JavaScript is disabled in your browser. Please enable JavaScript to view this website.
AB227257

Anti-DAP3 antibody

Be the first to review this product! Submit a review

|

(1 Publication)

Rabbit Polyclonal DAP3 antibody. Suitable for WB, IHC-P, ICC/IF and reacts with Human samples. Cited in 1 publication. Immunogen corresponding to Recombinant Fragment Protein within Human DAP3.

View Alternative Names

MRPS29, DAP3, Small ribosomal subunit protein mS29, Death-associated protein 3, Ionizing radiation resistance conferring protein, MRP-S29, S29mt, DAP-3

3 Images
Immunocytochemistry/ Immunofluorescence - Anti-DAP3 antibody (AB227257)
  • ICC/IF

Supplier Data

Immunocytochemistry/ Immunofluorescence - Anti-DAP3 antibody (AB227257)

Methanol-fixed HeLa (human epithelial cell line from cervix adenocarcinoma) cells stained for DAP3 (green) using ab227257 at 1/200 dilution in ICC/IF. Nuclear Counterstain : Hoechst 33342 (blue).

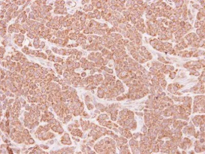
Immunohistochemistry (Formalin/PFA-fixed paraffin-embedded sections) - Anti-DAP3 antibody (AB227257)
  • IHC-P

Supplier Data

Immunohistochemistry (Formalin/PFA-fixed paraffin-embedded sections) - Anti-DAP3 antibody (AB227257)

Paraffin-embedded MDA-MB-231 xenograft tissue stained for DAP3 with ab227257 at 1/250 dilution in immunohistochemical analysis.

Western blot - Anti-DAP3 antibody (AB227257)
  • WB

Supplier Data

Western blot - Anti-DAP3 antibody (AB227257)

Samples were separated by 10% SDS-PAGE.

All lanes:

Western blot - Anti-DAP3 antibody (ab227257) at 1/1000 dilution

Lane 1:

HeLa whole cell lysates at 30 µg

Lane 2:

HepG2 whole cell lysates at 30 µg

Secondary

All lanes:

HRP conjugated anti rabbit IgG antibody

Predicted band size: 46 kDa

false

Key facts

Host species

Rabbit

Clonality

Polyclonal

Isotype

IgG

Carrier free

No

Reacts with

Human

Applications

IHC-P, WB, ICC/IF

applications

Immunogen

Recombinant Fragment Protein within Human DAP3. The exact immunogen used to generate this antibody is proprietary information.

P51398

Reactivity data

{ "title": "Reactivity Data", "filters": { "stats": ["", "Species", "Dilution Info", "Notes"], "tabs": { "all-applications": {"fullname" : "All Applications", "shortname": "All Applications"}, "WB" : {"fullname" : "Western blot", "shortname":"WB"}, "IHCP" : {"fullname" : "Immunohistochemistry (Formalin/PFA-fixed paraffin-embedded sections)", "shortname":"IHC-P"}, "ICCIF" : {"fullname" : "Immunocytochemistry/ Immunofluorescence", "shortname":"ICC/IF"} }, "product-promise": { "all": "all", "testedAndGuaranteed": "tested", "guaranteed": "expected", "predicted": "predicted", "notRecommended": "not-recommended" } }, "values": { "Human": { "WB-species-checked": "testedAndGuaranteed", "WB-species-dilution-info": "1/500 - 1/3000", "WB-species-notes": "<p></p>", "IHCP-species-checked": "testedAndGuaranteed", "IHCP-species-dilution-info": "1/100 - 1/1000", "IHCP-species-notes": "<p></p>", "ICCIF-species-checked": "testedAndGuaranteed", "ICCIF-species-dilution-info": "1/100 - 1/1000", "ICCIF-species-notes": "<p></p>" } } }

Properties and storage information

Form
Liquid
Purification technique
Affinity purification Immunogen
Storage buffer
pH: 7 Preservative: 0.01% Thimerosal (merthiolate) Constituents: 20% Glycerol (glycerin, glycerine), 1.21% Tris, 0.75% Glycine
Shipped at conditions
Blue Ice
Appropriate short-term storage duration
1-2 weeks
Appropriate short-term storage conditions
+4°C
Appropriate long-term storage conditions
-20°C
Aliquoting information
Upon delivery aliquot
Storage information
Avoid freeze / thaw cycle

Product protocols

For this product, it's our understanding that no specific protocols are required. You can visit:

Target data

Involved in mediating interferon-gamma-induced cell death.
See full target information DAP3

Publications (1)

Recent publications for all applications. Explore the full list and refine your search

Hereditas 162:135 PubMed40682199

2025

RBM15 promotes hypoxia/reoxygenation-induced ferroptosis in human cardiomyocytes by mediating m6A modification of ACSL4.

Applications

Unspecified application

Species

Unspecified reactive species

Yi Cheng,Jiamin Wan,Yingyue Xu,Shasha Liu,Linfeng Li,Jing Zhou,Fuyan Xie
View all publications

Product promise

We are committed to supporting your work with high-quality reagents, and we're here for you every step of the way. In the unlikely event that one of our products does not perform as expected, you're protected by our Product Promise.
For full details, please see our Terms & Conditions

Please note: All products are 'FOR RESEARCH USE ONLY. NOT FOR USE IN DIAGNOSTIC OR THERAPEUTIC PROCEDURES'.

For licensing inquiries, please contact partnerships@abcam.com