JavaScript is disabled in your browser. Please enable JavaScript to view this website.
AB324489

Anti-DCAF15 antibody [EPR29653-542]

Be the first to review this product! Submit a review

|

(0 Publication)

Rabbit Recombinant Monoclonal DCA15 antibody. Suitable for WB and reacts with Human samples.

View Alternative Names

C19orf72, DCAF15, DDB1- and CUL4-associated factor 15

3 Images
Western blot - Anti-DCAF15 antibody [EPR29653-542] (AB324489)
  • WB

Supplier Data

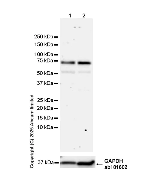
Western blot - Anti-DCAF15 antibody [EPR29653-542] (AB324489)

Blocking and diluting buffer and concentration : 5% NFDM/TBST.

To minimize protein degradation, cells were lysed immediately after harvest and then applied to a gel and transfer membrane for Western blotting as soon as possible.

The identity of the lower MW band at approximately 50 kDa is unknown.

In Western blot, Anti-GAPDH antibody [EPR16891] - Loading Control (ab181602) staining at 1/200000 dilution.

All lanes:

Western blot - Anti-DCAF15 antibody [EPR29653-542] (ab324489) at 1/1000 dilution

Lane 1:

U-87 MG (human glioblastoma-astrocytoma epithelial cell) whole cell lysate at 20 µg

Lane 2:

SH-SY5Y (human neuroblastoma epithelial cell) whole cell lysate at 20 µg

Secondary

All lanes:

Western blot - Goat Anti-Rabbit IgG H&L (HRP) (<a href='/en-us/products/secondary-antibodies/goat-rabbit-igg-h-l-hrp-ab97051'>ab97051</a>) at 1/20000 dilution

Observed band size: 75 kDa,36 kDa

false

Exposure time: 180s

Western blot - Anti-DCAF15 antibody [EPR29653-542] (AB324489)
  • WB

Supplier Data

Western blot - Anti-DCAF15 antibody [EPR29653-542] (AB324489)

Blocking and diluting buffer and concentration : 5% NFDM/TBST.

To minimize protein degradation, cells were lysed immediately after harvest and then applied to a gel and transfer membrane for Western blotting as soon as possible.

In Western blot, Anti-GAPDH antibody [EPR16891] - Loading Control (ab181602) staining at 1/200000 dilution.

All lanes:

Western blot - Anti-DCAF15 antibody [EPR29653-542] (ab324489) at 1/1000 dilution

Lane 1:

HeLa (human cervical adenocarcinoma epithelial cell) transfected with scrambled siRNA control whole cell lysate at 50 µg

Lane 2:

HeLa transfected with siRNA specifically targeting DCAF15 whole cell lysate at 50 µg

Secondary

All lanes:

Goat Anti-Rabbit IgG (HRP) with minimal cross-reactivity with human IgG at 1/2000 dilution

Observed band size: 75 kDa,36 kDa

false

Exposure time: 103s

Western blot - Anti-DCAF15 antibody [EPR29653-542] (AB324489)
  • WB

Supplier Data

Western blot - Anti-DCAF15 antibody [EPR29653-542] (AB324489)

Blocking and diluting buffer and concentration : 5% NFDM/TBST.

In Western blot, Anti-GAPDH antibody [EPR16891] - Loading Control (ab181602) staining at 1/200000 dilution.

All lanes:

Western blot - Anti-DCAF15 antibody [EPR29653-542] (ab324489) at 1/1000 dilution

All lanes:

PC-3 (human prostate adenocarcinoma epithelial cell) whole cell lysate at 40 µg

Secondary

All lanes:

Western blot - Goat Anti-Rabbit IgG H&L (HRP) (<a href='/en-us/products/secondary-antibodies/goat-rabbit-igg-h-l-hrp-ab97051'>ab97051</a>) at 1/20000 dilution

Observed band size: 75 kDa,36 kDa

false

Exposure time: 180s

Key facts

Host species

Rabbit

Clonality

Monoclonal

Clone number

EPR29653-542

Isotype

IgG

Carrier free

No

Reacts with

Human

Applications

WB

applications

Immunogen

The exact immunogen used to generate this antibody is proprietary information.

Reactivity data

{ "title": "Reactivity Data", "filters": { "stats": ["", "Species", "Dilution Info", "Notes"], "tabs": { "all-applications": {"fullname" : "All Applications", "shortname": "All Applications"}, "WB" : {"fullname" : "Western blot", "shortname":"WB"}, "ICCIF" : {"fullname" : "Immunocytochemistry/ Immunofluorescence", "shortname":"ICC/IF"}, "IHCP" : {"fullname" : "Immunohistochemistry (Formalin/PFA-fixed paraffin-embedded sections)", "shortname":"IHC-P"} }, "product-promise": { "all": "all", "testedAndGuaranteed": "tested", "guaranteed": "expected", "predicted": "predicted", "notRecommended": "not-recommended" } }, "values": { "Human": { "WB-species-checked": "testedAndGuaranteed", "WB-species-dilution-info": "1/1000", "WB-species-notes": "<p></p>", "ICCIF-species-checked": "notRecommended", "ICCIF-species-dilution-info": "", "ICCIF-species-notes": "<p></p>", "IHCP-species-checked": "notRecommended", "IHCP-species-dilution-info": "", "IHCP-species-notes": "<p></p>" }, "Mouse": { "WB-species-checked": "notRecommended", "WB-species-dilution-info": "", "WB-species-notes": "<p></p>", "ICCIF-species-checked": "notRecommended", "ICCIF-species-dilution-info": "", "ICCIF-species-notes": "<p></p>", "IHCP-species-checked": "notRecommended", "IHCP-species-dilution-info": "", "IHCP-species-notes": "<p></p>" } } }

Product details

Patented technology
Our RabMAb® technology is a patented hybridoma-based technology for making rabbit monoclonal antibodies. For details on our patents, please refer to RabMAb® patents.

What are the advantages of a recombinant monoclonal antibody?
This product is a recombinant monoclonal antibody, which offers several advantages including:

  • - High batch-to-batch consistency and reproducibility
  • - Improved sensitivity and specificity
  • - Long-term security of supply
  • - Animal-free batch production

For more information, read more on recombinant antibodies.

Properties and storage information

Form
Liquid
Purification technique
Affinity purification Protein A
Storage buffer
pH: 7.2 - 7.4 Preservative: 0.01% Sodium azide Constituents: PBS, 40% Glycerol (glycerin, glycerine), 0.05% BSA
Shipped at conditions
Blue Ice
Appropriate short-term storage duration
1-2 weeks
Appropriate short-term storage conditions
+4°C
Appropriate long-term storage conditions
-20°C
Aliquoting information
Upon delivery aliquot
Storage information
Avoid freeze / thaw cycle

Product protocols

For this product, it's our understanding that no specific protocols are required. You can visit:

Target data

Substrate-recognition component of the DCX(DCAF15) complex, a cullin-4-RING E3 ubiquitin-protein ligase complex that mediates ubiquitination and degradation of target proteins (PubMed : 16949367, PubMed : 31452512). The DCX(DCAF15) complex acts as a regulator of the natural killer (NK) cells effector functions, possibly by mediating ubiquitination and degradation of cohesin subunits SMC1A and SMC3 (PubMed : 31452512). May play a role in the activation of antigen-presenting cells (APC) and their interaction with NK cells (PubMed : 31452512).. Binding of aryl sulfonamide anticancer drugs, such as indisulam (E7070) or E7820, change the substrate specificity of the DCX(DCAF15) complex, leading to promote ubiquitination and degradation of splicing factor RBM39 (PubMed : 28302793, PubMed : 28437394, PubMed : 31452512, PubMed : 31693891). RBM39 degradation results in splicing defects and death in cancer cell lines (PubMed : 28302793, PubMed : 28437394, PubMed : 31693891). Aryl sulfonamide anticancer drugs change the substrate specificity of DCAF15 by acting as a molecular glue that promotes binding between DCAF15 and weak affinity interactor RBM39 (PubMed : 31686031, PubMed : 31819272). Aryl sulfonamide anticancer drugs also promote ubiquitination and degradation of RBM23 and PRPF39 (PubMed : 31626998, PubMed : 31686031, PubMed : 31693891).
See full target information DCAF15

Product promise

We are committed to supporting your work with high-quality reagents, and we're here for you every step of the way. In the unlikely event that one of our products does not perform as expected, you're protected by our Product Promise.
For full details, please see our Terms & Conditions

Please note: All products are 'FOR RESEARCH USE ONLY. NOT FOR USE IN DIAGNOSTIC OR THERAPEUTIC PROCEDURES'.

For licensing inquiries, please contact partnerships@abcam.com