JavaScript is disabled in your browser. Please enable JavaScript to view this website.
AB47811

Anti-Dcp1a antibody

5

(7 Reviews)

|

(27 Publications)

Rabbit Polyclonal DCP1A antibody. Suitable for IP, WB, IHC-P and reacts with Human samples. Cited in 27 publications.

View Alternative Names

SMIF, DCP1A, mRNA-decapping enzyme 1A, Smad4-interacting transcriptional co-activator, Transcription factor SMIF

4 Images
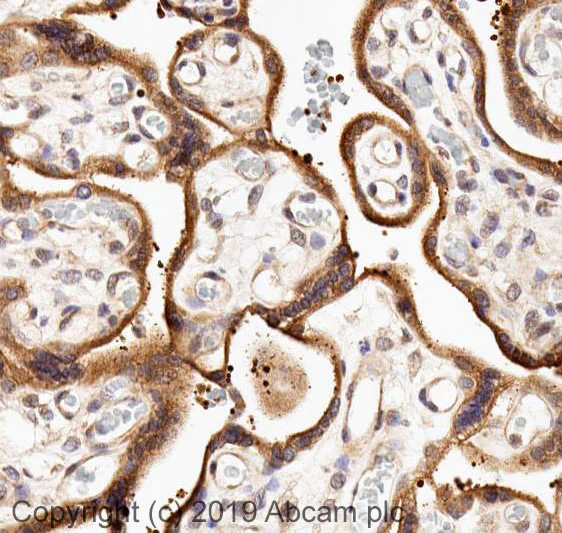
Immunohistochemistry (Formalin/PFA-fixed paraffin-embedded sections) - Anti-Dcp1a antibody (AB47811)
  • IHC-P

Lab

Immunohistochemistry (Formalin/PFA-fixed paraffin-embedded sections) - Anti-Dcp1a antibody (AB47811)

IHC image of Dcp1a antibody staining in a section of formalin-fixed paraffin-embedded normal human placenta* performed on a Leica BONDTM system using the standard protocol. The section was pre-treated using heat mediated antigen retrieval with sodium citrate buffer (pH6, epitope retrieval solution 1) for 20mins. The section was then incubated with ab47811, 5ug/ml, for 15 mins at room temperature and detected using an HRP conjugated compact polymer system. DAB was used as the chromogen. The section was then counterstained with haematoxylin and mounted with DPX.

For other IHC staining systems (automated and non-automated) customers should optimize variable parameters such as antigen retrieval conditions, primary antibody concentration and antibody incubation times.

*Tissue obtained from the Human Research Tissue Bank, supported by the NIHR Cambridge Biomedical Research Centre

Immunoprecipitation - Anti-Dcp1a antibody (AB47811)
  • IP

Unknown

Immunoprecipitation - Anti-Dcp1a antibody (AB47811)

Dcp1a was immunoprecipitated using 0.5mg Jurkat whole cell extract, 5µg of Rabbit polyclonal to Dcp1a and 50µl of protein G magnetic beads (+). No antibody was added to the control (-).
The antibody was incubated under agitation with Protein G beads for 10min, Jurkat whole cell extract lysate diluted in RIPA buffer was added to each sample and incubated for a further 10min under agitation.
Proteins were eluted by addition of 40µl SDS loading buffer and incubated for 10min at 70oC; 10µl of each sample was separated on a SDS PAGE gel, transferred to a nitrocellulose membrane, blocked with 5% BSA and probed with ab47811.
Secondary : Mouse monoclonal [SB62a] Secondary Antibody to Rabbit IgG light chain (HRP) (ab99697).
Band : 75kDa : Dcp1a.

All lanes:

Immunoprecipitation - Anti-Dcp1a antibody (ab47811)

Predicted band size: 63 kDa

false

Western blot - Anti-Dcp1a antibody (AB47811)
  • WB

Ap

Western blot - Anti-Dcp1a antibody (AB47811)

This blot was produced using a 10% Bis-tris gel under the MOPS buffer system. The gel was run at 200V for 50 minutes before being transferred onto a Nitrocellulose membrane at 30V for 70 minutes. The membrane was then blocked for an hour using 3% milk before being incubated with ab47811 overnight at 4°C. Antibody binding was detected using an anti-rabbit antibody conjugated to HRP, and visualised using ECL development solution.

Abcam recommends using milk as the blocking agent. Abcam welcomes customer feedback and would appreciate any comments regarding this product and the data presented above.

All lanes:

Western blot - Anti-Dcp1a antibody (ab47811) at 1 mg/mL

Lane 1:

HeLa (Human epithelial carcinoma cell line) WCL at 10 µg

Lane 2:

Jurkat (Human T cell lymphoblast-like cell line) WCL at 10 µg

Lane 3:

HepG2 (Human hepatocellular liver carcinoma cell line) WCL at 10 µg

Secondary

All lanes:

Western blot - Goat Anti-Rabbit IgG H&L (HRP) (<a href='/en-us/products/secondary-antibodies/goat-rabbit-igg-h-l-hrp-ab97051'>ab97051</a>) at 1/10000 dilution

Predicted band size: 63 kDa

Observed band size: 120 kDa,75 kDa,90 kDa

true

Exposure time: 12min

Western blot - Anti-Dcp1a antibody (AB47811)
  • WB

Lab

Western blot - Anti-Dcp1a antibody (AB47811)

Lanes 1 - 3 : Merged signal (red and green). Green - ab47811 observed at 75 kDa. Red - loading control, ab8245, observed at 37 kDa.

ab47811 was shown to recognize DCP1A in wild-type HEK-293 cells as signal was lost at the expected MW in DCP1A knockout cell line ab261857 (knockout cell lysate ab261665). Additional cross-reactive bands were observed in the wild-type and knockout samples. Wild-type and DCP1A knockout samples were subjected to SDS-PAGE. ab47811 and ab8245 (Mouse anti GAPDH loading control) were incubated overnight at 4°C at 1 ug/ml and 1/20000 dilution respectively. Blots were developed with Goat anti-Rabbit IgG H&L (IRDye® 800CW) preabsorbed ab216773 and Goat anti-Mouse IgG H&L (IRDye® 680RD) preabsorbed ab216776 secondary antibodies at 1/20000 dilution for 1 hour at room temperature before imaging.

All lanes:

Western blot - Anti-Dcp1a antibody (ab47811) at 1 µg/mL

Lane 1:

Wild-type HEK-293 (Human epithelial cell line from embryonic kidney) whole cell lysate at 20 µg

Lane 2:

DCP1A knockout HEK-293 (Human epithelial cell line from embryonic kidney) whole cell lysate at 20 µg

Lane 2:

Western blot - Human DCP1A knockout HEK-293 cell line (<a href='/en-us/products/cell-lines/human-dcp1a-knockout-hek-293-cell-line-ab261857'>ab261857</a>)

Lane 3:

HepG2 (Human liver hepatocellular carcinoma cell line) whole cell lysate at 20 µg

Predicted band size: 63 kDa

Observed band size: 75 kDa

false

Key facts

Host species

Rabbit

Clonality

Polyclonal

Isotype

IgG

Carrier free

No

Reacts with

Human

Applications

IHC-P, IP, WB

applications

Immunogen

The exact immunogen used to generate this antibody is proprietary information.

Specificity

Replenishment batches of our polyclonal antibody, ab47811 are tested in WB. Previous batches were additionally validated in IHC-P and IP. These applications are still expected to work and are covered by our Abpromise guarantee. You may also be interested in our alternative recombinant antibody, ab183709.

Reactivity data

{ "title": "Reactivity Data", "filters": { "stats": ["", "Species", "Dilution Info", "Notes"], "tabs": { "all-applications": {"fullname" : "All Applications", "shortname": "All Applications"}, "IP" : {"fullname" : "Immunoprecipitation", "shortname":"IP"}, "WB" : {"fullname" : "Western blot", "shortname":"WB"}, "IHCP" : {"fullname" : "Immunohistochemistry (Formalin/PFA-fixed paraffin-embedded sections)", "shortname":"IHC-P"} }, "product-promise": { "all": "all", "testedAndGuaranteed": "tested", "guaranteed": "expected", "predicted": "predicted", "notRecommended": "not-recommended" } }, "values": { "Human": { "IP-species-checked": "testedAndGuaranteed", "IP-species-dilution-info": "", "IP-species-notes": "<p></p>", "WB-species-checked": "testedAndGuaranteed", "WB-species-dilution-info": "1 µg/mL", "WB-species-notes": "<p>Abcam recommends using milk as the blocking agent.</p>", "IHCP-species-checked": "testedAndGuaranteed", "IHCP-species-dilution-info": "5 µg/mL", "IHCP-species-notes": "<p></p>" }, "Chimpanzee": { "IP-species-checked": "predicted", "IP-species-dilution-info": "", "IP-species-notes": "", "WB-species-checked": "predicted", "WB-species-dilution-info": "", "WB-species-notes": "", "IHCP-species-checked": "predicted", "IHCP-species-dilution-info": "", "IHCP-species-notes": "" }, "Rhesus monkey": { "IP-species-checked": "predicted", "IP-species-dilution-info": "", "IP-species-notes": "", "WB-species-checked": "predicted", "WB-species-dilution-info": "", "WB-species-notes": "", "IHCP-species-checked": "predicted", "IHCP-species-dilution-info": "", "IHCP-species-notes": "" } } }

Properties and storage information

Form
Liquid
Purification technique
Affinity purification Immunogen
Storage buffer
pH: 7.4 Preservative: 0.02% Sodium azide Constituents: PBS, 1% BSA
Shipped at conditions
Blue Ice
Appropriate short-term storage duration
1-2 weeks
Appropriate short-term storage conditions
+4°C
Appropriate long-term storage conditions
-20°C
Aliquoting information
Upon delivery aliquot
Storage information
Avoid freeze / thaw cycle

Product protocols

For this product, it's our understanding that no specific protocols are required. You can visit:

Target data

Necessary for the degradation of mRNAs, both in normal mRNA turnover and in nonsense-mediated mRNA decay (PubMed : 12417715). Removes the 7-methyl guanine cap structure from mRNA molecules, yielding a 5'-phosphorylated mRNA fragment and 7m-GDP (PubMed : 12417715). Contributes to the transactivation of target genes after stimulation by TGFB1 (PubMed : 11836524). Essential for embryonic development (PubMed : 33813271).
See full target information DCP1A

Publications (27)

Recent publications for all applications. Explore the full list and refine your search

Life science alliance 7: PubMed39256052

2024

Non-redundant roles for the human mRNA decapping cofactor paralogs DCP1a and DCP1b.

Applications

Unspecified application

Species

Unspecified reactive species

Ivana Vukovic,Samantha M Barnada,Jonathan W Ruffin,Jon Karlin,Ravi Kumar Lokareddy,Gino Cingolani,Steven B McMahon

Journal of molecular biology 435:168170 PubMed37271493

2023

The RNA Interference Effector Protein Argonaute 2 Functions as a Restriction Factor Against SARS-CoV-2.

Applications

Unspecified application

Species

Unspecified reactive species

Joaquin Lopez-Orozco,Nawell Fayad,Juveriya Qamar Khan,Alberto Felix-Lopez,Mohamed Elaish,Megha Rohamare,Maansi Sharma,Darryl Falzarano,Jerry Pelletier,Joyce Wilson,Tom C Hobman,Anil Kumar

Proceedings of the National Academy of Sciences of the United States of America 120:e2114747120 PubMed36716374

2023

CPEB3 low-complexity motif regulates local protein synthesis via protein-protein interactions in neuronal ribonucleoprotein granules.

Applications

Unspecified application

Species

Unspecified reactive species

Lenzie Ford,Arun Asok,Arielle D Tripp,Cameron Parro,Michelle Fitzpatrick,Christopher A de Solis,Po-Tao Y Chen,Neeva Shafiian,Luana Fioriti,Rajesh K Soni,Eric R Kandel

Nature cell biology 24:1154-1164 PubMed35817959

2022

Stalled replication fork protection limits cGAS-STING and P-body-dependent innate immune signalling.

Applications

Unspecified application

Species

Unspecified reactive species

Ahmed Emam,Xiao Wu,Shengfeng Xu,Longqiang Wang,Shichang Liu,Bin Wang

Nature communications 13:3345 PubMed35688806

2022

Imaging translational control by Argonaute with single-molecule resolution in live cells.

Applications

Unspecified application

Species

Unspecified reactive species

Charlotte A Cialek,Gabriel Galindo,Tatsuya Morisaki,Ning Zhao,Taiowa A Montgomery,Timothy J Stasevich

Molecular psychiatry 26:7141-7153 PubMed34663904

2021

Modifying the mA brain methylome by ALKBH5-mediated demethylation: a new contender for synaptic tagging.

Applications

Unspecified application

Species

Unspecified reactive species

Braulio Martinez De La Cruz,Robert Markus,Sunir Malla,Maria Isabel Haig,Chris Gell,Fei Sang,Eleanor Bellows,Mahmoud Awad Sherif,Denise McLean,Anbarasu Lourdusamy,Tim Self,Zsuzsanna Bodi,Stuart Smith,Michael Fay,Ian A Macdonald,Rupert Fray,Helen Miranda Knight

EMBO reports 22:e50835 PubMed33586867

2021

EDC3 phosphorylation regulates growth and invasion through controlling P-body formation and dynamics.

Applications

Unspecified application

Species

Unspecified reactive species

Jeremiah J Bearss,Sathish Kr Padi,Neha Singh,Marina Cardo-Vila,Jin H Song,Ghassan Mouneimne,Nikita Fernandes,Yang Li,Matthew R Harter,Jaime Mc Gard,Anne E Cress,Wolfgang Peti,Andrew Dl Nelson,J Ross Buchan,Andrew S Kraft,Koichi Okumura

The Journal of cell biology 220: PubMed33502444

2021

High-fidelity reconstitution of stress granules and nucleoli in mammalian cellular lysate.

Applications

Unspecified application

Species

Unspecified reactive species

Brian D Freibaum,James Messing,Peiguo Yang,Hong Joo Kim,J Paul Taylor

Cancers 11: PubMed31426445

2019

Single-Cell Analysis of Multiple Steps of Dynamic NF-κB Regulation in Interleukin-1α-Triggered Tumor Cells Using Proximity Ligation Assays.

Applications

Unspecified application

Species

Unspecified reactive species

Christin Mayr-Buro,Eva Schlereth,Knut Beuerlein,Ulas Tenekeci,Johanna Meier-Soelch,M Lienhard Schmitz,Michael Kracht

eLife 7: PubMed30044225

2018

Decoupling the impact of microRNAs on translational repression versus RNA degradation in embryonic stem cells.

Applications

Unspecified application

Species

Unspecified reactive species

Jacob W Freimer,T J Hu,Robert Blelloch
View all publications

Product promise

We are committed to supporting your work with high-quality reagents, and we're here for you every step of the way. In the unlikely event that one of our products does not perform as expected, you're protected by our Product Promise.
For full details, please see our Terms & Conditions

Please note: All products are 'FOR RESEARCH USE ONLY. NOT FOR USE IN DIAGNOSTIC OR THERAPEUTIC PROCEDURES'.

For licensing inquiries, please contact partnerships@abcam.com