JavaScript is disabled in your browser. Please enable JavaScript to view this website.
AB183709

Anti-Dcp1a antibody [EPR13822]

Be the first to review this product! Submit a review

|

(14 Publications)

Anti-Dcp1a antibody [EPR13822] (ab183709) is a rabbit monoclonal antibody detecting Dcp1a in Western Blot, Flow Cytometry (Intra), Flow Cytometry, IHC-P, ICC/IF. Suitable for Human.

- KO validated for confirmed specificity
- Biophysical QC for unrivalled batch-batch consistency

View Alternative Names

SMIF, DCP1A, mRNA-decapping enzyme 1A, Smad4-interacting transcriptional co-activator, Transcription factor SMIF

7 Images
Western blot - Anti-Dcp1a antibody [EPR13822] (AB183709)
  • WB

Supplier Data

Western blot - Anti-Dcp1a antibody [EPR13822] (AB183709)

All lanes:

Western blot - Anti-Dcp1a antibody [EPR13822] (ab183709) at 1/2000 dilution

Lane 1:

HeLa cell lysate at 10 µg

Lane 2:

HepG2 cell lysate at 10 µg

Secondary

All lanes:

Goat Anti-Rabbit IgG, (H+L), Peroxidase conjugate at 1/1000 dilution

Predicted band size: 42 kDa,63 kDa,72 kDa,98 kDa

Observed band size: 75 kDa

false

Immunocytochemistry/ Immunofluorescence - Anti-Dcp1a antibody [EPR13822] (AB183709)
  • ICC/IF

Lab

Immunocytochemistry/ Immunofluorescence - Anti-Dcp1a antibody [EPR13822] (AB183709)

ab183709 staining Dcp1a in HeLa (human cervix adenocarcinoma) cells by ICC/IF (Immunocytochemistry/immunofluorescence). Cells were fixed with 4% Paraformaldehyde and permeabilized with 0.1% Triton X-100. Samples were incubated with primary antibody at a dilution of 1/500. A goat anti rabbit IgG (Alexa Fluor® 488) (ab150077) was used as the secondary antibody at a dilution of 1/1000. DAPI was used as a nuclear counterstain.

Control : PBS only

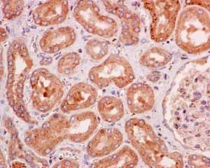
Immunohistochemistry (Formalin/PFA-fixed paraffin-embedded sections) - Anti-Dcp1a antibody [EPR13822] (AB183709)
  • IHC-P

Supplier Data

Immunohistochemistry (Formalin/PFA-fixed paraffin-embedded sections) - Anti-Dcp1a antibody [EPR13822] (AB183709)

Immunohistochemical analysis of paraffin-embedded Human kidney tissue labeling Dcp1a with ab183709 at 1/250 dilution followed by prediluted HRP Polymer for Rabbit IgG. Counter stained with Hematoxylin.

Perform heat mediated antigen retrieval with EDTA buffer pH 9 before commencing with IHC staining protocol.

Flow Cytometry (Intracellular) - Anti-Dcp1a antibody [EPR13822] (AB183709)
  • Flow Cyt (Intra)

Supplier Data

Flow Cytometry (Intracellular) - Anti-Dcp1a antibody [EPR13822] (AB183709)

Intracellular flow cytometric analysis of 2% paraformaldehyde-fixed HeLa cells labeling Dcp1a with ab183709 at 1/150 dilution (red) compared to a Rabbit monoclonal IgG isotype control (green), followed by Goat anti rabbit IgG (FITC) secondary antibody at 1/150 dilution.

Immunocytochemistry/ Immunofluorescence - Anti-Dcp1a antibody [EPR13822] (AB183709)
  • ICC/IF

Supplier Data

Immunocytochemistry/ Immunofluorescence - Anti-Dcp1a antibody [EPR13822] (AB183709)

Immunofluorescent analysis of 4% paraformaldehyde-fixed HepG2 cells labeling Dcp1a with ab183709 at 1/250 dilution, followed by Goat anti rabbit IgG (Alexa Fluor® 488) secondary antibody at 1/200 dilution (green). Counter stained with Dapi (blue).

Western blot - Anti-Dcp1a antibody [EPR13822] (AB183709)
  • WB

Supplier Data

Western blot - Anti-Dcp1a antibody [EPR13822] (AB183709)

All lanes:

Western blot - Anti-Dcp1a antibody [EPR13822] (ab183709) at 1/10000 dilution

All lanes:

293T cell lysate at 20 µg

Secondary

All lanes:

Goat Anti-Rabbit IgG, (H+L), Peroxidase conjugate at 1/1000 dilution

Predicted band size: 63 kDa

Observed band size: 75 kDa

false

Western blot - Anti-Dcp1a antibody [EPR13822] (AB183709)
  • WB

Lab

Western blot - Anti-Dcp1a antibody [EPR13822] (AB183709)

Lanes 1 - 3 : Merged signal (red and green). Green - ab183709 observed at 75 kDa. Red - loading control, ab8245, observed at 37 kDa.

ab183709 was shown to specifically react with DCP1A in wild-type HEK-293 cells as signal was lost in DCP1A knockout cell line ab261857 (knockout cell lysate ab261665). Wild-type and DCP1A knockout samples were subjected to SDS-PAGE. ab183709 and ab8245 (Mouse anti GAPDH loading control) were incubated overnight at 4°C at 1/1000 dilution and 1/20000 dilution respectively. Blots were developed with Goat anti-Rabbit IgG H&L (IRDye® 800CW) preabsorbed ab216773 and Goat anti-Mouse IgG H&L (IRDye® 680RD) preabsorbed ab216776 secondary antibodies at 1/20000 dilution for 1 hour at room temperature before imaging.

All lanes:

Western blot - Anti-Dcp1a antibody [EPR13822] (ab183709) at 1/1000 dilution

Lane 1:

Wild-type HEK-293 (Human epithelial cell line from embryonic kidney) whole cell lysate at 20 µg

Lane 2:

DCP1A knockout HEK-293 (Human epithelial cell line from embryonic kidney) whole cell lysate at 20 µg

Lane 2:

Western blot - Human DCP1A knockout HEK-293 cell line (<a href='/en-us/products/cell-lines/human-dcp1a-knockout-hek-293-cell-line-ab261857'>ab261857</a>)

Lane 3:

HepG2 (Human liver hepatocellular carcinoma cell line) whole cell lysate at 20 µg

Predicted band size: 63 kDa

Observed band size: 75 kDa

false

  • 565 Alexa Fluor® 555

    Alexa Fluor® 555 Anti-Dcp1a antibody [EPR13822]

  • Carrier free

    Anti-Dcp1a antibody [EPR13822] - BSA and Azide free

  • 617 Alexa Fluor® 594

    Alexa Fluor® 594 Anti-Dcp1a antibody [EPR13822]

  • 660 APC

    APC Anti-Dcp1a antibody [EPR13822]

  • HRP

    HRP Anti-Dcp1a antibody [EPR13822]

  • 603 Alexa Fluor® 568

    Alexa Fluor® 568 Anti-Dcp1a antibody [EPR13822]

  • 665 Alexa Fluor® 647

    Alexa Fluor® 647 Anti-Dcp1a antibody [EPR13822]

  • 519 Alexa Fluor® 488

    Alexa Fluor® 488 Anti-Dcp1a antibody [EPR13822]

  • 578 PE

    PE Anti-Dcp1a antibody [EPR13822]

  • 775 Alexa Fluor® 750

    Alexa Fluor® 750 Anti-Dcp1a antibody [EPR13822]

Key facts

Host species

Rabbit

Clonality

Monoclonal

Clone number

EPR13822

Isotype

IgG

Carrier free

No

Reacts with

Human

Applications

ICC/IF, IHC-P, WB, Flow Cyt (Intra)

applications

Immunogen

The exact immunogen used to generate this antibody is proprietary information.

Reactivity data

{ "title": "Reactivity Data", "filters": { "stats": ["", "Species", "Dilution Info", "Notes"], "tabs": { "all-applications": {"fullname" : "All Applications", "shortname": "All Applications"}, "WB" : {"fullname" : "Western blot", "shortname":"WB"}, "ICCIF" : {"fullname" : "Immunocytochemistry/ Immunofluorescence", "shortname":"ICC/IF"}, "FlowCytIntra" : {"fullname" : "Flow Cytometry (Intracellular)", "shortname":"Flow Cyt (Intra)"}, "IHCP" : {"fullname" : "Immunohistochemistry (Formalin/PFA-fixed paraffin-embedded sections)", "shortname":"IHC-P"} }, "product-promise": { "all": "all", "testedAndGuaranteed": "tested", "guaranteed": "expected", "predicted": "predicted", "notRecommended": "not-recommended" } }, "values": { "Human": { "WB-species-checked": "testedAndGuaranteed", "WB-species-dilution-info": "1/1000 - 1/10000", "WB-species-notes": "<p></p>", "ICCIF-species-checked": "testedAndGuaranteed", "ICCIF-species-dilution-info": "1/250", "ICCIF-species-notes": "<p></p>", "FlowCytIntra-species-checked": "testedAndGuaranteed", "FlowCytIntra-species-dilution-info": "1/150", "FlowCytIntra-species-notes": "<p><a href='/en-us/products/primary-antibodies/rabbit-igg-monoclonal-epr25a-isotype-control-ab172730'>ab172730</a> - Rabbit monoclonal IgG, is suitable for use as an isotype control with this antibody.</p>", "IHCP-species-checked": "testedAndGuaranteed", "IHCP-species-dilution-info": "1/250", "IHCP-species-notes": "<p></p>" }, "Mouse": { "WB-species-checked": "predicted", "WB-species-dilution-info": "", "WB-species-notes": "", "ICCIF-species-checked": "predicted", "ICCIF-species-dilution-info": "", "ICCIF-species-notes": "", "FlowCytIntra-species-checked": "predicted", "FlowCytIntra-species-dilution-info": "", "FlowCytIntra-species-notes": "", "IHCP-species-checked": "predicted", "IHCP-species-dilution-info": "", "IHCP-species-notes": "" }, "Rat": { "WB-species-checked": "predicted", "WB-species-dilution-info": "", "WB-species-notes": "", "ICCIF-species-checked": "predicted", "ICCIF-species-dilution-info": "", "ICCIF-species-notes": "", "FlowCytIntra-species-checked": "predicted", "FlowCytIntra-species-dilution-info": "", "FlowCytIntra-species-notes": "", "IHCP-species-checked": "predicted", "IHCP-species-dilution-info": "", "IHCP-species-notes": "" } } }

Product details

What is this antibody validated in?
Anti-Dcp1a antibody [EPR13822] (ab183709) is a rabbit recombinant monoclonal antibody and is validated for use in Western Blot (WB), Flow Cytometry (Intra), Flow Cytometry (Flow Cyt), Immunohistochemistry (IHC-P), Immunocytochemistry/immunofluorescence (ICC/IF) in Human samples.

What is the molecular weight of Dcp1a?
Anti-Dcp1a [EPR13822] (ab183709) specifically detects a band for Dcp1a (UniProt: Q9NPI6) at a molecular weight of 63kDa.

Trial sizes available!
Test your antibody or perform pre-screening before committing to a larger quantity. Sold in 10µl. Discover our selection of trial-size antibodies.

Specificity confirmed
The specificity of Anti-Dcp1a antibody [EPR13822] (ab183709) has been confirmed by Western blot testing in DCP1A Knockout HEK-293 cell line, ab261857.

Other related products
We have a range of other formats of antibody clone [EPR13822] also available for your convenience: ab183709, Alexa Fluor® 488 - ab208275, Alexa Fluor® 647 - ab209946, Alexa Fluor® 555 - ab211853, Alexa Fluor® 594 - ab217092, Carrier free - ab240275, PE - ab305967, APC - ab305968, HRP - ab305969, Alkaline Phosphatase - ab308746, Alexa Fluor® 568 - ab312465, Alexa Fluor® 750 - ab321279

Patented technology
Our RabMAb® technology is a patented hybridoma-based technology for making rabbit monoclonal antibodies. For details on our patents, please refer to RabMAb® patents.

What are the advantages of a recombinant monoclonal antibody?
This product is a recombinant monoclonal antibody, which offers several advantages including:

  • - High batch-to-batch consistency and reproducibility
  • - Improved sensitivity and specificity
  • - Long-term security of supply
  • - Animal-free batch production

For more information, read more on recombinant antibodies.

Properties and storage information

Form
Liquid
Purification technique
Affinity purification Protein A
Storage buffer
pH: 7.2 Preservative: 0.01% Sodium azide Constituents: 59% PBS, 40% Glycerol (glycerin, glycerine), 0.05% BSA
Shipped at conditions
Blue Ice
Appropriate short-term storage duration
1-2 weeks
Appropriate short-term storage conditions
+4°C
Appropriate long-term storage conditions
-20°C
Aliquoting information
Upon delivery aliquot
Storage information
Avoid freeze / thaw cycle

Product protocols

For this product, it's our understanding that no specific protocols are required. You can visit:

Target data

Necessary for the degradation of mRNAs, both in normal mRNA turnover and in nonsense-mediated mRNA decay (PubMed : 12417715). Removes the 7-methyl guanine cap structure from mRNA molecules, yielding a 5'-phosphorylated mRNA fragment and 7m-GDP (PubMed : 12417715). Contributes to the transactivation of target genes after stimulation by TGFB1 (PubMed : 11836524). Essential for embryonic development (PubMed : 33813271).
See full target information DCP1A

Publications (14)

Recent publications for all applications. Explore the full list and refine your search

The Journal of biological chemistry 301:110418 PubMed40570961

2025

Functional investigation of the RNA helicase MOV10 with respect to its interplay with factors involved in nonsense-mediated mRNA decay.

Applications

Unspecified application

Species

Unspecified reactive species

Guangpu Xue,Gabriel P Faber,Lea S Pommerening,Megha Mallick,Aditi Gupta,Markus C Wahl,Yaron Shav-Tal,Sutapa Chakrabarti

Nature biotechnology : PubMed39966655

2025

Single-molecule live-cell RNA imaging with CRISPR-Csm.

Applications

Unspecified application

Species

Unspecified reactive species

Chenglong Xia,David Colognori,Xueyang Stephen Jiang,Ke Xu,Jennifer A Doudna

Nature communications 15:2720 PubMed38548718

2024

A rapid inducible RNA decay system reveals fast mRNA decay in P-bodies.

Applications

Unspecified application

Species

Unspecified reactive species

Lauren A Blake,Leslie Watkins,Yang Liu,Takanari Inoue,Bin Wu

Nucleic acids research 52:5356-5375 PubMed38366783

2024

Nuclear RNA-related processes modulate the assembly of cytoplasmic RNA granules.

Applications

Unspecified application

Species

Unspecified reactive species

Mor Angel,Eden Fleshler,Mohammad Khaled Atrash,Noa Kinor,Jennifer I C Benichou,Yaron Shav-Tal

Cellular and molecular life sciences : CMLS 80:372 PubMed38001238

2023

Cordycepin delays postovulatory aging of oocytes through inhibition of maternal mRNAs degradation via DCP1A polyadenylation suppression.

Applications

Unspecified application

Species

Unspecified reactive species

Chong Li,Ling Zhu,Jun-Xia Liu,Jing Guo,Juan Xie,Chun-Meng Shi,Qing-Yuan Sun,Guo-Ning Huang,Jing-Yu Li

Nature communications 14:4092 PubMed37433777

2023

Immunoproteasome-specific subunit PSMB9 induction is required to regulate cellular proteostasis upon mitochondrial dysfunction.

Applications

Unspecified application

Species

Unspecified reactive species

Minji Kim,Remigiusz A Serwa,Lukasz Samluk,Ida Suppanz,Agata Kodroń,Tomasz M Stępkowski,Praveenraj Elancheliyan,Biniyam Tsegaye,Silke Oeljeklaus,Michal Wasilewski,Bettina Warscheid,Agnieszka Chacinska

Nucleic acids research 51:9337-9355 PubMed37427791

2023

RNA helicase DDX6 and scaffold protein GW182 in P-bodies promote biogenesis of stress granules.

Applications

Unspecified application

Species

Unspecified reactive species

Vladimir Majerciak,Tongqing Zhou,Michael J Kruhlak,Zhi-Ming Zheng

The EMBO journal 42:e113410 PubMed37366237

2023

Regulation of LRRK2 mRNA stability by ATIC and its substrate AICAR through ARE-mediated mRNA decay in Parkinson's disease.

Applications

Unspecified application

Species

Unspecified reactive species

Qinfang Liu,Dong Zhu,Naren Li,Shifan Chen,Liang Hu,Jianzhong Yu,Yulan Xiong

Scientific reports 13:7090 PubMed37127654

2023

A local translation program regulates centriole amplification in the airway epithelium.

Applications

Unspecified application

Species

Unspecified reactive species

Helu Liu,Huijun Li,Zhihua Jiang,Shibo Jin,Rui Song,Ying Yang,Jun Li,Jingshu Huang,Xiaoqing Zhang,Xuesong Dong,Munemasa Mori,Marvin J Fritzler,Lin He,Wellington V Cardoso,Jining Lu

Journal of virology 95:e0092221 PubMed34287048

2021

Enterovirus 71 2A Protease Inhibits P-Body Formation To Promote Viral RNA Synthesis.

Applications

Unspecified application

Species

Unspecified reactive species

Shanshan Fan,Zihang Xu,Pengfei Liu,Yali Qin,Mingzhou Chen
View all publications

Product promise

We are committed to supporting your work with high-quality reagents, and we're here for you every step of the way. In the unlikely event that one of our products does not perform as expected, you're protected by our Product Promise.
For full details, please see our Terms & Conditions

Please note: All products are 'FOR RESEARCH USE ONLY. NOT FOR USE IN DIAGNOSTIC OR THERAPEUTIC PROCEDURES'.

For licensing inquiries, please contact partnerships@abcam.com