JavaScript is disabled in your browser. Please enable JavaScript to view this website.
AB239806

Anti-Daxx antibody [E94] - BSA and Azide free

Be the first to review this product! Submit a review

|

(4 Publications)

Knockout Tested Rabbit Recombinant Monoclonal DAXX antibody. Carrier free. Suitable for IHC-P, WB and reacts with Human, Mouse, Rat samples. Cited in 4 publications.

View Alternative Names

BING2, DAP6, DAXX, Death domain-associated protein 6, Daxx, ETS1-associated protein 1, Fas death domain-associated protein, hDaxx, EAP1

6 Images
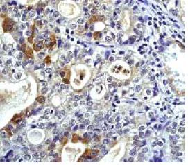
Immunohistochemistry (Formalin/PFA-fixed paraffin-embedded sections) - Anti-Daxx antibody [E94] - BSA and Azide free (AB239806)
  • IHC-P

Unknown

Immunohistochemistry (Formalin/PFA-fixed paraffin-embedded sections) - Anti-Daxx antibody [E94] - BSA and Azide free (AB239806)

ab32140, at a dilution of 1/50, staining Daxx in paraffin embedded human stomach adenocarcinoma tissue by Immunohistochemistry.

This data was developed using the same antibody clone in a different buffer formulation containing PBS, BSA, glycerol, and sodium azide (ab32140).

Perform heat mediated antigen retrieval with citrate buffer pH 6 before commencing with IHC staining protocol.

Western blot - Anti-Daxx antibody [E94] - BSA and Azide free (AB239806)
  • WB

Lab

Western blot - Anti-Daxx antibody [E94] - BSA and Azide free (AB239806)

All lanes:

Western blot - Anti-Daxx antibody [E94] - BSA and Azide free (ab239806)

Lane 1:

Wild-type HAP1 whole cell lysate at 20 µg

Lane 2:

DAXX knockout HAP1 whole cell lysate at 20 µg

Predicted band size: 81 kDa

false

Western blot - Anti-Daxx antibody [E94] - BSA and Azide free (AB239806)
  • WB

Lab

Western blot - Anti-Daxx antibody [E94] - BSA and Azide free (AB239806)

This data was developed using the same antibody clone in a different buffer formulation (ab32140).

Lanes 1- 2 : Merged signal (red and green). Green - ab32140 observed at 100 kDa. Red - Anti-GAPDH antibody [6C5] - Loading Control (ab8245) observed at 37 kDa.

ab32140 was shown to react with Daxx in wild-type HeLa cells in western blot. Loss of signal was observed when knockout cell line ab265233 (knockout cell lysate ab257408) was used. Wild-type HeLa and DAXX knockout HeLa cell lysates were subjected to SDS-PAGE. Membrane was blocked for 1 hour at room temperature in 0.1% TBST with 3% non-fat dried milk. ab32140 and Anti-GAPDH antibody [6C5] - Loading Control (ab8245) overnight at 4°C at a 1 in 5000 dilution and a 1 in 20000 dilution respectively. Blots were developed with Goat anti-Rabbit IgG H&L (IRDye®800CW) preadsorbed (ab216773) and Goat anti-Mouse IgG H&L (IRDye®680RD) preadsorbed (ab216776) secondary antibodies at 1 in 20000 dilution for 1 hour at room temperature before imaging.

All lanes:

Western blot - Anti-Daxx antibody [E94] (<a href='/en-us/products/primary-antibodies/daxx-antibody-e94-ab32140'>ab32140</a>) at 1/5000 dilution

Lane 1:

Wild-type HeLa cell lysate at 20 µg

Lane 2:

DAXX knockout HeLa cell lysate at 20 µg

Lane 2:

Western blot - Human DAXX knockout HeLa cell line (<a href='/en-us/products/cell-lines/human-daxx-knockout-hela-cell-line-ab265233'>ab265233</a>)

Predicted band size: 81 kDa

Observed band size: 100 kDa

false

Western blot - Anti-Daxx antibody [E94] - BSA and Azide free (AB239806)
  • WB

Lab

Western blot - Anti-Daxx antibody [E94] - BSA and Azide free (AB239806)

This data was developed using the same antibody clone in a different buffer formulation (ab32140). False colour image of Western blot : Anti-Daxx antibody [E94] staining at 1/5000 dilution, shown in green; Mouse anti-GAPDH antibody [6C5] (ab8245) loading control staining at 1/20000 dilution, shown in red. In Western blot, ab32140 was shown to bind specifically to Daxx. A band was observed at 105 kDa in wild-type A549 cell lysates with no signal observed at this size in DAXX knockout cell line. To generate this image, wild-type and DAXX knockout A549 cell lysates were analysed. First, samples were run on an SDS-PAGE gel then transferred onto a nitrocellulose membrane. Membranes were blocked in 3 % milk in TBS-0.1 % Tween® 20 (TBS-T) before incubation with primary antibodies overnight at 4 °C. Blots were washed four times in TBS-T, incubated with secondary antibodies for 1 h at room temperature, washed again four times then imaged. Secondary antibodies used were Goat anti-Rabbit IgG H&L 800CW and Goat anti-Mouse IgG H&L 680RD at 1/20000 dilution.

Lanes 1 - 3:

Western blot - Anti-Daxx antibody [E94] (<a href='/en-us/products/primary-antibodies/daxx-antibody-e94-ab32140'>ab32140</a>) at 1/5000 dilution

Lanes 1 - 3:

Western blot - Anti-Daxx antibody [E94] - BSA and Azide free (ab239806) at 1/5000 dilution

Lane 1:

Wild-type A549 cell lysate at 20 µg

Lane 2:

Western blot - Human DAXX knockout A549 cell line (<a href='/en-us/products/cell-lines/human-daxx-knockout-a549-cell-line-ab287356'>ab287356</a>)

Lane 2:

DAXX knockout A549 cell lysate at 20 µg

Lane 3:

THP-1 cell lysate at 20 µg

Secondary

All lanes:

Goat anti-Rabbit IgG H&L 800CW and Goat anti-Mouse IgG H&L 680RD at 1/20000 dilution

Observed band size: 105 kDa

false

Western blot - Anti-Daxx antibody [E94] - BSA and Azide free (AB239806)
  • WB

Lab

Western blot - Anti-Daxx antibody [E94] - BSA and Azide free (AB239806)

This data was developed using the same antibody clone in a different buffer formulation (ab32140). False colour image of Western blot : Anti-Daxx antibody [E94] staining at 1/5000 dilution, shown in green; Mouse anti-GAPDH antibody [6C5] (ab8245) loading control staining at 1/20000 dilution, shown in red. In Western blot, ab32140 was shown to bind specifically to Daxx. A band was observed at 100 kDa in wild-type HCT 116 cell lysates with no signal observed at this size in DAXX knockout cell line. To generate this image, wild-type and DAXX knockout HCT 116 cell lysates were analysed. First, samples were run on an SDS-PAGE gel then transferred onto a nitrocellulose membrane. Membranes were blocked in 3 % milk in TBS-0.1 % Tween® 20 (TBS-T) before incubation with primary antibodies overnight at 4 °C. Blots were washed four times in TBS-T, incubated with secondary antibodies for 1 h at room temperature, washed again four times then imaged. Secondary antibodies used were Goat anti-Rabbit IgG H&L 800CW and Goat anti-Mouse IgG H&L 680RD at 1/20000 dilution.

All lanes:

Western blot - Anti-Daxx antibody [E94] (<a href='/en-us/products/primary-antibodies/daxx-antibody-e94-ab32140'>ab32140</a>) at 1/5000 dilution

Lane 1:

Wild-type HCT 116 cell lysate at 20 µg

Lane 2:

Western blot - Human DAXX knockout HCT116 cell line (<a href='/en-us/products/cell-lines/human-daxx-knockout-hct116-cell-line-ab287355'>ab287355</a>)

Lane 2:

DAXX knockout HCT 116 cell lysate at 20 µg

Lane 3:

THP-1 cell lysate at 20 µg

Lane 4:

K562 cell lysate at 20 µg

Secondary

All lanes:

Goat anti-Rabbit IgG H&L 800CW and Goat anti-Mouse IgG H&L 680RD at 1/20000 dilution

Predicted band size: 81 kDa

Observed band size: 100 kDa

false

Western blot - Anti-Daxx antibody [E94] - BSA and Azide free (AB239806)
  • WB

Supplier Data

Western blot - Anti-Daxx antibody [E94] - BSA and Azide free (AB239806)

False colour image of Western blot : Anti-Daxx antibody [E94] staining at 1/5000 dilution, shown in green; Mouse anti-GAPDH antibody [6C5] (ab8245) loading control staining at 1/20000 dilution, shown in red. In Western blot, ab32140 was shown to bind specifically to Daxx. A band was observed at 105 kDa in wild-type MCF7 cell lysates with no signal observed at this size in DAXX knockout cell line. To generate this image, wild-type and DAXX knockout MCF7 cell lysates were analysed. First, samples were run on an SDS-PAGE gel then transferred onto a nitrocellulose membrane. Membranes were blocked in 5 % milk in TBS-0.1 % Tween® 20 (TBS-T) before incubation with primary antibodies overnight at 4 °C. Blots were washed four times in TBS-T, incubated with secondary antibodies for 1 h at room temperature, washed again four times then imaged. Secondary antibodies used were Goat anti-Rabbit IgG H&L 800CW and Goat anti-Mouse IgG H&L 680RD at 1/20000 dilution. This data was developed using the same antibody clone in a different buffer formulation (ab32140).

All lanes:

Western blot - Anti-Daxx antibody [E94] (<a href='/en-us/products/primary-antibodies/daxx-antibody-e94-ab32140'>ab32140</a>) at 1/5000 dilution

Lane 1:

Wild-type MCF7 cell lysate at 20 µg

Lane 2:

DAXX knockout MCF7 cell lysate at 20 µg

Lane 3:

THP-1 cell lysate at 20 µg

Lane 4:

K562 cell lysate at 20 µg

Secondary

All lanes:

Goat anti-Rabbit IgG H&L 800CW and Goat anti-Mouse IgG H&L 680RD at 1/20000 dilution

Predicted band size: 81 kDa

Observed band size: 105 kDa

false

Key facts

Host species

Rabbit

Clonality

Monoclonal

Clone number

E94

Isotype

IgG

Carrier free

Yes

Reacts with

Mouse, Rat, Human

Applications

IHC-P, WB

applications

Immunogen

The exact immunogen used to generate this antibody is proprietary information.

Specificity

Not widely detected in Mouse and Rat

Reactivity data

{ "title": "Reactivity Data", "filters": { "stats": ["", "Species", "Dilution Info", "Notes"], "tabs": { "all-applications": {"fullname" : "All Applications", "shortname": "All Applications"}, "IHCP" : {"fullname" : "Immunohistochemistry (Formalin/PFA-fixed paraffin-embedded sections)", "shortname":"IHC-P"}, "IP" : {"fullname" : "Immunoprecipitation", "shortname":"IP"}, "WB" : {"fullname" : "Western blot", "shortname":"WB"}, "ICCIF" : {"fullname" : "Immunocytochemistry/ Immunofluorescence", "shortname":"ICC/IF"}, "FlowCytIntra" : {"fullname" : "Flow Cytometry (Intracellular)", "shortname":"Flow Cyt (Intra)"} }, "product-promise": { "all": "all", "testedAndGuaranteed": "tested", "guaranteed": "expected", "predicted": "predicted", "notRecommended": "not-recommended" } }, "values": { "Human": { "IHCP-species-checked": "testedAndGuaranteed", "IHCP-species-dilution-info": "", "IHCP-species-notes": "<p></p> Perform heat-mediated antigen retrieval with citrate buffer pH 6 before commencing with IHC staining protocol.", "IP-species-checked": "notRecommended", "IP-species-dilution-info": "", "IP-species-notes": "<p></p>", "WB-species-checked": "testedAndGuaranteed", "WB-species-dilution-info": "", "WB-species-notes": "<p></p>", "ICCIF-species-checked": "notRecommended", "ICCIF-species-dilution-info": "", "ICCIF-species-notes": "<p></p>", "FlowCytIntra-species-checked": "notRecommended", "FlowCytIntra-species-dilution-info": "", "FlowCytIntra-species-notes": "<p></p>" }, "Mouse": { "IHCP-species-checked": "guaranteed", "IHCP-species-dilution-info": "", "IHCP-species-notes": "", "IP-species-checked": "notRecommended", "IP-species-dilution-info": "", "IP-species-notes": "<p></p>", "WB-species-checked": "testedAndGuaranteed", "WB-species-dilution-info": "", "WB-species-notes": "<p></p>", "ICCIF-species-checked": "notRecommended", "ICCIF-species-dilution-info": "", "ICCIF-species-notes": "", "FlowCytIntra-species-checked": "notRecommended", "FlowCytIntra-species-dilution-info": "", "FlowCytIntra-species-notes": "" }, "Rat": { "IHCP-species-checked": "guaranteed", "IHCP-species-dilution-info": "", "IHCP-species-notes": "", "IP-species-checked": "notRecommended", "IP-species-dilution-info": "", "IP-species-notes": "<p></p>", "WB-species-checked": "testedAndGuaranteed", "WB-species-dilution-info": "", "WB-species-notes": "<p></p>", "ICCIF-species-checked": "notRecommended", "ICCIF-species-dilution-info": "", "ICCIF-species-notes": "", "FlowCytIntra-species-checked": "notRecommended", "FlowCytIntra-species-dilution-info": "", "FlowCytIntra-species-notes": "" } } }

Product details

ab239806 is the carrier-free version of ab32140.

Patented technology
Our RabMAb® technology is a patented hybridoma-based technology for making rabbit monoclonal antibodies. For details on our patents, please refer to RabMAb® patents.

What are the advantages of a recombinant monoclonal antibody?
This product is a recombinant monoclonal antibody, which offers several advantages including:

  • - High batch-to-batch consistency and reproducibility
  • - Improved sensitivity and specificity
  • - Long-term security of supply
  • - Animal-free batch production

For more information, read more on recombinant antibodies.

Conjugation ready
Our carrier-free antibodies are typically supplied in a PBS-only formulation, purified and free of BSA, sodium azide and glycerol. This conjugation-ready format is designed for use with fluorochromes, metal isotopes, oligonucleotides, and enzymes, which makes them ideal for antibody labelling, functional and cell-based assays, flow-based assays (e.g. mass cytometry) and Multiplex Imaging applications.

Use our conjugation kits for antibody conjugates that are ready-to-use in as little as 20 minutes with 1 minute hands-on-time and 100% antibody recovery: available for fluorescent dyes, HRP, biotin and gold.

Compatibility
This product is compatible with the Maxpar® Antibody Labeling Kit from Fluidigm, without the need for antibody preparation. Maxpar® is a trademark of Fluidigm Canada Inc.

Properties and storage information

Form
Liquid
Purification technique
Affinity purification Protein A
Storage buffer
pH: 7.2 - 7.4 Constituents: PBS
Shipped at conditions
Blue Ice
Appropriate short-term storage conditions
+4°C
Appropriate long-term storage conditions
+4°C
Storage information
Do Not Freeze

Product protocols

For this product, it's our understanding that no specific protocols are required. You can visit:

Target data

Transcription corepressor known to repress transcriptional potential of several sumoylated transcription factors. Down-regulates basal and activated transcription. Its transcription repressor activity is modulated by recruiting it to subnuclear compartments like the nucleolus or PML/POD/ND10 nuclear bodies through interactions with MCSR1 and PML, respectively. Seems to regulate transcription in PML/POD/ND10 nuclear bodies together with PML and may influence TNFRSF6-dependent apoptosis thereby. Inhibits transcriptional activation of PAX3 and ETS1 through direct protein-protein interactions. Modulates PAX5 activity; the function seems to involve CREBBP. Acts as an adapter protein in a MDM2-DAXX-USP7 complex by regulating the RING-finger E3 ligase MDM2 ubiquitination activity. Under non-stress condition, in association with the deubiquitinating USP7, prevents MDM2 self-ubiquitination and enhances the intrinsic E3 ligase activity of MDM2 towards TP53, thereby promoting TP53 ubiquitination and subsequent proteasomal degradation. Upon DNA damage, its association with MDM2 and USP7 is disrupted, resulting in increased MDM2 autoubiquitination and consequently, MDM2 degradation, which leads to TP53 stabilization. Acts as a histone chaperone that facilitates deposition of histone H3.3. Acts as a targeting component of the chromatin remodeling complex ATRX : DAXX which has ATP-dependent DNA translocase activity and catalyzes the replication-independent deposition of histone H3.3 in pericentric DNA repeats outside S-phase and telomeres, and the in vitro remodeling of H3.3-containing nucleosomes. Does not affect the ATPase activity of ATRX but alleviates its transcription repression activity. Upon neuronal activation associates with regulatory elements of selected immediate early genes where it promotes deposition of histone H3.3 which may be linked to transcriptional induction of these genes. Required for the recruitment of histone H3.3 : H4 dimers to PML-nuclear bodies (PML-NBs); the process is independent of ATRX and facilitated by ASF1A; PML-NBs are suggested to function as regulatory sites for the incorporation of newly synthesized histone H3.3 into chromatin. In case of overexpression of centromeric histone variant CENPA (as found in various tumors) is involved in its mislocalization to chromosomes; the ectopic localization involves a heterotypic tetramer containing CENPA, and histones H3.3 and H4 and decreases binding of CTCF to chromatin. Proposed to mediate activation of the JNK pathway and apoptosis via MAP3K5 in response to signaling from TNFRSF6 and TGFBR2. Interaction with HSPB1/HSP27 may prevent interaction with TNFRSF6 and MAP3K5 and block DAXX-mediated apoptosis. In contrast, in lymphoid cells JNC activation and TNFRSF6-mediated apoptosis may not involve DAXX. Shows restriction activity towards human cytomegalovirus (HCMV). Plays a role as a positive regulator of the heat shock transcription factor HSF1 activity during the stress protein response (PubMed : 15016915).
See full target information DAXX

Publications (4)

Recent publications for all applications. Explore the full list and refine your search

Nature communications 16:6009 PubMed40593805

2025

Spatial and single cell mapping of castleman disease reveals key stromal cell types and cytokine pathways.

Applications

Unspecified application

Species

Unspecified reactive species

David Smith,Anna Eichinger,Éanna Fennell,Zijun Y Xu-Monette,Andrew Rech,Julia Wang,Eduardo Esteva,Arta Seyedian,Xiaoxu Yang,Mei Zhang,Dan Martinez,Kai Tan,Minjie Luo,Katherine J Young,Paul G Murray,Christopher Park,Boris Reizis,Vinodh Pillai

Biomedicines 12: PubMed39200236

2024

The Impact of DAXX, HJURP and CENPA Expression in Uveal Melanoma Carcinogenesis and Associations with Clinicopathological Parameters.

Applications

Unspecified application

Species

Unspecified reactive species

Alexandros Pergaris,Georgia Levidou,Georgios Mandrakis,Maria-Ioanna Christodoulou,Michail V Karamouzis,Jerzy Klijanienko,Stamatios Theocharis

International journal of molecular sciences 23: PubMed35955489

2022

Unraveling the Role of Histone Variant CENP-A and Chaperone HJURP Expression in Thymic Epithelial Neoplasms.

Applications

Unspecified application

Species

Unspecified reactive species

Georgia Levidou,Konstantinos Palamaris,Alexandros G Sykaras,Georgios Andreadakis,Christos Masaoutis,Irene Theochari,Penelope Korkolopoulou,Dimitra Rontogianni,Stamatios Theocharis

PeerJ 8:e9203 PubMed32596036

2020

DAXX mediates high phosphate-induced endothelial cell apoptosis in vitro through activating ERK signaling.

Applications

Unspecified application

Species

Unspecified reactive species

Shu Wang,Mingyu Wu,Ling Qin,Yaxiang Song,Ai Peng
View all publications

Product promise

We are committed to supporting your work with high-quality reagents, and we're here for you every step of the way. In the unlikely event that one of our products does not perform as expected, you're protected by our Product Promise.
For full details, please see our Terms & Conditions

Please note: All products are 'FOR RESEARCH USE ONLY. NOT FOR USE IN DIAGNOSTIC OR THERAPEUTIC PROCEDURES'.

For licensing inquiries, please contact partnerships@abcam.com