JavaScript is disabled in your browser. Please enable JavaScript to view this website.
AB109991

Anti-DCL-1 antibody

Be the first to review this product! Submit a review

|

(1 Publication)

Rabbit Polyclonal DCL-1 antibody. Suitable for IHC-P, WB and reacts with Human samples. Cited in 1 publication. Immunogen corresponding to Synthetic Peptide within Human CD302.

View Alternative Names

CD302, CLEC13A, DCL1, KIAA0022, CD302 antigen, C-type lectin BIMLEC, C-type lectin domain family 13 member A, DEC205-associated C-type lectin 1, Type I transmembrane C-type lectin receptor DCL-1

2 Images
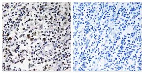
Immunohistochemistry (Formalin/PFA-fixed paraffin-embedded sections) - Anti-DCL-1 antibody (AB109991)
  • IHC-P

Supplier Data

Immunohistochemistry (Formalin/PFA-fixed paraffin-embedded sections) - Anti-DCL-1 antibody (AB109991)

Immunohistochemistry analysis of paraffin-embedded human lymph node tissue, using ab109991. The picture on the right is blocked with the synthesized peptide.

Western blot - Anti-DCL-1 antibody (AB109991)
  • WB

Unknown

Western blot - Anti-DCL-1 antibody (AB109991)

All lanes:

Western blot - Anti-DCL-1 antibody (ab109991) at 1/500 dilution

Lane 1:

HT-29 cells at 30 µg

Lane 2:

HT-29 cells at 30 µg with synthesized peptide

Predicted band size: 26 kDa

false

Key facts

Host species

Rabbit

Clonality

Polyclonal

Isotype

IgG

Carrier free

No

Reacts with

Human

Applications

WB, IHC-P

applications

Immunogen

Synthetic Peptide within Human CD302. The exact immunogen used to generate this antibody is proprietary information.

Q8IX05

Reactivity data

{ "title": "Reactivity Data", "filters": { "stats": ["", "Species", "Dilution Info", "Notes"], "tabs": { "all-applications": {"fullname" : "All Applications", "shortname": "All Applications"}, "IHCP" : {"fullname" : "Immunohistochemistry (Formalin/PFA-fixed paraffin-embedded sections)", "shortname":"IHC-P"}, "WB" : {"fullname" : "Western blot", "shortname":"WB"} }, "product-promise": { "all": "all", "testedAndGuaranteed": "tested", "guaranteed": "expected", "predicted": "predicted", "notRecommended": "not-recommended" } }, "values": { "Human": { "IHCP-species-checked": "testedAndGuaranteed", "IHCP-species-dilution-info": "1/50 - 1/100", "IHCP-species-notes": "<p></p> Perform heat-mediated antigen retrieval with citrate buffer pH 6 before commencing with IHC staining protocol.", "WB-species-checked": "testedAndGuaranteed", "WB-species-dilution-info": "1/500 - 1/1000", "WB-species-notes": "<p></p>" }, "Mouse": { "IHCP-species-checked": "predicted", "IHCP-species-dilution-info": "", "IHCP-species-notes": "", "WB-species-checked": "predicted", "WB-species-dilution-info": "", "WB-species-notes": "" }, "Rat": { "IHCP-species-checked": "predicted", "IHCP-species-dilution-info": "", "IHCP-species-notes": "", "WB-species-checked": "predicted", "WB-species-dilution-info": "", "WB-species-notes": "" } } }

Properties and storage information

Form
Liquid
Purification technique
Affinity purification Immunogen
Storage buffer
pH: 7.4 Preservative: 0.02% Sodium azide Constituents: PBS, 50% Glycerol (glycerin, glycerine), 0.88% Sodium chloride
Shipped at conditions
Blue Ice
Appropriate short-term storage conditions
+4°C
Appropriate long-term storage conditions
-20°C

Product protocols

For this product, it's our understanding that no specific protocols are required. You can visit:

Target data

Potential multifunctional C-type lectin receptor that may play roles in endocytosis and phagocytosis as well as in cell adhesion and migration.
See full target information CD302

Publications (1)

Recent publications for all applications. Explore the full list and refine your search

Brain and behavior 15:e70377 PubMed40320842

2025

Analysis and Identification of Therapeutic Targets for Neuronal Regeneration After Ischemic Stroke.

Applications

Unspecified application

Species

Unspecified reactive species

Xiao-Li Min,Li Guo,Zhenyu Wang,Lei Zhao,Chenglong Shi,Xiaoyong Liu,Zhen Wang,Fei-Fei Shang,Jiaping Wang
View all publications

Product promise

We are committed to supporting your work with high-quality reagents, and we're here for you every step of the way. In the unlikely event that one of our products does not perform as expected, you're protected by our Product Promise.
For full details, please see our Terms & Conditions

Please note: All products are 'FOR RESEARCH USE ONLY. NOT FOR USE IN DIAGNOSTIC OR THERAPEUTIC PROCEDURES'.

For licensing inquiries, please contact partnerships@abcam.com