JavaScript is disabled in your browser. Please enable JavaScript to view this website.
AB251430

Anti-DBC-1 antibody [EPR18317] - BSA and Azide free

Be the first to review this product! Submit a review

|

(1 Publication)

Rabbit Recombinant Monoclonal DBC-1 antibody. Carrier free. Suitable for ICC/IF, WB, Flow Cyt (Intra), IHC-P and reacts with Human samples. Cited in 1 publication.

View Alternative Names

DBC1, KIAA1967, CCAR2, Cell cycle and apoptosis regulator protein 2, Cell division cycle and apoptosis regulator protein 2, DBIRD complex subunit KIAA1967, Deleted in breast cancer gene 1 protein, NET35, p30 DBC, DBC-1, DBC.1

4 Images
Immunocytochemistry/ Immunofluorescence - Anti-DBC-1 antibody [EPR18317] - BSA and Azide free (AB251430)
  • ICC/IF

Supplier Data

Immunocytochemistry/ Immunofluorescence - Anti-DBC-1 antibody [EPR18317] - BSA and Azide free (AB251430)

This data was developed using ab205526, the same antibody clone in a different buffer formulation.

Immunofluorescent analysis of 4% paraformaldehyde-fixed, 0.1% Triton X-100 permeabilized HeLa (Human epithelial cells from cervix adenocarcinoma) cells labeling DBC-1 with ab205526 at 1/300 dilution, followed by Goat anti-rabbit IgG (Alexa Fluor® 488) (ab150077) secondary antibody at 1/1000 dilution (green). Confocal image showing nuclear staining on HeLa cell line. The nuclear counter stain is DAPI (blue). Tubulin is detected with ab7291 (anti-Tubulin mouse mAb) at 1/1000 dilution and ab150120 (AlexaFluor®594 Goat anti-Mouse secondary) at 1/1000 dilution (red).
The negative controls are as follows :
-ve control 1 : ab205526 at 1/300 dilution followed by ab150120 (AlexaFluor®594 Goat anti-Mouse secondary) at 1/1000 dilution.
-ve control 2 : ab7291 (anti-Tubulin mouse mAb) at 1/1000 dilution followed by ab150077 (Alexa Fluor®488 Goat Anti-Rabbit IgG H&L) at 1/1000 dilution.

Flow Cytometry (Intracellular) - Anti-DBC-1 antibody [EPR18317] - BSA and Azide free (AB251430)
  • Flow Cyt (Intra)

Unknown

Flow Cytometry (Intracellular) - Anti-DBC-1 antibody [EPR18317] - BSA and Azide free (AB251430)

This data was developed using ab205526, the same antibody clone in a different buffer formulation.

Intracellular flow cytometric analysis of 4% paraformaldehyde-fixed HeLa (Human epithelial cells from cervix adenocarcinoma) cells labeling DBC-1 with ab205526 at 1/150 dilution (red) compared with a rabbit monoclonal IgG isotype control (ab172730; black) and an unlabelled control (cells without incubation with primary antibody and secondary antibody; blue). Goat anti rabbit IgG (FITC) at 1/500 dilution was used as the secondary antibody.

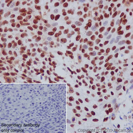
Immunohistochemistry (Formalin/PFA-fixed paraffin-embedded sections) - Anti-DBC-1 antibody [EPR18317] - BSA and Azide free (AB251430)
  • IHC-P

Unknown

Immunohistochemistry (Formalin/PFA-fixed paraffin-embedded sections) - Anti-DBC-1 antibody [EPR18317] - BSA and Azide free (AB251430)

This data was developed using ab205526, the same antibody clone in a different buffer formulation.

Immunohistochemical analysis of paraffin-embedded Human cervical carcinoma tissue labeling DBC-1 with ab205526 at 1/1000 dilution, followed by Goat Anti-Rabbit IgG H&L (HRP) (ab97051) at 1/500 dilution. Nuclear staining on Human cervical carcinoma is observed. Counter stained with Hematoxylin.

Secondary antibody only control : Used PBS instead of primary antibody, secondary antibody is Goat Anti-Rabbit IgG H&L (HRP) (ab97051) at 1/500 dilution.

Perform heat mediated antigen retrieval with Tris/EDTA buffer pH 9.0 before commencing with IHC staining protocol.

Western blot - Anti-DBC-1 antibody [EPR18317] - BSA and Azide free (AB251430)
  • WB

Supplier Data

Western blot - Anti-DBC-1 antibody [EPR18317] - BSA and Azide free (AB251430)

This data was developed using ab205526, the same antibody clone in a different buffer formulation.

Blocking and dilution buffer : 5% NFDM/TBST.

All lanes:

Western blot - Anti-DBC-1 antibody [EPR18317] (<a href='/en-us/products/primary-antibodies/dbc-1-antibody-epr18317-ab205526'>ab205526</a>) at 1/5000 dilution

Lane 1:

HeLa (Human epithelial cells from cervix adenocarcinoma) whole cell lysate at 10 µg

Lane 2:

293 (Human epithelial cells from embryonic kidney) whole cell lysate at 10 µg

Lane 3:

Human fetal kidney tissue lysate at 10 µg

Secondary

All lanes:

Western blot - Goat Anti-Rabbit IgG H&L (HRP) (<a href='/en-us/products/secondary-antibodies/goat-rabbit-igg-h-l-hrp-ab97051'>ab97051</a>) at 1/50000 dilution

Predicted band size: 103 kDa

Observed band size: 130 kDa

false

Exposure time: 15s

Key facts

Host species

Rabbit

Clonality

Monoclonal

Clone number

EPR18317

Isotype

IgG

Carrier free

Yes

Reacts with

Human

Applications

Flow Cyt (Intra), IHC-P, ICC/IF, WB

applications

Immunogen

The exact immunogen used to generate this antibody is proprietary information.

Reactivity data

{ "title": "Reactivity Data", "filters": { "stats": ["", "Species", "Dilution Info", "Notes"], "tabs": { "all-applications": {"fullname" : "All Applications", "shortname": "All Applications"}, "ICCIF" : {"fullname" : "Immunocytochemistry/ Immunofluorescence", "shortname":"ICC/IF"}, "WB" : {"fullname" : "Western blot", "shortname":"WB"}, "FlowCytIntra" : {"fullname" : "Flow Cytometry (Intracellular)", "shortname":"Flow Cyt (Intra)"}, "IHCP" : {"fullname" : "Immunohistochemistry (Formalin/PFA-fixed paraffin-embedded sections)", "shortname":"IHC-P"} }, "product-promise": { "all": "all", "testedAndGuaranteed": "tested", "guaranteed": "expected", "predicted": "predicted", "notRecommended": "not-recommended" } }, "values": { "Human": { "ICCIF-species-checked": "testedAndGuaranteed", "ICCIF-species-dilution-info": "", "ICCIF-species-notes": "<p></p>", "WB-species-checked": "testedAndGuaranteed", "WB-species-dilution-info": "", "WB-species-notes": "<p></p>", "FlowCytIntra-species-checked": "testedAndGuaranteed", "FlowCytIntra-species-dilution-info": "", "FlowCytIntra-species-notes": "<p></p>", "IHCP-species-checked": "testedAndGuaranteed", "IHCP-species-dilution-info": "", "IHCP-species-notes": "<p></p>" } } }

Product details

ab251430 is the carrier-free version of ab205526.

Patented technology
Our RabMAb® technology is a patented hybridoma-based technology for making rabbit monoclonal antibodies. For details on our patents, please refer to RabMAb® patents.

What are the advantages of a recombinant monoclonal antibody?
This product is a recombinant monoclonal antibody, which offers several advantages including:

  • - High batch-to-batch consistency and reproducibility
  • - Improved sensitivity and specificity
  • - Long-term security of supply
  • - Animal-free batch production

For more information, read more on recombinant antibodies.

Conjugation ready
Our carrier-free antibodies are typically supplied in a PBS-only formulation, purified and free of BSA, sodium azide and glycerol. This conjugation-ready format is designed for use with fluorochromes, metal isotopes, oligonucleotides, and enzymes, which makes them ideal for antibody labelling, functional and cell-based assays, flow-based assays (e.g. mass cytometry) and Multiplex Imaging applications.

Use our conjugation kits for antibody conjugates that are ready-to-use in as little as 20 minutes with 1 minute hands-on-time and 100% antibody recovery: available for fluorescent dyes, HRP, biotin and gold.

Compatibility
This product is compatible with the Maxpar® Antibody Labeling Kit from Fluidigm, without the need for antibody preparation. Maxpar® is a trademark of Fluidigm Canada Inc.

Properties and storage information

Form
Liquid
Purification technique
Affinity purification Protein A
Storage buffer
pH: 7.2 - 7.4 Constituents: PBS
Shipped at conditions
Blue Ice
Appropriate short-term storage conditions
+4°C
Appropriate long-term storage conditions
+4°C
Storage information
Do Not Freeze

Product protocols

For this product, it's our understanding that no specific protocols are required. You can visit:

Target data

Core component of the DBIRD complex, a multiprotein complex that acts at the interface between core mRNP particles and RNA polymerase II (RNAPII) and integrates transcript elongation with the regulation of alternative splicing : the DBIRD complex affects local transcript elongation rates and alternative splicing of a large set of exons embedded in (A + T)-rich DNA regions (PubMed : 22446626). Inhibits SIRT1 deacetylase activity leading to increasing levels of p53/TP53 acetylation and p53-mediated apoptosis (PubMed : 18235501, PubMed : 18235502, PubMed : 23352644). Inhibits SUV39H1 methyltransferase activity (PubMed : 19218236). Mediates ligand-dependent transcriptional activation by nuclear hormone receptors (PubMed : 19131338). Plays a critical role in maintaining genomic stability and cellular integrity following UV-induced genotoxic stress (PubMed : 23398316). Regulates the circadian expression of the core clock components NR1D1 and BMAL1 (PubMed : 23398316). Enhances the transcriptional repressor activity of NR1D1 through stabilization of NR1D1 protein levels by preventing its ubiquitination and subsequent degradation (PubMed : 23398316). Represses the ligand-dependent transcriptional activation function of ESR2 (PubMed : 20074560). Acts as a regulator of PCK1 expression and gluconeogenesis by a mechanism that involves, at least in part, both NR1D1 and SIRT1 (PubMed : 24415752). Negatively regulates the deacetylase activity of HDAC3 and can alter its subcellular localization (PubMed : 21030595). Positively regulates the beta-catenin pathway (canonical Wnt signaling pathway) and is required for MCC-mediated repression of the beta-catenin pathway (PubMed : 24824780). Represses ligand-dependent transcriptional activation function of NR1H2 and NR1H3 and inhibits the interaction of SIRT1 with NR1H3 (PubMed : 25661920). Plays an important role in tumor suppression through p53/TP53 regulation; stabilizes p53/TP53 by affecting its interaction with ubiquitin ligase MDM2 (PubMed : 25732823). Represses the transcriptional activator activity of BRCA1 (PubMed : 20160719). Inhibits SIRT1 in a CHEK2 and PSEM3-dependent manner and inhibits the activity of CHEK2 in vitro (PubMed : 25361978).
See full target information CCAR2

Publications (1)

Recent publications for all applications. Explore the full list and refine your search

Scientific reports 14:26521 PubMed39489850

2024

GABPA inhibits tumorigenesis in clear cell renal cell carcinoma by regulating ferroptosis through ACSL4.

Applications

Unspecified application

Species

Unspecified reactive species

Yaqian Wu,Zonglong Wu,Mengfei Yao,Li Liu,Yimeng Song,Lulin Ma,Cheng Liu
View all publications

Product promise

We are committed to supporting your work with high-quality reagents, and we're here for you every step of the way. In the unlikely event that one of our products does not perform as expected, you're protected by our Product Promise.
For full details, please see our Terms & Conditions

Please note: All products are 'FOR RESEARCH USE ONLY. NOT FOR USE IN DIAGNOSTIC OR THERAPEUTIC PROCEDURES'.

For licensing inquiries, please contact partnerships@abcam.com