JavaScript is disabled in your browser. Please enable JavaScript to view this website.
AB109029

Anti-DCAMKL1 antibody [EPR6085]

  • BOND RX™ Validated
  • RabMAb
  • Recombinant
  • KO Validated
  • 20ul selling size
  • What is this?

5

(5 Reviews)

|

(20 Publications)

Anti-DCAMKL1 antibody [EPR6085] (ab109029) is a rabbit monoclonal antibody detecting DCAMKL1 in Western Blot, IHC-P. Suitable for Human, Mouse, Rat.

- KO validated for confirmed specificity
- Biophysical QC for unrivalled batch-batch consistency
- Over 10 publications

View Alternative Names

DCAMKL1, DCDC3A, KIAA0369, DCLK1, Serine/threonine-protein kinase DCLK1, Doublecortin domain-containing protein 3A, Doublecortin-like and CAM kinase-like 1, Doublecortin-like kinase 1

5 Images
Immunohistochemistry (Formalin/PFA-fixed paraffin-embedded sections) - Anti-DCAMKL1 antibody [EPR6085] (AB109029)
  • IHC-P

Lab

Immunohistochemistry (Formalin/PFA-fixed paraffin-embedded sections) - Anti-DCAMKL1 antibody [EPR6085] (AB109029)

Immunohistochemical analysis of Paraffin-embedded sections rat colon tissue labelling DCAMKL1 with ab109029 at 1/4000 dilution, followed by a ready to use secondary Rabbit specific IHC polymer detection kit HRP/DAB (ab209101). Staining on rat colon tissue is observed. Counter stained with Haematoxylin. Secondary antibody only control : Used PBS instead of primary antibody, secondary antibody is ready to use Rabbit specific IHC polymer detection kit HRP/DAB (ab209101). Heat mediated antigen retrieval using Bond™ Epitope Retrieval Solution 2 (pH 9.0) The immunostaining was performed on a Leica Biosystems BOND® RX instrument.

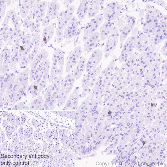
Immunohistochemistry (Formalin/PFA-fixed paraffin-embedded sections) - Anti-DCAMKL1 antibody [EPR6085] (AB109029)
  • IHC-P

Lab

Immunohistochemistry (Formalin/PFA-fixed paraffin-embedded sections) - Anti-DCAMKL1 antibody [EPR6085] (AB109029)

Immunohistochemical analysis of Paraffin-embedded sections mouse stomach tissue labelling DCAMKL1 with ab109029 at 1/4000 dilution, followed by a ready to use secondary Rabbit specific IHC polymer detection kit HRP/DAB (ab209101). Staining on mouse stomach tissue is observed. Counter stained with Haematoxylin. Secondary antibody only control : Used PBS instead of primary antibody, secondary antibody is ready to use Rabbit specific IHC polymer detection kit HRP/DAB (ab209101). Heat mediated antigen retrieval using Bond™ Epitope Retrieval Solution 2 (pH 9.0) The immunostaining was performed on a Leica Biosystems BOND® RX instrument.

Western blot - Anti-DCAMKL1 antibody [EPR6085] (AB109029)
  • WB

Lab

Western blot - Anti-DCAMKL1 antibody [EPR6085] (AB109029)

Blocking and diluting buffer and concentration : 5% NFDM/TBST. The antibody recognizes isoforms of AL, AS, BS and BL.

All lanes:

Western blot - Anti-DCAMKL1 antibody [EPR6085] (ab109029) at 1/5000 dilution

All lanes:

SH-SY5Y (Human neuroblastoma epithelial cell) whole cell lysate at 20 µg

Secondary

All lanes:

Western blot - Goat Anti-Rabbit IgG H&L (HRP) (<a href='/en-us/products/secondary-antibodies/goat-rabbit-igg-h-l-hrp-ab97051'>ab97051</a>) at 1/20000 dilution

Predicted band size: 82 kDa

Observed band size: 82 kDa,47 kDa

false

Western blot - Anti-DCAMKL1 antibody [EPR6085] (AB109029)
  • WB

Lab

Western blot - Anti-DCAMKL1 antibody [EPR6085] (AB109029)

Blocking and diluting buffer and concentration : 5% NFDM/TBST. ab181602 was used as GAPDH loading control. This antibody recognizes isoforms of AL, AS, BS and BL.

All lanes:

Western blot - Anti-DCAMKL1 antibody [EPR6085] (ab109029) at 1/5000 dilution

Lane 1:

Mouse brain lysate at 20 µg

Lane 2:

Rat brain lysate at 20 µg

Lane 3:

Mouse cerebllum lysate at 20 µg

Lane 4:

Rat cerebllum lysate at 20 µg

Lane 5:

Mouse colon lysate at 20 µg

Lane 6:

Rat colon lysate at 20 µg

Lane 7:

NIH/3T3 (Mouse embryonic fibroblast) whole cell lysate at 20 µg

Secondary

All lanes:

Western blot - Goat Anti-Rabbit IgG H&L (HRP) (<a href='/en-us/products/secondary-antibodies/goat-rabbit-igg-h-l-hrp-ab97051'>ab97051</a>) at 1/20000 dilution

Predicted band size: 82 kDa

Observed band size: 82 kDa,47 kDa

false

Western blot - Anti-DCAMKL1 antibody [EPR6085] (AB109029)
  • WB

Lab

Western blot - Anti-DCAMKL1 antibody [EPR6085] (AB109029)

Lane 1 : Wild-type HAP1 whole cell lysate (20 μg)
Lane 2 : Knockout HAP1 whole cell lysate (20 μg)
Lane 3 : DCLK1 (KO) whole cell lysate (20 μg)
Lane 4 : Empty whole cell lysate (20 μg)
Lane 5 : Hu brain whole cell lysate (20 μg)
Lanes 1 - 5 : Merged signal (red and green). Green - ab109029 observed at 90 kDa. Red - loading control, ab8245, observed at 37 kDa.

ab109029 was shown to specifically react with DCLK1 in wild-type HAP1 cells along with additional cross reactive bands. No bands were observed when knockout samples were used. Wild-type and knockout samples were subjected to SDS-PAGE. ab109029 and ab8245 (Mouse anti GAPDH loading control) were incubated overnight at 4°C at 1/1000 dilution and 1/10,000 dilution respectively. Blots were developed with Goat anti-Rabbit IgG H&L (IRDye® 800CW) preabsorbed (ab216773) and Goat anti-Mouse IgG H&L (IRDye® 680RD) preabsorbed (ab216776) secondary antibodies at 1/10,000 dilution for 1 hour at room temperature before imaging.

All lanes:

Western blot - Anti-DCAMKL1 antibody [EPR6085] (ab109029)

Predicted band size: 82 kDa

false

Key facts

Host species

Rabbit

Clonality

Monoclonal

Clone number

EPR6085

Isotype

IgG

Carrier free

No

Reacts with

Mouse, Rat, Human

Applications

WB, IHC-P

applications

Immunogen

The exact immunogen used to generate this antibody is proprietary information.

Specificity

The human recommendation is based on the WB results. We do not guarantee IHC-P for human.

Reactivity data

{ "title": "Reactivity Data", "filters": { "stats": ["", "Species", "Dilution Info", "Notes"], "tabs": { "all-applications": {"fullname" : "All Applications", "shortname": "All Applications"}, "IHCP" : {"fullname" : "Immunohistochemistry (Formalin/PFA-fixed paraffin-embedded sections)", "shortname":"IHC-P"}, "IP" : {"fullname" : "Immunoprecipitation", "shortname":"IP"}, "FlowCyt" : {"fullname" : "Flow Cytometry", "shortname":"Flow Cyt"}, "WB" : {"fullname" : "Western blot", "shortname":"WB"} }, "product-promise": { "all": "all", "testedAndGuaranteed": "tested", "guaranteed": "expected", "predicted": "predicted", "notRecommended": "not-recommended" } }, "values": { "Human": { "IHCP-species-checked": "guaranteed", "IHCP-species-dilution-info": "", "IHCP-species-notes": "", "IP-species-checked": "notRecommended", "IP-species-dilution-info": "", "IP-species-notes": "<p></p>", "FlowCyt-species-checked": "notRecommended", "FlowCyt-species-dilution-info": "", "FlowCyt-species-notes": "<p></p>", "WB-species-checked": "testedAndGuaranteed", "WB-species-dilution-info": "1/1000 - 1/10000", "WB-species-notes": "<p></p>" }, "Mouse": { "IHCP-species-checked": "testedAndGuaranteed", "IHCP-species-dilution-info": "1/50 - 1/100", "IHCP-species-notes": "<p>The human recommendation is based on the WB results. We do not guarantee IHC-P for human.</p> Perform heat-mediated antigen retrieval before commencing with IHC staining protocol.", "IP-species-checked": "notRecommended", "IP-species-dilution-info": "", "IP-species-notes": "<p></p>", "FlowCyt-species-checked": "notRecommended", "FlowCyt-species-dilution-info": "", "FlowCyt-species-notes": "<p></p>", "WB-species-checked": "testedAndGuaranteed", "WB-species-dilution-info": "1/1000 - 1/10000", "WB-species-notes": "<p></p>" }, "Rat": { "IHCP-species-checked": "testedAndGuaranteed", "IHCP-species-dilution-info": "1/50 - 1/100", "IHCP-species-notes": "<p>The human recommendation is based on the WB results. We do not guarantee IHC-P for human.</p> Perform heat-mediated antigen retrieval with Tris/EDTA buffer pH 9.0 before commencing with IHC staining protocol.", "IP-species-checked": "notRecommended", "IP-species-dilution-info": "", "IP-species-notes": "<p></p>", "FlowCyt-species-checked": "notRecommended", "FlowCyt-species-dilution-info": "", "FlowCyt-species-notes": "<p></p>", "WB-species-checked": "testedAndGuaranteed", "WB-species-dilution-info": "1/1000 - 1/10000", "WB-species-notes": "<p></p>" } } }

Product details

What is this antibody validated in?
Anti-DCAMKL1 antibody [EPR6085] (ab109029) is a rabbit recombinant monoclonal antibody and is validated for use in Western Blot (WB), Immunohistochemistry (IHC-P) in Human, Mouse, Rat samples.

What is the molecular weight of DCAMKL1?
Anti-DCAMKL1 [EPR6085] (ab109029) specifically detects a band for DCAMKL1 (UniProt: O15075) at a molecular weight of 82kDa.

Trusted by the scientific community
Anti-DCAMKL1 [EPR6085] (ab109029) was first used in a scientific publication in 2011 and has been cited over 10 times in peer-reviewed journals.

Reviewed by scientists
Anti-DCAMKL1 [EPR6085] (ab109029) has over 5 independent reviews from customers.

Trial sizes available!
Test your antibody or perform pre-screening before committing to a larger quantity. Sold in 10µl. Discover our selection of trial-size antibodies.

Specificity confirmed
The specificity of Anti-DCAMKL1 antibody [EPR6085] (ab109029) has been confirmed by Western blot testing in DCLK1 Knockout HAP1 cells.

Other related products
We have a range of other formats of antibody clone [EPR6085] also available for your convenience: ab109029, Carrier free - ab187184, Alexa Fluor® 488 - ab202754, Alexa Fluor® 647 - ab202755

Patented technology
Our RabMAb® technology is a patented hybridoma-based technology for making rabbit monoclonal antibodies. For details on our patents, please refer to RabMAb® patents.

What are the advantages of a recombinant monoclonal antibody?
This product is a recombinant monoclonal antibody, which offers several advantages including:

  • - High batch-to-batch consistency and reproducibility
  • - Improved sensitivity and specificity
  • - Long-term security of supply
  • - Animal-free batch production

For more information, read more on recombinant antibodies.

Properties and storage information

Form
Liquid
Purification technique
Affinity purification Protein A
Storage buffer
pH: 7.2 - 7.4 Preservative: 0.01% Sodium azide Constituents: PBS, 40% Glycerol (glycerin, glycerine), 0.05% BSA
Shipped at conditions
Blue Ice
Appropriate short-term storage conditions
+4°C
Appropriate long-term storage conditions
-20°C
Storage information
Stable for 12 months at -20°C

Product protocols

For this product, it's our understanding that no specific protocols are required. You can visit:

Target data

Probable kinase that may be involved in a calcium-signaling pathway controlling neuronal migration in the developing brain. May also participate in functions of the mature nervous system.
See full target information DCLK1

Publications (20)

Recent publications for all applications. Explore the full list and refine your search

Molecular medicine (Cambridge, Mass.) 31:157 PubMed40301757

2025

Exogenous TSG-6 treatment alleviates DSS-induced colitis in mice by modulating Pou2f3 and promoting tuft cells differentiation.

Applications

Unspecified application

Species

Unspecified reactive species

Shaopeng Yang,Yuqi Li,Rongwei Ruan,Jiangping Yu,Bo Zhu,Haibin Lou,Xiaolan Zhang,Shi Wang

Nature cell biology 27:202-217 PubMed39779942

2025

H3K36 methylation regulates cell plasticity and regeneration in the intestinal epithelium.

Applications

Unspecified application

Species

Unspecified reactive species

Alison R S Pashos,Anne R Meyer,Cameron Bussey-Sutton,Erin S O'Connor,Mariel Coradin,Marilyne Coulombe,Kent A Riemondy,Sanjana Potlapelly,Brian D Strahl,Gunnar C Hansson,Peter J Dempsey,Justin Brumbaugh

Developmental cell 58:2959-2973.e7 PubMed38056453

2023

A reversible epigenetic memory of inflammatory injury controls lineage plasticity and tumor initiation in the mouse pancreas.

Applications

Unspecified application

Species

Unspecified reactive species

David J Falvo,Adrien Grimont,Paul Zumbo,William B Fall,Julie L Yang,Alexa Osterhoudt,Grace Pan,Andre F Rendeiro,Yinuo Meng,John E Wilkinson,Friederike Dündar,Olivier Elemento,Rhonda K Yantiss,Erika Hissong,Richard Koche,Doron Betel,Rohit Chandwani

Communications biology 6:1183 PubMed37985874

2023

Elevated stress response marks deeply quiescent reserve cells of gastric chief cells.

Applications

Unspecified application

Species

Unspecified reactive species

Daisuke Shiokawa,Hiroaki Sakai,Miho Koizumi,Yoshie Okimoto,Yutaro Mori,Yusuke Kanda,Hirokazu Ohata,Hiroaki Honda,Koji Okamoto

Cell 184:6262-6280.e26 PubMed34910928

2021

Differential pre-malignant programs and microenvironment chart distinct paths to malignancy in human colorectal polyps.

Applications

Unspecified application

Species

Unspecified reactive species

Bob Chen,Cherie' R Scurrah,Eliot T McKinley,Alan J Simmons,Marisol A Ramirez-Solano,Xiangzhu Zhu,Nicholas O Markham,Cody N Heiser,Paige N Vega,Andrea Rolong,Hyeyon Kim,Quanhu Sheng,Julia L Drewes,Yuan Zhou,Austin N Southard-Smith,Yanwen Xu,James Ro,Angela L Jones,Frank Revetta,Lynne D Berry,Hiroaki Niitsu,Mirazul Islam,Karin Pelka,Matan Hofree,Jonathan H Chen,Siranush Sarkizova,Kimmie Ng,Marios Giannakis,Genevieve M Boland,Andrew J Aguirre,Ana C Anderson,Orit Rozenblatt-Rosen,Aviv Regev,Nir Hacohen,Kenta Kawasaki,Toshiro Sato,Jeremy A Goettel,William M Grady,Wei Zheng,M Kay Washington,Qiuyin Cai,Cynthia L Sears,James R Goldenring,Jeffrey L Franklin,Timothy Su,Won Jae Huh,Simon Vandekar,Joseph T Roland,Qi Liu,Robert J Coffey,Martha J Shrubsole,Ken S Lau

Cell death & disease 12:1138 PubMed34880209

2021

FDI-6 inhibits the expression and function of FOXM1 to sensitize BRCA-proficient triple-negative breast cancer cells to Olaparib by regulating cell cycle progression and DNA damage repair.

Applications

Unspecified application

Species

Unspecified reactive species

Shu-Ping Wang,Shi-Qi Wu,Shi-Hui Huang,Yi-Xuan Tang,Liu-Qiong Meng,Feng Liu,Qi-Hua Zhu,Yun-Gen Xu

Cancers 13: PubMed34830884

2021

Inhibition of DCLK1 with DCLK1-IN-1 Suppresses Renal Cell Carcinoma Invasion and Stemness and Promotes Cytotoxic T-Cell-Mediated Anti-Tumor Immunity.

Applications

Unspecified application

Species

Unspecified reactive species

Ling Ding,Yuning Yang,Yang Ge,Qin Lu,Zixing Yan,Xuzheng Chen,Jian Du,Sassan Hafizi,Xiaohui Xu,Jiannan Yao,Jian Liu,Zhiyun Cao,Nathaniel Weygant

JCI insight 6: PubMed34197342

2021

Cell differentiation is disrupted by MYO5B loss through Wnt/Notch imbalance.

Applications

Unspecified application

Species

Unspecified reactive species

Izumi Kaji,Joseph T Roland,Sudiksha Rathan-Kumar,Amy C Engevik,Andreanna Burman,Anna E Goldstein,Masahiko Watanabe,James R Goldenring

Neurobiology of aging 106:169-182 PubMed34284260

2021

Short-term dietary restriction maintains synaptic plasticity whereas short-term overfeeding alters cellular dynamics in the aged brain: evidence from the zebrafish model organism.

Applications

Unspecified application

Species

Unspecified reactive species

Elif Tugce Karoglu-Eravsar,Melek Umay Tuz-Sasik,Michelle M Adams

Nature 590:642-648 PubMed33536616

2021

A gene-environment-induced epigenetic program initiates tumorigenesis.

Applications

Unspecified application

Species

Unspecified reactive species

Direna Alonso-Curbelo,Yu-Jui Ho,Cassandra Burdziak,Jesper L V Maag,John P Morris,Rohit Chandwani,Hsuan-An Chen,Kaloyan M Tsanov,Francisco M Barriga,Wei Luan,Nilgun Tasdemir,Geulah Livshits,Elham Azizi,Jaeyoung Chun,John E Wilkinson,Linas Mazutis,Steven D Leach,Richard Koche,Dana Pe'er,Scott W Lowe
View all publications

Product promise

We are committed to supporting your work with high-quality reagents, and we're here for you every step of the way. In the unlikely event that one of our products does not perform as expected, you're protected by our Product Promise.
For full details, please see our Terms & Conditions

Please note: All products are 'FOR RESEARCH USE ONLY. NOT FOR USE IN DIAGNOSTIC OR THERAPEUTIC PROCEDURES'.

For licensing inquiries, please contact partnerships@abcam.com