JavaScript is disabled in your browser. Please enable JavaScript to view this website.
AB108421

Anti-DcR2 antibody [EPR3588(2)]

Be the first to review this product! Submit a review

|

(5 Publications)

Rabbit Recombinant Monoclonal DcR2 antibody. Suitable for IHC-P, WB and reacts with Human samples. Cited in 5 publications.

View Alternative Names

CD264, DCR2, TRAILR4, TRUNDD, UNQ251/PRO288, TNFRSF10D, Tumor necrosis factor receptor superfamily member 10D, Decoy receptor 2, TNF-related apoptosis-inducing ligand receptor 4, TRAIL receptor with a truncated death domain, DcR2, TRAIL receptor 4, TRAIL-R4

5 Images
Immunohistochemistry (Formalin/PFA-fixed paraffin-embedded sections) - Anti-DcR2 antibody [EPR3588(2)] (AB108421)
  • IHC-P

Unknown

Immunohistochemistry (Formalin/PFA-fixed paraffin-embedded sections) - Anti-DcR2 antibody [EPR3588(2)] (AB108421)

Unpurified ab108421, at 1/250 dilution, staining DcR2 in paraffin-embedded Human tonsil tissue by Immunohistochemistry.

Perform heat mediated antigen retrieval with citrate buffer pH 6 before commencing with IHC staining protocol.

Western blot - Anti-DcR2 antibody [EPR3588(2)] (AB108421)
  • WB

Lab

Western blot - Anti-DcR2 antibody [EPR3588(2)] (AB108421)

The molecular weight observed is consistent with what has been described in PMID : 12865931

All lanes:

Western blot - Anti-DcR2 antibody [EPR3588(2)] (ab108421) at 1/1000 dilution

All lanes:

Human kidney lysates at 15 µg

Secondary

All lanes:

Goat Anti-Rabbit IgG, (H+L), Peroxidase conjugated at 1/2000 dilution

Predicted band size: 42 kDa

Observed band size: 35 kDa

false

Western blot - Anti-DcR2 antibody [EPR3588(2)] (AB108421)
  • WB

Unknown

Western blot - Anti-DcR2 antibody [EPR3588(2)] (AB108421)

All lanes:

Western blot - Anti-DcR2 antibody [EPR3588(2)] (ab108421) at 1/1000 dilution

Lane 1:

Fetal liver lysate at 10 µg

Lane 2:

Fetal kidney lysate at 10 µg

Lane 3:

Human prostate lysate at 10 µg

Secondary

All lanes:

HRP labelled goat anti-rabbit at 1/2000 dilution

Predicted band size: 42 kDa

false

Immunohistochemistry (Formalin/PFA-fixed paraffin-embedded sections) - Anti-DcR2 antibody [EPR3588(2)] (AB108421)
  • IHC-P

Unknown

Immunohistochemistry (Formalin/PFA-fixed paraffin-embedded sections) - Anti-DcR2 antibody [EPR3588(2)] (AB108421)

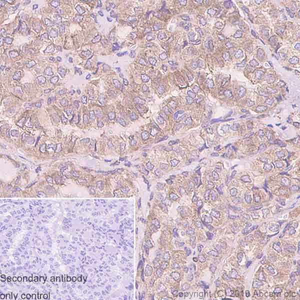
Immunohistochemistry (Formalin/PFA-fixed paraffin-embedded sections) analysis of human thyroid carcinoma tissue sections labeling DcR2 with purified ab108421 at 1 : 8000 dilution (0.03 µg/ml). Heat mediated antigen retrieval was performed using Bond ™ Epitope Retrieval Solution 2 (pH 9.0). Rabbit specific IHC polymer detection kit HRP/DAB (ab209101) was used as the secondary antibody. Negative control : PBS instead of the primary antibody. Hematoxylin was used as a counterstain.

Immunohistochemistry (Formalin/PFA-fixed paraffin-embedded sections) - Anti-DcR2 antibody [EPR3588(2)] (AB108421)
  • IHC-P

Unknown

Immunohistochemistry (Formalin/PFA-fixed paraffin-embedded sections) - Anti-DcR2 antibody [EPR3588(2)] (AB108421)

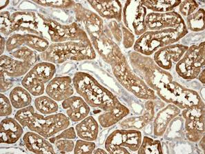
Unpurified ab108421, at 1/250 dilution, staining DcR2 in paraffin-embedded Human kidney tissue by Immunohistochemistry.

Perform heat mediated antigen retrieval with citrate buffer pH 6 before commencing with IHC staining protocol.

  • Carrier free

    Anti-DcR2 antibody [EPR3588(2)] - BSA and Azide free

Key facts

Host species

Rabbit

Clonality

Monoclonal

Clone number

EPR3588(2)

Isotype

IgG

Carrier free

No

Reacts with

Human

Applications

IHC-P, WB

applications

Immunogen

The exact immunogen used to generate this antibody is proprietary information.

Reactivity data

{ "title": "Reactivity Data", "filters": { "stats": ["", "Species", "Dilution Info", "Notes"], "tabs": { "all-applications": {"fullname" : "All Applications", "shortname": "All Applications"}, "IHCP" : {"fullname" : "Immunohistochemistry (Formalin/PFA-fixed paraffin-embedded sections)", "shortname":"IHC-P"}, "WB" : {"fullname" : "Western blot", "shortname":"WB"} }, "product-promise": { "all": "all", "testedAndGuaranteed": "tested", "guaranteed": "expected", "predicted": "predicted", "notRecommended": "not-recommended" } }, "values": { "Human": { "IHCP-species-checked": "testedAndGuaranteed", "IHCP-species-dilution-info": "1/8000", "IHCP-species-notes": "<p><strong>For unpurified use at 1/250 - 1/500.</strong></p> Perform heat-mediated antigen retrieval with citrate buffer pH 6 before commencing with IHC staining protocol.", "WB-species-checked": "testedAndGuaranteed", "WB-species-dilution-info": "1/1000 - 1/10000", "WB-species-notes": "<p></p>" } } }

Product details

Species reactivity
Mouse, Rat: We have preliminary internal testing data to indicate this antibody may not react with these species.
Please contact us for more information.

Patented technology
Our RabMAb® technology is a patented hybridoma-based technology for making rabbit monoclonal antibodies. For details on our patents, please refer to RabMAb® patents.

What are the advantages of a recombinant monoclonal antibody?
This product is a recombinant monoclonal antibody, which offers several advantages including:

  • - High batch-to-batch consistency and reproducibility
  • - Improved sensitivity and specificity
  • - Long-term security of supply
  • - Animal-free batch production

For more information, read more on recombinant antibodies.

Properties and storage information

Form
Liquid
Purification technique
Affinity purification Protein A
Storage buffer
pH: 7.2 - 7.4 Preservative: 0.01% Sodium azide Constituents: 59% PBS, 40% Glycerol (glycerin, glycerine), 0.05% BSA
Shipped at conditions
Blue Ice
Appropriate short-term storage conditions
+4°C
Appropriate long-term storage conditions
-20°C
Storage information
Stable for 12 months at -20°C

Product protocols

For this product, it's our understanding that no specific protocols are required. You can visit:

Target data

Receptor for the cytotoxic ligand TRAIL (PubMed : 9430226). Contains a truncated death domain and hence is not capable of inducing apoptosis but protects against TRAIL-mediated apoptosis (PubMed : 9537512). Reports are contradictory with regards to its ability to induce the NF-kappa-B pathway. According to PubMed : 9382840, it cannot but according to PubMed : 9430226, it can induce the NF-kappa-B pathway (PubMed : 9382840, PubMed : 9430226).
See full target information TNFRSF10D

Publications (5)

Recent publications for all applications. Explore the full list and refine your search

Journal of cellular and molecular medicine 29:e70800 PubMed40845179

2025

Decoy Receptor 2 as a Cell Cycle Arrest Biomarker for Predicting Renal Recovery Following Acute Kidney Injury.

Applications

Unspecified application

Species

Unspecified reactive species

Xiangling Yi,Liming Wang,Xiao-Yue Wang,Yu Fang,Jiarui Liu,Kehong Chen,Ya-Ni He,Jia Chen

Science translational medicine 14:eabj4375 PubMed36475903

2022

Senolytic treatment preserves biliary regenerative capacity lost through cellular senescence during cold storage.

Applications

Unspecified application

Species

Unspecified reactive species

Sofia Ferreira-Gonzalez,Tak Yung Man,Hannah Esser,Rhona Aird,Alastair M Kilpatrick,Daniel Rodrigo-Torres,Nicholas Younger,Lara Campana,Victoria L Gadd,Benjamin Dwyer,Niya Aleksieva,Luke Boulter,Mark T Macmillan,Yinmiao Wang,Katie J Mylonas,David A Ferenbach,Timothy J Kendall,Wei-Yu Lu,Juan Carlos Acosta,Dominic Kurian,Stephen O'Neill,Gabriel C Oniscu,Jesus M Banales,Paul J Krimpenfort,Stuart J Forbes

International journal of molecular sciences 23: PubMed36142828

2022

A Novel L-Phenylalanine Dipeptide Inhibits the Growth and Metastasis of Prostate Cancer Cells via Targeting DUSP1 and TNFSF9.

Applications

Unspecified application

Species

Unspecified reactive species

Lanlan Li,Mingfei Yang,Jia Yu,Sha Cheng,Mashaal Ahmad,Caihong Wu,Xinwei Wan,Bixue Xu,Yaacov Ben-David,Heng Luo

Cell death & disease 13:522 PubMed35661704

2022

Decoy receptor 2 mediates the apoptosis-resistant phenotype of senescent renal tubular cells and accelerates renal fibrosis in diabetic nephropathy.

Applications

Unspecified application

Species

Unspecified reactive species

Jia Chen,Ke-Hong Chen,Li-Ming Wang,Jia Luo,Quan-You Zheng,Ya-Ni He

Science translational medicine 10: PubMed30111642

2018

TGFβ inhibition restores a regenerative response in acute liver injury by suppressing paracrine senescence.

Applications

Unspecified application

Species

Unspecified reactive species

Thomas G Bird,Miryam Müller,Luke Boulter,David F Vincent,Rachel A Ridgway,Elena Lopez-Guadamillas,Wei-Yu Lu,Thomas Jamieson,Olivier Govaere,Andrew D Campbell,Sofía Ferreira-Gonzalez,Alicia M Cole,Trevor Hay,Kenneth J Simpson,William Clark,Ann Hedley,Mairi Clarke,Pauline Gentaz,Colin Nixon,Steven Bryce,Christos Kiourtis,Joep Sprangers,Robert J B Nibbs,Nico Van Rooijen,Laurent Bartholin,Steven R McGreal,Udayan Apte,Simon T Barry,John P Iredale,Alan R Clarke,Manuel Serrano,Tania A Roskams,Owen J Sansom,Stuart J Forbes
View all publications

Product promise

We are committed to supporting your work with high-quality reagents, and we're here for you every step of the way. In the unlikely event that one of our products does not perform as expected, you're protected by our Product Promise.
For full details, please see our Terms & Conditions

Please note: All products are 'FOR RESEARCH USE ONLY. NOT FOR USE IN DIAGNOSTIC OR THERAPEUTIC PROCEDURES'.

For licensing inquiries, please contact partnerships@abcam.com