JavaScript is disabled in your browser. Please enable JavaScript to view this website.
AB245207

Anti-DC-SIGN + DC-SIGNR antibody [EPR22395-72] - BSA and Azide free

Be the first to review this product! Submit a review

|

(1 Publication)

Rabbit Recombinant Monoclonal DC-SIGN antibody. Carrier free. Suitable for IP, Flow Cyt, ICC/IF, IHC-P, WB and reacts with Human, Recombinant fragment - Human samples. Cited in 1 publication.

View Alternative Names

CD209, CLEC4L, CD209 antigen, C-type lectin domain family 4 member L, Dendritic cell-specific ICAM-3-grabbing non-integrin 1, DC-SIGN, DC-SIGN1

6 Images
Immunohistochemistry (Formalin/PFA-fixed paraffin-embedded sections) - Anti-DC-SIGN + DC-SIGNR antibody [EPR22395-72] - BSA and Azide free (AB245207)
  • IHC-P

Unknown

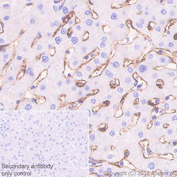
Immunohistochemistry (Formalin/PFA-fixed paraffin-embedded sections) - Anti-DC-SIGN + DC-SIGNR antibody [EPR22395-72] - BSA and Azide free (AB245207)

Immunohistochemical analysis of paraffin-embedded human liver tissue labeling DC-SIGN + DC-SIGNR with ab245115 at 1/100 dilution, followed by a ready to use Goat Anti-Rabbit IgG H&L (HRP) secondary antibody. Cytoplasmic staining on sinusoidal endothelial cells of human liver (PMID : 16816373) is observed. Counterstained with hematoxylin.

Secondary antibody only control : Used PBS instead of primary antibody, secondary antibody is a ready to use Goat Anti-Rabbit IgG H&L (HRP).

This data was developed using the same antibody clone in a different buffer formulation containing PBS, BSA, glycerol, and sodium azide (ab245115).

Perform heat mediated antigen retrieval with EDTA buffer pH 9 before commencing with IHC staining protocol.

Immunocytochemistry/ Immunofluorescence - Anti-DC-SIGN + DC-SIGNR antibody [EPR22395-72] - BSA and Azide free (AB245207)
  • ICC/IF

Unknown

Immunocytochemistry/ Immunofluorescence - Anti-DC-SIGN + DC-SIGNR antibody [EPR22395-72] - BSA and Azide free (AB245207)

Immunofluorescent analysis of 4% paraformaldehyde-fixed, 0.1% Triton X-100 permeabilized THP-1 (human monocytic leukemia cell line) cells labeling DC-SIGN + DC-SIGNR with ab245115 at 1/100 dilution, followed by a AlexaFluor®488 Goat anti-Rabbit secondary (ab150077) seconday antibody (green) at 1/1000 dilution.

Confocal image showing cytoplasmic and membranous staining in THP-1 cells treated with 10 ng/ml PMA for 18 hours, then serum starved for 8 hours, then 10 ng/ml PMA for 6 hours and add 1000 U IL4 for 2 hours, then add 10% serum for another 22 hours. DC-SIGN expression is induced by PMA plus IL4 in THP-1(PMID : 15070901; PMID : 22675249). DC-SIGNR/CD299 expression is induced by PMA in THP-1 (PMID 30077333). Tubulin was stained using an Anti-alpha Tubulin antibody [DM1A] - Microtubule Marker (Alexa Fluor® 594) (ab195889)(red) at 1/200 dilution. The nuclear counterstain was DAPI (Blue).

Secondary antibody only control : Used PBS instead of primary antibody, secondary antibody is AlexaFluor®488 Goat anti-Rabbit secondary (ab150077) at 1/1000 dilution.

This data was developed using the same antibody clone in a different buffer formulation containing PBS, BSA, glycerol, and sodium azide (ab245115).

Immunohistochemistry (Formalin/PFA-fixed paraffin-embedded sections) - Anti-DC-SIGN + DC-SIGNR antibody [EPR22395-72] - BSA and Azide free (AB245207)
  • IHC-P

Unknown

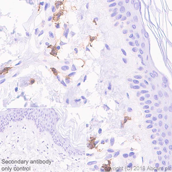
Immunohistochemistry (Formalin/PFA-fixed paraffin-embedded sections) - Anti-DC-SIGN + DC-SIGNR antibody [EPR22395-72] - BSA and Azide free (AB245207)

Immunohistochemical analysis of paraffin-embedded human skin tissue labeling DC-SIGN + DC-SIGNR with ab245115 at 1/1000 dilution, followed by a ready to use Goat Anti-Rabbit IgG H&L (HRP) secondary antibody. Cytoplasmic staining on dendritic cell-like cells of human skin (PMID : 11859097; PMID : 11859097) is observed. Counterstained with hematoxylin.

Secondary antibody only control : Used PBS instead of primary antibody, secondary antibody is a ready to use Goat Anti-Rabbit IgG H&L (HRP).

This data was developed using the same antibody clone in a different buffer formulation containing PBS, BSA, glycerol, and sodium azide (ab245115).

Perform heat mediated antigen retrieval with EDTA buffer pH 9 before commencing with IHC staining protocol.

Immunohistochemistry (Formalin/PFA-fixed paraffin-embedded sections) - Anti-DC-SIGN + DC-SIGNR antibody [EPR22395-72] - BSA and Azide free (AB245207)
  • IHC-P

Unknown

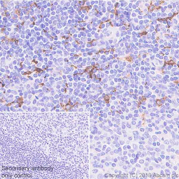
Immunohistochemistry (Formalin/PFA-fixed paraffin-embedded sections) - Anti-DC-SIGN + DC-SIGNR antibody [EPR22395-72] - BSA and Azide free (AB245207)

Immunohistochemical analysis of paraffin-embedded human tonsil tissue labeling DC-SIGN + DC-SIGNR with ab245115 at 1/100 dilution, followed by a ready to use Goat Anti-Rabbit IgG H&L (HRP) secondary antibody. Cytoplasmic staining on dendritic cell-like cells of human tonsil (PMID : 11859097) is observed. Counterstained with hematoxylin.

Secondary antibody only control : Used PBS instead of primary antibody, secondary antibody is a ready to use Goat Anti-Rabbit IgG H&L (HRP).

This data was developed using the same antibody clone in a different buffer formulation containing PBS, BSA, glycerol, and sodium azide (ab245115).

Perform heat mediated antigen retrieval with EDTA buffer pH 9 before commencing with IHC staining protocol.

Flow Cytometry - Anti-DC-SIGN + DC-SIGNR antibody [EPR22395-72] - BSA and Azide free (AB245207)
  • Flow Cyt

Unknown

Flow Cytometry - Anti-DC-SIGN + DC-SIGNR antibody [EPR22395-72] - BSA and Azide free (AB245207)

Flow cytometric analysis of 4% paraformaldehyde-fixed THP-1 (human monocytic leukemia cell line) cells treated with 10 ng/ml PMA for 18 hours, then serum starved for 8 hours, then 10 ng/ml PMA for 6 hours and add 1000 U IL4 for 2 hours, then add 10% serum for another 22 hours. DC-SIGN+DC-SIGNR was stained in treated (red) and untreated (green) cells using ab245115 at 1/600 dilution as compared to a Rabbit monoclonal IgG (ab172730, black) isotype control and an unlabeled control (cells without incubation with primary antibody and secondary antibody / blue). The secondary antibody was a Goat anti rabbit IgG (Dylight ® 488, ab98462) used at 1/2000 dilution. Gated on viable cells. DC-SIGN expression is induced by PMA plus IL4 in THP-1 (PMID : 15070901; PMID : 22675249). DC-SIGNR/CD299 expression is induced by PMA in THP-1 (PMID 30077333).

This data was developed using the same antibody clone in a different buffer formulation containing PBS, BSA, glycerol, and sodium azide (ab245115).

Immunoprecipitation - Anti-DC-SIGN + DC-SIGNR antibody [EPR22395-72] - BSA and Azide free (AB245207)
  • IP

Unknown

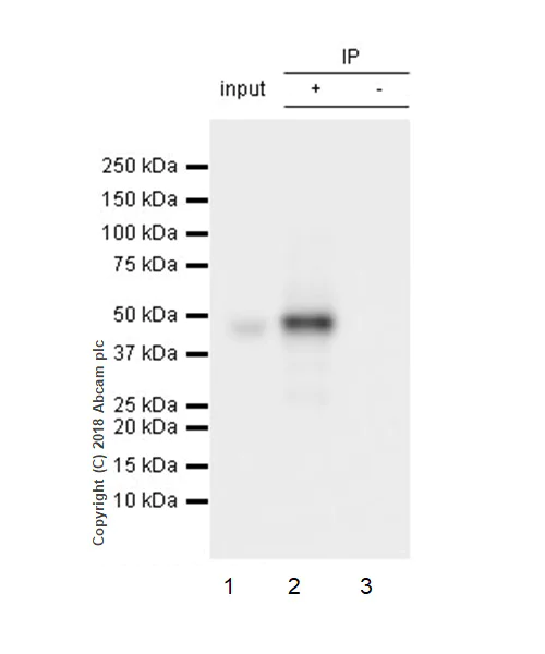
Immunoprecipitation - Anti-DC-SIGN + DC-SIGNR antibody [EPR22395-72] - BSA and Azide free (AB245207)

DC-SIGN+DC-SIGNR was immunoprecipitated from 0.35 mg human tonsil tissue lysate using ab245115 at 1/30 dilution. Western blot was performed on the immunoprecipitate using ab245115 at 1/1000 dilution. VeriBlot for IP Detection Reagent (HRP) (ab131366) was used for detection at 1/1000 dilution.

Lane 1 : Human tonsil tissue lysate 10 μg (input).
Lane 2 : ab245115 IP in Human tonsil tissue.
Lane 3 : Rabbit monoclonal IgG (ab172730) instead of ab245115 in Human tonsil lysate. (-).

Blocking and dilution buffer and concentration : 5% NFDM/TBST.
Exposure time : 1 second.

This data was developed using the same antibody clone in a different buffer formulation containing PBS, BSA, glycerol, and sodium azide (ab245115).

All lanes:

Immunoprecipitation - Anti-DC-SIGN + DC-SIGNR antibody [EPR22395-72] (<a href='/en-us/products/primary-antibodies/dc-sign-dc-signr-antibody-epr22395-72-ab245115'>ab245115</a>)

Observed band size: 44 kDa

false

  • Unconjugated

    Anti-DC-SIGN + DC-SIGNR antibody [EPR22395-72]

Key facts

Host species

Rabbit

Clonality

Monoclonal

Clone number

EPR22395-72

Isotype

IgG

Carrier free

Yes

Reacts with

Human

Applications

IHC-P, ICC/IF, WB, Flow Cyt, IP

applications

Immunogen

The exact immunogen used to generate this antibody is proprietary information.

Reactivity data

{ "title": "Reactivity Data", "filters": { "stats": ["", "Species", "Dilution Info", "Notes"], "tabs": { "all-applications": {"fullname" : "All Applications", "shortname": "All Applications"}, "IP" : {"fullname" : "Immunoprecipitation", "shortname":"IP"}, "FlowCyt" : {"fullname" : "Flow Cytometry", "shortname":"Flow Cyt"}, "ICCIF" : {"fullname" : "Immunocytochemistry/ Immunofluorescence", "shortname":"ICC/IF"}, "IHCP" : {"fullname" : "Immunohistochemistry (Formalin/PFA-fixed paraffin-embedded sections)", "shortname":"IHC-P"}, "WB" : {"fullname" : "Western blot", "shortname":"WB"} }, "product-promise": { "all": "all", "testedAndGuaranteed": "tested", "guaranteed": "expected", "predicted": "predicted", "notRecommended": "not-recommended" } }, "values": { "Human": { "IP-species-checked": "testedAndGuaranteed", "IP-species-dilution-info": "", "IP-species-notes": "<p></p>", "FlowCyt-species-checked": "testedAndGuaranteed", "FlowCyt-species-dilution-info": "", "FlowCyt-species-notes": "<p></p>", "ICCIF-species-checked": "testedAndGuaranteed", "ICCIF-species-dilution-info": "", "ICCIF-species-notes": "<p></p>", "IHCP-species-checked": "testedAndGuaranteed", "IHCP-species-dilution-info": "", "IHCP-species-notes": "<p></p>", "WB-species-checked": "testedAndGuaranteed", "WB-species-dilution-info": "", "WB-species-notes": "<p></p>" }, "Recombinant fragment - Human": { "IP-species-checked": "notRecommended", "IP-species-dilution-info": "", "IP-species-notes": "", "FlowCyt-species-checked": "notRecommended", "FlowCyt-species-dilution-info": "", "FlowCyt-species-notes": "", "ICCIF-species-checked": "notRecommended", "ICCIF-species-dilution-info": "", "ICCIF-species-notes": "", "IHCP-species-checked": "notRecommended", "IHCP-species-dilution-info": "", "IHCP-species-notes": "", "WB-species-checked": "testedAndGuaranteed", "WB-species-dilution-info": "", "WB-species-notes": "<p></p>" } } }

Product details

ab245207 is the carrier-free version of ab245115.

Patented technology
Our RabMAb® technology is a patented hybridoma-based technology for making rabbit monoclonal antibodies. For details on our patents, please refer to RabMAb® patents.

What are the advantages of a recombinant monoclonal antibody?
This product is a recombinant monoclonal antibody, which offers several advantages including:

  • - High batch-to-batch consistency and reproducibility
  • - Improved sensitivity and specificity
  • - Long-term security of supply
  • - Animal-free batch production

For more information, read more on recombinant antibodies.

Conjugation ready
Our carrier-free antibodies are typically supplied in a PBS-only formulation, purified and free of BSA, sodium azide and glycerol. This conjugation-ready format is designed for use with fluorochromes, metal isotopes, oligonucleotides, and enzymes, which makes them ideal for antibody labelling, functional and cell-based assays, flow-based assays (e.g. mass cytometry) and Multiplex Imaging applications.

Use our conjugation kits for antibody conjugates that are ready-to-use in as little as 20 minutes with 1 minute hands-on-time and 100% antibody recovery: available for fluorescent dyes, HRP, biotin and gold.

Compatibility
This product is compatible with the Maxpar® Antibody Labeling Kit from Fluidigm, without the need for antibody preparation. Maxpar® is a trademark of Fluidigm Canada Inc.

Properties and storage information

Form
Liquid
Purification technique
Affinity purification Protein A
Storage buffer
pH: 7.2 - 7.4 Constituents: PBS
Shipped at conditions
Blue Ice
Appropriate short-term storage conditions
+4°C
Appropriate long-term storage conditions
+4°C
Storage information
Do Not Freeze

Product protocols

For this product, it's our understanding that no specific protocols are required. You can visit:

Target data

Pathogen-recognition receptor expressed on the surface of immature dendritic cells (DCs) and involved in initiation of primary immune response. Thought to mediate the endocytosis of pathogens which are subsequently degraded in lysosomal compartments. The receptor returns to the cell membrane surface and the pathogen-derived antigens are presented to resting T-cells via MHC class II proteins to initiate the adaptive immune response.. On DCs it is a high affinity receptor for ICAM2 and ICAM3 by binding to mannose-like carbohydrates. May act as a DC rolling receptor that mediates transendothelial migration of DC presursors from blood to tissues by binding endothelial ICAM2. Seems to regulate DC-induced T-cell proliferation by binding to ICAM3 on T-cells in the immunological synapse formed between DC and T-cells.. (Microbial infection) Acts as an attachment receptor for HIV-1 and HIV-2.. (Microbial infection) Acts as an attachment receptor for Ebolavirus.. (Microbial infection) Acts as an attachment receptor for Cytomegalovirus.. (Microbial infection) Acts as an attachment receptor for HCV.. (Microbial infection) Acts as an attachment receptor for Dengue virus.. (Microbial infection) Acts as an attachment receptor for Measles virus.. (Microbial infection) Acts as an attachment receptor for Herpes simplex virus 1.. (Microbial infection) Acts as an attachment receptor for Influenzavirus A.. (Microbial infection) Acts as an attachment receptor for SARS-CoV.. (Microbial infection) Acts as an attachment receptor for Japanese encephalitis virus.. (Microbial infection) Acts as an attachment receptor for Lassa virus (PubMed : 23966408). Acts as an attachment receptor for Marburg virusn.. (Microbial infection) Acts as an attachment receptor for Respiratory syncytial virus.. (Microbial infection) Acts as an attachment receptor for Rift valley fever virus and uukuniemi virus.. (Microbial infection) Acts as an attachment receptor for West-nile virus.. (Microbial infection) Probably recognizes in a calcium-dependent manner high mannose N-linked oligosaccharides in a variety of bacterial pathogen antigens, including Leishmania pifanoi LPG, Lewis-x antigen in Helicobacter pylori LPS, mannose in Klebsiella pneumonae LPS, di-mannose and tri-mannose in Mycobacterium tuberculosis ManLAM and Lewis-x antigen in Schistosoma mansoni SEA (PubMed : 16379498). Recognition of M.tuberculosis by dendritic cells occurs partially via this molecule (PubMed : 16092920, PubMed : 21203928).
See full target information CD209

Additional targets

CLEC4M

Publications (1)

Recent publications for all applications. Explore the full list and refine your search

ESC heart failure 11:1205-1217 PubMed38288506

2024

CircRbms1 fosters MST1 mRNA and protein levels to motivate myocardial ischaemia-reperfusion injury via autophagic status.

Applications

Unspecified application

Species

Unspecified reactive species

Qin Liu,Guorong Lai,Yanhui Hu,Fan Yang,Chao Zhang,Dongsheng Le,Fumou Deng,Xianliang Xing,Binquan Tang,Huanhuan Jie,Yingping Liang,Enjun Lei
View all publications

Product promise

We are committed to supporting your work with high-quality reagents, and we're here for you every step of the way. In the unlikely event that one of our products does not perform as expected, you're protected by our Product Promise.
For full details, please see our Terms & Conditions

Please note: All products are 'FOR RESEARCH USE ONLY. NOT FOR USE IN DIAGNOSTIC OR THERAPEUTIC PROCEDURES'.

For licensing inquiries, please contact partnerships@abcam.com