JavaScript is disabled in your browser. Please enable JavaScript to view this website.
AB220808

Anti-DARPP32 antibody [EP720Y] - BSA and Azide free

Be the first to review this product! Submit a review

|

(18 Publications)

Rabbit Recombinant Monoclonal DARPP32 antibody. Carrier free. Suitable for IP, WB, IHC-P and reacts with Rat, Mouse, Human samples. Cited in 18 publications.

View Alternative Names

DARPP32, PPP1R1B, Protein phosphatase 1 regulatory subunit 1B, DARPP-32, Dopamine- and cAMP-regulated neuronal phosphoprotein

5 Images
Immunohistochemistry (Formalin/PFA-fixed paraffin-embedded sections) - Anti-DARPP32 antibody [EP720Y] - BSA and Azide free (AB220808)
  • IHC-P

Unknown

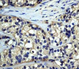
Immunohistochemistry (Formalin/PFA-fixed paraffin-embedded sections) - Anti-DARPP32 antibody [EP720Y] - BSA and Azide free (AB220808)

Immunohistochemical analysis of human breast adenocarcinoma sections labelling DARPP32 with unpurified ab40801 at a dilution of 1/50.

This data was developed using the same antibody clone in a different buffer formulation containing PBS, BSA, glycerol, and sodium azide (ab40801).

Immunohistochemistry (Formalin/PFA-fixed paraffin-embedded sections) - Anti-DARPP32 antibody [EP720Y] - BSA and Azide free (AB220808)
  • IHC-P

Unknown

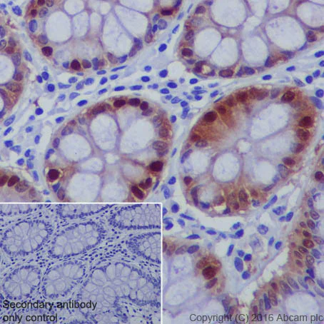
Immunohistochemistry (Formalin/PFA-fixed paraffin-embedded sections) - Anti-DARPP32 antibody [EP720Y] - BSA and Azide free (AB220808)

Immunohistochemical analysis of paraffin-embedded human colon sections labelling DARPP32 with purified ab40801 at dilution of 1/50. The secondary antibody used was ab97051; a goat anti-rabbit IgG H&L (HRP) at dilution of 1/500. The sample was counterstained with hematoxylin. Antigen retrieval was performed using EDTA Buffer; pH 9.0. PBS was used instead of the primary antibody as the negative control and is shown in the inset.

This data was developed using the same antibody clone in a different buffer formulation containing PBS, BSA, glycerol, and sodium azide (ab40801).

Immunohistochemistry (Formalin/PFA-fixed paraffin-embedded sections) - Anti-DARPP32 antibody [EP720Y] - BSA and Azide free (AB220808)
  • IHC-P

Unknown

Immunohistochemistry (Formalin/PFA-fixed paraffin-embedded sections) - Anti-DARPP32 antibody [EP720Y] - BSA and Azide free (AB220808)

Immunohistochemical analysis of paraffin-embedded Mouse cerebral cortex sections labelling DARPP32 with purified ab40801 at dilution of 1/50. The secondary antibody used was ab97051; a goat anti-rabbit IgG H&L (HRP) at dilution of 1/500. The sample was counterstained with hematoxylin. Antigen retrieval was performed using EDTA Buffer; pH 9.0. PBS was used instead of the primary antibody as the negative control and is shown in the inset.

This data was developed using the same antibody clone in a different buffer formulation containing PBS, BSA, glycerol, and sodium azide (ab40801).

Immunohistochemistry (Formalin/PFA-fixed paraffin-embedded sections) - Anti-DARPP32 antibody [EP720Y] - BSA and Azide free (AB220808)
  • IHC-P

Unknown

Immunohistochemistry (Formalin/PFA-fixed paraffin-embedded sections) - Anti-DARPP32 antibody [EP720Y] - BSA and Azide free (AB220808)

Immunohistochemical analysis of paraffin-embedded Rat cerebral cortex sections labelling DARPP32 with purified ab40801 at dilution of 1/50. The secondary antibody used was ab97051; a goat anti-rabbit IgG H&L (HRP) at dilution of 1/500. The sample was counterstained with hematoxylin. Antigen retrieval was performed using EDTA Buffer; pH 9.0. PBS was used instead of the primary antibody as the negative control and is shown in the inset.

This data was developed using the same antibody clone in a different buffer formulation containing PBS, BSA, glycerol, and sodium azide (ab40801).

Immunoprecipitation - Anti-DARPP32 antibody [EP720Y] - BSA and Azide free (AB220808)
  • IP

Unknown

Immunoprecipitation - Anti-DARPP32 antibody [EP720Y] - BSA and Azide free (AB220808)

ab40801 at 1/20 immunoprecipitating DARPP32 in rat brain whole cell lysate observed at 32 KDa (lanes 1 and 2).

Lane 1 (input) : Rat brain whole cell lysate 10μg

Lane 2 (+) : ab40801 + Rat brain whole cell lysate.

Lane 3 (-) : Rabbit monoclonal IgG (ab172730) instead of ab40801 in Rat brain whole cell lysate

For western blotting, ab131366 VeriBlot for IP (HRP) was used for detection at 1/1000 dilution.

Blocking buffer and concentration : 5% NFDM/TBST.
Diluting buffer and concentration : 5% NFDM /TBST.

This data was developed using the same antibody clone in a different buffer formulation containing PBS, BSA, glycerol, and sodium azide (ab40801).

All lanes:

Immunoprecipitation - Anti-DARPP32 antibody [EP720Y] (<a href='/en-us/products/primary-antibodies/darpp32-antibody-ep720y-ab40801'>ab40801</a>)

Predicted band size: 23 kDa

false

Key facts

Host species

Rabbit

Clonality

Monoclonal

Clone number

EP720Y

Isotype

IgG

Carrier free

Yes

Reacts with

Mouse, Rat, Human

Applications

IP, IHC-P, WB

applications

Immunogen

The exact immunogen used to generate this antibody is proprietary information.

Reactivity data

{ "title": "Reactivity Data", "filters": { "stats": ["", "Species", "Dilution Info", "Notes"], "tabs": { "all-applications": {"fullname" : "All Applications", "shortname": "All Applications"}, "IP" : {"fullname" : "Immunoprecipitation", "shortname":"IP"}, "WB" : {"fullname" : "Western blot", "shortname":"WB"}, "ICCIF" : {"fullname" : "Immunocytochemistry/ Immunofluorescence", "shortname":"ICC/IF"}, "IHCP" : {"fullname" : "Immunohistochemistry (Formalin/PFA-fixed paraffin-embedded sections)", "shortname":"IHC-P"} }, "product-promise": { "all": "all", "testedAndGuaranteed": "tested", "guaranteed": "expected", "predicted": "predicted", "notRecommended": "not-recommended" } }, "values": { "Human": { "IP-species-checked": "predicted", "IP-species-dilution-info": "", "IP-species-notes": "", "WB-species-checked": "guaranteed", "WB-species-dilution-info": "", "WB-species-notes": "<p></p>", "ICCIF-species-checked": "notRecommended", "ICCIF-species-dilution-info": "", "ICCIF-species-notes": "", "IHCP-species-checked": "predicted", "IHCP-species-dilution-info": "", "IHCP-species-notes": "" }, "Mouse": { "IP-species-checked": "guaranteed", "IP-species-dilution-info": "", "IP-species-notes": "", "WB-species-checked": "guaranteed", "WB-species-dilution-info": "", "WB-species-notes": "<p></p>", "ICCIF-species-checked": "notRecommended", "ICCIF-species-dilution-info": "", "ICCIF-species-notes": "<p></p>", "IHCP-species-checked": "testedAndGuaranteed", "IHCP-species-dilution-info": "", "IHCP-species-notes": "<p></p>" }, "Rat": { "IP-species-checked": "testedAndGuaranteed", "IP-species-dilution-info": "", "IP-species-notes": "<p></p>", "WB-species-checked": "guaranteed", "WB-species-dilution-info": "", "WB-species-notes": "<p></p>", "ICCIF-species-checked": "notRecommended", "ICCIF-species-dilution-info": "", "ICCIF-species-notes": "", "IHCP-species-checked": "guaranteed", "IHCP-species-dilution-info": "", "IHCP-species-notes": "" }, "Pig": { "IP-species-checked": "predicted", "IP-species-dilution-info": "", "IP-species-notes": "", "WB-species-checked": "predicted", "WB-species-dilution-info": "", "WB-species-notes": "", "ICCIF-species-checked": "notRecommended", "ICCIF-species-dilution-info": "", "ICCIF-species-notes": "", "IHCP-species-checked": "predicted", "IHCP-species-dilution-info": "", "IHCP-species-notes": "" } } }

Product details

ab220808 is the carrier-free version of ab40801.

Patented technology
Our RabMAb® technology is a patented hybridoma-based technology for making rabbit monoclonal antibodies. For details on our patents, please refer to RabMAb® patents.

Conjugation ready
Our carrier-free antibodies are typically supplied in a PBS-only formulation, purified and free of BSA, sodium azide and glycerol. This conjugation-ready format is designed for use with fluorochromes, metal isotopes, oligonucleotides, and enzymes, which makes them ideal for antibody labelling, functional and cell-based assays, flow-based assays (e.g. mass cytometry) and Multiplex Imaging applications.

Use our conjugation kits for antibody conjugates that are ready-to-use in as little as 20 minutes with 1 minute hands-on-time and 100% antibody recovery: available for fluorescent dyes, HRP, biotin and gold.

Compatibility
This product is compatible with the Maxpar® Antibody Labeling Kit from Fluidigm, without the need for antibody preparation. Maxpar® is a trademark of Fluidigm Canada Inc.

Properties and storage information

Form
Liquid
Purification technique
Affinity purification Protein A
Storage buffer
pH: 7.2 - 7.4 Constituents: PBS
Shipped at conditions
Blue Ice
Appropriate short-term storage conditions
+4°C
Appropriate long-term storage conditions
+4°C
Storage information
Do Not Freeze

Product protocols

For this product, it's our understanding that no specific protocols are required. You can visit:

Target data

Inhibitor of protein-phosphatase 1.
See full target information PPP1R1B

Publications (18)

Recent publications for all applications. Explore the full list and refine your search

Nature communications 7:12646 PubMed27561680

2016

VCP recruitment to mitochondria causes mitophagy impairment and neurodegeneration in models of Huntington's disease.

Applications

Unspecified application

Species

Unspecified reactive species

Xing Guo,XiaoYan Sun,Di Hu,Ya-Juan Wang,Hisashi Fujioka,Rajan Vyas,Sudha Chakrapani,Amit Umesh Joshi,Yu Luo,Daria Mochly-Rosen,Xin Qi

Neuroscience 333:320-30 PubMed27475250

2016

Human t-DARPP is induced during striatal development.

Applications

IHC-P, WB

Species

Human, Human

Marco Straccia,Jordi Carrere,Anne E Rosser,Josep M Canals

Proceedings of the National Academy of Sciences of 112:11702-7 PubMed26324926

2015

Mutual regulation between Satb2 and Fezf2 promotes subcerebral projection neuron identity in the developing cerebral cortex.

Applications

IHC

Species

Mouse

William L McKenna,Christian F Ortiz-Londono,Thomas K Mathew,Kendy Hoang,Sol Katzman,Bin Chen

The Journal of neuroscience : the official journal of the Society for Neuroscience 35:10581-99 PubMed26203152

2015

Mapping of Learned Odor-Induced Motivated Behaviors in the Mouse Olfactory Tubercle.

Applications

IHC-P

Species

Mouse

Koshi Murata,Michiko Kanno,Nao Ieki,Kensaku Mori,Masahiro Yamaguchi

Nature neuroscience 17:1804-15 PubMed25383901

2014

Molecular and functional definition of the developing human striatum.

Applications

Unspecified application

Species

Human

Marco Onorati,Valentina Castiglioni,Daniele Biasci,Elisabetta Cesana,Ramesh Menon,Romina Vuono,Francesca Talpo,Rocio Laguna Goya,Paul A Lyons,Gaetano P Bulfamante,Luca Muzio,Gianvito Martino,Mauro Toselli,Cinthia Farina,Roger A Barker,Gerardo Biella,Elena Cattaneo

Nature neuroscience 17:1720-7 PubMed25347353

2014

Locus-specific epigenetic remodeling controls addiction- and depression-related behaviors.

Applications

Unspecified application

Species

Unspecified reactive species

Elizabeth A Heller,Hannah M Cates,Catherine J Peña,Haosheng Sun,Ningyi Shao,Jian Feng,Sam A Golden,James P Herman,Jessica J Walsh,Michelle Mazei-Robison,Deveroux Ferguson,Scott Knight,Mark A Gerber,Christian Nievera,Ming-Hu Han,Scott J Russo,Carol S Tamminga,Rachael L Neve,Li Shen,H Steve Zhang,Feng Zhang,Eric J Nestler

Molecular cancer 13:192 PubMed25128420

2014

Darpp-32 and t-Darpp are differentially expressed in normal and malignant mouse mammary tissue.

Applications

IHC-P

Species

Mouse

Jessica L Christenson,Susan E Kane

The Journal of neuroscience : the official journal of the Society for Neuroscience 34:6146-55 PubMed24790185

2014

An adaptive role of TNFα in the regulation of striatal synapses.

Applications

Unspecified application

Species

Unspecified reactive species

Gil M Lewitus,Horia Pribiag,Rachna Duseja,Michel St-Hilaire,David Stellwagen

BMC neuroscience 14:108 PubMed24083638

2013

Glutaminyl cyclase-mediated toxicity of pyroglutamate-beta amyloid induces striatal neurodegeneration.

Applications

IHC

Species

Mouse

Andreas Becker,Stephanie Kohlmann,Anca Alexandru,Wolfgang Jagla,Fabio Canneva,Christoph Bäuscher,Holger Cynis,Reinhard Sedlmeier,Sigrid Graubner,Stephan Schilling,Hans-Ulrich Demuth,Stephan von Hörsten

Molecular therapy : the journal of the American So 21:1862-75 PubMed23799534

2013

Dose-dependent neuroprotection of VEGF₁₆₅ in Huntington's disease striatum.

Applications

Unspecified application

Species

Unspecified reactive species

Stuart M Ellison,Antonio Trabalza,Veronica Tisato,Evangelos Pazarentzos,Shirley Lee,Vasiliki Papadaki,Despoina Goniotaki,Sarah Morgan,Nazanin Mirzaei,Nicholas D Mazarakis
View all publications

Product promise

We are committed to supporting your work with high-quality reagents, and we're here for you every step of the way. In the unlikely event that one of our products does not perform as expected, you're protected by our Product Promise.
For full details, please see our Terms & Conditions

Please note: All products are 'FOR RESEARCH USE ONLY. NOT FOR USE IN DIAGNOSTIC OR THERAPEUTIC PROCEDURES'.

For licensing inquiries, please contact partnerships@abcam.com