JavaScript is disabled in your browser. Please enable JavaScript to view this website.
AB195121

Anti-DCAF13 antibody [EPR18723]

Be the first to review this product! Submit a review

|

(5 Publications)

Rabbit Recombinant Monoclonal DCA13 antibody. Suitable for IP, WB, IHC-P and reacts with Mouse, Rat, Human samples. Cited in 5 publications.

View Alternative Names

WDSOF1, HSPC064, DCAF13, DDB1- and CUL4-associated factor 13, WD repeat and SOF domain-containing protein 1

7 Images
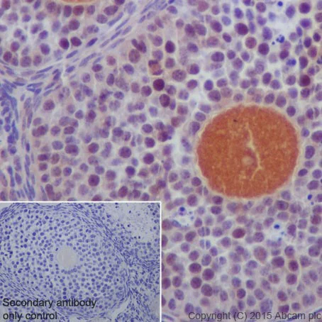
Immunohistochemistry (Formalin/PFA-fixed paraffin-embedded sections) - Anti-DCAF13 antibody [EPR18723] (AB195121)
  • IHC-P

Supplier Data

Immunohistochemistry (Formalin/PFA-fixed paraffin-embedded sections) - Anti-DCAF13 antibody [EPR18723] (AB195121)

Immunohistochemical analysis of paraffin-embedded mouse ovary tissue labeling DCAF13 with ab195121 at 1/50 dilution, followed by Goat Anti-Rabbit IgG H&L (HRP). Mainly nuclear staining on mouse ovary is observed. Counter stained with Hematoxylin.

Secondary antibody only control : Used PBS instead of primary antibody, secondary antibody is Goat Anti-Rabbit IgG H&L (HRP).

Perform heat mediated antigen retrieval with Tris/EDTA buffer pH 9.0 before commencing with IHC staining protocol.

Western blot - Anti-DCAF13 antibody [EPR18723] (AB195121)
  • WB

Supplier Data

Western blot - Anti-DCAF13 antibody [EPR18723] (AB195121)

Blocking/Dilution buffer : 5% NFDM/TBST.

All lanes:

Western blot - Anti-DCAF13 antibody [EPR18723] (ab195121) at 1/1000 dilution

Lane 1:

HeLa (Human epithelial cell line from cervix adenocarcinoma) whole cell lysate at 20 µg

Lane 2:

293T (Human epithelial cell line from embryonic kidney) whole cell lysate at 20 µg

Secondary

All lanes:

Western blot - Goat Anti-Rabbit IgG H&L (HRP) (<a href='/en-us/products/secondary-antibodies/goat-rabbit-igg-h-l-hrp-ab97051'>ab97051</a>) at 1/100000 dilution

Predicted band size: 51 kDa

Observed band size: 49 kDa

false

Exposure time: 5s

Western blot - Anti-DCAF13 antibody [EPR18723] (AB195121)
  • WB

Supplier Data

Western blot - Anti-DCAF13 antibody [EPR18723] (AB195121)

Blocking/Dilution buffer : 5% NFDM/TBST.

All lanes:

Western blot - Anti-DCAF13 antibody [EPR18723] (ab195121) at 1/1000 dilution

Lane 1:

Human fetal liver lysate at 10 µg

Lane 2:

Human fetal heart lysate at 10 µg

Lane 3:

Human fetal kidney lysate at 10 µg

Secondary

All lanes:

Goat Anti-Rabbit IgG Peroxidase Conjugate, specific to the non-reduced form of IgG at 1/10000 dilution

Predicted band size: 51 kDa

Observed band size: 49 kDa

false

Exposure time: 1min

Western blot - Anti-DCAF13 antibody [EPR18723] (AB195121)
  • WB

Supplier Data

Western blot - Anti-DCAF13 antibody [EPR18723] (AB195121)

Blocking/Dilution buffer : 5% NFDM/TBST.

All lanes:

Western blot - Anti-DCAF13 antibody [EPR18723] (ab195121) at 1/1000 dilution

Lane 1:

C6 (Rat glial tumor cell line) whole cell lysate at 10 µg

Lane 2:

PC-12 (Rat adrenal gland pheochromocytoma cell line) whole cell lysate at 10 µg

Lane 3:

NIH/3T3 (Mouse embryonic fibroblast cell line) whole cell lysate at 10 µg

Lane 4:

Neuro-2a (Mouse neuroblastoma cell line) whole cell lysate at 10 µg

Lane 5:

F9 (Mouse embryonic testicular cancer cell line) whole cell lysate at 10 µg

Secondary

All lanes:

Western blot - Goat Anti-Rabbit IgG H&L (HRP) (<a href='/en-us/products/secondary-antibodies/goat-rabbit-igg-h-l-hrp-ab97051'>ab97051</a>) at 1/100000 dilution

Predicted band size: 51 kDa

Observed band size: 49 kDa

false

Exposure time: 5s

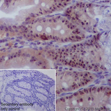
Immunohistochemistry (Formalin/PFA-fixed paraffin-embedded sections) - Anti-DCAF13 antibody [EPR18723] (AB195121)
  • IHC-P

Supplier Data

Immunohistochemistry (Formalin/PFA-fixed paraffin-embedded sections) - Anti-DCAF13 antibody [EPR18723] (AB195121)

Immunohistochemical analysis of paraffin-embedded mouse colon tissue labeling DCAF13 with ab195121 at 1/50 dilution, followed by Goat Anti-Rabbit IgG H&L (HRP). Nuclear/nucleolus staining with additional cytoplasm staining on mouse colon is observed. Counter stained with Hematoxylin.

Secondary antibody only control : Used PBS instead of primary antibody, secondary antibody is Goat Anti-Rabbit IgG H&L (HRP).

Perform heat mediated antigen retrieval with Tris/EDTA buffer pH 9.0 before commencing with IHC staining protocol.

Immunoprecipitation - Anti-DCAF13 antibody [EPR18723] (AB195121)
  • IP

Supplier Data

Immunoprecipitation - Anti-DCAF13 antibody [EPR18723] (AB195121)

DCAF13 was immunoprecipitated from 1mg of NIH/3T3 (Mouse embryonic fibroblast cell line) whole cell lysate with ab195121 at 1/50 dilution. Western blot was performed from the immunoprecipitate using ab195121 at 1/1000 dilution. VeriBlot for IP Detection Reagent (HRP) (ab131366), was used for detection at 1/10000 dilution.

Lane 1 : NIH/3T3 whole cell lysate, 10μg (Input).

Lane 2 : ab195121 IP in NIH/3T3 whole cell lysate.

Lane 3 : Rabbit IgG,monoclonal - Isotype Control (ab172730) instead of ab195121 in NIH/3T3 whole cell lysate.

Blocking and dilution buffer and concentration : 5% NFDM/TBST.

Exposure time : 1 second.

All lanes:

Immunoprecipitation - Anti-DCAF13 antibody [EPR18723] (ab195121)

Predicted band size: 51 kDa

false

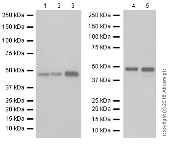
Western blot - Anti-DCAF13 antibody [EPR18723] (AB195121)
  • WB

Supplier Data

Western blot - Anti-DCAF13 antibody [EPR18723] (AB195121)

Blocking/Dilution buffer : 5% NFDM/TBST.

All lanes:

Western blot - Anti-DCAF13 antibody [EPR18723] (ab195121) at 1/1000 dilution

Lane 1:

Mouse kidney lysate at 10 µg

Lane 2:

Mouse spleen lysate at 10 µg

Lane 3:

Rat spleen lysate at 10 µg

Secondary

All lanes:

Western blot - Goat Anti-Rabbit IgG H&L (HRP) (<a href='/en-us/products/secondary-antibodies/goat-rabbit-igg-h-l-hrp-ab97051'>ab97051</a>) at 1/100000 dilution

Predicted band size: 51 kDa

Observed band size: 49 kDa

false

Exposure time: 5s

  • Carrier free

    Anti-DCAF13 antibody [EPR18723] - BSA and Azide free

  • 519 Alexa Fluor® 488

    Alexa Fluor® 488 Anti-DCAF13 antibody [EPR18723]

  • 665 Alexa Fluor® 647

    Alexa Fluor® 647 Anti-DCAF13 antibody [EPR18723]

  • 565 Alexa Fluor® 555

    Alexa Fluor® 555 Anti-DCAF13 antibody [EPR18723]

  • 578 PE

    PE Anti-DCAF13 antibody [EPR18723]

  • 617 Alexa Fluor® 594

    Alexa Fluor® 594 Anti-DCAF13 antibody [EPR18723]

  • 660 APC

    APC Anti-DCAF13 antibody [EPR18723]

  • 775 Alexa Fluor® 750

    Alexa Fluor® 750 Anti-DCAF13 antibody [EPR18723]

Key facts

Host species

Rabbit

Clonality

Monoclonal

Clone number

EPR18723

Isotype

IgG

Carrier free

No

Reacts with

Mouse, Rat, Human

Applications

WB, IP, IHC-P

applications

Immunogen

The exact immunogen used to generate this antibody is proprietary information.

Reactivity data

{ "title": "Reactivity Data", "filters": { "stats": ["", "Species", "Dilution Info", "Notes"], "tabs": { "all-applications": {"fullname" : "All Applications", "shortname": "All Applications"}, "IP" : {"fullname" : "Immunoprecipitation", "shortname":"IP"}, "WB" : {"fullname" : "Western blot", "shortname":"WB"}, "IHCP" : {"fullname" : "Immunohistochemistry (Formalin/PFA-fixed paraffin-embedded sections)", "shortname":"IHC-P"} }, "product-promise": { "all": "all", "testedAndGuaranteed": "tested", "guaranteed": "expected", "predicted": "predicted", "notRecommended": "not-recommended" } }, "values": { "Human": { "IP-species-checked": "guaranteed", "IP-species-dilution-info": "", "IP-species-notes": "", "WB-species-checked": "testedAndGuaranteed", "WB-species-dilution-info": "1/1000", "WB-species-notes": "<p></p>", "IHCP-species-checked": "guaranteed", "IHCP-species-dilution-info": "", "IHCP-species-notes": "" }, "Mouse": { "IP-species-checked": "testedAndGuaranteed", "IP-species-dilution-info": "1/50", "IP-species-notes": "<p></p>", "WB-species-checked": "testedAndGuaranteed", "WB-species-dilution-info": "1/1000", "WB-species-notes": "<p></p>", "IHCP-species-checked": "testedAndGuaranteed", "IHCP-species-dilution-info": "1/50", "IHCP-species-notes": "<p></p> Perform heat-mediated antigen retrieval with Tris/EDTA buffer pH 9.0 before commencing with IHC staining protocol." }, "Rat": { "IP-species-checked": "guaranteed", "IP-species-dilution-info": "", "IP-species-notes": "", "WB-species-checked": "testedAndGuaranteed", "WB-species-dilution-info": "1/1000", "WB-species-notes": "<p></p>", "IHCP-species-checked": "guaranteed", "IHCP-species-dilution-info": "", "IHCP-species-notes": "" } } }

Product details

Patented technology
Our RabMAb® technology is a patented hybridoma-based technology for making rabbit monoclonal antibodies. For details on our patents, please refer to RabMAb® patents.

What are the advantages of a recombinant monoclonal antibody?
This product is a recombinant monoclonal antibody, which offers several advantages including:

  • - High batch-to-batch consistency and reproducibility
  • - Improved sensitivity and specificity
  • - Long-term security of supply
  • - Animal-free batch production

For more information, read more on recombinant antibodies.

Properties and storage information

Form
Liquid
Purification technique
Affinity purification Protein A
Storage buffer
pH: 7.2 - 7.4 Preservative: 0.01% Sodium azide Constituents: 59% PBS, 40% Glycerol (glycerin, glycerine), 0.05% BSA
Shipped at conditions
Blue Ice
Appropriate short-term storage duration
1-2 weeks
Appropriate short-term storage conditions
+4°C
Appropriate long-term storage conditions
-20°C
Aliquoting information
Upon delivery aliquot
Storage information
Avoid freeze / thaw cycle

Product protocols

For this product, it's our understanding that no specific protocols are required. You can visit:

Target data

Part of the small subunit (SSU) processome, first precursor of the small eukaryotic ribosomal subunit. During the assembly of the SSU processome in the nucleolus, many ribosome biogenesis factors, an RNA chaperone and ribosomal proteins associate with the nascent pre-rRNA and work in concert to generate RNA folding, modifications, rearrangements and cleavage as well as targeted degradation of pre-ribosomal RNA by the RNA exosome (PubMed : 34516797). Participates in the 18S rRNA processing in growing oocytes, being essential for oocyte nonsurrounded nucleolus (NSN) to surrounded nucleolus (SN) transition (PubMed : 30283081).. Substrate-recognition component of a DCX (DDB1-CUL4-X-box) E3 ubiquitin-protein ligase complex that plays a key role in embryo preimplantation and is required for normal meiotic cycle progression in oocytes (PubMed : 16949367, PubMed : 30111536, PubMed : 31492966). Acts as a maternal factor that regulates oocyte and zygotic chromatin tightness during maternal to zygotic transition (By similarity). Also involved in the transformation of the endometrium into the decidua, known as decidualization, providing a solid foundation for implantation of blastocysts (PubMed : 35932979). Recognizes the histone methyltransferases SUV39H1 and SUV39H2 and directs them to polyubiquitination and proteasomal degradation, which facilitates the H3K9me3 removal and early zygotic gene expression, essential steps for progressive genome reprogramming and the establishment of pluripotency during preimplantation embryonic development (PubMed : 30111536). Supports the spindle assembly and chromosome condensation during oocyte meiotic division by targeting the polyubiquitination and degradation of PTEN, a lipid phosphatase that inhibits PI3K pathway as well as oocyte growth and maturation (PubMed : 31492966). Targets PMP22 for polyubiquitination and proteasomal degradation (By similarity).
See full target information DCAF13

Publications (5)

Recent publications for all applications. Explore the full list and refine your search

Experimental hematology & oncology 12:77 PubMed37679762

2023

CUL4B-DDB1-COP1-mediated UTX downregulation promotes colorectal cancer progression.

Applications

Unspecified application

Species

Unspecified reactive species

Dakui Luo,Min Chen,Qingguo Li,Kangjunjie Wang,Kaihua Wang,Junqiang Li,Guoxiang Fu,Zezhi Shan,Qi Liu,Yufei Yang,Lei Liang,Yanlei Ma,Yi Qin,Jun Qin,Daming Gao,Xinxiang Li

Nature communications 14:3762 PubMed37353483

2023

Targeting neddylation sensitizes colorectal cancer to topoisomerase I inhibitors by inactivating the DCAF13-CRL4 ubiquitin ligase complex.

Applications

Unspecified application

Species

Unspecified reactive species

Yilun Sun,Simone A Baechler,Xiaohu Zhang,Suresh Kumar,Valentina M Factor,Yasuhiro Arakawa,Cindy H Chau,Kanako Okamoto,Anup Parikh,Bob Walker,Yijun P Su,Jiji Chen,Tabitha Ting,Shar-Yin N Huang,Erin Beck,Zina Itkin,Crystal McKnight,Changqing Xie,Nitin Roper,Deepak Nijhawan,William Douglas Figg,Paul S Meltzer,James C Yang,Craig J Thomas,Yves Pommier

Cells 11: PubMed36359803

2022

Hypoxia-Regulated lncRNA USP2-AS1 Drives Head and Neck Squamous Cell Carcinoma Progression.

Applications

Unspecified application

Species

Unspecified reactive species

Jianmin Tang,Zheng Wu,Xiaohang Wang,Yanli Hou,Yongrui Bai,Ye Tian

Cell cycle (Georgetown, Tex.) 19:3622-3631 PubMed33300431

2020

DCAF13 promotes triple-negative breast cancer metastasis by mediating DTX3 mRNA degradation.

Applications

Unspecified application

Species

Unspecified reactive species

Jiazhe Liu,Hongchang Li,Anwei Mao,Jingfeng Lu,Weiyan Liu,Jingbo Qie,Gaofeng Pan

Tumour biology : the journal of the International Society for Oncodevelopmental Biology and Medicine 39:1010428317705753 PubMed28631558

2017

The overexpression and prognostic role of DCAF13 in hepatocellular carcinoma.

Applications

Unspecified application

Species

Unspecified reactive species

Jianzhong Cao,Pengjiao Hou,Jiemin Chen,Penghui Wang,Wenqin Wang,Wei Liu,Changzheng Liu,Xiaodong He
View all publications

Product promise

We are committed to supporting your work with high-quality reagents, and we're here for you every step of the way. In the unlikely event that one of our products does not perform as expected, you're protected by our Product Promise.
For full details, please see our Terms & Conditions

Please note: All products are 'FOR RESEARCH USE ONLY. NOT FOR USE IN DIAGNOSTIC OR THERAPEUTIC PROCEDURES'.

For licensing inquiries, please contact partnerships@abcam.com