JavaScript is disabled in your browser. Please enable JavaScript to view this website.
AB151966

Anti-DCK antibody

Be the first to review this product! Submit a review

|

(11 Publications)

Rabbit Polyclonal DCK antibody. Suitable for IP, ICC/IF, IHC-P, WB and reacts with Human, Mouse, Rat samples. Cited in 11 publications. Immunogen corresponding to Recombinant Fragment Protein within Human DCK aa 1 to C-terminus.

View Alternative Names

Deoxycytidine kinase, dCK, Deoxyadenosine kinase, Deoxyguanosine kinase, DCK

7 Images
Immunocytochemistry/ Immunofluorescence - Anti-DCK antibody (AB151966)
  • ICC/IF

Supplier Data

Immunocytochemistry/ Immunofluorescence - Anti-DCK antibody (AB151966)

Immunofluorescence analysis of HeLa cells fixed in 4% paraformaldehyde at RT for 15 min labelling DCK protein at nucleus using ab151966 at a 1/500 dilution (Green). Phalloidin, a cytoskeleton marker, was stained at a 1/100 dilution (Red).
Scale bar = 10 µM

Immunoprecipitation - Anti-DCK antibody (AB151966)
  • IP

Supplier Data

Immunoprecipitation - Anti-DCK antibody (AB151966)

Immunoprecipitation of DCK protein from 293T whole cell extracts using 5 ug of ab151966.
Western blot analysis was performed using ab151966.
Anti-Rabbit IgG was used as a secondary reagent.

All lanes:

Immunoprecipitation - Anti-DCK antibody (ab151966) at 5 µg

Lane 1:

293T whole cell extracts with control IgG

Lane 2:

293T whole cell extracts

Secondary

All lanes:

Anti-Rabbit IgG

Predicted band size: 30 kDa

false

Immunohistochemistry (Formalin/PFA-fixed paraffin-embedded sections) - Anti-DCK antibody (AB151966)
  • IHC-P

Supplier Data

Immunohistochemistry (Formalin/PFA-fixed paraffin-embedded sections) - Anti-DCK antibody (AB151966)

Immunohistochemical analysis of paraffin-embedded mouse hind brain tissue stained for DCK protein at nucleus on mouse hind brain with ab151966 at a 1/500 dilution.

Antigen retrieval : EDTA based, pH 8.0 buffer, 15min

Immunohistochemistry (Formalin/PFA-fixed paraffin-embedded sections) - Anti-DCK antibody (AB151966)
  • IHC-P

Supplier Data

Immunohistochemistry (Formalin/PFA-fixed paraffin-embedded sections) - Anti-DCK antibody (AB151966)

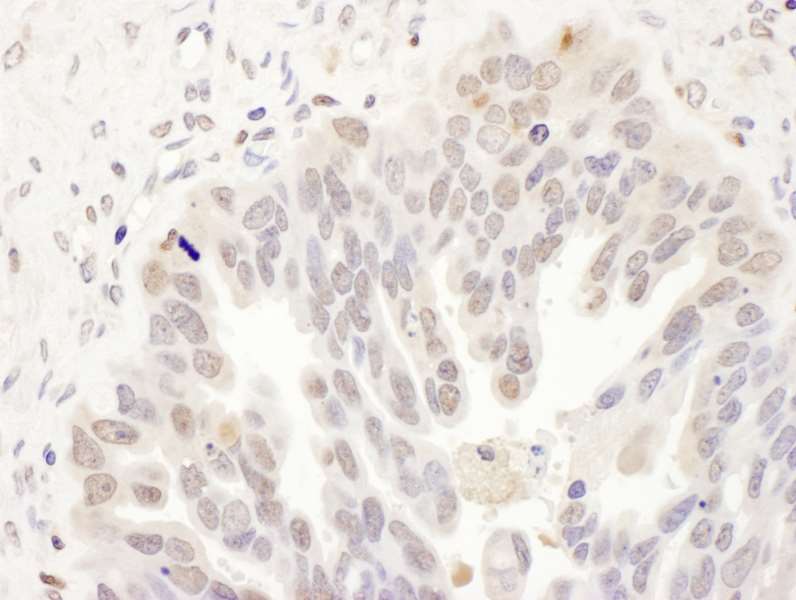
Immunohistochemical analysis of paraffin-embedded rat lung tissue stained for DCK protein at nucleus with ab151966 at a 1/500 dilution.

Antigen retrieval : Citrate buffer, pH 6.0, 15 min

Western blot - Anti-DCK antibody (AB151966)
  • WB

Supplier Data

Western blot - Anti-DCK antibody (AB151966)

Samples were separated by 12% SDS-PAGE.

All lanes:

Western blot - Anti-DCK antibody (ab151966) at 1/5000 dilution

Lane 1:

A549 whole cell extracts at 30 µg

Lane 2:

H1299 whole cell extracts at 30 µg

Secondary

All lanes:

HRP-conjugated anti-rabbit IgG

Predicted band size: 30 kDa

false

Western blot - Anti-DCK antibody (AB151966)
  • WB

Supplier Data

Western blot - Anti-DCK antibody (AB151966)

Samples were separated by 12% SDS-PAGE.

All lanes:

Western blot - Anti-DCK antibody (ab151966) at 1/1000 dilution

Lane 1:

PC-12 whole cell lysate at 30 µg

Lane 2:

Rat2 whole cell lysate at 30 µg

Secondary

All lanes:

HRP-conjugated anti-rabbit IgG

Predicted band size: 30 kDa

false

Western blot - Anti-DCK antibody (AB151966)
  • WB

Supplier Data

Western blot - Anti-DCK antibody (AB151966)

Samples were separated by 12% SDS-PAGE.

All lanes:

Western blot - Anti-DCK antibody (ab151966) at 1/5000 dilution

Lane 1:

Non-transfected 293T whole cell extracts at 30 µg

Lane 2:

Transfected 293T whole cell extracts at 30 µg

Secondary

All lanes:

HRP-conjugated anti-rabbit IgG

Predicted band size: 30 kDa

false

Key facts

Host species

Rabbit

Clonality

Polyclonal

Isotype

IgG

Carrier free

No

Reacts with

Human, Mouse, Rat

Applications

WB, ICC/IF, IP, IHC-P

applications

Immunogen

Recombinant Fragment Protein within Human DCK aa 1 to C-terminus. The exact immunogen used to generate this antibody is proprietary information.

P27707

Reactivity data

{ "title": "Reactivity Data", "filters": { "stats": ["", "Species", "Dilution Info", "Notes"], "tabs": { "all-applications": {"fullname" : "All Applications", "shortname": "All Applications"}, "IP" : {"fullname" : "Immunoprecipitation", "shortname":"IP"}, "ICCIF" : {"fullname" : "Immunocytochemistry/ Immunofluorescence", "shortname":"ICC/IF"}, "IHCP" : {"fullname" : "Immunohistochemistry (Formalin/PFA-fixed paraffin-embedded sections)", "shortname":"IHC-P"}, "WB" : {"fullname" : "Western blot", "shortname":"WB"} }, "product-promise": { "all": "all", "testedAndGuaranteed": "tested", "guaranteed": "expected", "predicted": "predicted", "notRecommended": "not-recommended" } }, "values": { "Human": { "IP-species-checked": "testedAndGuaranteed", "IP-species-dilution-info": "1/100 - 1/500", "IP-species-notes": "<p></p>", "ICCIF-species-checked": "testedAndGuaranteed", "ICCIF-species-dilution-info": "1/100 - 1/1000", "ICCIF-species-notes": "<p></p>", "IHCP-species-checked": "testedAndGuaranteed", "IHCP-species-dilution-info": "1/100 - 1/1000", "IHCP-species-notes": "<p></p> Perform heat-mediated antigen retrieval with citrate buffer pH 6 before commencing with IHC staining protocol.", "WB-species-checked": "testedAndGuaranteed", "WB-species-dilution-info": "1/1000 - 1/20000", "WB-species-notes": "<p></p>" }, "Mouse": { "IP-species-checked": "guaranteed", "IP-species-dilution-info": "", "IP-species-notes": "", "ICCIF-species-checked": "guaranteed", "ICCIF-species-dilution-info": "", "ICCIF-species-notes": "", "IHCP-species-checked": "testedAndGuaranteed", "IHCP-species-dilution-info": "1/100 - 1/1000", "IHCP-species-notes": "<p></p> Perform heat-mediated antigen retrieval with citrate buffer pH 6 before commencing with IHC staining protocol.", "WB-species-checked": "guaranteed", "WB-species-dilution-info": "", "WB-species-notes": "" }, "Rat": { "IP-species-checked": "guaranteed", "IP-species-dilution-info": "", "IP-species-notes": "", "ICCIF-species-checked": "guaranteed", "ICCIF-species-dilution-info": "", "ICCIF-species-notes": "", "IHCP-species-checked": "testedAndGuaranteed", "IHCP-species-dilution-info": "1/100 - 1/1000", "IHCP-species-notes": "<p></p>", "WB-species-checked": "testedAndGuaranteed", "WB-species-dilution-info": "1/1000 - 1/20000", "WB-species-notes": "<p></p>" } } }

Properties and storage information

Form
Liquid
Purification technique
Affinity purification Immunogen
Storage buffer
pH: 7 Preservative: 0.025% Proclin 300 Constituents: PBS, 20% Glycerol (glycerin, glycerine)
Shipped at conditions
Blue Ice
Appropriate short-term storage conditions
+4°C
Appropriate long-term storage conditions
-20°C
Aliquoting information
Upon delivery aliquot
Storage information
Avoid freeze / thaw cycle

Product protocols

For this product, it's our understanding that no specific protocols are required. You can visit:

Target data

Phosphorylates the deoxyribonucleosides deoxycytidine, deoxyguanosine and deoxyadenosine (PubMed : 12808445, PubMed : 18377927, PubMed : 19159229, PubMed : 1996353, PubMed : 20614893, PubMed : 20637175). Has broad substrate specificity, and does not display selectivity based on the chirality of the substrate. It is also an essential enzyme for the phosphorylation of numerous nucleoside analogs widely employed as antiviral and chemotherapeutic agents (PubMed : 12808445).
See full target information DCK

Publications (11)

Recent publications for all applications. Explore the full list and refine your search

Cancer cell 42:1352-1369.e13 PubMed39029464

2024

Mammalian SWI/SNF complex activity regulates POU2F3 and constitutes a targetable dependency in small cell lung cancer.

Applications

Unspecified application

Species

Unspecified reactive species

Leslie Duplaquet,Kevin So,Alexander W Ying,Shreoshi Pal Choudhuri,Xinyue Li,Grace D Xu,Yixiang Li,Xintao Qiu,Rong Li,Shilpa Singh,Xiaoli S Wu,Seth Hamilton,Victor D Chien,Qi Liu,Jun Qi,Tim D D Somerville,Hillary M Heiling,Emanuele Mazzola,Yenarae Lee,Thomas Zoller,Christopher R Vakoc,John G Doench,William C Forrester,Tinya Abrams,Henry W Long,Matthew J Niederst,Benjamin J Drapkin,Cigall Kadoch,Matthew G Oser

Scientific reports 14:13989 PubMed38886371

2024

In vitro evolution and whole genome analysis to study chemotherapy drug resistance in haploid human cells.

Applications

Unspecified application

Species

Unspecified reactive species

Juan Carlos Jado,Michelle Dow,Krypton Carolino,Adam Klie,Gregory J Fonseca,Trey Ideker,Hannah Carter,Elizabeth A Winzeler

Acta haematologica 144:534-541 PubMed33626530

2021

Deoxycytidine Kinase (DCK) Mutations in Human Acute Myeloid Leukemia Resistant to Cytarabine.

Applications

Unspecified application

Species

Unspecified reactive species

Biao Wu,Zhengwei Jenny Mao,Zhi Wang,Pin Wu,Hongyu Huang,Wenjun Zhao,Lei Zhang,Zhou Zhang,Hongchao Yin,Robert Peter Gale,Bin Yin

Oncology letters 20:247 PubMed32973960

2020

Gemcitabine resistance in triple-negative breast cancer cells can be reverted by deoxyribonucleoside kinase in the nucleus or cytosol.

Applications

Unspecified application

Species

Unspecified reactive species

Yan Zhao,Haiyang Jiang,Ming Gu,Cong Zu,Xinyu Zheng

Molecular cancer therapeutics 19:1110-1122 PubMed32156786

2020

Decitabine Response in Breast Cancer Requires Efficient Drug Processing and Is Not Limited by Multidrug Resistance.

Applications

Unspecified application

Species

Unspecified reactive species

Margaret L Dahn,Brianne M Cruickshank,Ainsleigh J Jackson,Cheryl Dean,Ryan W Holloway,Steven R Hall,Krysta M Coyle,Hillary Maillet,David M Waisman,Kerry B Goralski,Carman A Giacomantonio,Ian C G Weaver,Paola Marcato

Cancers 11: PubMed31842285

2019

Role of Damage DNA-Binding Protein 1 in Pancreatic Cancer Progression and Chemoresistance.

Applications

Unspecified application

Species

Unspecified reactive species

Yiyin Zhang,Yubin Lei,Jin Xu,Jie Hua,Bo Zhang,Jiang Liu,Chen Liang,Qingcai Meng,Xianjun Yu,Si Shi

British journal of cancer 116:609-619 PubMed28152544

2017

Exosomes confer chemoresistance to pancreatic cancer cells by promoting ROS detoxification and miR-155-mediated suppression of key gemcitabine-metabolising enzyme, DCK.

Applications

Unspecified application

Species

Unspecified reactive species

Girijesh Kumar Patel,Mohammad Aslam Khan,Arun Bhardwaj,Sanjeev K Srivastava,Haseeb Zubair,Mary C Patton,Seema Singh,Moh'd Khushman,Ajay P Singh

Nucleic acids research 44:9719-9732 PubMed27471030

2016

The C/ebp-Atf response element (CARE) location reveals two distinct Atf4-dependent, elongation-mediated mechanisms for transcriptional induction of aminoacyl-tRNA synthetase genes in response to amino acid limitation.

Applications

WB

Species

Human

Jixiu Shan,Fan Zhang,Jason Sharkey,Tiffany A Tang,Tönis Örd,Michael S Kilberg

Leukemia 31:40-50 PubMed27443263

2016

Systematic chemical and molecular profiling of MLL-rearranged infant acute lymphoblastic leukemia reveals efficacy of romidepsin.

Applications

Unspecified application

Species

Unspecified reactive species

M N Cruickshank,J Ford,L C Cheung,J Heng,S Singh,J Wells,T W Failes,G M Arndt,N Smithers,R K Prinjha,D Anderson,K W Carter,A M Gout,T Lassmann,J O'Reilly,C H Cole,R S Kotecha,U R Kees

Oncotarget 7:21812-24 PubMed26943573

2016

Insights from HuR biology point to potential improvement for second-line ovarian cancer therapy.

Applications

Unspecified application

Species

Unspecified reactive species

Yu-Hung Huang,Weidan Peng,Narumi Furuuchi,James B DuHadaway,Masaya Jimbo,Andrea Pirritano,Charles J Dunton,Gary S Daum,Benjamin E Leiby,Jonathan R Brody,Janet A Sawicki
View all publications

Product promise

We are committed to supporting your work with high-quality reagents, and we're here for you every step of the way. In the unlikely event that one of our products does not perform as expected, you're protected by our Product Promise.
For full details, please see our Terms & Conditions

Please note: All products are 'FOR RESEARCH USE ONLY. NOT FOR USE IN DIAGNOSTIC OR THERAPEUTIC PROCEDURES'.

For licensing inquiries, please contact partnerships@abcam.com