JavaScript is disabled in your browser. Please enable JavaScript to view this website.
AB186752

Anti-DCI antibody [EPR15375(B)]

Be the first to review this product! Submit a review

|

(2 Publications)

Rabbit Recombinant Monoclonal DCI antibody. Suitable for WB, ICC/IF, Flow Cyt (Intra), IHC-P and reacts with Mouse, Rat, Human samples. Cited in 2 publications.

View Alternative Names

DCI, ECI1, Dodecenoyl-CoA isomerase

7 Images
Immunocytochemistry/ Immunofluorescence - Anti-DCI antibody [EPR15375(B)] (AB186752)
  • ICC/IF

Supplier Data

Immunocytochemistry/ Immunofluorescence - Anti-DCI antibody [EPR15375(B)] (AB186752)

Immunofluorescence analysis of HeLa cells labeling DCI with ab186752 at 1/100 dilution. Secondary ab : Goat anti rabbit IgG(Alexa Fluor® 488) at 1/200 dilution. Fixative : 4% paraformaldehyde. Counter stain : Dapi.

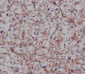
Immunohistochemistry (Formalin/PFA-fixed paraffin-embedded sections) - Anti-DCI antibody [EPR15375(B)] (AB186752)
  • IHC-P

Supplier Data

Immunohistochemistry (Formalin/PFA-fixed paraffin-embedded sections) - Anti-DCI antibody [EPR15375(B)] (AB186752)

Immunohistochemical analysis of paraffin-embedded Human kidney clear cell carcinoma tissue labeling DCI with ab186752 at 1/100 dilution followed by pre-diluted HRP Polymer for Rabbit IgG secondary antibody and counter-stained with Hematoxylin.

Perform heat mediated antigen retrieval with EDTA buffer pH 9 before commencing with IHC staining protocol.

Immunocytochemistry/ Immunofluorescence - Anti-DCI antibody [EPR15375(B)] (AB186752)
  • ICC/IF

Supplier Data

Immunocytochemistry/ Immunofluorescence - Anti-DCI antibody [EPR15375(B)] (AB186752)

Immunofluorescent analysis of 4% paraformaldehyde-fixed MCF7cells labeling DCI with ab186752 at 1/100 dilution followed by Goat anti rabbit IgG (AlexaFluor® 488) secondary at 1/200 dilution and counter-stained with DAPI (blue).

Flow Cytometry (Intracellular) - Anti-DCI antibody [EPR15375(B)] (AB186752)
  • Flow Cyt (Intra)

Supplier Data

Flow Cytometry (Intracellular) - Anti-DCI antibody [EPR15375(B)] (AB186752)

Intracellular flow cytometric analysis of 2% paraformaldehyde-fixedMCF7 cells labeling DCI with ab186752 at 1/240 dilution (red)or a rabbit IgG (negative) (green), followed by Goat anti rabbit IgG (FITC) secondary at 1/150 dilution.

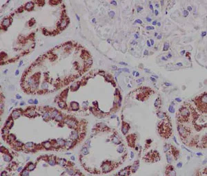
Immunohistochemistry (Formalin/PFA-fixed paraffin-embedded sections) - Anti-DCI antibody [EPR15375(B)] (AB186752)
  • IHC-P

Supplier Data

Immunohistochemistry (Formalin/PFA-fixed paraffin-embedded sections) - Anti-DCI antibody [EPR15375(B)] (AB186752)

Immunohistochemical analysis of paraffin-embedded Human kidney tissue labeling DCI with ab186752 at 1/100 dilution followed by pre-diluted HRP Polymer for Rabbit IgG secondary antibody and counter-stained with Hematoxylin.

Perform heat mediated antigen retrieval with EDTA buffer pH 9 before commencing with IHC staining protocol.

Western blot - Anti-DCI antibody [EPR15375(B)] (AB186752)
  • WB

Supplier Data

Western blot - Anti-DCI antibody [EPR15375(B)] (AB186752)

All lanes:

Western blot - Anti-DCI antibody [EPR15375(B)] (ab186752) at 1/50000 dilution

Lane 1:

Human fetal liver cell lysate at 20 µg

Lane 2:

MCF7 cell lysate at 20 µg

Lane 3:

293T cell lysate at 20 µg

Lane 4:

HeLa cell lysate at 20 µg

Secondary

All lanes:

Goat Anti-Rabbit IgG, (H+L), Peroxidase conjugated at 1/1000 dilution

Predicted band size: 33 kDa

false

Western blot - Anti-DCI antibody [EPR15375(B)] (AB186752)
  • WB

Supplier Data

Western blot - Anti-DCI antibody [EPR15375(B)] (AB186752)

All lanes:

Western blot - Anti-DCI antibody [EPR15375(B)] (ab186752) at 1/10000 dilution

Lane 1:

C6 cell lysate at 10 µg

Lane 2:

RAW 264.7 cell lysate at 10 µg

Lane 3:

PC12 cell lysate at 10 µg

Lane 4:

NIH 3T3 cell lysate at 10 µg

Secondary

All lanes:

Goat Anti-Rabbit IgG, (H+L), Peroxidase conjugated at 1/1000 dilution

Predicted band size: 33 kDa

false

  • Carrier free

    Anti-DCI antibody [EPR15375(B)] - BSA and Azide free

Key facts

Host species

Rabbit

Clonality

Monoclonal

Clone number

EPR15375(B)

Isotype

IgG

Carrier free

No

Reacts with

Mouse, Rat, Human

Applications

WB, ICC/IF, IHC-P, Flow Cyt (Intra)

applications

Immunogen

The exact immunogen used to generate this antibody is proprietary information.

Reactivity data

{ "title": "Reactivity Data", "filters": { "stats": ["", "Species", "Dilution Info", "Notes"], "tabs": { "all-applications": {"fullname" : "All Applications", "shortname": "All Applications"}, "WB" : {"fullname" : "Western blot", "shortname":"WB"}, "ICCIF" : {"fullname" : "Immunocytochemistry/ Immunofluorescence", "shortname":"ICC/IF"}, "FlowCytIntra" : {"fullname" : "Flow Cytometry (Intracellular)", "shortname":"Flow Cyt (Intra)"}, "IHCP" : {"fullname" : "Immunohistochemistry (Formalin/PFA-fixed paraffin-embedded sections)", "shortname":"IHC-P"} }, "product-promise": { "all": "all", "testedAndGuaranteed": "tested", "guaranteed": "expected", "predicted": "predicted", "notRecommended": "not-recommended" } }, "values": { "Human": { "WB-species-checked": "testedAndGuaranteed", "WB-species-dilution-info": "1/10000 - 1/50000", "WB-species-notes": "<p></p>", "ICCIF-species-checked": "testedAndGuaranteed", "ICCIF-species-dilution-info": "1/100", "ICCIF-species-notes": "<p></p>", "FlowCytIntra-species-checked": "testedAndGuaranteed", "FlowCytIntra-species-dilution-info": "1/240", "FlowCytIntra-species-notes": "<p><a href='/en-us/products/primary-antibodies/rabbit-igg-monoclonal-epr25a-isotype-control-ab172730'>ab172730</a> - Rabbit monoclonal IgG, is suitable for use as an isotype control with this antibody.</p>", "IHCP-species-checked": "testedAndGuaranteed", "IHCP-species-dilution-info": "1/50 - 1/100", "IHCP-species-notes": "<p></p> Perform heat-mediated antigen retrieval with Tris/EDTA buffer pH 9.0 before commencing with IHC staining protocol." }, "Mouse": { "WB-species-checked": "testedAndGuaranteed", "WB-species-dilution-info": "1/10000 - 1/50000", "WB-species-notes": "<p></p>", "ICCIF-species-checked": "guaranteed", "ICCIF-species-dilution-info": "", "ICCIF-species-notes": "", "FlowCytIntra-species-checked": "guaranteed", "FlowCytIntra-species-dilution-info": "", "FlowCytIntra-species-notes": "", "IHCP-species-checked": "guaranteed", "IHCP-species-dilution-info": "", "IHCP-species-notes": "" }, "Rat": { "WB-species-checked": "testedAndGuaranteed", "WB-species-dilution-info": "1/10000 - 1/50000", "WB-species-notes": "<p></p>", "ICCIF-species-checked": "guaranteed", "ICCIF-species-dilution-info": "", "ICCIF-species-notes": "", "FlowCytIntra-species-checked": "guaranteed", "FlowCytIntra-species-dilution-info": "", "FlowCytIntra-species-notes": "", "IHCP-species-checked": "guaranteed", "IHCP-species-dilution-info": "", "IHCP-species-notes": "" } } }

Product details

Patented technology
Our RabMAb® technology is a patented hybridoma-based technology for making rabbit monoclonal antibodies. For details on our patents, please refer to RabMAb® patents.

What are the advantages of a recombinant monoclonal antibody?
This product is a recombinant monoclonal antibody, which offers several advantages including:

  • - High batch-to-batch consistency and reproducibility
  • - Improved sensitivity and specificity
  • - Long-term security of supply
  • - Animal-free batch production

For more information, read more on recombinant antibodies.

Properties and storage information

Form
Liquid
Purification technique
Affinity purification Protein A
Storage buffer
pH: 7.2 - 7.4 Preservative: 0.01% Sodium azide Constituents: PBS, 40% Glycerol (glycerin, glycerine), 0.05% BSA
Shipped at conditions
Blue Ice
Appropriate short-term storage duration
1-2 weeks
Appropriate short-term storage conditions
+4°C
Appropriate long-term storage conditions
-20°C
Aliquoting information
Upon delivery aliquot
Storage information
Avoid freeze / thaw cycle

Product protocols

For this product, it's our understanding that no specific protocols are required. You can visit:

Target data

Key enzyme of fatty acid beta-oxidation (Probable). Able to isomerize both 3-cis (3Z) and 3-trans (3E) double bonds into the 2-trans (2E) form in a range of enoyl-CoA species, with a preference for (3Z)-enoyl-CoAs over (3E)-enoyl-CoAs (By similarity) (PubMed : 7818490). The catalytic efficiency of this enzyme is not affected by the fatty acyl chain length (By similarity).
See full target information ECI1

Publications (2)

Recent publications for all applications. Explore the full list and refine your search

PloS one 19:e0305571 PubMed38885281

2024

Comparative proteomics reveals that fatty acid metabolism is involved in myocardial adaptation to chronic hypoxic injury.

Applications

Unspecified application

Species

Unspecified reactive species

Hu Chen,Shiran Yu,Xiaoyun Zhang,Yujie Gao,Hongqi Wang,Yuankun Li,Dongsheng He,Weikun Jia

Journal of cellular biochemistry 120:18714-18723 PubMed31218757

2019

Enolase1 overexpression regulates the growth of gastric cancer cells and predicts poor survival.

Applications

Unspecified application

Species

Unspecified reactive species

Hui Qiao,Yufeng Wang,Bingdong Zhu,Lei Jiang,Wenzhen Yuan,Yongning Zhou,Quanlin Guan
View all publications

Product promise

We are committed to supporting your work with high-quality reagents, and we're here for you every step of the way. In the unlikely event that one of our products does not perform as expected, you're protected by our Product Promise.
For full details, please see our Terms & Conditions

Please note: All products are 'FOR RESEARCH USE ONLY. NOT FOR USE IN DIAGNOSTIC OR THERAPEUTIC PROCEDURES'.

For licensing inquiries, please contact partnerships@abcam.com