JavaScript is disabled in your browser. Please enable JavaScript to view this website.
AB183607

Anti-DCTD antibody

Be the first to review this product! Submit a review

|

(1 Publication)

Rabbit Polyclonal DCTD antibody. Suitable for WB, ICC/IF, IHC-P and reacts with Transfected cell lysate - Human, Human samples. Cited in 1 publication. Immunogen corresponding to Recombinant Fragment Protein within Human DCTD.

View Alternative Names

Deoxycytidylate deaminase, dCMP deaminase, DCTD

4 Images
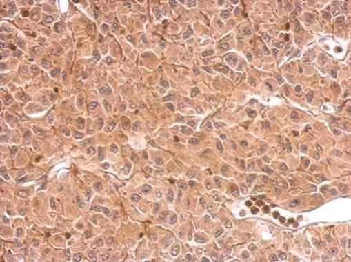
Immunohistochemistry (Formalin/PFA-fixed paraffin-embedded sections) - Anti-DCTD antibody (AB183607)
  • IHC-P

Supplier Data

Immunohistochemistry (Formalin/PFA-fixed paraffin-embedded sections) - Anti-DCTD antibody (AB183607)

Immunohistochemical analysis of paraffin embedded U87 xenograft labeling DCTD with ab183607 at 1/500.dilution.

Immunocytochemistry/ Immunofluorescence - Anti-DCTD antibody (AB183607)
  • ICC/IF

Supplier Data

Immunocytochemistry/ Immunofluorescence - Anti-DCTD antibody (AB183607)

Immunofluorescence analysis of SK-N-SH cells fixed in 4% paraformaldehyde at RT for 15 min labelling DCTD protein at nucleus, cytoplasm and endoplasmic reticulum using ab183607 at a 1/500 dilution (Green). Hoechst 33342 was used for nuclear staining (Blue).

Western blot - Anti-DCTD antibody (AB183607)
  • WB

Supplier Data

Western blot - Anti-DCTD antibody (AB183607)

12% SDS PAGE

All lanes:

Western blot - Anti-DCTD antibody (ab183607) at 1/1000 dilution

Lane 1:

NT2D1 whole cell lysate at 30 µg

Lane 2:

PC3 whole cell lysate at 30 µg

Lane 3:

U87-MG whole cell lysate at 30 µg

Lane 4:

SK-N-SH whole cell lysate at 30 µg

Predicted band size: 20 kDa

false

Western blot - Anti-DCTD antibody (AB183607)
  • WB

Supplier Data

Western blot - Anti-DCTD antibody (AB183607)

12% SDS PAGE

All lanes:

Western blot - Anti-DCTD antibody (ab183607) at 1/5000 dilution

Lane 1:

293T whole cell lysate at 30 µg

Lane 2:

Human DCTD-transfected 293T cell lysate at 30 µg

Predicted band size: 20 kDa

false

Key facts

Host species

Rabbit

Clonality

Polyclonal

Isotype

IgG

Carrier free

No

Reacts with

Human

Applications

WB, IHC-P, ICC/IF

applications

Immunogen

Recombinant Fragment Protein within Human DCTD. The exact immunogen used to generate this antibody is proprietary information.

P32321

Reactivity data

{ "title": "Reactivity Data", "filters": { "stats": ["", "Species", "Dilution Info", "Notes"], "tabs": { "all-applications": {"fullname" : "All Applications", "shortname": "All Applications"}, "WB" : {"fullname" : "Western blot", "shortname":"WB"}, "ICCIF" : {"fullname" : "Immunocytochemistry/ Immunofluorescence", "shortname":"ICC/IF"}, "IHCP" : {"fullname" : "Immunohistochemistry (Formalin/PFA-fixed paraffin-embedded sections)", "shortname":"IHC-P"} }, "product-promise": { "all": "all", "testedAndGuaranteed": "tested", "guaranteed": "expected", "predicted": "predicted", "notRecommended": "not-recommended" } }, "values": { "Human": { "WB-species-checked": "testedAndGuaranteed", "WB-species-dilution-info": "1/1000 - 1/10000", "WB-species-notes": "<p></p>", "ICCIF-species-checked": "testedAndGuaranteed", "ICCIF-species-dilution-info": "", "ICCIF-species-notes": "<p></p>", "IHCP-species-checked": "testedAndGuaranteed", "IHCP-species-dilution-info": "1/100 - 1/1000", "IHCP-species-notes": "<p></p>" }, "Transfected cell lysate - Human": { "WB-species-checked": "testedAndGuaranteed", "WB-species-dilution-info": "1/1000 - 1/10000", "WB-species-notes": "<p></p>", "ICCIF-species-checked": "notRecommended", "ICCIF-species-dilution-info": "", "ICCIF-species-notes": "", "IHCP-species-checked": "notRecommended", "IHCP-species-dilution-info": "", "IHCP-species-notes": "" } } }

Properties and storage information

Form
Liquid
Purification technique
Affinity purification Immunogen
Storage buffer
pH: 7 Preservative: 0.01% Thimerosal (merthiolate) Constituents: PBS, 20% Glycerol (glycerin, glycerine)
Shipped at conditions
Blue Ice
Appropriate short-term storage duration
1-2 weeks
Appropriate short-term storage conditions
+4°C
Appropriate long-term storage conditions
-20°C
Aliquoting information
Upon delivery aliquot
Storage information
Avoid freeze / thaw cycle

Product protocols

For this product, it's our understanding that no specific protocols are required. You can visit:

Target data

Catalyzes the deamination of dCMP to dUMP, providing the nucleoside monophosphate substrate for the thymidylate synthase/TYMS (PubMed : 7685356). Also, part of a nucleotide salvage pathway that eliminates epigenetically modified 5-hydroxymethyl-dCMP (hmdCMP) in a two-step process entailing deamination to cytotoxic 5-hydroxymethyl-dUMP (hmdUMP), followed by its hydrolysis into 5-hydroxymethyluracil (hmU) and 2-deoxy-D-ribose 5-phosphate (deoxyribosephosphate) (PubMed : 33833118). Catalyzes the first step in that pathway, the deamination of 5-hydroxymethyl-dCMP (hmdCMP) (PubMed : 33833118).
See full target information DCTD

Publications (1)

Recent publications for all applications. Explore the full list and refine your search

Experimental and therapeutic medicine 18:550-558 PubMed31258693

2019

Overexpression of microRNA-620 facilitates the resistance of triple negative breast cancer cells to gemcitabine treatment by targeting DCTD.

Applications

Unspecified application

Species

Unspecified reactive species

Chao Wu,Aili Zhao,Tingzhao Tan,Yuan Wang,Zhentao Shen
View all publications

Product promise

We are committed to supporting your work with high-quality reagents, and we're here for you every step of the way. In the unlikely event that one of our products does not perform as expected, you're protected by our Product Promise.
For full details, please see our Terms & Conditions

Please note: All products are 'FOR RESEARCH USE ONLY. NOT FOR USE IN DIAGNOSTIC OR THERAPEUTIC PROCEDURES'.

For licensing inquiries, please contact partnerships@abcam.com