JavaScript is disabled in your browser. Please enable JavaScript to view this website.
AB215718

Anti-DAZL antibody [EPR21028]

  • RabMAb
  • Recombinant
  • KO Validated
  • 20ul selling size
  • What is this?

4

(8 Reviews)

|

(21 Publications)

Anti-DAZL antibody [EPR21028] (ab215718) is a rabbit monoclonal antibody detecting DAZL in Western Blot, IP, IHC-P, IHC-Fr, ICC/IF. Suitable for Human, Mouse, Rat.

- KO validated for confirmed specificity
- Biophysical QC for unrivalled batch-batch consistency
- Over 10 publications

View Alternative Names

Dazl1, Dazla, Dazl, Deleted in azoospermia-like, DAZ-like autosomal, Deleted in azoospermia-like 1

10 Images
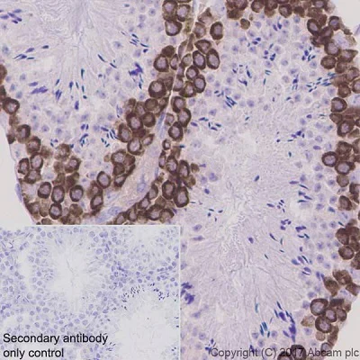
Immunohistochemistry (Formalin/PFA-fixed paraffin-embedded sections) - Anti-DAZL antibody [EPR21028] (AB215718)
  • IHC-P

Supplier Data

Immunohistochemistry (Formalin/PFA-fixed paraffin-embedded sections) - Anti-DAZL antibody [EPR21028] (AB215718)

Immunohistochemical analysis of paraffin-embedded human testis tissue labeling DAZL with ab215718 at 1/8000 dilution, followed by Goat Anti-Rabbit IgG H&L (HRP) Ready to use. Cytoplasmic staining in primary spermatocytes of human testis (PMID : 24746554) is observed. Counterstained with hematoxylin.

Secondary antibody only control : Used PBS instead of primary antibody, secondary antibody is Goat Anti-Rabbit IgG H&L (HRP) Ready to use.

Perform heat mediated antigen retrieval with Tris/EDTA buffer pH 9.0 before commencing with IHC staining protocol.

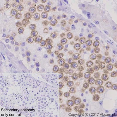
Immunohistochemistry (Formalin/PFA-fixed paraffin-embedded sections) - Anti-DAZL antibody [EPR21028] (AB215718)
  • IHC-P

Supplier Data

Immunohistochemistry (Formalin/PFA-fixed paraffin-embedded sections) - Anti-DAZL antibody [EPR21028] (AB215718)

Immunohistochemical analysis of paraffin-embedded rat testis tissue labeling DAZL with ab215718 at 1/4000 dilution, followed by Goat Anti-Rabbit IgG H&L (HRP) Ready to use. Cytoplasmic staining in spermatogonia and primary spermatocytes of rat testis (PMID : 24746554) is observed. Counterstained with hematoxylin

Secondary antibody only control : Used PBS instead of primary antibody, secondary antibody is Goat Anti-Rabbit IgG H&L (HRP) Ready to use.

Perform heat mediated antigen retrieval with Tris/EDTA buffer pH 9.0 before commencing with IHC staining protocol.

Immunohistochemistry (Frozen sections) - Anti-DAZL antibody [EPR21028] (AB215718)
  • IHC-Fr

Supplier Data

Immunohistochemistry (Frozen sections) - Anti-DAZL antibody [EPR21028] (AB215718)

Immunohistochemical analysis of 4% paraformaldehyde-fixed, 0.2% Triton-X-100 permeabilized frozen mouse testis tissue labeling DAZL with ab215718 at 1/300 dilution, followed by Goat Anti-Rabbit IgG H&L (Alexa Fluor® staining in the pachytene spermatocytes and secondary spermatocytes, not present in Sertoli, Leydig or myoid cells (PMID : 24746554).

The nuclear counter stain is DAPI (blue).

Secondary antibody only control : Used PBS instead of primary antibody, secondary antibody is Goat Anti-Rabbit IgG H&L (Alexa Fluor® 488) (ab150077) secondary antibody at 1/1000 dilution.

Immunohistochemistry (Frozen sections) - Anti-DAZL antibody [EPR21028] (AB215718)
  • IHC-Fr

Supplier Data

Immunohistochemistry (Frozen sections) - Anti-DAZL antibody [EPR21028] (AB215718)

Immunohistochemical analysis of 4% paraformaldehyde-fixed, 0.2% Triton-X-100 permeabilized frozen rat testis tissue labeling DAZL with ab215718 at 1/60 dilution, followed by Goat Anti-Rabbit IgG H&L (Alexa Fluor® 488) (ab150077) secondary antibody at 1/1000 dilution (green). Cytoplasmic staining in the pachytene spermatocytes and secondary spermatocytes, not present in Sertoli, Leydig or myoid cells (PMID : 24746554).

The nuclear counter stain is DAPI (blue).

Secondary antibody only control : Used PBS instead of primary antibody, secondary antibody is Goat Anti-Rabbit IgG H&L (Alexa Fluor® 488) (ab150077) secondary antibody at 1/1000 dilution.

Immunocytochemistry/ Immunofluorescence - Anti-DAZL antibody [EPR21028] (AB215718)
  • ICC/IF

Lab

Immunocytochemistry/ Immunofluorescence - Anti-DAZL antibody [EPR21028] (AB215718)

ab215718 staining DAZL in mES cells. The cells were fixed with 4% paraformaldehyde (10 min), permeabilized with 0.1% PBS-Triton X-100 for 5 minutes and then blocked with 1% BSA/10% normal goat serum/0.3M glycine in 0.1%PBS-Tween for 1h. The cells were then incubated overnight at 4°C with ab215718 at 1µg/ml and ab7291, Mouse monoclonal [DM1A] to alpha Tubulin - Loading Control. Cells were then incubated with ab150081, Goat polyclonal Secondary Antibody to Rabbit IgG - H&L (Alexa Fluor® 488), pre-adsorbed at 1/1000 dilution (shown in green) and ab150120, Goat polyclonal Secondary Antibody to Mouse IgG - H&L (Alexa Fluor® 594), pre-adsorbed at 1/1000 dilution (shown in pseudocolour red). Nuclear DNA was labelled with DAPI (shown in blue). Also suitable in cells fixed with 100% methanol (5 min). Image was acquired with a confocal microscope (Leica-Microsystems TCS SP8) and a single confocal section is shown.

Immunohistochemistry (Formalin/PFA-fixed paraffin-embedded sections) - Anti-DAZL antibody [EPR21028] (AB215718)
  • IHC-P

Supplier Data

Immunohistochemistry (Formalin/PFA-fixed paraffin-embedded sections) - Anti-DAZL antibody [EPR21028] (AB215718)

Immunohistochemical analysis of paraffin-embedded mouse testis tissue labeling DAZL with ab215718 at 1/4000 dilution, followed by Goat Anti-Rabbit IgG H&L (HRP) Ready to use. Cytoplasmic staining in spermatogonia and primary spermatocytes of mouse testis (PMID : 24746554) is observed. Counterstained with hematoxylin.

Secondary antibody only control : Used PBS instead of primary antibody, secondary antibody is Goat Anti-Rabbit IgG H&L (HRP) Ready to use.

Perform heat mediated antigen retrieval with Tris/EDTA buffer pH 9.0 before commencing with IHC staining protocol.

Immunoprecipitation - Anti-DAZL antibody [EPR21028] (AB215718)
  • IP

Supplier Data

Immunoprecipitation - Anti-DAZL antibody [EPR21028] (AB215718)

DAZL was immunoprecipitated from 0.35 mg mouse testis lysate with ab215718 at 1/30 dilution. Western blot was performed from the immunoprecipitate using ab215718 at 1/1000 dilution. VeriBlot for IP Detection Reagent (HRP) (ab131366), was used for detection at 1/10,000 dilution.

Lane 1 : Mouse testis lysate 10 μg (Input).

Lane 2 : ab215718 IP in mouse testis lysate.

Lane 3 : Rabbit monoclonal IgG (ab172730) instead of ab215718 in mouse testis lysate.

Blocking and dilution buffer and concentration : 5% NFDM/TBST.

Exposure time : 3 seconds.

All lanes:

Immunoprecipitation - Anti-DAZL antibody [EPR21028] (ab215718)

Predicted band size: 33 kDa

false

Western blot - Anti-DAZL antibody [EPR21028] (AB215718)
  • WB

Supplier Data

Western blot - Anti-DAZL antibody [EPR21028] (AB215718)

Blocking/Dilution buffer : 5% NFDM/TBST.

The blot was developed on a BIO-RAD® ChemiDoc™ MP instrument.

All lanes:

Western blot - Anti-DAZL antibody [EPR21028] (ab215718) at 1/1000 dilution

Lane 1:

Mouse testis lysate at 20 µg

Lane 2:

Rat testis lysate at 20 µg

Lane 3:

Human testis lysate at 20 µg

Secondary

All lanes:

Western blot - Goat Anti-Rabbit IgG H&L (HRP) (<a href='/en-us/products/secondary-antibodies/goat-rabbit-igg-h-l-hrp-ab97051'>ab97051</a>) at 1/100000 dilution

Predicted band size: 33 kDa

Observed band size: 38 kDa

true

Exposure time: 3min

Western blot - Anti-DAZL antibody [EPR21028] (AB215718)
  • WB

AbReview66346****

Western blot - Anti-DAZL antibody [EPR21028] (AB215718)

10% gel.

Blocked with 5% milk for 1 hour at room temperature.

Incubated with the primary antibody for 12 hours at 4°C in TBST.

All lanes:

Western blot - Anti-DAZL antibody [EPR21028] (ab215718) at 1/1000 dilution

Lane 1:

Mouse testis tissue lysate at 25 µg

Lane 2:

DAZL knockout mouse testis tissue lysate at 25 µg

Secondary

All lanes:

HRP-conjugated horse anti-rabbit IgG at 1/10000 dilution

Predicted band size: 33 kDa

Observed band size: 37 kDa

true

Exposure time: 3s

This image is courtesy of an anonymous collaborator abreview.

Western blot - Anti-DAZL antibody [EPR21028] (AB215718)
  • WB

CiteAb

Western blot - Anti-DAZL antibody [EPR21028] (AB215718)

DAZL western blot using anti-DAZL antibody [EPR21028] ab215718. Publication image and figure legend from Yang, C. R., Rajkovic, G., et al., 2020, Nat Commun, PubMed 32170089.

ab215718 was used in this publication in western blot. This may not be the same as the application(s) guaranteed by Abcam. For a full list of applications guaranteed by Abcam for ab215718 please see the product overview.

Interference with Dazl mRNA translation depletes oocytes of the DAZL protein and inhibits translation of a specific downstream target.a DAZL protein accumulation during the transition from the GV-to-MI stages of oocyte maturation. GV stage oocytes from wild type mice were cultured in vitro up to 8 h of maturation and used for Western blot analysis. 150 oocytes per lane was loaded on the gel and accumulation of α-tubulin was used as a loading control. The complete time course was performed once, while changes between the first and last time point confirmed in two additional independent experiments (see Supplementary Fig 1a). b Morpholino oligonucleotide (MO) down-regulation of DAZL protein. GV stage oocytes from RiboTagfl/fl : Zp3-Cre : WT or RiboTagfl/fl : Zp3-Cre : DAZL+/− mice were injected with CON-MO or DAZL-MO as described in the methods. After 6 h, oocytes were collected and used for Western blot analysis. A representative experiment of the three performed is reported. c–e GV stage oocytes from RiboTagfl/fl : Zp3-Cre or RiboTagfl/fl : Zp3-Cre : Dazl+/− mice were injected with CON-MO or DAZL-MO and preincubated overnight in 2 µM milrinone, then cultured in inhibitor-free medium for maturation. Oocytes were collected at 0 and 6 h for RiboTag IP followed by qPCR analysis. Ribosome loading of the endogenous Dazl mRNA (unpaired two tailed t-test, p = 0.0022) and Tex19.1 (unpaired two tailed t-test, p < 0.0001), but not CcnB1 (unpaired two tailed t-test, P = 0.8567) mRNA is disrupted after DAZL depletion. (GV : germinal vesicle; MI : Meiosis I. Each dot represents an independent biological sample collected from different experiments done in different days. f–h Input data for the immunoprecipitation reported in c–e. When N > 2, data are presented as Mean ± SEM and each dot represents an independent biological observation. Statistical significance among the different samples was evaluated with the Brown-Forsythe ANOVA test, assuming unequal SD. Calculated P values : Dazl = 0.6680, Tex19.1 = 0.9713, CcnB1 = 0.5404.

false

Key facts

Host species

Rabbit

Clonality

Monoclonal

Clone number

EPR21028

Isotype

IgG

Carrier free

No

Reacts with

Human, Mouse, Rat

Applications

WB, IP, ICC/IF, IHC-Fr, IHC-P

applications

Immunogen

The exact immunogen used to generate this antibody is proprietary information.

Reactivity data

{ "title": "Reactivity Data", "filters": { "stats": ["", "Species", "Dilution Info", "Notes"], "tabs": { "all-applications": {"fullname" : "All Applications", "shortname": "All Applications"}, "ICCIF" : {"fullname" : "Immunocytochemistry/ Immunofluorescence", "shortname":"ICC/IF"}, "IP" : {"fullname" : "Immunoprecipitation", "shortname":"IP"}, "WB" : {"fullname" : "Western blot", "shortname":"WB"}, "IHCFr" : {"fullname" : "Immunohistochemistry (Frozen sections)", "shortname":"IHC-Fr"}, "IHCP" : {"fullname" : "Immunohistochemistry (Formalin/PFA-fixed paraffin-embedded sections)", "shortname":"IHC-P"} }, "product-promise": { "all": "all", "testedAndGuaranteed": "tested", "guaranteed": "expected", "predicted": "predicted", "notRecommended": "not-recommended" } }, "values": { "Human": { "ICCIF-species-checked": "guaranteed", "ICCIF-species-dilution-info": "", "ICCIF-species-notes": "", "IP-species-checked": "guaranteed", "IP-species-dilution-info": "", "IP-species-notes": "", "WB-species-checked": "testedAndGuaranteed", "WB-species-dilution-info": "1/1000", "WB-species-notes": "<p></p>", "IHCFr-species-checked": "guaranteed", "IHCFr-species-dilution-info": "", "IHCFr-species-notes": "", "IHCP-species-checked": "testedAndGuaranteed", "IHCP-species-dilution-info": "1/8000", "IHCP-species-notes": "<p></p> Perform heat-mediated antigen retrieval with Tris/EDTA buffer pH 9.0 before commencing with IHC staining protocol." }, "Mouse": { "ICCIF-species-checked": "testedAndGuaranteed", "ICCIF-species-dilution-info": "1 µg/mL", "ICCIF-species-notes": "<p></p>", "IP-species-checked": "testedAndGuaranteed", "IP-species-dilution-info": "1/30", "IP-species-notes": "<p></p>", "WB-species-checked": "testedAndGuaranteed", "WB-species-dilution-info": "1/1000", "WB-species-notes": "<p></p>", "IHCFr-species-checked": "testedAndGuaranteed", "IHCFr-species-dilution-info": "1/300", "IHCFr-species-notes": "<p></p> Perform heat-mediated antigen retrieval with citrate buffer pH 6 before commencing with IHC staining protocol.", "IHCP-species-checked": "testedAndGuaranteed", "IHCP-species-dilution-info": "1/4000", "IHCP-species-notes": "<p></p> Perform heat-mediated antigen retrieval with Tris/EDTA buffer pH 9.0 before commencing with IHC staining protocol." }, "Rat": { "ICCIF-species-checked": "guaranteed", "ICCIF-species-dilution-info": "", "ICCIF-species-notes": "", "IP-species-checked": "guaranteed", "IP-species-dilution-info": "", "IP-species-notes": "", "WB-species-checked": "testedAndGuaranteed", "WB-species-dilution-info": "1/1000", "WB-species-notes": "<p></p>", "IHCFr-species-checked": "testedAndGuaranteed", "IHCFr-species-dilution-info": "1/60", "IHCFr-species-notes": "<p></p> Perform heat-mediated antigen retrieval with citrate buffer pH 6 before commencing with IHC staining protocol.", "IHCP-species-checked": "testedAndGuaranteed", "IHCP-species-dilution-info": "1/4000", "IHCP-species-notes": "<p></p> Perform heat-mediated antigen retrieval with Tris/EDTA buffer pH 9.0 before commencing with IHC staining protocol." }, "Cow": { "ICCIF-species-checked": "predicted", "ICCIF-species-dilution-info": "", "ICCIF-species-notes": "", "IP-species-checked": "predicted", "IP-species-dilution-info": "", "IP-species-notes": "", "WB-species-checked": "predicted", "WB-species-dilution-info": "", "WB-species-notes": "", "IHCFr-species-checked": "predicted", "IHCFr-species-dilution-info": "", "IHCFr-species-notes": "", "IHCP-species-checked": "predicted", "IHCP-species-dilution-info": "", "IHCP-species-notes": "" }, "Horse": { "ICCIF-species-checked": "predicted", "ICCIF-species-dilution-info": "", "ICCIF-species-notes": "", "IP-species-checked": "predicted", "IP-species-dilution-info": "", "IP-species-notes": "", "WB-species-checked": "predicted", "WB-species-dilution-info": "", "WB-species-notes": "", "IHCFr-species-checked": "predicted", "IHCFr-species-dilution-info": "", "IHCFr-species-notes": "", "IHCP-species-checked": "predicted", "IHCP-species-dilution-info": "", "IHCP-species-notes": "" }, "Pig": { "ICCIF-species-checked": "predicted", "ICCIF-species-dilution-info": "", "ICCIF-species-notes": "", "IP-species-checked": "predicted", "IP-species-dilution-info": "", "IP-species-notes": "", "WB-species-checked": "predicted", "WB-species-dilution-info": "", "WB-species-notes": "", "IHCFr-species-checked": "predicted", "IHCFr-species-dilution-info": "", "IHCFr-species-notes": "", "IHCP-species-checked": "predicted", "IHCP-species-dilution-info": "", "IHCP-species-notes": "" }, "Sheep": { "ICCIF-species-checked": "predicted", "ICCIF-species-dilution-info": "", "ICCIF-species-notes": "", "IP-species-checked": "predicted", "IP-species-dilution-info": "", "IP-species-notes": "", "WB-species-checked": "predicted", "WB-species-dilution-info": "", "WB-species-notes": "", "IHCFr-species-checked": "predicted", "IHCFr-species-dilution-info": "", "IHCFr-species-notes": "", "IHCP-species-checked": "predicted", "IHCP-species-dilution-info": "", "IHCP-species-notes": "" } } }

Product details

What is this antibody validated in?
Anti-DAZL antibody [EPR21028] (ab215718) is a rabbit recombinant monoclonal antibody and is validated for use in Western Blot (WB), Immunoprecipitation (IP), Immunohistochemistry (IHC-P), Immunohistochemistry (IHC-Fr), Immunocytochemistry/immunofluorescence (ICC/IF) in Human, Mouse, Rat samples.

What is the molecular weight of DAZL?
Anti-DAZL [EPR21028] (ab215718) specifically detects a band for DAZL (UniProt: Q64368) at a molecular weight of 33kDa.

Trusted by the scientific community
Anti-DAZL [EPR21028] (ab215718) was first used in a scientific publication in 2017 and has been cited over 10 times in peer-reviewed journals.

Reviewed by scientists
Anti-DAZL [EPR21028] (ab215718) has over 5 independent reviews from customers.

Trial sizes available!
Test your antibody or perform pre-screening before committing to a larger quantity. Sold in 10µl. Discover our selection of trial-size antibodies.

Specificity confirmed
The specificity of Anti-DAZL antibody [EPR21028] (ab215718) has been confirmed by Western blot testing in Dazl Knockout mouse testis samples.

Other related products
We have a range of other formats of antibody clone [EPR21028] also available for your convenience: ab215718, Carrier free - ab228135, Alexa Fluor® 594 - ab314161, Alexa Fluor® 647 - ab316874

Patented technology
Our RabMAb® technology is a patented hybridoma-based technology for making rabbit monoclonal antibodies. For details on our patents, please refer to RabMAb® patents.

What are the advantages of a recombinant monoclonal antibody?
This product is a recombinant monoclonal antibody, which offers several advantages including:

  • - High batch-to-batch consistency and reproducibility
  • - Improved sensitivity and specificity
  • - Long-term security of supply
  • - Animal-free batch production

For more information, read more on recombinant antibodies.

Properties and storage information

Form
Liquid
Purification technique
Affinity purification Protein A
Storage buffer
pH: 7.2 - 7.4 Preservative: 0.01% Sodium azide Constituents: PBS, 40% Glycerol (glycerin, glycerine), 0.05% BSA
Shipped at conditions
Blue Ice
Appropriate short-term storage duration
1-2 weeks
Appropriate short-term storage conditions
+4°C
Appropriate long-term storage conditions
-20°C
Aliquoting information
Upon delivery aliquot
Storage information
Avoid freeze / thaw cycle

Product protocols

For this product, it's our understanding that no specific protocols are required. You can visit:

Target data

RNA-binding protein, which is essential for gametogenesis in both males and females. Plays a central role during spermatogenesis. Acts by binding to the 3'-UTR of mRNA, specifically recognizing GUU triplets, and thereby regulating the translation of key transcripts.
See full target information Dazl

Publications (21)

Recent publications for all applications. Explore the full list and refine your search

Nature biotechnology : PubMed41028831

2025

Derivation of embryonic stem cells across avian species.

Applications

Unspecified application

Species

Unspecified reactive species

Xi Chen,Zheng Guo,Xinyi Tong,Xizi Wang,Xugeng Liu,Hiroki Nagai,Ping Wu,Jiayi Lu,David Huss,Martin Tran,Carol Readhead,Christina Wu,Lin Cao,Yixin Huang,Zhaohan Zeng,Fan Feng,Nima Adhami,Sirjan Mor,Rusty Lansford,Cheng-Ming Chuong,Guojun Sheng,Carlos Lois,Qi-Long Ying

EMBO reports 26:1114-1143 PubMed39849206

2025

Rapid human oogonia-like cell specification via transcription factor-directed differentiation.

Applications

Unspecified application

Species

Unspecified reactive species

Merrick Pierson Smela,Christian C Kramme,Patrick R J Fortuna,Bennett Wolf,Shrey Goel,Jessica Adams,Carl Ma,Sergiy Velychko,Ursula Widocki,Venkata Srikar Kavirayuni,Tianlai Chen,Sophia Vincoff,Edward Dong,Richie E Kohman,Mutsumi Kobayashi,Toshi Shioda,George M Church,Pranam Chatterjee

Development, growth & differentiation 66:452-461 PubMed39520225

2024

Labeling and sorting of avian primordial germ cells utilizing Lycopersicon Esculentum lectin.

Applications

Unspecified application

Species

Unspecified reactive species

Hiroko Iikawa,Aika Nishina,Mizuki Morita,Yuji Atsuta,Yoshiki Hayashi,Daisuke Saito

Archives of toxicology 98:2695-2709 PubMed38769170

2024

Mechanistic screening of reproductive toxicity in a novel 3D testicular co-culture model shows significant impairments following exposure to low-dibutyl phthalate concentrations.

Applications

Unspecified application

Species

Mouse

Radwa Almamoun,Paula Pierozan,Oskar Karlsson

Theriogenology 224:74-81 PubMed38759607

2024

Changes in characteristics of spermatogonial stem cells in response to heat stress in stallions.

Applications

WB, IHC-P

Species

Horse, Horse

Muhammad Shakeel,Minjung Yoon

Epigenetics & chromatin 17:11 PubMed38671530

2024

Reinforcement of repressive marks in the chicken primordial germ cell epigenetic signature: divergence from basal state resetting in mammals.

Applications

Unspecified application

Species

Unspecified reactive species

Clémence Kress,Luc Jouneau,Bertrand Pain

Nature protocols 19:1149-1182 PubMed38302732

2024

Human primordial germ cell-like cells specified from resetting precursors develop in human hindgut organoids.

Applications

Unspecified application

Species

Unspecified reactive species

João Pedro Alves-Lopes,Frederick C K Wong,M Azim Surani

Frontiers in endocrinology 14:1271724 PubMed38027210

2023

RNA sequencing profiles reveals progressively reduced spermatogenesis with progression in adult cryptorchidism.

Applications

Unspecified application

Species

Unspecified reactive species

Weihao Sun,Xinhui Zhang,Lei Wang,Guanyu Ren,Shuguang Piao,Chenghua Yang,Zhiyong Liu

Development (Cambridge, England) 150: PubMed37665168

2023

An inducible germ cell ablation chicken model for high-grade germline chimeras.

Applications

ICC/IF

Species

Chicken

Yi-Chen Chen,Daisuke Saito,Takayuki Suzuki,Tatsuya Takemoto

Theriogenology 211:65-75 PubMed37586163

2023

Eif2s3y alleviated LPS-induced damage to mouse testis and maintained spermatogenesis by negatively regulating Adamts5.

Applications

WB

Species

Mouse

Yunxiang Li,Wenping Wu,Wenjing Xu,Yuqi Wang,Shicheng Wan,Wenbo Chen,Donghui Yang,Mengfei Zhang,Xiaojie Wu,Xinchun Yang,Xiaomin Du,Congliang Wang,Miao Han,Yuguang Chen,Na Li,Jinlian Hua
View all publications

Product promise

We are committed to supporting your work with high-quality reagents, and we're here for you every step of the way. In the unlikely event that one of our products does not perform as expected, you're protected by our Product Promise.
For full details, please see our Terms & Conditions

Please note: All products are 'FOR RESEARCH USE ONLY. NOT FOR USE IN DIAGNOSTIC OR THERAPEUTIC PROCEDURES'.

For licensing inquiries, please contact partnerships@abcam.com