29:579-591 PubMed31133695

2019

AIF-regulated oxidative phosphorylation supports lung cancer development.

Applications

Unspecified application

Species

Unspecified reactive species

Shuan Rao,Laura Mondragón,Blanka Pranjic,Toshikatsu Hanada,Gautier Stoll,Thomas Köcher,Peng Zhang,Alexander Jais,Alexander Lercher,Andreas Bergthaler,Daniel Schramek,Katharina Haigh,Valentina Sica,Marion Leduc,Nazanine Modjtahedi,Tsung-Pin Pai,Masahiro Onji,Iris Uribesalgo,Reiko Hanada,Ivona Kozieradzki,Rubina Koglgruber,Shane J Cronin,Zhigang She,Franz Quehenberger,Helmut Popper,Lukas Kenner,Jody J Haigh,Oliver Kepp,Malgorzata Rak,Kaican Cai,Guido Kroemer,Josef M Penninger

Cancer cell 35:721-737.e9 PubMed31056398

2019

Mitochondrial ClpP-Mediated Proteolysis Induces Selective Cancer Cell Lethality.

Applications

Unspecified application

Species

Unspecified reactive species

Jo Ishizawa,Sarah F Zarabi,R Eric Davis,Ondrej Halgas,Takenobu Nii,Yulia Jitkova,Ran Zhao,Jonathan St-Germain,Lauren E Heese,Grace Egan,Vivian R Ruvolo,Samir H Barghout,Yuki Nishida,Rose Hurren,Wencai Ma,Marcela Gronda,Todd Link,Keith Wong,Mark Mabanglo,Kensuke Kojima,Gautam Borthakur,Neil MacLean,Man Chun John Ma,Andrew B Leber,Mark D Minden,Walid Houry,Hagop Kantarjian,Martin Stogniew,Brian Raught,Emil F Pai,Aaron D Schimmer,Michael Andreeff
View all publications

Product promise

We are committed to supporting your work with high-quality reagents, and we're here for you every step of the way. In the unlikely event that one of our products does not perform as expected, you're protected by our Product Promise.
For full details, please see our Terms & Conditions

Please note: All products are 'FOR RESEARCH USE ONLY. NOT FOR USE IN DIAGNOSTIC OR THERAPEUTIC PROCEDURES'.

For licensing inquiries, please contact partnerships@abcam.com