JavaScript is disabled in your browser. Please enable JavaScript to view this website.
AB187184

Anti-DCAMKL1 antibody [EPR6085] - BSA and Azide free

  • BOND RX™ Validated
  • RabMAb
  • Recombinant
  • KO Validated
  • What is this?

Be the first to review this product! Submit a review

|

(2 Publications)

Rabbit Recombinant Monoclonal DCAMKL1 antibody. Carrier free. Suitable for IHC-P, WB and reacts with Mouse, Rat, Human samples. Cited in 2 publications.

View Alternative Names

DCAMKL1, DCDC3A, KIAA0369, DCLK1, Serine/threonine-protein kinase DCLK1, Doublecortin domain-containing protein 3A, Doublecortin-like and CAM kinase-like 1, Doublecortin-like kinase 1

5 Images
Immunohistochemistry (Formalin/PFA-fixed paraffin-embedded sections) - Anti-DCAMKL1 antibody [EPR6085] - BSA and Azide free (AB187184)
  • IHC-P

Lab

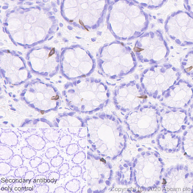
Immunohistochemistry (Formalin/PFA-fixed paraffin-embedded sections) - Anti-DCAMKL1 antibody [EPR6085] - BSA and Azide free (AB187184)

This data was developed using the same antibody clone in a different buffer formulation containing PBS, BSA, glycerol, and sodium azide (ab109029). Immunohistochemical analysis of Paraffin-embedded sections rat colon tissue labelling DCAMKL1 with ab109029 at 1/4000 dilution, followed by a ready to use secondary Rabbit specific IHC polymer detection kit HRP/DAB (ab209101). Staining on rat colon tissue is observed. Counter stained with Haematoxylin. Secondary antibody only control : Used PBS instead of primary antibody, secondary antibody is ready to use Rabbit specific IHC polymer detection kit HRP/DAB (ab209101). Heat mediated antigen retrieval using Bond™ Epitope Retrieval Solution 2 (pH 9.0) The immunostaining was performed on a Leica Biosystems BOND® RX instrument.

Immunohistochemistry (Formalin/PFA-fixed paraffin-embedded sections) - Anti-DCAMKL1 antibody [EPR6085] - BSA and Azide free (AB187184)
  • IHC-P

Lab

Immunohistochemistry (Formalin/PFA-fixed paraffin-embedded sections) - Anti-DCAMKL1 antibody [EPR6085] - BSA and Azide free (AB187184)

This data was developed using the same antibody clone in a different buffer formulation containing PBS, BSA, glycerol, and sodium azide (ab109029). Immunohistochemical analysis of Paraffin-embedded sections mouse stomach tissue labelling DCAMKL1 with ab109029 at 1/4000 dilution, followed by a ready to use secondary Rabbit specific IHC polymer detection kit HRP/DAB (ab209101). Staining on mouse stomach tissue is observed. Counter stained with Haematoxylin. Secondary antibody only control : Used PBS instead of primary antibody, secondary antibody is ready to use Rabbit specific IHC polymer detection kit HRP/DAB (ab209101). Heat mediated antigen retrieval using Bond™ Epitope Retrieval Solution 2 (pH 9.0) The immunostaining was performed on a Leica Biosystems BOND® RX instrument.

Western blot - Anti-DCAMKL1 antibody [EPR6085] - BSA and Azide free (AB187184)
  • WB

Lab

Western blot - Anti-DCAMKL1 antibody [EPR6085] - BSA and Azide free (AB187184)

This data was developed using the same antibody clone in a different buffer formulation containing PBS, BSA, glycerol, and sodium azide (ab109029). Blocking and diluting buffer and concentration : 5% NFDM/TBST. The antibody recognizes isoforms of AL, AS, BS and BL.

All lanes:

Western blot - Anti-DCAMKL1 antibody [EPR6085] (<a href='/en-us/products/primary-antibodies/dcamkl1-antibody-epr6085-ab109029'>ab109029</a>) at 1/5000 dilution

All lanes:

SH-SY5Y (Human neuroblastoma epithelial cell) whole cell lysate at 20 µg

Secondary

All lanes:

Western blot - Goat Anti-Rabbit IgG H&L (HRP) (<a href='/en-us/products/secondary-antibodies/goat-rabbit-igg-h-l-hrp-ab97051'>ab97051</a>) at 1/20000 dilution

Predicted band size: 82 kDa

Observed band size: 82 kDa,47 kDa

false

Western blot - Anti-DCAMKL1 antibody [EPR6085] - BSA and Azide free (AB187184)
  • WB

Lab

Western blot - Anti-DCAMKL1 antibody [EPR6085] - BSA and Azide free (AB187184)

This data was developed using the same antibody clone in a different buffer formulation containing PBS, BSA, glycerol, and sodium azide (ab109029). Blocking and diluting buffer and concentration : 5% NFDM/TBST. ab181602 was used as GAPDH loading control. This antibody recognizes isoforms of AL, AS, BS and BL.

All lanes:

Western blot - Anti-DCAMKL1 antibody [EPR6085] (<a href='/en-us/products/primary-antibodies/dcamkl1-antibody-epr6085-ab109029'>ab109029</a>) at 1/5000 dilution

Lane 1:

Mouse brain lysate at 20 µg

Lane 2:

Rat brain lysate at 20 µg

Lane 3:

Mouse cerebllum lysate at 20 µg

Lane 4:

Rat cerebllum lysate at 20 µg

Lane 5:

Mouse colon lysate at 20 µg

Lane 6:

Rat colon lysate at 20 µg

Lane 7:

NIH/3T3 (Mouse embryonic fibroblast) whole cell lysate at 20 µg

Secondary

All lanes:

Western blot - Goat Anti-Rabbit IgG H&L (HRP) (<a href='/en-us/products/secondary-antibodies/goat-rabbit-igg-h-l-hrp-ab97051'>ab97051</a>) at 1/20000 dilution

Predicted band size: 82 kDa

Observed band size: 82 kDa,47 kDa

false

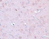
Immunohistochemistry (Formalin/PFA-fixed paraffin-embedded sections) - Anti-DCAMKL1 antibody [EPR6085] - BSA and Azide free (AB187184)
  • IHC-P

Supplier Data

Immunohistochemistry (Formalin/PFA-fixed paraffin-embedded sections) - Anti-DCAMKL1 antibody [EPR6085] - BSA and Azide free (AB187184)

Immunohistochemical analysis of paraffin-embedded Human brain tissue using ab109029 at a dilution of 1/100.

This data was developed using the same antibody clone in a different buffer formulation containing PBS, BSA, glycerol, and sodium azide (ab109029).

Perform heat mediated antigen retrieval before commencing with IHC staining protocol.

Key facts

Host species

Rabbit

Clonality

Monoclonal

Clone number

EPR6085

Isotype

IgG

Carrier free

Yes

Reacts with

Mouse, Rat, Human

Applications

IHC-P, WB

applications

Immunogen

The exact immunogen used to generate this antibody is proprietary information.

Specificity

The human recommendation is based on the WB results. We do not guarantee IHC-P for human.

Reactivity data

{ "title": "Reactivity Data", "filters": { "stats": ["", "Species", "Dilution Info", "Notes"], "tabs": { "all-applications": {"fullname" : "All Applications", "shortname": "All Applications"}, "IHCP" : {"fullname" : "Immunohistochemistry (Formalin/PFA-fixed paraffin-embedded sections)", "shortname":"IHC-P"}, "IP" : {"fullname" : "Immunoprecipitation", "shortname":"IP"}, "FlowCyt" : {"fullname" : "Flow Cytometry", "shortname":"Flow Cyt"}, "WB" : {"fullname" : "Western blot", "shortname":"WB"} }, "product-promise": { "all": "all", "testedAndGuaranteed": "tested", "guaranteed": "expected", "predicted": "predicted", "notRecommended": "not-recommended" } }, "values": { "Human": { "IHCP-species-checked": "guaranteed", "IHCP-species-dilution-info": "", "IHCP-species-notes": "", "IP-species-checked": "notRecommended", "IP-species-dilution-info": "", "IP-species-notes": "<p></p>", "FlowCyt-species-checked": "notRecommended", "FlowCyt-species-dilution-info": "", "FlowCyt-species-notes": "<p></p>", "WB-species-checked": "testedAndGuaranteed", "WB-species-dilution-info": "", "WB-species-notes": "<p></p>" }, "Mouse": { "IHCP-species-checked": "testedAndGuaranteed", "IHCP-species-dilution-info": "", "IHCP-species-notes": "<p>The human recommendation is based on the WB results. We do not guarantee IHC-P for human.</p> Perform heat-mediated antigen retrieval before commencing with IHC staining protocol.", "IP-species-checked": "notRecommended", "IP-species-dilution-info": "", "IP-species-notes": "<p></p>", "FlowCyt-species-checked": "notRecommended", "FlowCyt-species-dilution-info": "", "FlowCyt-species-notes": "<p></p>", "WB-species-checked": "testedAndGuaranteed", "WB-species-dilution-info": "", "WB-species-notes": "<p></p>" }, "Rat": { "IHCP-species-checked": "testedAndGuaranteed", "IHCP-species-dilution-info": "", "IHCP-species-notes": "<p>The human recommendation is based on the WB results. We do not guarantee IHC-P for human.</p> Perform heat-mediated antigen retrieval with Tris/EDTA buffer pH 9.0 before commencing with IHC staining protocol.", "IP-species-checked": "notRecommended", "IP-species-dilution-info": "", "IP-species-notes": "<p></p>", "FlowCyt-species-checked": "notRecommended", "FlowCyt-species-dilution-info": "", "FlowCyt-species-notes": "<p></p>", "WB-species-checked": "testedAndGuaranteed", "WB-species-dilution-info": "", "WB-species-notes": "<p></p>" } } }

Product details

ab187184 is the carrier-free version of ab109029.

Patented technology
Our RabMAb® technology is a patented hybridoma-based technology for making rabbit monoclonal antibodies. For details on our patents, please refer to RabMAb® patents.

What are the advantages of a recombinant monoclonal antibody?
This product is a recombinant monoclonal antibody, which offers several advantages including:

  • - High batch-to-batch consistency and reproducibility
  • - Improved sensitivity and specificity
  • - Long-term security of supply
  • - Animal-free batch production

For more information, read more on recombinant antibodies.

Conjugation ready
Our carrier-free antibodies are typically supplied in a PBS-only formulation, purified and free of BSA, sodium azide and glycerol. This conjugation-ready format is designed for use with fluorochromes, metal isotopes, oligonucleotides, and enzymes, which makes them ideal for antibody labelling, functional and cell-based assays, flow-based assays (e.g. mass cytometry) and Multiplex Imaging applications.

Use our conjugation kits for antibody conjugates that are ready-to-use in as little as 20 minutes with 1 minute hands-on-time and 100% antibody recovery: available for fluorescent dyes, HRP, biotin and gold.

Compatibility
This product is compatible with the Maxpar® Antibody Labeling Kit from Fluidigm, without the need for antibody preparation. Maxpar® is a trademark of Fluidigm Canada Inc.

Properties and storage information

Form
Liquid
Purification technique
Affinity purification Protein A
Storage buffer
pH: 7.2 - 7.4 Constituents: PBS
Shipped at conditions
Blue Ice
Appropriate short-term storage conditions
+4°C
Appropriate long-term storage conditions
+4°C
Storage information
Do Not Freeze

Product protocols

For this product, it's our understanding that no specific protocols are required. You can visit:

Target data

Probable kinase that may be involved in a calcium-signaling pathway controlling neuronal migration in the developing brain. May also participate in functions of the mature nervous system.
See full target information DCLK1

Publications (2)

Recent publications for all applications. Explore the full list and refine your search

Gut microbes 15:2185029 PubMed36872510

2023

Cecum axis (CecAx) preservation reveals physiological and pathological gradients in mouse gastrointestinal epithelium.

Applications

Unspecified application

Species

Unspecified reactive species

Hannah M Lunnemann,Nicolas G Shealy,Michelle L Reyzer,John A Shupe,Emily H Green,Uswah Siddiqi,D Borden Lacy,Mariana X Byndloss,Nicholas O Markham

Frontiers in oncology 9:1574 PubMed32039034

2020

UBE2C Overexpression Aggravates Patient Outcome by Promoting Estrogen-Dependent/Independent Cell Proliferation in Early Hormone Receptor-Positive and HER2-Negative Breast Cancer.

Applications

Unspecified application

Species

Unspecified reactive species

Yu-Jin Kim,Gyunghwa Lee,Jinil Han,Kyoung Song,Joon-Seok Choi,Yoon-La Choi,Young Kee Shin
View all publications

Product promise

We are committed to supporting your work with high-quality reagents, and we're here for you every step of the way. In the unlikely event that one of our products does not perform as expected, you're protected by our Product Promise.
For full details, please see our Terms & Conditions

Please note: All products are 'FOR RESEARCH USE ONLY. NOT FOR USE IN DIAGNOSTIC OR THERAPEUTIC PROCEDURES'.

For licensing inquiries, please contact partnerships@abcam.com