JavaScript is disabled in your browser. Please enable JavaScript to view this website.
AB250903

Anti-DCI antibody [EPR15375(B)] - BSA and Azide free

Be the first to review this product! Submit a review

|

(0 Publication)

Rabbit Recombinant Monoclonal DCI antibody. Carrier free. Suitable for ICC/IF, WB, Flow Cyt (Intra), IHC-P and reacts with Human, Rat, Mouse samples.

View Alternative Names

DCI, ECI1, Dodecenoyl-CoA isomerase

7 Images
Immunocytochemistry/ Immunofluorescence - Anti-DCI antibody [EPR15375(B)] - BSA and Azide free (AB250903)
  • ICC/IF

Supplier Data

Immunocytochemistry/ Immunofluorescence - Anti-DCI antibody [EPR15375(B)] - BSA and Azide free (AB250903)

This data was developed using ab186752, the same antibody clone in a different buffer formulation.

Immunofluorescence analysis of HeLa cells labeling DCI with ab186752 at 1/100 dilution. Secondary ab : Goat anti rabbit IgG(Alexa Fluor® 488) at 1/200 dilution. Fixative : 4% paraformaldehyde. Counter stain : Dapi.

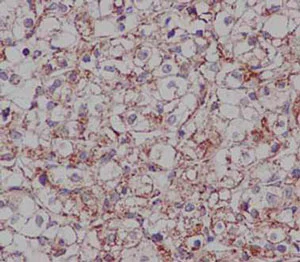
Immunohistochemistry (Formalin/PFA-fixed paraffin-embedded sections) - Anti-DCI antibody [EPR15375(B)] - BSA and Azide free (AB250903)
  • IHC-P

Supplier Data

Immunohistochemistry (Formalin/PFA-fixed paraffin-embedded sections) - Anti-DCI antibody [EPR15375(B)] - BSA and Azide free (AB250903)

This data was developed using ab186752, the same antibody clone in a different buffer formulation.

Immunohistochemical analysis of paraffin-embedded Human kidney clear cell carcinoma tissue labeling DCI with ab186752 at 1/100 dilution followed by pre-diluted HRP Polymer for Rabbit IgG secondary antibody and counter-stained with Hematoxylin.

Perform heat mediated antigen retrieval with EDTA buffer pH 9 before commencing with IHC staining protocol.

Immunocytochemistry/ Immunofluorescence - Anti-DCI antibody [EPR15375(B)] - BSA and Azide free (AB250903)
  • ICC/IF

Supplier Data

Immunocytochemistry/ Immunofluorescence - Anti-DCI antibody [EPR15375(B)] - BSA and Azide free (AB250903)

This data was developed using ab186752, the same antibody clone in a different buffer formulation.

Immunofluorescent analysis of 4% paraformaldehyde-fixed MCF7cells labeling DCI with ab186752 at 1/100 dilution followed by Goat anti rabbit IgG (AlexaFluor® 488) secondary at 1/200 dilution and counter-stained with DAPI (blue).

Flow Cytometry (Intracellular) - Anti-DCI antibody [EPR15375(B)] - BSA and Azide free (AB250903)
  • Flow Cyt (Intra)

Supplier Data

Flow Cytometry (Intracellular) - Anti-DCI antibody [EPR15375(B)] - BSA and Azide free (AB250903)

This data was developed using ab186752, the same antibody clone in a different buffer formulation.

Intracellular flow cytometric analysis of 2% paraformaldehyde-fixed MCF7 cells labeling DCI with ab186752 at 1/240 dilution (red) or a rabbit IgG (negative) (green), followed by Goat anti rabbit IgG (FITC) secondary at 1/150 dilution.

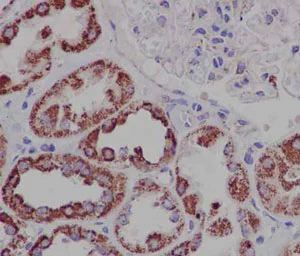
Immunohistochemistry (Formalin/PFA-fixed paraffin-embedded sections) - Anti-DCI antibody [EPR15375(B)] - BSA and Azide free (AB250903)
  • IHC-P

Supplier Data

Immunohistochemistry (Formalin/PFA-fixed paraffin-embedded sections) - Anti-DCI antibody [EPR15375(B)] - BSA and Azide free (AB250903)

This data was developed using ab186752, the same antibody clone in a different buffer formulation.

Immunohistochemical analysis of paraffin-embedded Human kidney tissue labeling DCI with ab186752 at 1/100 dilution followed by pre-diluted HRP Polymer for Rabbit IgG secondary antibody and counter-stained with Hematoxylin.

Perform heat mediated antigen retrieval with EDTA buffer pH 9 before commencing with IHC staining protocol.

Western blot - Anti-DCI antibody [EPR15375(B)] - BSA and Azide free (AB250903)
  • WB

Supplier Data

Western blot - Anti-DCI antibody [EPR15375(B)] - BSA and Azide free (AB250903)

This data was developed using ab186752, the same antibody clone in a different buffer formulation.

All lanes:

Western blot - Anti-DCI antibody [EPR15375(B)] (<a href='/en-us/products/primary-antibodies/dci-antibody-epr15375b-ab186752'>ab186752</a>) at 1/50000 dilution

Lane 1:

Human fetal liver cell lysate at 20 µg

Lane 2:

MCF7 cell lysate at 20 µg

Lane 3:

293T cell lysate at 20 µg

Lane 4:

HeLa cell lysate at 20 µg

Secondary

All lanes:

Goat Anti-Rabbit IgG, (H+L), Peroxidase conjugated at 1/1000 dilution

Predicted band size: 33 kDa

false

Western blot - Anti-DCI antibody [EPR15375(B)] - BSA and Azide free (AB250903)
  • WB

Supplier Data

Western blot - Anti-DCI antibody [EPR15375(B)] - BSA and Azide free (AB250903)

This data was developed using ab186752, the same antibody clone in a different buffer formulation.

All lanes:

Western blot - Anti-DCI antibody [EPR15375(B)] (<a href='/en-us/products/primary-antibodies/dci-antibody-epr15375b-ab186752'>ab186752</a>) at 1/10000 dilution

Lane 1:

C6 cell lysate at 10 µg

Lane 2:

RAW 264.7 cell lysate at 10 µg

Lane 3:

PC12 cell lysate at 10 µg

Lane 4:

NIH 3T3 cell lysate at 10 µg

Secondary

All lanes:

Goat Anti-Rabbit IgG, (H+L), Peroxidase conjugated at 1/1000 dilution

Predicted band size: 33 kDa

false

Key facts

Host species

Rabbit

Clonality

Monoclonal

Clone number

EPR15375(B)

Isotype

IgG

Carrier free

Yes

Reacts with

Mouse, Rat, Human

Applications

Flow Cyt (Intra), WB, IHC-P, ICC/IF

applications

Immunogen

The exact immunogen used to generate this antibody is proprietary information.

Reactivity data

{ "title": "Reactivity Data", "filters": { "stats": ["", "Species", "Dilution Info", "Notes"], "tabs": { "all-applications": {"fullname" : "All Applications", "shortname": "All Applications"}, "ICCIF" : {"fullname" : "Immunocytochemistry/ Immunofluorescence", "shortname":"ICC/IF"}, "WB" : {"fullname" : "Western blot", "shortname":"WB"}, "FlowCytIntra" : {"fullname" : "Flow Cytometry (Intracellular)", "shortname":"Flow Cyt (Intra)"}, "IHCP" : {"fullname" : "Immunohistochemistry (Formalin/PFA-fixed paraffin-embedded sections)", "shortname":"IHC-P"} }, "product-promise": { "all": "all", "testedAndGuaranteed": "tested", "guaranteed": "expected", "predicted": "predicted", "notRecommended": "not-recommended" } }, "values": { "Human": { "ICCIF-species-checked": "testedAndGuaranteed", "ICCIF-species-dilution-info": "", "ICCIF-species-notes": "<p></p>", "WB-species-checked": "testedAndGuaranteed", "WB-species-dilution-info": "", "WB-species-notes": "<p></p>", "FlowCytIntra-species-checked": "testedAndGuaranteed", "FlowCytIntra-species-dilution-info": "", "FlowCytIntra-species-notes": "<p></p>", "IHCP-species-checked": "testedAndGuaranteed", "IHCP-species-dilution-info": "", "IHCP-species-notes": "<p></p> Perform heat-mediated antigen retrieval with Tris/EDTA buffer pH 9.0 before commencing with IHC staining protocol." }, "Mouse": { "ICCIF-species-checked": "guaranteed", "ICCIF-species-dilution-info": "", "ICCIF-species-notes": "", "WB-species-checked": "testedAndGuaranteed", "WB-species-dilution-info": "", "WB-species-notes": "<p></p>", "FlowCytIntra-species-checked": "guaranteed", "FlowCytIntra-species-dilution-info": "", "FlowCytIntra-species-notes": "", "IHCP-species-checked": "guaranteed", "IHCP-species-dilution-info": "", "IHCP-species-notes": "" }, "Rat": { "ICCIF-species-checked": "guaranteed", "ICCIF-species-dilution-info": "", "ICCIF-species-notes": "", "WB-species-checked": "testedAndGuaranteed", "WB-species-dilution-info": "", "WB-species-notes": "<p></p>", "FlowCytIntra-species-checked": "guaranteed", "FlowCytIntra-species-dilution-info": "", "FlowCytIntra-species-notes": "", "IHCP-species-checked": "guaranteed", "IHCP-species-dilution-info": "", "IHCP-species-notes": "" } } }

Product details

ab250903 is the carrier-free version of ab186752.

Patented technology
Our RabMAb® technology is a patented hybridoma-based technology for making rabbit monoclonal antibodies. For details on our patents, please refer to RabMAb® patents.

What are the advantages of a recombinant monoclonal antibody?
This product is a recombinant monoclonal antibody, which offers several advantages including:

  • - High batch-to-batch consistency and reproducibility
  • - Improved sensitivity and specificity
  • - Long-term security of supply
  • - Animal-free batch production

For more information, read more on recombinant antibodies.

Conjugation ready
Our carrier-free antibodies are typically supplied in a PBS-only formulation, purified and free of BSA, sodium azide and glycerol. This conjugation-ready format is designed for use with fluorochromes, metal isotopes, oligonucleotides, and enzymes, which makes them ideal for antibody labelling, functional and cell-based assays, flow-based assays (e.g. mass cytometry) and Multiplex Imaging applications.

Use our conjugation kits for antibody conjugates that are ready-to-use in as little as 20 minutes with 1 minute hands-on-time and 100% antibody recovery: available for fluorescent dyes, HRP, biotin and gold.

Compatibility
This product is compatible with the Maxpar® Antibody Labeling Kit from Fluidigm, without the need for antibody preparation. Maxpar® is a trademark of Fluidigm Canada Inc.

Properties and storage information

Form
Liquid
Purification technique
Affinity purification Protein A
Storage buffer
pH: 7.2 - 7.4 Constituents: PBS
Shipped at conditions
Blue Ice
Appropriate short-term storage conditions
+4°C
Appropriate long-term storage conditions
+4°C
Storage information
Do Not Freeze

Product protocols

For this product, it's our understanding that no specific protocols are required. You can visit:

Target data

Key enzyme of fatty acid beta-oxidation (Probable). Able to isomerize both 3-cis (3Z) and 3-trans (3E) double bonds into the 2-trans (2E) form in a range of enoyl-CoA species, with a preference for (3Z)-enoyl-CoAs over (3E)-enoyl-CoAs (By similarity) (PubMed : 7818490). The catalytic efficiency of this enzyme is not affected by the fatty acyl chain length (By similarity).
See full target information ECI1

Product promise

We are committed to supporting your work with high-quality reagents, and we're here for you every step of the way. In the unlikely event that one of our products does not perform as expected, you're protected by our Product Promise.
For full details, please see our Terms & Conditions

Please note: All products are 'FOR RESEARCH USE ONLY. NOT FOR USE IN DIAGNOSTIC OR THERAPEUTIC PROCEDURES'.

For licensing inquiries, please contact partnerships@abcam.com