JavaScript is disabled in your browser. Please enable JavaScript to view this website.
AB325127

Anti-DARC antibody [EPR29719-512]

Be the first to review this product! Submit a review

|

(0 Publication)

Rabbit Recombinant Monoclonal DARC antibody. Suitable for Flow Cyt, IHC-P, WB and reacts with Mouse samples.

View Alternative Names

CD234, Darc, Dfy, Fy, Atypical chemokine receptor 1, Duffy antigen/chemokine receptor

7 Images
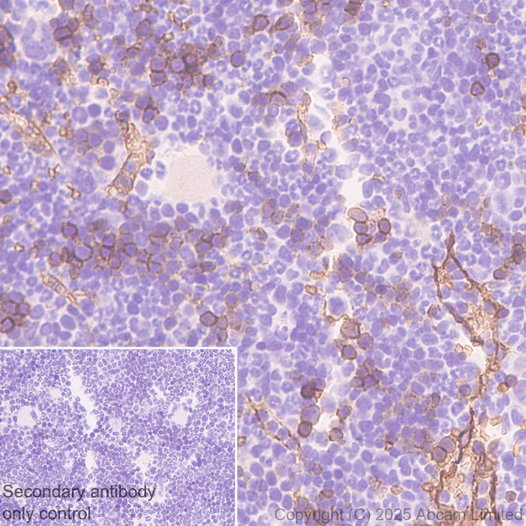
Immunohistochemistry (Formalin/PFA-fixed paraffin-embedded sections) - Anti-DARC antibody [EPR29719-512] (AB325127)
  • IHC-P

Supplier Data

Immunohistochemistry (Formalin/PFA-fixed paraffin-embedded sections) - Anti-DARC antibody [EPR29719-512] (AB325127)

Immunohistochemical analysis of paraffin-embedded Mouse bone marrow tissue labeling DARC with ab325127 at 1/500 (0.988 ug/ml) dilution, followed by a ready to use LeicaDS9800 (Bond™ Polymer Refine Detection).

Positive staining on erythrocytes and endothelium in mouse bone marrow (PMID : 28553950). The primary antibody was incubated for 30 mins at room temperature.
The immunostaining was performed on a Leica Biosystems BOND® RX instrument

Counterstained with Hematoxylin.

Secondary antibody only control : Secondary antibody is a ready to use LeicaDS9800 (Bond™ Polymer Refine Detection).

Heat mediated antigen retrieval was performed with Tris-EDTA buffer (pH 9.0, Epitope Retrieval Solution2) for 20 mins

Immunohistochemistry (Formalin/PFA-fixed paraffin-embedded sections) - Anti-DARC antibody [EPR29719-512] (AB325127)
  • IHC-P

Supplier Data

Immunohistochemistry (Formalin/PFA-fixed paraffin-embedded sections) - Anti-DARC antibody [EPR29719-512] (AB325127)

Immunohistochemical analysis of paraffin-embedded Mouse cardiac muscle tissue labeling DARC with ab325127 at 1/500 (0.988 ug/ml) dilution, followed by a ready to use LeicaDS9800 (Bond™ Polymer Refine Detection).

Low expression : weak staining in mouse cardiac muscle. The primary antibody was incubated for 30 mins at room temperature.
The immunostaining was performed on a Leica Biosystems BOND® RX instrument

Counterstained with Hematoxylin.

Secondary antibody only control : Secondary antibody is a ready to use LeicaDS9800 (Bond™ Polymer Refine Detection).

Heat mediated antigen retrieval was performed with Tris-EDTA buffer (pH 9.0, Epitope Retrieval Solution2) for 20 mins

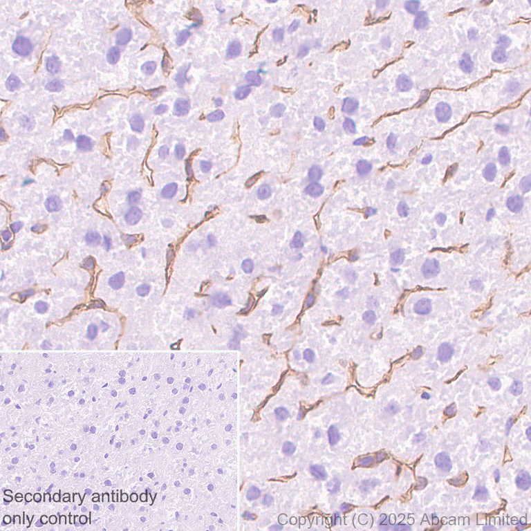
Immunohistochemistry (Formalin/PFA-fixed paraffin-embedded sections) - Anti-DARC antibody [EPR29719-512] (AB325127)
  • IHC-P

Supplier Data

Immunohistochemistry (Formalin/PFA-fixed paraffin-embedded sections) - Anti-DARC antibody [EPR29719-512] (AB325127)

Immunohistochemical analysis of paraffin-embedded Mouse liver tissue labeling DARC with ab325127 at 1/500 (0.988 ug/ml) dilution, followed by a ready to use LeicaDS9800 (Bond™ Polymer Refine Detection).

Positive staining on endothelium in mouse liver. The primary antibody was incubated for 30 mins at room temperature.
The immunostaining was performed on a Leica Biosystems BOND® RX instrument

Counterstained with Hematoxylin.

Secondary antibody only control : Secondary antibody is a ready to use LeicaDS9800 (Bond™ Polymer Refine Detection).

Heat mediated antigen retrieval was performed with Tris-EDTA buffer (pH 9.0, Epitope Retrieval Solution2) for 20 mins

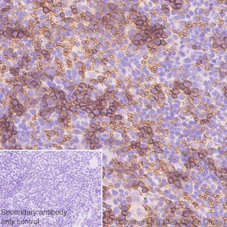
Immunohistochemistry (Formalin/PFA-fixed paraffin-embedded sections) - Anti-DARC antibody [EPR29719-512] (AB325127)
  • IHC-P

Supplier Data

Immunohistochemistry (Formalin/PFA-fixed paraffin-embedded sections) - Anti-DARC antibody [EPR29719-512] (AB325127)

Immunohistochemical analysis of paraffin-embedded Mouse spleen tissue labeling DARC with ab325127 at 1/500 (0.988 ug/ml) dilution, followed by a ready to use LeicaDS9800 (Bond™ Polymer Refine Detection).

Positive staining on erythrocytes in mouse spleen (PMID : 28553950). The primary antibody was incubated for 30 mins at room temperature.
The immunostaining was performed on a Leica Biosystems BOND® RX instrument

Counterstained with Hematoxylin.

Secondary antibody only control : Secondary antibody is a ready to use LeicaDS9800 (Bond™ Polymer Refine Detection).

Heat mediated antigen retrieval was performed with Tris-EDTA buffer (pH 9.0, Epitope Retrieval Solution2) for 20 mins

Flow Cytometry - Anti-DARC antibody [EPR29719-512] (AB325127)
  • Flow Cyt

Supplier Data

Flow Cytometry - Anti-DARC antibody [EPR29719-512] (AB325127)

Flow cytometric analysis of Mouse PBMC (mouse primary peripheral blood mononuclear cell) cells labelling DARC with ab325127 at 1/50 dilution (1ug) / Right compared with a Rabbit monoclonal IgG (ab172730) / Left isotype control and an unlabelled control (cells without incubation with primary antibody and secondary antibody).

Goat Anti-Rabbit IgG (Alexa Fluor® 488, ab150081) at 1/5000 dilution was used as the secondary antibody.

Gated on viable cells.

Flow Cytometry - Anti-DARC antibody [EPR29719-512] (AB325127)
  • Flow Cyt

Supplier Data

Flow Cytometry - Anti-DARC antibody [EPR29719-512] (AB325127)

Flow cytometric analysis of Mouse blood cells labelling DARC with ab325127 at 1/50 dilution (1ug) / Right compared with a Rabbit monoclonal IgG (ab172730) / Left isotype control and an unlabelled control (cells without incubation with primary antibody and secondary antibody).

Goat Anti-Rabbit IgG (Alexa Fluor® 488, ab150081) at 1/5000 dilution was used as the secondary antibody.

Gated on viable cells.
Cells were co-stained with anti mouse TER-119 conjugated to Alexa Fluor®647.

Western blot - Anti-DARC antibody [EPR29719-512] (AB325127)
  • WB

Supplier Data

Western blot - Anti-DARC antibody [EPR29719-512] (AB325127)

Blocking and diluting buffer and concentration : 5% NFDM/TBST.

Low expression : testis, skeletal muscle, heart.

High expression : bone marrow (PMID : 37006247, 26908826, 28553950), spleen (PMID : 7699323).

The expression profile/ molecular weight observed is consistent with what has been described in the literature (PMID : 37153544).

The identity of the higher than 250 kDa (in lane 4) is unknown.

In Western blot, Anti-Vinculin antibody [EPR8185] (ab129002) staining at 1/10000 dilution.

All lanes:

Western blot - Anti-DARC antibody [EPR29719-512] (ab325127) at 1/1000 dilution

Lane 1:

Mouse bone marrow tissue at 20 µg

Lane 2:

Mouse spleen tissue lysate at 20 µg

Lane 3:

Mouse testis tissue at 20 µg

Lane 4:

Mouse skeletal muscle tissue lysate at 20 µg

Lane 5:

Mouse heart tissue lysate at 20 µg

Secondary

All lanes:

Western blot at 1/20000 dilution

Observed band size: 37-50 kDa,124 kDa

false

Exposure time: 37s

Key facts

Host species

Rabbit

Clonality

Monoclonal

Clone number

EPR29719-512

Isotype

IgG

Carrier free

No

Reacts with

Mouse

Applications

IHC-P, WB, Flow Cyt

applications

Immunogen

The exact immunogen used to generate this antibody is proprietary information.

Reactivity data

{ "title": "Reactivity Data", "filters": { "stats": ["", "Species", "Dilution Info", "Notes"], "tabs": { "all-applications": {"fullname" : "All Applications", "shortname": "All Applications"}, "FlowCyt" : {"fullname" : "Flow Cytometry", "shortname":"Flow Cyt"}, "IHCP" : {"fullname" : "Immunohistochemistry (Formalin/PFA-fixed paraffin-embedded sections)", "shortname":"IHC-P"}, "WB" : {"fullname" : "Western blot", "shortname":"WB"} }, "product-promise": { "all": "all", "testedAndGuaranteed": "tested", "guaranteed": "expected", "predicted": "predicted", "notRecommended": "not-recommended" } }, "values": { "Mouse": { "FlowCyt-species-checked": "testedAndGuaranteed", "FlowCyt-species-dilution-info": "1/50", "FlowCyt-species-notes": "<p></p>", "IHCP-species-checked": "testedAndGuaranteed", "IHCP-species-dilution-info": "1/500", "IHCP-species-notes": "<p></p> Perform heat-mediated antigen retrieval with Tris/EDTA buffer pH 9.0 before commencing with IHC staining protocol.", "WB-species-checked": "testedAndGuaranteed", "WB-species-dilution-info": "1/1000", "WB-species-notes": "<p></p>" } } }

Product details

Patented technology
Our RabMAb® technology is a patented hybridoma-based technology for making rabbit monoclonal antibodies. For details on our patents, please refer to RabMAb® patents.

What are the advantages of a recombinant monoclonal antibody?
This product is a recombinant monoclonal antibody, which offers several advantages including:

  • - High batch-to-batch consistency and reproducibility
  • - Improved sensitivity and specificity
  • - Long-term security of supply
  • - Animal-free batch production

For more information, read more on recombinant antibodies.

Properties and storage information

Form
Liquid
Purification technique
Affinity purification Protein A
Storage buffer
pH: 7.2 - 7.4 Preservative: 0.01% Sodium azide Constituents: PBS, 40% Glycerol (glycerin, glycerine), 0.05% BSA
Shipped at conditions
Blue Ice
Appropriate short-term storage duration
1-2 weeks
Appropriate short-term storage conditions
+4°C
Appropriate long-term storage conditions
-20°C
Aliquoting information
Upon delivery aliquot
Storage information
Avoid freeze / thaw cycle

Product protocols

For this product, it's our understanding that no specific protocols are required. You can visit:

Target data

Atypical chemokine receptor that controls chemokine levels and localization via high-affinity chemokine binding that is uncoupled from classic ligand-driven signal transduction cascades, resulting instead in chemokine sequestration, degradation, or transcytosis. Also known as interceptor (internalizing receptor) or chemokine-scavenging receptor or chemokine decoy receptor. Has a promiscuous chemokine-binding profile, interacting with inflammatory chemokines of both the CXC and the CC subfamilies but not with homeostatic chemokines. Acts as a receptor for chemokines including CCL2, CCL5, CCL7, CCL11, CCL13, CCL14, CCL17, CXCL5, CXCL6, IL8/CXCL8, CXCL11, GRO, RANTES, MCP-1 and TARC. May regulate chemokine bioavailability and, consequently, leukocyte recruitment through two distinct mechanisms : when expressed in endothelial cells, it sustains the abluminal to luminal transcytosis of tissue-derived chemokines and their subsequent presentation to circulating leukocytes; when expressed in erythrocytes, serves as blood reservoir of cognate chemokines but also as a chemokine sink, buffering potential surges in plasma chemokine levels (By similarity).. (Microbial infection) Acts as a receptor for the malaria parasite Plasmodium yoelii in mature erythrocytes but not reticulocytes.
See full target information Ackr1

Product promise

We are committed to supporting your work with high-quality reagents, and we're here for you every step of the way. In the unlikely event that one of our products does not perform as expected, you're protected by our Product Promise.
For full details, please see our Terms & Conditions

Please note: All products are 'FOR RESEARCH USE ONLY. NOT FOR USE IN DIAGNOSTIC OR THERAPEUTIC PROCEDURES'.

For licensing inquiries, please contact partnerships@abcam.com