JavaScript is disabled in your browser. Please enable JavaScript to view this website.
AB231910

Anti-DBI antibody

Be the first to review this product! Submit a review

|

(10 Publications)

Anti-DBI antibody (ab231910) is a rabbit polyclonal antibody detecting DBI in Western Blot, IHC-P. Suitable for Mouse, Rat.

View Alternative Names

Acyl-CoA-binding protein, ACBP, Diazepam-binding inhibitor, Endozepine, DBI, EP, Dbi

4 Images
Western blot - Anti-DBI antibody (AB231910)
  • WB

Supplier Data

Western blot - Anti-DBI antibody (AB231910)

All lanes:

Western blot - Anti-DBI antibody (ab231910) at 2 µg/mL

All lanes:

Rat liver tissue lysate

Predicted band size: 10 kDa

false

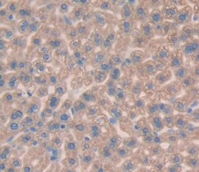
Immunohistochemistry (Formalin/PFA-fixed paraffin-embedded sections) - Anti-DBI antibody (AB231910)
  • IHC-P

Supplier Data

Immunohistochemistry (Formalin/PFA-fixed paraffin-embedded sections) - Anti-DBI antibody (AB231910)

Formalin-fixed, paraffin-embedded mouse liver tissue stained for DBI using ab231910 at 20 μg/ml in immunohistochemical analysis. DAB staining.

Western blot - Anti-DBI antibody (AB231910)
  • WB

Supplier Data

Western blot - Anti-DBI antibody (AB231910)

All lanes:

Western blot - Anti-DBI antibody (ab231910) at 2 µg/mL

All lanes:

Mouse liver tissue lysate

Predicted band size: 10 kDa

false

Western blot - Anti-DBI antibody (AB231910)
  • WB

Supplier Data

Western blot - Anti-DBI antibody (AB231910)

All lanes:

Western blot - Anti-DBI antibody (ab231910) at 2 µg/mL

All lanes:

Recombinant mouse DBI protein

Predicted band size: 10 kDa,116 kDa

false

Key facts

Host species

Rabbit

Clonality

Polyclonal

Isotype

IgG

Carrier free

No

Reacts with

Mouse, Rat

Applications

WB, IHC-P

applications

Immunogen

Recombinant Full Length Protein corresponding to Mouse Acyl-CoA-binding protein.

P31786

Reactivity data

{ "title": "Reactivity Data", "filters": { "stats": ["", "Species", "Dilution Info", "Notes"], "tabs": { "all-applications": {"fullname" : "All Applications", "shortname": "All Applications"}, "WB" : {"fullname" : "Western blot", "shortname":"WB"}, "IHCP" : {"fullname" : "Immunohistochemistry (Formalin/PFA-fixed paraffin-embedded sections)", "shortname":"IHC-P"} }, "product-promise": { "all": "all", "testedAndGuaranteed": "tested", "guaranteed": "expected", "predicted": "predicted", "notRecommended": "not-recommended" } }, "values": { "Mouse": { "WB-species-checked": "testedAndGuaranteed", "WB-species-dilution-info": "0.2-2 µg/mL", "WB-species-notes": "<p></p>", "IHCP-species-checked": "testedAndGuaranteed", "IHCP-species-dilution-info": "5-20 µg/mL", "IHCP-species-notes": "<p></p>" }, "Rat": { "WB-species-checked": "testedAndGuaranteed", "WB-species-dilution-info": "0.2-2 µg/mL", "WB-species-notes": "<p></p>", "IHCP-species-checked": "guaranteed", "IHCP-species-dilution-info": "", "IHCP-species-notes": "" } } }

Product details

What is this antibody validated in?
Anti-DBI antibody (ab231910) is a rabbit polyclonal antibody and is validated for use in Western Blot (WB), Immunohistochemistry (IHC-P) in Mouse, Rat samples.

What is the molecular weight of DBI?
Anti-DBI (ab231910) specifically detects a band for DBI (UniProt: P31786) at a molecular weight of 10kDa.

Properties and storage information

Form
Liquid
Purification technique
Affinity purification Protein A
Purification notes
Antigen-specific affinity chromatography followed by Protein A affinity chromatography
Storage buffer
pH: 7.4 Preservative: 0.011% Proclin 300 Constituents: PBS, 55.77% Glycerol (glycerin, glycerine)
Shipped at conditions
Blue Ice
Appropriate short-term storage duration
1-2 weeks
Appropriate short-term storage conditions
+4°C
Appropriate long-term storage conditions
-20°C
Aliquoting information
Upon delivery aliquot
Storage information
Avoid freeze / thaw cycle

Product protocols

For this product, it's our understanding that no specific protocols are required. You can visit:

Target data

Binds medium- and long-chain acyl-CoA esters with very high affinity and may function as an intracellular carrier of acyl-CoA esters. It is also able to displace diazepam from the benzodiazepine (BZD) recognition site located on the GABA type A receptor. It is therefore possible that this protein also acts as a neuropeptide to modulate the action of the GABA receptor.
See full target information Acyl-CoA-binding protein

Publications (10)

Recent publications for all applications. Explore the full list and refine your search

International journal of molecular sciences 26: PubMed41009702

2025

Mechanism of Regulation of NaCl Homeostasis in the Distal Colon During Obesity.

Applications

Unspecified application

Species

Unspecified reactive species

Balasubramanian Palaniappan,John Crutchley,Raja Singh Paulraj,Alip Borthakur,Subha Arthur

Cell death and differentiation 32:1484-1498 PubMed40082721

2025

Neutralization of acyl CoA binding protein (ACBP) for the experimental treatment of osteoarthritis.

Applications

Unspecified application

Species

Unspecified reactive species

Uxía Nogueira-Recalde,Flavia Lambertucci,Léa Montégut,Omar Motiño,Hui Chen,Sylvie Lachkar,Gerasimos Anagnostopoulos,Gautier Stoll,Sijing Li,Vincent Carbonier,Ester Saavedra Díaz,Francisco J Blanco,Geert van Tetering,Mark de Boer,Maria Chiara Maiuri,Beatriz Caramés,Isabelle Martins,Guido Kroemer

Nature metabolism 6:2281-2299 PubMed39578649

2024

Pathogenic role of acyl coenzyme A binding protein (ACBP) in Cushing's syndrome.

Applications

Unspecified application

Species

Unspecified reactive species

Hui Pan,Ai-Ling Tian,Hui Chen,Yifan Xia,Allan Sauvat,Stephanie Moriceau,Flavia Lambertucci,Omar Motiño,Liwei Zhao,Peng Liu,Misha Mao,Sijing Li,Shuai Zhang,Adrien Joseph,Sylvère Durand,Fanny Aprahamian,Zeyu Luo,Yang Ou,Zhe Shen,Enfu Xue,Yuhong Pan,Vincent Carbonnier,Gautier Stoll,Sabrina Forveille,Marion Leduc,Giulia Cerrato,Alexandra Cerone,Maria Chiara Maiuri,Frederic Castinetti,Thierry Brue,Hongsheng Wang,Yuting Ma,Isabelle Martins,Oliver Kepp,Guido Kroemer

Molecular cancer 23:187 PubMed39242519

2024

Acyl-coenzyme a binding protein (ACBP) - a risk factor for cancer diagnosis and an inhibitor of immunosurveillance.

Applications

Unspecified application

Species

Unspecified reactive species

Léa Montégut,Peng Liu,Liwei Zhao,María Pérez-Lanzón,Hui Chen,Misha Mao,Shuai Zhang,Lisa Derosa,Julie Le Naour,Flavia Lambertucci,Silvia Mingoia,Uxía Nogueira-Recalde,Rafael Mena-Osuna,Irene Herranz-Montoya,Nabil Djouder,Sylvain Baulande,Hui Pan,Adrien Joseph,Meriem Messaoudene,Bertrand Routy,Marine Fidelle,Tarek Ben Ahmed,Olivier Caron,Pierre Busson,David Boulate,Mélanie Deschasaux-Tanguy,Nathalie Arnault,Jonathan G Pol,Eliane Piaggio,Mathilde Touvier,Laurence Zitvogel,Suzette Delaloge,Isabelle Martins,Guido Kroemer

Cell death & disease 15:249 PubMed38582872

2024

Inhibition of acyl-CoA binding protein (ACBP) by means of a GABARγ2-derived peptide.

Applications

Unspecified application

Species

Unspecified reactive species

Gerasimos Anagnostopoulos,Ester Saavedra,Flavia Lambertucci,Omar Motiño,Jordan Dimitrov,David Roiz-Valle,Victor Quesada,Karla Alvarez-Valadez,Hui Chen,Allan Sauvat,Yan Rong,Uxía Nogueira-Recalde,Sijing Li,Léa Montégut,Mojgan Djavaheri-Mergny,Maria Castedo,Carlos Lopez-Otin,Maria Chiara Maiuri,Isabelle Martins,Guido Kroemer

Cell death & disease 13:356 PubMed35436993

2022

An obesogenic feedforward loop involving PPARγ, acyl-CoA binding protein and GABA receptor.

Applications

Unspecified application

Species

Unspecified reactive species

Gerasimos Anagnostopoulos,Omar Motiño,Sijing Li,Vincent Carbonnier,Hui Chen,Valentina Sica,Sylvère Durand,Mélanie Bourgin,Fanny Aprahamian,Nitharsshini Nirmalathasan,Romain Donne,Chantal Desdouets,Marcelo Simon Sola,Konstantina Kotta,Léa Montégut,Flavia Lambertucci,Didier Surdez,Grossetête Sandrine,Olivier Delattre,Maria Chiara Maiuri,José Manuel Bravo-San Pedro,Isabelle Martins,Guido Kroemer

STAR protocols 3:101095 PubMed35059656

2022

Immunization of mice with the self-peptide ACBP coupled to keyhole limpet hemocyanin.

Applications

Unspecified application

Species

Unspecified reactive species

Léa Montégut,Hui Chen,José Manuel Bravo-San Pedro,Omar Motiño,Isabelle Martins,Guido Kroemer

Cell death & disease 12:599 PubMed34108446

2021

Effects of acyl-coenzyme A binding protein (ACBP)/diazepam-binding inhibitor (DBI) on body mass index.

Applications

Unspecified application

Species

Unspecified reactive species

Adrien Joseph,Hui Chen,Gerasimos Anagnostopoulos,Léa Montégut,Antoine Lafarge,Omar Motiño,Maria Castedo,Maria Chiara Maiuri,Karine Clément,Safae Terrisse,Anne Laure Martin,Ines Vaz-Luis,Fabrice Andre,Franziska Grundler,Françoise Wilhelmi de Toledo,Frank Madeo,Laurence Zitvogel,François Goldwasser,Benoit Blanchet,Frédéric Fumeron,Ronan Roussel,Isabelle Martins,Guido Kroemer

Lipids 55:309-327 PubMed32314395

2020

High Glucose and Liver Fatty Acid Binding Protein Gene Ablation Differentially Impact Whole Body and Liver Phenotype in High-Fat Pair-Fed Mice.

Applications

Unspecified application

Species

Unspecified reactive species

Gregory G Martin,Danilo Landrock,Avery L McIntosh,Sherrelle Milligan,Kerstin K Landrock,Ann B Kier,John Mackie,Friedhelm Schroeder

Cell metabolism 30:754-767.e9 PubMed31422903

2019

Acyl-CoA-Binding Protein Is a Lipogenic Factor that Triggers Food Intake and Obesity.

Applications

Unspecified application

Species

Unspecified reactive species

José M Bravo-San Pedro,Valentina Sica,Isabelle Martins,Jonathan Pol,Friedemann Loos,Maria Chiara Maiuri,Sylvère Durand,Noélie Bossut,Fanny Aprahamian,Gerasimos Anagnostopoulos,Mireia Niso-Santano,Fernando Aranda,Ignacio Ramírez-Pardo,Justine Lallement,Jessica Denom,Erwan Boedec,Philip Gorwood,Nicolas Ramoz,Karine Clément,Veronique Pelloux,Alili Rohia,François Pattou,Violeta Raverdy,Robert Caiazzo,Raphaël G P Denis,Patricia Boya,Lorenzo Galluzzi,Frank Madeo,Stéphanie Migrenne-Li,Céline Cruciani-Guglielmacci,Nektarios Tavernarakis,Carlos López-Otín,Christophe Magnan,Guido Kroemer
View all publications

Product promise

We are committed to supporting your work with high-quality reagents, and we're here for you every step of the way. In the unlikely event that one of our products does not perform as expected, you're protected by our Product Promise.
For full details, please see our Terms & Conditions

Please note: All products are 'FOR RESEARCH USE ONLY. NOT FOR USE IN DIAGNOSTIC OR THERAPEUTIC PROCEDURES'.

For licensing inquiries, please contact partnerships@abcam.com