JavaScript is disabled in your browser. Please enable JavaScript to view this website.
AB34139

Anti-DAZL antibody

4

(11 Reviews)

|

(85 Publications)

Rabbit Polyclonal DAZL antibody. Suitable for WB, IHC-P, ICC/IF and reacts with Mouse, Human, Recombinant full length protein - Human, Common marmoset samples. Cited in 85 publications.

View Alternative Names

Dazl1, Dazla, Dazl, Deleted in azoospermia-like, DAZ-like autosomal, Deleted in azoospermia-like 1

8 Images
Immunocytochemistry/ Immunofluorescence - Anti-DAZL antibody (AB34139)
  • ICC/IF

AbReview6352****

Immunocytochemistry/ Immunofluorescence - Anti-DAZL antibody (AB34139)

ab34139 at 1/100 staining human blastocyst cells by ICC/IF. The cells were paraformaldehyde fixed and blocked with 5% serum prior to incubation with the antibody for 18 hours. An Alexa-Fluor ® 488 conjugated secondary antibody was used.

This image is courtesy of an Abreview submitted by Dr Sharon Sneddon

Immunocytochemistry/ Immunofluorescence - Anti-DAZL antibody (AB34139)
  • ICC/IF

Unknown

Immunocytochemistry/ Immunofluorescence - Anti-DAZL antibody (AB34139)

The image, submitted as part of an Abreview, shows DAZL staining (green) of a human blastocyst. The antibody stains the cytoplasm of cells of the inner cell mass and trophoblast. DAZL is known to be located to the cytoplasm and DAZL transcripts have previously been discovered in the inner cell mass and trophblast (see PMID : 15879466).

Immunohistochemistry (Formalin/PFA-fixed paraffin-embedded sections) - Anti-DAZL antibody (AB34139)
  • IHC-P

Unknown

Immunohistochemistry (Formalin/PFA-fixed paraffin-embedded sections) - Anti-DAZL antibody (AB34139)

The image shows staining of human testis tissue. The cytoplasm of Leydig cells and other cells in the seminiferous tubules stained positive. The antigen retrieval techniques used were Citrate at pH6 or Tris EDTA at pH9.

Immunocytochemistry/ Immunofluorescence - Anti-DAZL antibody (AB34139)
  • ICC/IF

Lab

Immunocytochemistry/ Immunofluorescence - Anti-DAZL antibody (AB34139)

ab34139 staining DAZL in mES cells. The cells were fixed with 4% paraformaldehyde (10 min), permeabilized with 0.1% PBS-Triton X-100 for 5 minutes and then blocked with 1% BSA/10% normal goat serum/0.3M glycine in 0.1%PBS-Tween for 1h. The cells were then incubated overnight at 4°C with ab34139 at 5µg/ml and ab7291, Mouse monoclonal [DM1A] to alpha Tubulin - Loading Control. Cells were then incubated with ab150081, Goat polyclonal Secondary Antibody to Rabbit IgG - H&L (Alexa Fluor® 488), pre-adsorbed at 1/1000 dilution (shown in green) and ab150120, Goat polyclonal Secondary Antibody to Mouse IgG - H&L (Alexa Fluor® 594), pre-adsorbed at 1/1000 dilution (shown in pseudocolour red). Nuclear DNA was labelled with DAPI (shown in blue). Also suitable in cells fixed with 100% methanol (5 min). Image was acquired with a confocal microscope (Leica-Microsystems TCS SP8) and a single confocal section is shown.

Western blot - Anti-DAZL antibody (AB34139)
  • WB

Project4036****

Western blot - Anti-DAZL antibody (AB34139)

All lanes:

Western blot - Anti-DAZL antibody (ab34139) at 1 µg/mL

Lane 1:

Human testis tissue lysate - total protein (<a href='/en-us/products/unavailable/human-testis-tissue-lysate-total-protein-ab30257'>ab30257</a>) at 20 µg

Lane 2:

Testis (Mouse) Tissue Lysate at 20 µg

Secondary

All lanes:

Goat polyclonal to Rabbit IgG - H&L - Pre-Adsorbed (HRP) at 1/3000 dilution

Predicted band size: 33 kDa

Observed band size: 130 kDa,37 kDa,70 kDa,95 kDa

false

Exposure time: 2min

Immunohistochemistry (Formalin/PFA-fixed paraffin-embedded sections) - Anti-DAZL antibody (AB34139)
  • IHC-P

AbReview30419****

Immunohistochemistry (Formalin/PFA-fixed paraffin-embedded sections) - Anti-DAZL antibody (AB34139)

ab34139 staining DAZL on juvenile marmoset testes by immunohistochemistry. The tissue was paraformaldehyde fixed and blocked in 1% milk for 1 hour at 25°C. The primary antibody was diluted 1/100 and incubated with the sample for 9 hours at 4°C in 5% milk. An Alexa Fluor 555 conjugated goat anti-rabbit antibody was used as the secondary. Nuclear staining shown in blue with DAPI.

This image is taken from an abreview by Zachary Yu-Ching Lin.

Immunohistochemistry (Formalin/PFA-fixed paraffin-embedded sections) - Anti-DAZL antibody (AB34139)
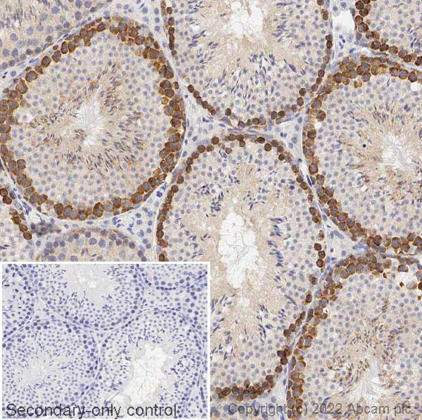
  • IHC-P

Lab

Immunohistochemistry (Formalin/PFA-fixed paraffin-embedded sections) - Anti-DAZL antibody (AB34139)

IHC image of DAZL staining in a section of formalin-fixed paraffin-embedded normal mouse testis performed on a Leica BOND™ system using the standard protocol F. The section was pre-treated using heat mediated antigen retrieval with sodium citrate buffer (pH6, epitope retrieval solution 1) for 20mins. The section was then incubated with ab34139, 1ug/ml, for 15 mins at room temperature and detected using an HRP conjugated compact polymer system. DAB was used as the chromogen. The section was then counterstained with haematoxylin and mounted with DPX. The inset secondary-only control image is taken from an identical assay without primary antibody.

For other IHC staining systems (automated and non-automated) customers should optimize variable parameters such as antigen retrieval conditions, primary antibody concentration and antibody incubation times.

Western blot - Anti-DAZL antibody (AB34139)
  • WB

Lab

Western blot - Anti-DAZL antibody (AB34139)

All lanes:

Western blot - Anti-DAZL antibody (ab34139) at 1 µg/mL

Lane 1:

GST tagged Recombinant Human DAZL protein (<a href='/en-us/products/proteins-peptides/recombinant-human-dazl-protein-ab112279'>ab112279</a>) at 0.1 µg

Lane 1:

Western blot - Recombinant Human DAZL protein (<a href='/en-us/products/proteins-peptides/recombinant-human-dazl-protein-ab112279'>ab112279</a>) at 0.1 µg

Secondary

All lanes:

Western blot - Goat Anti-Rabbit IgG H&L (HRP) preadsorbed (<a href='/en-us/products/secondary-antibodies/goat-rabbit-igg-h-l-hrp-preadsorbed-ab97080'>ab97080</a>) at 1/5000 dilution

Predicted band size: 33 kDa

true

Exposure time: 10s

Key facts

Host species

Rabbit

Clonality

Polyclonal

Isotype

IgG

Carrier free

No

Reacts with

Mouse

Applications

WB, IHC-P, ICC/IF

applications

Immunogen

The exact immunogen used to generate this antibody is proprietary information.

Specificity

From July 2024, QC testing of replenishment batches of this polyclonal changed. All tested and expected application and reactive species combinations are still covered by our Abcam product promise. However, we no longer test all applications. For more information on a specific batch, please contact our Scientific Support who will be happy to help.

Reactivity data

{ "title": "Reactivity Data", "filters": { "stats": ["", "Species", "Dilution Info", "Notes"], "tabs": { "all-applications": {"fullname" : "All Applications", "shortname": "All Applications"}, "WB" : {"fullname" : "Western blot", "shortname":"WB"}, "IHCP" : {"fullname" : "Immunohistochemistry (Formalin/PFA-fixed paraffin-embedded sections)", "shortname":"IHC-P"}, "ICCIF" : {"fullname" : "Immunocytochemistry/ Immunofluorescence", "shortname":"ICC/IF"} }, "product-promise": { "all": "all", "testedAndGuaranteed": "tested", "guaranteed": "expected", "predicted": "predicted", "notRecommended": "not-recommended" } }, "values": { "Human": { "WB-species-checked": "guaranteed", "WB-species-dilution-info": "1 µg/mL", "WB-species-notes": "<p></p>", "IHCP-species-checked": "guaranteed", "IHCP-species-dilution-info": "0.5-5 µg/mL", "IHCP-species-notes": "<p></p>", "ICCIF-species-checked": "guaranteed", "ICCIF-species-dilution-info": "", "ICCIF-species-notes": "<p></p>" }, "Mouse": { "WB-species-checked": "guaranteed", "WB-species-dilution-info": "1 µg/mL", "WB-species-notes": "<p></p>", "IHCP-species-checked": "testedAndGuaranteed", "IHCP-species-dilution-info": "0.5-5 µg/mL", "IHCP-species-notes": "<p></p>", "ICCIF-species-checked": "guaranteed", "ICCIF-species-dilution-info": "5 µg/mL", "ICCIF-species-notes": "<p></p>" }, "Chimpanzee": { "WB-species-checked": "predicted", "WB-species-dilution-info": "", "WB-species-notes": "", "IHCP-species-checked": "predicted", "IHCP-species-dilution-info": "", "IHCP-species-notes": "", "ICCIF-species-checked": "predicted", "ICCIF-species-dilution-info": "", "ICCIF-species-notes": "" }, "Common marmoset": { "WB-species-checked": "guaranteed", "WB-species-dilution-info": "", "WB-species-notes": "<p></p>", "IHCP-species-checked": "guaranteed", "IHCP-species-dilution-info": "0.5-5 µg/mL", "IHCP-species-notes": "<p></p>", "ICCIF-species-checked": "guaranteed", "ICCIF-species-dilution-info": "", "ICCIF-species-notes": "<p></p>" }, "Cow": { "WB-species-checked": "predicted", "WB-species-dilution-info": "", "WB-species-notes": "", "IHCP-species-checked": "predicted", "IHCP-species-dilution-info": "", "IHCP-species-notes": "", "ICCIF-species-checked": "predicted", "ICCIF-species-dilution-info": "", "ICCIF-species-notes": "" }, "Recombinant full length protein - Human": { "WB-species-checked": "guaranteed", "WB-species-dilution-info": "1 µg/mL", "WB-species-notes": "<p></p>", "IHCP-species-checked": "notRecommended", "IHCP-species-dilution-info": "", "IHCP-species-notes": "", "ICCIF-species-checked": "notRecommended", "ICCIF-species-dilution-info": "", "ICCIF-species-notes": "" } } }

Properties and storage information

Form
Liquid
Purification technique
Affinity purification Immunogen
Storage buffer
pH: 7.4 Preservative: 0.02% Sodium azide Constituents: 98.98% PBS, 1% BSA
Shipped at conditions
Blue Ice
Appropriate short-term storage duration
1-2 weeks
Appropriate short-term storage conditions
+4°C
Appropriate long-term storage conditions
-20°C
Aliquoting information
Upon delivery aliquot
Storage information
Avoid freeze / thaw cycle

Product protocols

For this product, it's our understanding that no specific protocols are required. You can visit:

Target data

RNA-binding protein, which is essential for gametogenesis in both males and females. Plays a central role during spermatogenesis. Acts by binding to the 3'-UTR of mRNA, specifically recognizing GUU triplets, and thereby regulating the translation of key transcripts.
See full target information Dazl

Publications (85)

Recent publications for all applications. Explore the full list and refine your search

Scientific reports 15:11858 PubMed40195382

2025

Strain-specific variations in the culture of chicken primordial germ cells.

Applications

Unspecified application

Species

Unspecified reactive species

Sara Yousefi Taemeh,Nima Dehdilani,Lena Goshayeshi,Clémence Kress,Sylvie Rival-Gervier,Guillaume Montillet,Rouzbeh Ebrahimi Vishki,Bertrand Pain,Hesam Dehghani

Advanced science (Weinheim, Baden-Wurttemberg, Germany) 11:e2310110 PubMed38526201

2024

Gut-Derived Exosomes Mediate the Microbiota Dysbiosis-Induced Spermatogenesis Impairment by Targeting Meioc in Mice.

Applications

Unspecified application

Species

Unspecified reactive species

Tong Chen,Boqi Zhang,Guitian He,Nan Wang,Maosheng Cao,Caomeihui Shen,Xue Chen,Lu Chen,Kening Liu,Yuxin Luo,Yiqiu Huang,Chenfeng Yuan,Xu Zhou,Chunjin Li

Nature communications 14:6443 PubMed37880249

2023

STRA8-RB interaction is required for timely entry of meiosis in mouse female germ cells.

Applications

ICC/IF

Species

Mouse

Ryuki Shimada,Yuzuru Kato,Naoki Takeda,Sayoko Fujimura,Kei-Ichiro Yasunaga,Shingo Usuki,Hitoshi Niwa,Kimi Araki,Kei-Ichiro Ishiguro

Microbiome 11:212 PubMed37752615

2023

The gut metabolite 3-hydroxyphenylacetic acid rejuvenates spermatogenic dysfunction in aged mice through GPX4-mediated ferroptosis.

Applications

Unspecified application

Species

Unspecified reactive species

Zirun Jin,Yuzhuo Yang,Yalei Cao,Qi Wen,Yu Xi,Jianxing Cheng,Qiancheng Zhao,Jiaming Weng,Kai Hong,Hui Jiang,Jing Hang,Zhe Zhang

Nature cell biology 25:1439-1452 PubMed37709822

2023

DMRT1 regulates human germline commitment.

Applications

Unspecified application

Species

Unspecified reactive species

Naoko Irie,Sun-Min Lee,Valentina Lorenzi,Haiqi Xu,Jinfeng Chen,Masato Inoue,Toshihiro Kobayashi,Carmen Sancho-Serra,Elena Drousioti,Sabine Dietmann,Roser Vento-Tormo,Chun-Xiao Song,M Azim Surani

Nucleic acids research 51:10292-10308 PubMed37650637

2023

A genetic screen identifies BEND3 as a regulator of bivalent gene expression and global DNA methylation.

Applications

Unspecified application

Species

Unspecified reactive species

Lounis Yakhou,Anaelle Azogui,Nikhil Gupta,Julien Richard Albert,Fumihito Miura,Laure Ferry,Kosuke Yamaguchi,Sarah Battault,Pierre Therizols,Frédéric Bonhomme,Elouan Bethuel,Arpita Sarkar,Maxim V C Greenberg,Paola B Arimondo,Gael Cristofari,Olivier Kirsh,Takashi Ito,Pierre-Antoine Defossez

Nature structural & molecular biology 30:1105-1118 PubMed37488355

2023

A genome-wide screen reveals new regulators of the 2-cell-like cell state.

Applications

Unspecified application

Species

Unspecified reactive species

Nikhil Gupta,Lounis Yakhou,Julien Richard Albert,Anaelle Azogui,Laure Ferry,Olivier Kirsh,Fumihito Miura,Sarah Battault,Kosuke Yamaguchi,Marthe Laisné,Cécilia Domrane,Frédéric Bonhomme,Arpita Sarkar,Marine Delagrange,Bertrand Ducos,Gael Cristofari,Takashi Ito,Maxim V C Greenberg,Pierre-Antoine Defossez

BioImpacts : BI 13:229-240 PubMed37431484

2023

Differentiation of human endometrial stem cells encapsulated in alginate hydrogel into oocyte-like cells.

Applications

Unspecified application

Species

Unspecified reactive species

Diba Ghasemi,Somayeh Ebrahimi-Barough,Mohammad Hossein Nekoofar,Abdolreza Mohamadnia,Nasrin Lotfibakhshaiesh,Naghmeh Bahrami,Roya Karimi,Vajihe Taghdiri Nooshabadi,Mahmoud Azami,Elham Hasanzadeh,Jafar Ai

Frontiers in veterinary science 10:1205064 PubMed37396999

2023

Detection of spermatogonial stem cells in testicular tissue of dogs with chronic asymptomatic orchitis.

Applications

Unspecified application

Species

Unspecified reactive species

Larena Reifarth,Hanna Körber,Eva-Maria Packeiser,Sandra Goericke-Pesch

eLife 12: PubMed36719274

2023

Efficient generation of marmoset primordial germ cell-like cells using induced pluripotent stem cells.

Applications

Unspecified application

Species

Unspecified reactive species

Yasunari Seita,Keren Cheng,John R McCarrey,Nomesh Yadu,Ian H Cheeseman,Alec Bagwell,Corinna N Ross,Isamar Santana Toro,Li-Hua Yen,Sean Vargas,Christopher S Navara,Brian P Hermann,Kotaro Sasaki
View all publications

Product promise

We are committed to supporting your work with high-quality reagents, and we're here for you every step of the way. In the unlikely event that one of our products does not perform as expected, you're protected by our Product Promise.
For full details, please see our Terms & Conditions

Please note: All products are 'FOR RESEARCH USE ONLY. NOT FOR USE IN DIAGNOSTIC OR THERAPEUTIC PROCEDURES'.

For licensing inquiries, please contact partnerships@abcam.com