JavaScript is disabled in your browser. Please enable JavaScript to view this website.
AB192607

Anti-DAP13/NDUFA12 antibody [EPR15867]

Be the first to review this product! Submit a review

|

(1 Publication)

Rabbit Recombinant Monoclonal DAP13/NDUFA12 antibody. Suitable for WB, ICC/IF, IHC-P and reacts with Mouse, Rat, Human samples. Cited in 1 publication.

View Alternative Names

DAP13, NDUFA12, NADH dehydrogenase [ubiquinone] 1 alpha subcomplex subunit 12, 13 kDa differentiation-associated protein, Complex I-B17.2, NADH-ubiquinone oxidoreductase subunit B17.2, CI-B17.2, CIB17.2

7 Images
Immunocytochemistry/ Immunofluorescence - Anti-DAP13/NDUFA12 antibody [EPR15867] (AB192607)
  • ICC/IF

Lab

Immunocytochemistry/ Immunofluorescence - Anti-DAP13/NDUFA12 antibody [EPR15867] (AB192607)

Immunofluorescent analysis of Hela cells permeabilised in 0.1% Triton X-100 and fixed in 4% paraformaldehyde labeling DAP13/NDUFA12 with ab192607 at 1/50 (5.9 μg/ml) and Goat anti rabbit IgG(Alexa Fluor® 488) ab150077. Counterstained with DAPI.

Immunohistochemistry (Formalin/PFA-fixed paraffin-embedded sections) - Anti-DAP13/NDUFA12 antibody [EPR15867] (AB192607)
  • IHC-P

Supplier Data

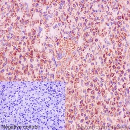
Immunohistochemistry (Formalin/PFA-fixed paraffin-embedded sections) - Anti-DAP13/NDUFA12 antibody [EPR15867] (AB192607)

Immunohistochemical analysis of formalin fixed paraffin embedded Human pancreas labeling DAP13/NDUFA12 with ab192607 at 1/600 (0.5μg/ml) dilution and prediluted HRP polymer to Rabbit/Mouse IgG as secondary.

Perform heat mediated antigen retrieval with Tris/EDTA buffer pH 9.0 before commencing with IHC staining protocol.

Immunohistochemistry (Formalin/PFA-fixed paraffin-embedded sections) - Anti-DAP13/NDUFA12 antibody [EPR15867] (AB192607)
  • IHC-P

Supplier Data

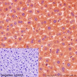
Immunohistochemistry (Formalin/PFA-fixed paraffin-embedded sections) - Anti-DAP13/NDUFA12 antibody [EPR15867] (AB192607)

Immunohistochemical analysis of formalin fixed paraffin embedded mouse liver labeling DAP13/NDUFA12 with ab192607 at 1/600 (0.5μg/ml) dilution and prediluted HRP polymer to Rabbit/Mouse IgG as secondary.

Perform heat mediated antigen retrieval with Tris/EDTA buffer pH 9.0 before commencing with IHC staining protocol.

Western blot - Anti-DAP13/NDUFA12 antibody [EPR15867] (AB192607)
  • WB

Supplier Data

Western blot - Anti-DAP13/NDUFA12 antibody [EPR15867] (AB192607)

All lanes:

Western blot - Anti-DAP13/NDUFA12 antibody [EPR15867] (ab192607) at 1/1000 dilution

Lane 1:

Human fetal heart at 20 µg

Lane 2:

Human skeletal muscle at 20 µg

Secondary

All lanes:

Anti-Rabbit IgG (HRP), specific to the non-reduced form of IgG at 1/1000 dilution

Predicted band size: 17 kDa

false

Western blot - Anti-DAP13/NDUFA12 antibody [EPR15867] (AB192607)
  • WB

Supplier Data

Western blot - Anti-DAP13/NDUFA12 antibody [EPR15867] (AB192607)

All lanes:

Western blot - Anti-DAP13/NDUFA12 antibody [EPR15867] (ab192607) at 1/5000 dilution

Lane 1:

Human fetal kidney lysate at 10 µg

Lane 2:

Human fetal liver lysate at 10 µg

Secondary

All lanes:

Goat Anti-Rabbit IgG, (H+L), Peroxidase conjugated at 1/1000 dilution

Predicted band size: 17 kDa

Observed band size: 7 kDa

false

Western blot - Anti-DAP13/NDUFA12 antibody [EPR15867] (AB192607)
  • WB

Supplier Data

Western blot - Anti-DAP13/NDUFA12 antibody [EPR15867] (AB192607)

All lanes:

Western blot - Anti-DAP13/NDUFA12 antibody [EPR15867] (ab192607) at 1/1000 dilution

Lane 1:

Mouse brain tissue lysate at 10 µg

Lane 2:

Rat brain tissue lysate at 10 µg

Secondary

All lanes:

Goat Anti-Rabbit IgG, (H+L), Peroxidase conjugated at 1/1000 dilution

Predicted band size: 17 kDa

false

Western blot - Anti-DAP13/NDUFA12 antibody [EPR15867] (AB192607)
  • WB

Supplier Data

Western blot - Anti-DAP13/NDUFA12 antibody [EPR15867] (AB192607)

All lanes:

Western blot - Anti-DAP13/NDUFA12 antibody [EPR15867] (ab192607) at 1/5000 dilution

All lanes:

Rat muscle tissue lysate at 10 µg

Secondary

All lanes:

Goat Anti-Rabbit IgG, (H+L), Peroxidase conjugated at 1/1000 dilution

Predicted band size: 17 kDa

false

  • Carrier free

    Anti-DAP13/NDUFA12 antibody [EPR15867] - BSA and Azide free

Key facts

Host species

Rabbit

Clonality

Monoclonal

Clone number

EPR15867

Isotype

IgG

Carrier free

No

Reacts with

Mouse, Rat, Human

Applications

WB, ICC/IF, IHC-P

applications

Immunogen

The exact immunogen used to generate this antibody is proprietary information.

Reactivity data

{ "title": "Reactivity Data", "filters": { "stats": ["", "Species", "Dilution Info", "Notes"], "tabs": { "all-applications": {"fullname" : "All Applications", "shortname": "All Applications"}, "WB" : {"fullname" : "Western blot", "shortname":"WB"}, "ICCIF" : {"fullname" : "Immunocytochemistry/ Immunofluorescence", "shortname":"ICC/IF"}, "IHCP" : {"fullname" : "Immunohistochemistry (Formalin/PFA-fixed paraffin-embedded sections)", "shortname":"IHC-P"} }, "product-promise": { "all": "all", "testedAndGuaranteed": "tested", "guaranteed": "expected", "predicted": "predicted", "notRecommended": "not-recommended" } }, "values": { "Human": { "WB-species-checked": "testedAndGuaranteed", "WB-species-dilution-info": "1/1000 - 1/10000", "WB-species-notes": "<p></p>", "ICCIF-species-checked": "testedAndGuaranteed", "ICCIF-species-dilution-info": "1/50", "ICCIF-species-notes": "<p></p>", "IHCP-species-checked": "testedAndGuaranteed", "IHCP-species-dilution-info": "1/300 - 1/600", "IHCP-species-notes": "<p></p>" }, "Mouse": { "WB-species-checked": "testedAndGuaranteed", "WB-species-dilution-info": "1/1000 - 1/10000", "WB-species-notes": "<p></p>", "ICCIF-species-checked": "guaranteed", "ICCIF-species-dilution-info": "", "ICCIF-species-notes": "", "IHCP-species-checked": "testedAndGuaranteed", "IHCP-species-dilution-info": "1/300 - 1/600", "IHCP-species-notes": "<p></p>" }, "Rat": { "WB-species-checked": "testedAndGuaranteed", "WB-species-dilution-info": "1/1000 - 1/10000", "WB-species-notes": "<p></p>", "ICCIF-species-checked": "guaranteed", "ICCIF-species-dilution-info": "", "ICCIF-species-notes": "", "IHCP-species-checked": "guaranteed", "IHCP-species-dilution-info": "", "IHCP-species-notes": "" } } }

Product details

Patented technology
Our RabMAb® technology is a patented hybridoma-based technology for making rabbit monoclonal antibodies. For details on our patents, please refer to RabMAb® patents.

What are the advantages of a recombinant monoclonal antibody?
This product is a recombinant monoclonal antibody, which offers several advantages including:

  • - High batch-to-batch consistency and reproducibility
  • - Improved sensitivity and specificity
  • - Long-term security of supply
  • - Animal-free batch production

For more information, read more on recombinant antibodies.

Properties and storage information

Form
Liquid
Purification technique
Affinity purification Protein A
Storage buffer
pH: 7.2 - 7.4 Preservative: 0.01% Sodium azide Constituents: PBS, 40% Glycerol (glycerin, glycerine), 0.05% BSA
Shipped at conditions
Blue Ice
Appropriate short-term storage duration
1-2 weeks
Appropriate short-term storage conditions
+4°C
Appropriate long-term storage conditions
-20°C
Aliquoting information
Upon delivery aliquot
Storage information
Avoid freeze / thaw cycle

Product protocols

For this product, it's our understanding that no specific protocols are required. You can visit:

Target data

Accessory subunit of the mitochondrial membrane respiratory chain NADH dehydrogenase (Complex I), that is believed not to be involved in catalysis. Complex I functions in the transfer of electrons from NADH to the respiratory chain. The immediate electron acceptor for the enzyme is believed to be ubiquinone.
See full target information NDUFA12

Publications (1)

Recent publications for all applications. Explore the full list and refine your search

Neoplasma 68:262-272 PubMed33147052

2020

Upregulation of microRNA-650 by PBX1 is correlated with the development of Helicobacter pylori-associated gastric carcinoma.

Applications

Unspecified application

Species

Unspecified reactive species

Junzheng Liu,Lei Wang,Jie Li,Yu Xu
View all publications

Product promise

We are committed to supporting your work with high-quality reagents, and we're here for you every step of the way. In the unlikely event that one of our products does not perform as expected, you're protected by our Product Promise.
For full details, please see our Terms & Conditions

Please note: All products are 'FOR RESEARCH USE ONLY. NOT FOR USE IN DIAGNOSTIC OR THERAPEUTIC PROCEDURES'.

For licensing inquiries, please contact partnerships@abcam.com