JavaScript is disabled in your browser. Please enable JavaScript to view this website.
AB239831

Anti-DARPP32 antibody [EP721Y] - BSA and Azide free

Be the first to review this product! Submit a review

|

(0 Publication)

Rabbit Recombinant Monoclonal DARPP32 antibody. Carrier free. Suitable for IP, WB, ICC/IF, IHC-P and reacts with Human samples.

View Alternative Names

DARPP32, PPP1R1B, Protein phosphatase 1 regulatory subunit 1B, DARPP-32, Dopamine- and cAMP-regulated neuronal phosphoprotein

4 Images
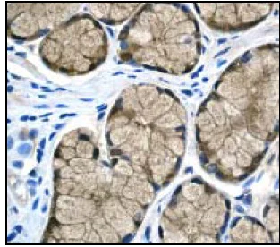
Immunohistochemistry (Formalin/PFA-fixed paraffin-embedded sections) - Anti-DARPP32 antibody [EP721Y] - BSA and Azide free (AB239831)
  • IHC-P

Unknown

Immunohistochemistry (Formalin/PFA-fixed paraffin-embedded sections) - Anti-DARPP32 antibody [EP721Y] - BSA and Azide free (AB239831)

Immunohistochemical analysis human gastric adenocarcinoma using ab40802. (dilution 1 : 250)This data was developed using the same antibody clone in a different buffer formulation containing PBS, BSA, glycerol, and sodium azide (ab40802).

Immunocytochemistry/ Immunofluorescence - Anti-DARPP32 antibody [EP721Y] - BSA and Azide free (AB239831)
  • ICC/IF

Unknown

Immunocytochemistry/ Immunofluorescence - Anti-DARPP32 antibody [EP721Y] - BSA and Azide free (AB239831)

ab40802 staining DARPP32 in SH-SY5Y (human neuroblastoma) cells by ICC/IF (Immunocytochemistry/immunofluorescence). Cells were fixed with 100% methanol and permeabilized with 0.1% Triton X-100. Samples were incubated with primary antibody at a dilution of 1/100. A goat anti rabbit IgG (Alexa Fluor® 488) (ab150077) was used as the secondary antibody at a dilution of 1/1000. ab7291 and ab150120 were used as counterstains for primary antibody ab40802 and secondary antibody ab150077 respectively and DAPI was used as a nuclear counterstain.

Negative control 1 : Rabbit primary antibody and anti-mouse secondary antibody (ab150120)
Negative control 2 : Mouse primary antibody (ab7291) and anti-rabbit secondary antibody (ab150077)

This data was developed using the same antibody clone in a different buffer formulation containing PBS, BSA, glycerol, and sodium azide (ab40802).

Immunohistochemistry (Formalin/PFA-fixed paraffin-embedded sections) - Anti-DARPP32 antibody [EP721Y] - BSA and Azide free (AB239831)
  • IHC-P

Unknown

Immunohistochemistry (Formalin/PFA-fixed paraffin-embedded sections) - Anti-DARPP32 antibody [EP721Y] - BSA and Azide free (AB239831)

ab40802 staining DARPP32 in human cerebral cortex tissue sections by Immunohistochemistry (IHC-P - paraformaldehyde-fixed, paraffin-embedded sections). Antigen retrieval was by heat mediation in a EDTA buffer. Samples were incubated with primary antibody at a dilution of 1/500. A goat anti-rabbit IgG H&L (HRP) ab97051 was used as the secondary antibody.

Negative control 1 : PBS in place of primary antibody.

This data was developed using the same antibody clone in a different buffer formulation containing PBS, BSA, glycerol, and sodium azide (ab40802).

Immunoprecipitation - Anti-DARPP32 antibody [EP721Y] - BSA and Azide free (AB239831)
  • IP

Unknown

Immunoprecipitation - Anti-DARPP32 antibody [EP721Y] - BSA and Azide free (AB239831)

ab40802 immunoprecipitating DARPP32. 10μg of cell lysate was incubated with primary antibody at a dilution of 1/50 and VeriBlot for IP Detection Reagent (HRP) (ab131366) at a dilution of 1/10000.

Lane 1 : Human fetal forebrain whole cell lysate (10ug)
Lane 2 : Human fetal forebrain whole cell lysate
Lane 3 : Rabbit monoclonal IgG (ab172730) instead of ab40802 in Human fetal forebrain whole cell lysate

This data was developed using the same antibody clone in a different buffer formulation containing PBS, BSA, glycerol, and sodium azide (ab40802).

All lanes:

Immunoprecipitation - Anti-DARPP32 antibody [EP721Y] (<a href='/en-us/products/primary-antibodies/darpp32-antibody-ep721y-ab40802'>ab40802</a>)

Predicted band size: 23 kDa

Observed band size: 32 kDa

false

Key facts

Host species

Rabbit

Clonality

Monoclonal

Clone number

EP721Y

Isotype

IgG

Carrier free

Yes

Reacts with

Human

Applications

IP, ICC/IF, IHC-P, WB

applications

Immunogen

The exact immunogen used to generate this antibody is proprietary information.

Reactivity data

{ "title": "Reactivity Data", "filters": { "stats": ["", "Species", "Dilution Info", "Notes"], "tabs": { "all-applications": {"fullname" : "All Applications", "shortname": "All Applications"}, "IP" : {"fullname" : "Immunoprecipitation", "shortname":"IP"}, "WB" : {"fullname" : "Western blot", "shortname":"WB"}, "ICCIF" : {"fullname" : "Immunocytochemistry/ Immunofluorescence", "shortname":"ICC/IF"}, "IHCP" : {"fullname" : "Immunohistochemistry (Formalin/PFA-fixed paraffin-embedded sections)", "shortname":"IHC-P"} }, "product-promise": { "all": "all", "testedAndGuaranteed": "tested", "guaranteed": "expected", "predicted": "predicted", "notRecommended": "not-recommended" } }, "values": { "Human": { "IP-species-checked": "testedAndGuaranteed", "IP-species-dilution-info": "", "IP-species-notes": "<p></p>", "WB-species-checked": "guaranteed", "WB-species-dilution-info": "", "WB-species-notes": "<p></p>", "ICCIF-species-checked": "testedAndGuaranteed", "ICCIF-species-dilution-info": "", "ICCIF-species-notes": "<p></p>", "IHCP-species-checked": "testedAndGuaranteed", "IHCP-species-dilution-info": "", "IHCP-species-notes": "<p></p> Perform heat-mediated antigen retrieval with Tris/EDTA buffer pH 9.0 before commencing with IHC staining protocol." } } }

Product details

ab239831 is the carrier-free version of ab40802.

Species reactivity
Mouse, Rat: We have preliminary internal testing data to indicate this antibody may not react with these species.
Please contact us for more information.

Patented technology
Our RabMAb® technology is a patented hybridoma-based technology for making rabbit monoclonal antibodies. For details on our patents, please refer to RabMAb® patents.

What are the advantages of a recombinant monoclonal antibody?
This product is a recombinant monoclonal antibody, which offers several advantages including:

  • - High batch-to-batch consistency and reproducibility
  • - Improved sensitivity and specificity
  • - Long-term security of supply
  • - Animal-free batch production

For more information, read more on recombinant antibodies.

Conjugation ready
Our carrier-free antibodies are typically supplied in a PBS-only formulation, purified and free of BSA, sodium azide and glycerol. This conjugation-ready format is designed for use with fluorochromes, metal isotopes, oligonucleotides, and enzymes, which makes them ideal for antibody labelling, functional and cell-based assays, flow-based assays (e.g. mass cytometry) and Multiplex Imaging applications.

Use our conjugation kits for antibody conjugates that are ready-to-use in as little as 20 minutes with 1 minute hands-on-time and 100% antibody recovery: available for fluorescent dyes, HRP, biotin and gold.

Compatibility
This product is compatible with the Maxpar® Antibody Labeling Kit from Fluidigm, without the need for antibody preparation. Maxpar® is a trademark of Fluidigm Canada Inc.

Properties and storage information

Form
Liquid
Purification technique
Affinity purification Protein A
Storage buffer
pH: 7.2 - 7.4 Constituents: PBS
Shipped at conditions
Blue Ice
Appropriate short-term storage conditions
+4°C
Appropriate long-term storage conditions
+4°C
Storage information
Do Not Freeze

Product protocols

For this product, it's our understanding that no specific protocols are required. You can visit:

Target data

Inhibitor of protein-phosphatase 1.
See full target information PPP1R1B

Product promise

We are committed to supporting your work with high-quality reagents, and we're here for you every step of the way. In the unlikely event that one of our products does not perform as expected, you're protected by our Product Promise.
For full details, please see our Terms & Conditions

Please note: All products are 'FOR RESEARCH USE ONLY. NOT FOR USE IN DIAGNOSTIC OR THERAPEUTIC PROCEDURES'.

For licensing inquiries, please contact partnerships@abcam.com