JavaScript is disabled in your browser. Please enable JavaScript to view this website.
AB240275

Anti-Dcp1a antibody [EPR13822] - BSA and Azide free

Be the first to review this product! Submit a review

|

(1 Publication)

Rabbit Recombinant Monoclonal DCP1A antibody. Carrier free. Suitable for WB, ICC/IF, Flow Cyt (Intra), IHC-P and reacts with Human samples. Cited in 1 publication.

View Alternative Names

SMIF, DCP1A, mRNA-decapping enzyme 1A, Smad4-interacting transcriptional co-activator, Transcription factor SMIF

4 Images
Immunocytochemistry/ Immunofluorescence - Anti-Dcp1a antibody [EPR13822] - BSA and Azide free (AB240275)
  • ICC/IF

Supplier Data

Immunocytochemistry/ Immunofluorescence - Anti-Dcp1a antibody [EPR13822] - BSA and Azide free (AB240275)

Immunofluorescent analysis of 4% paraformaldehyde-fixed HepG2 cells labeling Dcp1a with ab183709 at 1/250 dilution, followed by Goat anti rabbit IgG (Alexa Fluor® 488) secondary antibody at 1/200 dilution (green). Counter stained with Dapi (blue).

This data was developed using the same antibody clone in a different buffer formulation containing PBS, BSA, glycerol, and sodium azide (ab183709).

Flow Cytometry (Intracellular) - Anti-Dcp1a antibody [EPR13822] - BSA and Azide free (AB240275)
  • Flow Cyt (Intra)

Supplier Data

Flow Cytometry (Intracellular) - Anti-Dcp1a antibody [EPR13822] - BSA and Azide free (AB240275)

Intracellular flow cytometric analysis of 2% paraformaldehyde-fixed HeLa cells labeling Dcp1a with ab183709 at 1/150 dilution (red) compared to a Rabbit monoclonal IgG isotype control (green), followed by Goat anti rabbit IgG (FITC) secondary antibody at 1/150 dilution.

This data was developed using the same antibody clone in a different buffer formulation containing PBS, BSA, glycerol, and sodium azide (ab183709).

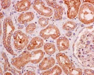
Immunohistochemistry (Formalin/PFA-fixed paraffin-embedded sections) - Anti-Dcp1a antibody [EPR13822] - BSA and Azide free (AB240275)
  • IHC-P

Supplier Data

Immunohistochemistry (Formalin/PFA-fixed paraffin-embedded sections) - Anti-Dcp1a antibody [EPR13822] - BSA and Azide free (AB240275)

Immunohistochemical analysis of paraffin-embedded Human kidney tissue labeling Dcp1a with ab183709 at 1/250 dilution followed by prediluted HRP Polymer for Rabbit IgG. Counter stained with Hematoxylin.

This data was developed using the same antibody clone in a different buffer formulation containing PBS, BSA, glycerol, and sodium azide (ab183709).

Perform heat mediated antigen retrieval with EDTA buffer pH 9 before commencing with IHC staining protocol.

Immunocytochemistry/ Immunofluorescence - Anti-Dcp1a antibody [EPR13822] - BSA and Azide free (AB240275)
  • ICC/IF

Lab

Immunocytochemistry/ Immunofluorescence - Anti-Dcp1a antibody [EPR13822] - BSA and Azide free (AB240275)

ab183709 staining Dcp1a in HeLa (human cervix adenocarcinoma) cells by ICC/IF (Immunocytochemistry/immunofluorescence). Cells were fixed with 4% Paraformaldehyde and permeabilized with 0.1% Triton X-100. Samples were incubated with primary antibody at a dilution of 1/500. A goat anti rabbit IgG (Alexa Fluor® 488) (ab150077) was used as the secondary antibody at a dilution of 1/1000. DAPI was used as a nuclear counterstain.

Control : PBS only

This data was developed using the same antibody clone in a different buffer formulation containing PBS, BSA, glycerol, and sodium azide (ab183709).

Key facts

Host species

Rabbit

Clonality

Monoclonal

Clone number

EPR13822

Isotype

IgG

Carrier free

Yes

Reacts with

Human

Applications

Flow Cyt (Intra), ICC/IF, WB, IHC-P

applications

Immunogen

The exact immunogen used to generate this antibody is proprietary information.

Reactivity data

{ "title": "Reactivity Data", "filters": { "stats": ["", "Species", "Dilution Info", "Notes"], "tabs": { "all-applications": {"fullname" : "All Applications", "shortname": "All Applications"}, "WB" : {"fullname" : "Western blot", "shortname":"WB"}, "ICCIF" : {"fullname" : "Immunocytochemistry/ Immunofluorescence", "shortname":"ICC/IF"}, "FlowCytIntra" : {"fullname" : "Flow Cytometry (Intracellular)", "shortname":"Flow Cyt (Intra)"}, "IHCP" : {"fullname" : "Immunohistochemistry (Formalin/PFA-fixed paraffin-embedded sections)", "shortname":"IHC-P"} }, "product-promise": { "all": "all", "testedAndGuaranteed": "tested", "guaranteed": "expected", "predicted": "predicted", "notRecommended": "not-recommended" } }, "values": { "Human": { "WB-species-checked": "guaranteed", "WB-species-dilution-info": "", "WB-species-notes": "<p></p>", "ICCIF-species-checked": "testedAndGuaranteed", "ICCIF-species-dilution-info": "", "ICCIF-species-notes": "<p></p>", "FlowCytIntra-species-checked": "testedAndGuaranteed", "FlowCytIntra-species-dilution-info": "", "FlowCytIntra-species-notes": "<p><a href='/en-us/products/primary-antibodies/rabbit-igg-monoclonal-epr25a-isotype-control-low-endotoxin-azide-free-ab199376'>ab199376</a> - Rabbit monoclonal IgG, is suitable for use as an isotype control with this antibody.</p>", "IHCP-species-checked": "testedAndGuaranteed", "IHCP-species-dilution-info": "", "IHCP-species-notes": "<p></p>" }, "Mouse": { "WB-species-checked": "predicted", "WB-species-dilution-info": "", "WB-species-notes": "", "ICCIF-species-checked": "predicted", "ICCIF-species-dilution-info": "", "ICCIF-species-notes": "", "FlowCytIntra-species-checked": "predicted", "FlowCytIntra-species-dilution-info": "", "FlowCytIntra-species-notes": "", "IHCP-species-checked": "predicted", "IHCP-species-dilution-info": "", "IHCP-species-notes": "" }, "Rat": { "WB-species-checked": "predicted", "WB-species-dilution-info": "", "WB-species-notes": "", "ICCIF-species-checked": "predicted", "ICCIF-species-dilution-info": "", "ICCIF-species-notes": "", "FlowCytIntra-species-checked": "predicted", "FlowCytIntra-species-dilution-info": "", "FlowCytIntra-species-notes": "", "IHCP-species-checked": "predicted", "IHCP-species-dilution-info": "", "IHCP-species-notes": "" } } }

Product details

ab240275 is the carrier-free version of ab183709.

Patented technology
Our RabMAb® technology is a patented hybridoma-based technology for making rabbit monoclonal antibodies. For details on our patents, please refer to RabMAb® patents.

What are the advantages of a recombinant monoclonal antibody?
This product is a recombinant monoclonal antibody, which offers several advantages including:

  • - High batch-to-batch consistency and reproducibility
  • - Improved sensitivity and specificity
  • - Long-term security of supply
  • - Animal-free batch production

For more information, read more on recombinant antibodies.

Conjugation ready
Our carrier-free antibodies are typically supplied in a PBS-only formulation, purified and free of BSA, sodium azide and glycerol. This conjugation-ready format is designed for use with fluorochromes, metal isotopes, oligonucleotides, and enzymes, which makes them ideal for antibody labelling, functional and cell-based assays, flow-based assays (e.g. mass cytometry) and Multiplex Imaging applications.

Use our conjugation kits for antibody conjugates that are ready-to-use in as little as 20 minutes with 1 minute hands-on-time and 100% antibody recovery: available for fluorescent dyes, HRP, biotin and gold.

Compatibility
This product is compatible with the Maxpar® Antibody Labeling Kit from Fluidigm, without the need for antibody preparation. Maxpar® is a trademark of Fluidigm Canada Inc.

Properties and storage information

Form
Liquid
Purification technique
Affinity purification Protein A
Storage buffer
pH: 7.2 - 7.4 Constituents: PBS
Shipped at conditions
Blue Ice
Appropriate short-term storage conditions
+4°C
Appropriate long-term storage conditions
+4°C
Storage information
Do Not Freeze

Product protocols

For this product, it's our understanding that no specific protocols are required. You can visit:

Target data

Necessary for the degradation of mRNAs, both in normal mRNA turnover and in nonsense-mediated mRNA decay (PubMed : 12417715). Removes the 7-methyl guanine cap structure from mRNA molecules, yielding a 5'-phosphorylated mRNA fragment and 7m-GDP (PubMed : 12417715). Contributes to the transactivation of target genes after stimulation by TGFB1 (PubMed : 11836524). Essential for embryonic development (PubMed : 33813271).
See full target information DCP1A

Publications (1)

Recent publications for all applications. Explore the full list and refine your search

Cell death & disease 12:625 PubMed34135312

2021

Clobetasol promotes neuromuscular plasticity in mice after motoneuronal loss via sonic hedgehog signaling, immunomodulation and metabolic rebalancing.

Applications

Unspecified application

Species

Unspecified reactive species

Nunzio Vicario,Federica M Spitale,Daniele Tibullo,Cesarina Giallongo,Angela M Amorini,Grazia Scandura,Graziana Spoto,Miriam W Saab,Simona D'Aprile,Cristiana Alberghina,Renata Mangione,Joshua D Bernstock,Cirino Botta,Massimo Gulisano,Emanuele Buratti,Giampiero Leanza,Robert Zorec,Michele Vecchio,Michelino Di Rosa,Giovanni Li Volti,Giuseppe Lazzarino,Rosalba Parenti,Rosario Gulino
View all publications

Product promise

We are committed to supporting your work with high-quality reagents, and we're here for you every step of the way. In the unlikely event that one of our products does not perform as expected, you're protected by our Product Promise.
For full details, please see our Terms & Conditions

Please note: All products are 'FOR RESEARCH USE ONLY. NOT FOR USE IN DIAGNOSTIC OR THERAPEUTIC PROCEDURES'.

For licensing inquiries, please contact partnerships@abcam.com