JavaScript is disabled in your browser. Please enable JavaScript to view this website.
AB70239

Anti-DBC-1 antibody

4

(1 Review)

|

(3 Publications)

Rabbit Polyclonal DBC-1 antibody. Suitable for IHC-P, WB and reacts with Human samples. Cited in 3 publications. Immunogen corresponding to Synthetic Peptide within Human CCAR2 aa 1-50.

View Alternative Names

DBC1, KIAA1967, CCAR2, Cell cycle and apoptosis regulator protein 2, Cell division cycle and apoptosis regulator protein 2, DBIRD complex subunit KIAA1967, Deleted in breast cancer gene 1 protein, NET35, p30 DBC, DBC-1, DBC.1

2 Images
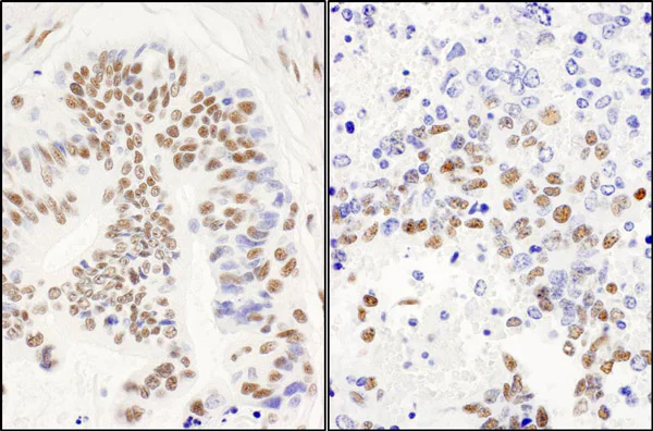
Immunohistochemistry (Formalin/PFA-fixed paraffin-embedded sections) - Anti-DBC-1 antibody (AB70239)
  • IHC-P

Unknown

Immunohistochemistry (Formalin/PFA-fixed paraffin-embedded sections) - Anti-DBC-1 antibody (AB70239)

Immunohistochemistry (Formalin/PFA-fixed paraffin-embedded sections) analysis of human ovarian carcinoma (left) and mouse teratoma (right) tissues labelling DBC-1 at 1/5000 (0.2μg/ml) and 1/1000 (1μg/ml). Detection : DAB.

Western blot - Anti-DBC-1 antibody (AB70239)
  • WB

Unknown

Western blot - Anti-DBC-1 antibody (AB70239)

All lanes:

Western blot - Anti-DBC-1 antibody (ab70239) at 1/10000 dilution

Lane 1:

HeLa cell nuclear extract at 15 µg

Lane 2:

HeLa cell nuclear extract at 45 µg

Predicted band size: 103 kDa

Observed band size: 120 kDa

false

Key facts

Host species

Rabbit

Clonality

Polyclonal

Isotype

IgG

Carrier free

No

Reacts with

Human

Applications

WB, IHC-P

applications

Immunogen

Synthetic Peptide within Human CCAR2 aa 1-50. The exact immunogen used to generate this antibody is proprietary information.

Q8N163

Reactivity data

{ "title": "Reactivity Data", "filters": { "stats": ["", "Species", "Dilution Info", "Notes"], "tabs": { "all-applications": {"fullname" : "All Applications", "shortname": "All Applications"}, "IHCP" : {"fullname" : "Immunohistochemistry (Formalin/PFA-fixed paraffin-embedded sections)", "shortname":"IHC-P"}, "WB" : {"fullname" : "Western blot", "shortname":"WB"} }, "product-promise": { "all": "all", "testedAndGuaranteed": "tested", "guaranteed": "expected", "predicted": "predicted", "notRecommended": "not-recommended" } }, "values": { "Human": { "IHCP-species-checked": "testedAndGuaranteed", "IHCP-species-dilution-info": "1/1000 - 1/5000", "IHCP-species-notes": "<p></p> Perform heat-mediated antigen retrieval with citrate buffer pH 6 before commencing with IHC staining protocol.", "WB-species-checked": "testedAndGuaranteed", "WB-species-dilution-info": "1/10000 - 1/20000", "WB-species-notes": "<p></p>" }, "Rat": { "IHCP-species-checked": "predicted", "IHCP-species-dilution-info": "", "IHCP-species-notes": "", "WB-species-checked": "predicted", "WB-species-dilution-info": "", "WB-species-notes": "" }, "Chimpanzee": { "IHCP-species-checked": "predicted", "IHCP-species-dilution-info": "", "IHCP-species-notes": "", "WB-species-checked": "predicted", "WB-species-dilution-info": "", "WB-species-notes": "" }, "Chinese hamster": { "IHCP-species-checked": "predicted", "IHCP-species-dilution-info": "", "IHCP-species-notes": "", "WB-species-checked": "predicted", "WB-species-dilution-info": "", "WB-species-notes": "" }, "Cow": { "IHCP-species-checked": "predicted", "IHCP-species-dilution-info": "", "IHCP-species-notes": "", "WB-species-checked": "predicted", "WB-species-dilution-info": "", "WB-species-notes": "" }, "Dog": { "IHCP-species-checked": "predicted", "IHCP-species-dilution-info": "", "IHCP-species-notes": "", "WB-species-checked": "predicted", "WB-species-dilution-info": "", "WB-species-notes": "" }, "Elephant": { "IHCP-species-checked": "predicted", "IHCP-species-dilution-info": "", "IHCP-species-notes": "", "WB-species-checked": "predicted", "WB-species-dilution-info": "", "WB-species-notes": "" }, "Ferret": { "IHCP-species-checked": "predicted", "IHCP-species-dilution-info": "", "IHCP-species-notes": "", "WB-species-checked": "predicted", "WB-species-dilution-info": "", "WB-species-notes": "" }, "Gorilla": { "IHCP-species-checked": "predicted", "IHCP-species-dilution-info": "", "IHCP-species-notes": "", "WB-species-checked": "predicted", "WB-species-dilution-info": "", "WB-species-notes": "" }, "Guinea pig": { "IHCP-species-checked": "predicted", "IHCP-species-dilution-info": "", "IHCP-species-notes": "", "WB-species-checked": "predicted", "WB-species-dilution-info": "", "WB-species-notes": "" }, "Horse": { "IHCP-species-checked": "predicted", "IHCP-species-dilution-info": "", "IHCP-species-notes": "", "WB-species-checked": "predicted", "WB-species-dilution-info": "", "WB-species-notes": "" }, "Orangutan": { "IHCP-species-checked": "predicted", "IHCP-species-dilution-info": "", "IHCP-species-notes": "", "WB-species-checked": "predicted", "WB-species-dilution-info": "", "WB-species-notes": "" }, "Pig": { "IHCP-species-checked": "predicted", "IHCP-species-dilution-info": "", "IHCP-species-notes": "", "WB-species-checked": "predicted", "WB-species-dilution-info": "", "WB-species-notes": "" }, "Rhesus monkey": { "IHCP-species-checked": "predicted", "IHCP-species-dilution-info": "", "IHCP-species-notes": "", "WB-species-checked": "predicted", "WB-species-dilution-info": "", "WB-species-notes": "" } } }

Properties and storage information

Form
Liquid
Purification technique
Affinity purification Immunogen
Storage buffer
pH: 7 - 8 Preservative: 0.09% Sodium azide Constituents: 1.815% Tris, 1.764% Sodium citrate, 0.021% PBS
Shipped at conditions
Blue Ice
Appropriate short-term storage conditions
+4°C
Appropriate long-term storage conditions
-20°C
Aliquoting information
Upon delivery aliquot
Storage information
Avoid freeze / thaw cycle

Product protocols

For this product, it's our understanding that no specific protocols are required. You can visit:

Target data

Core component of the DBIRD complex, a multiprotein complex that acts at the interface between core mRNP particles and RNA polymerase II (RNAPII) and integrates transcript elongation with the regulation of alternative splicing : the DBIRD complex affects local transcript elongation rates and alternative splicing of a large set of exons embedded in (A + T)-rich DNA regions (PubMed : 22446626). Inhibits SIRT1 deacetylase activity leading to increasing levels of p53/TP53 acetylation and p53-mediated apoptosis (PubMed : 18235501, PubMed : 18235502, PubMed : 23352644). Inhibits SUV39H1 methyltransferase activity (PubMed : 19218236). Mediates ligand-dependent transcriptional activation by nuclear hormone receptors (PubMed : 19131338). Plays a critical role in maintaining genomic stability and cellular integrity following UV-induced genotoxic stress (PubMed : 23398316). Regulates the circadian expression of the core clock components NR1D1 and BMAL1 (PubMed : 23398316). Enhances the transcriptional repressor activity of NR1D1 through stabilization of NR1D1 protein levels by preventing its ubiquitination and subsequent degradation (PubMed : 23398316). Represses the ligand-dependent transcriptional activation function of ESR2 (PubMed : 20074560). Acts as a regulator of PCK1 expression and gluconeogenesis by a mechanism that involves, at least in part, both NR1D1 and SIRT1 (PubMed : 24415752). Negatively regulates the deacetylase activity of HDAC3 and can alter its subcellular localization (PubMed : 21030595). Positively regulates the beta-catenin pathway (canonical Wnt signaling pathway) and is required for MCC-mediated repression of the beta-catenin pathway (PubMed : 24824780). Represses ligand-dependent transcriptional activation function of NR1H2 and NR1H3 and inhibits the interaction of SIRT1 with NR1H3 (PubMed : 25661920). Plays an important role in tumor suppression through p53/TP53 regulation; stabilizes p53/TP53 by affecting its interaction with ubiquitin ligase MDM2 (PubMed : 25732823). Represses the transcriptional activator activity of BRCA1 (PubMed : 20160719). Inhibits SIRT1 in a CHEK2 and PSEM3-dependent manner and inhibits the activity of CHEK2 in vitro (PubMed : 25361978).
See full target information CCAR2

Publications (3)

Recent publications for all applications. Explore the full list and refine your search

Autophagy 17:3511-3529 PubMed33459133

2021

Hydrogen sulfide-induced GAPDH sulfhydration disrupts the CCAR2-SIRT1 interaction to initiate autophagy.

Applications

Unspecified application

Species

Unspecified reactive species

Iram Khan Iqbal,Sapna Bajeli,Shivani Sahu,Shabir Ahmad Bhat,Ashwani Kumar

Nature communications 8:1491 PubMed29133780

2017

O-GlcNAcylation of SIRT1 enhances its deacetylase activity and promotes cytoprotection under stress.

Applications

Unspecified application

Species

Unspecified reactive species

Cuifang Han,Yuchao Gu,Hui Shan,Wenyi Mi,Jiahui Sun,Minghui Shi,Xinling Zhang,Xinzhi Lu,Feng Han,Qianhong Gong,Wengong Yu

The Journal of biological chemistry 289:7293-306 PubMed24451382

2014

A redox-resistant sirtuin-1 mutant protects against hepatic metabolic and oxidant stress.

Applications

Unspecified application

Species

Unspecified reactive species

Di Shao,Jessica L Fry,Jingyan Han,Xiuyun Hou,David R Pimentel,Reiko Matsui,Richard A Cohen,Markus M Bachschmid
View all publications

Product promise

We are committed to supporting your work with high-quality reagents, and we're here for you every step of the way. In the unlikely event that one of our products does not perform as expected, you're protected by our Product Promise.
For full details, please see our Terms & Conditions

Please note: All products are 'FOR RESEARCH USE ONLY. NOT FOR USE IN DIAGNOSTIC OR THERAPEUTIC PROCEDURES'.

For licensing inquiries, please contact partnerships@abcam.com