JavaScript is disabled in your browser. Please enable JavaScript to view this website.
AB302630

Anti-DCTN1/p150-glued antibody [EPR26464-28] (BSA and Azide free)

Be the first to review this product! Submit a review

|

(0 Publication)

Rabbit Recombinant Monoclonal DCTN1/p150-glued antibody. Carrier free. Suitable for IP, Flow Cyt (Intra), ICC/IF, IHC-Fr, IHC-P, WB and reacts with Mouse, Human samples.

View Alternative Names

Dynactin subunit 1, 150 kDa dynein-associated polypeptide, DAP-150, p135, p150-glued, DP-150, DCTN1

11 Images
Immunocytochemistry/ Immunofluorescence - Anti-DCTN1/p150-glued antibody [EPR26464-28] (BSA and Azide free) (AB302630)
  • ICC/IF

Lab

Immunocytochemistry/ Immunofluorescence - Anti-DCTN1/p150-glued antibody [EPR26464-28] (BSA and Azide free) (AB302630)

This data was developed using ab302629, the same antibody clone in a different buffer formulation.

Immunofluorescent analysis of 4% Paraformaldehyde-fixed, 0.1% TritonX-100 permeabilized HeLa (human cervix adenocarcinoma epithelial cell) labelling DCTN1/p150-glued with ab302629 at 1/200 (9.955 ug/ml) dilution, followed by ab150081 Goat Anti-Rabbit IgG H&L (Alexa Fluor® 488) preadsorbed antibody at 1/1000 (2ug/ml) dilution (Green).

Confocal image showing cytoplasm staining in HeLa cell line (shown in green). The counterstain was observed in magenta. Nuclear DNA was labelled with DAPI (shown in blue). Image was taken with a confocal microscope (Leica-Microsystems, TCS SP8).

ab7291 Anti-alpha Tubulin antibody [DM1A] - Loading Control was used to counterstain tubulin at 1/1000 (1 ug/ml) dilution (Magenta). The Nuclear counterstain was DAPI (Blue).

-ve control 1 : ab302629 at 1/50 dilution, followed by ab150120 Goat Anti-Mouse IgG H&L (Alexa Fluor® 594) antibody at 1/1000 dilution.
-ve control 2 : ab7291 at 1/1000 dilution, followed by ab150081 Goat Anti-Rabbit IgG H&L (Alexa Fluor® 488) preadsorbed antibody at 1/1000 dilution.

Flow Cytometry (Intracellular) - Anti-DCTN1/p150-glued antibody [EPR26464-28] (BSA and Azide free) (AB302630)
  • Flow Cyt (Intra)

Lab

Flow Cytometry (Intracellular) - Anti-DCTN1/p150-glued antibody [EPR26464-28] (BSA and Azide free) (AB302630)

This data was developed using ab302629, the same antibody clone in a different buffer formulation.

Flow cytometric analysis of 4% paraformaldehyde fixed 90% methanol permeabilized HeLa (human cervix adenocarcinoma epithelial cell) cells labelling DCTN1/p150-glued with ab302629 at 1/2000 (Red) compared with a Rabbit IgG, monoclonal [EPR25A] - Isotype Control (ab172730) (Black) . Unlabelled control (cells without incubation with primary antibody and secondary antibody) / Blue.

Immunoprecipitation - Anti-DCTN1/p150-glued antibody [EPR26464-28] (BSA and Azide free) (AB302630)
  • IP

Lab

Immunoprecipitation - Anti-DCTN1/p150-glued antibody [EPR26464-28] (BSA and Azide free) (AB302630)

This data was developed using ab302629, the same antibody clone in a different buffer formulation

DCTN1/p150-glued was immunoprecipitated from 0.35 mg HeLa whole cell lysate with ab302629 at 1/30 dilution (2ug in 0.35mg lysates). Western blot was performed on the immunoprecipitate using ab302629 at 1/1000 dilution.

Blocking and dilution buffer and concentration : 5% NFDM/TBST.

All lanes:

Immunoprecipitation - Anti-DCTN1/p150-glued antibody [EPR26464-28] (<a href='/en-us/products/primary-antibodies/dctn1-p150-glued-antibody-epr26464-28-ab302629'>ab302629</a>) at 1/1000 dilution

Lane 1:

HeLa (human cervix adenocarcinoma epithelial cell), whole cell lysate at 10 µg

Lane 2:

<a href='/en-us/products/primary-antibodies/dctn1-p150-glued-antibody-epr26464-28-ab302629'>ab302629</a> at 1/30 IP in HeLa whole cell lysate at 10 µg

Lane 3:

Rabbit monoclonal IgG (<a href='/en-us/products/primary-antibodies/rabbit-igg-monoclonal-epr25a-isotype-control-ab172730'>ab172730</a>) instead of <a href='/en-us/products/primary-antibodies/dctn1-p150-glued-antibody-epr26464-28-ab302629'>ab302629</a> in HeLa whole cell lysate at 10 µg

Secondary

All lanes:

Immunoprecipitation - VeriBlot for IP Detection Reagent (HRP) (<a href='/en-us/products/reagents/veriblot-for-ip-detection-reagent-hrp-ab131366'>ab131366</a>) at 1/5000 dilution

Observed band size: 150 kDa

false

Immunocytochemistry/ Immunofluorescence - Anti-DCTN1/p150-glued antibody [EPR26464-28] (BSA and Azide free) (AB302630)
  • ICC/IF

Lab

Immunocytochemistry/ Immunofluorescence - Anti-DCTN1/p150-glued antibody [EPR26464-28] (BSA and Azide free) (AB302630)

This data was developed using ab302629, the same antibody clone in a different buffer formulation.

Immunofluorescent analysis of 4% Paraformaldehyde-fixed, 0.1% TritonX-100 permeabilized Neuro-2a (mouse neuroblastoma neuroblast) cells labelling DCTN1/p150-glued with ab302629 at 1/200 (9.955 ug/ml) dilution, followed by ab150081 Goat Anti-Rabbit IgG H&L (Alexa Fluor® 488) preadsorbed antibody at 1/1000 (2ug/ml) dilution (Green).

Confocal image showing cytoplasm staining in Neuro-2a cell line (shown in green). The counterstain was observed in magenta. Nuclear DNA was labelled with DAPI (shown in blue). Image was taken with a confocal microscope (Leica-Microsystems, TCS SP8).

ab7291 Anti-alpha Tubulin antibody [DM1A] - Loading Control was used to counterstain tubulin at 1/1000 (1 ug/ml) dilution (Magenta). The Nuclear counterstain was DAPI (Blue).

-ve control 1 : ab302629 at 1/50 dilution, followed by ab150120 Goat Anti-Mouse IgG H&L (Alexa Fluor® 594) antibody at 1/1000 dilution.
-ve control 2 : ab7291 at 1/1000 dilution, followed by ab150081 Goat Anti-Rabbit IgG H&L (Alexa Fluor® 488) preadsorbed antibody at 1/1000 dilution.

Immunohistochemistry (Frozen sections) - Anti-DCTN1/p150-glued antibody [EPR26464-28] (BSA and Azide free) (AB302630)
  • IHC-Fr

Lab

Immunohistochemistry (Frozen sections) - Anti-DCTN1/p150-glued antibody [EPR26464-28] (BSA and Azide free) (AB302630)

This data was developed using ab302629, the same antibody clone in a different buffer formulation.

Immunohistochemical analysis of 4% PFA-fixed, 0.2% Triton X-100 permeabilized frozen mouse liver (fresh) tissue labelling DCTN1/p150-glued with ab302629 at 1/100 (19.91 ug/ml) dilution followed by ab150081 Goat Anti-Rabbit IgG H&L (Alexa Fluor® 488) preadsorbed at 1/1000 2 ug/mL dilution (Green).

Negative control : no staining on mouse liver (PMID : 1836789).

The nuclear counterstain was DAPI (Blue).

Secondary antibody control : Secondary antibody is ab150081 Goat Anti-Rabbit IgG H&L (Alexa Fluor® 488) preadsorbedat 1/1000 2 ug/mL dilution.

Flow Cytometry (Intracellular) - Anti-DCTN1/p150-glued antibody [EPR26464-28] (BSA and Azide free) (AB302630)
  • Flow Cyt (Intra)

Supplier Data

Flow Cytometry (Intracellular) - Anti-DCTN1/p150-glued antibody [EPR26464-28] (BSA and Azide free) (AB302630)

This data was developed using ab302629, the same antibody clone in a different buffer formulation. Flow cytometric analysis of 4% paraformaldehyde fixed 90% methanol permeabilized Neuro-2a (mouse neuroblastoma neuroblast) cells labelling DCTN1/p150-glued with ab302629 at 1/50 dilution (1ug) (Red) (Red) compared with a Rabbit monoclonal IgG (ab172730) (Black) isotype control and an unlabelled control (cells without incubation with primary antibody and secondary antibody) (Blue). A Goat Anti-Rabbit IgG (Alexa Fluor® 488, ab150081) at 1/2000 dilution was used as the secondary antibody.

Immunohistochemistry (Formalin/PFA-fixed paraffin-embedded sections) - Anti-DCTN1/p150-glued antibody [EPR26464-28] (BSA and Azide free) (AB302630)
  • IHC-P

Lab

Immunohistochemistry (Formalin/PFA-fixed paraffin-embedded sections) - Anti-DCTN1/p150-glued antibody [EPR26464-28] (BSA and Azide free) (AB302630)

This data was developed using ab302629, the same antibody clone in a different buffer formulation.

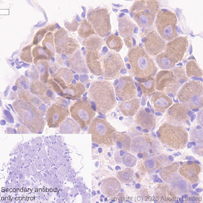
Immunohistochemical analysis of paraffin-embedded Mouse dorsal root ganglion tissue labelling DCTN1/p150-glued with ab302629 at 1/3500 dilution.

Positive staining on mouse dorsal root ganglion.

The section was incubated with ab302629 for 30 mins at room temperature. The immunostaining was performed on a Leica Biosystems BOND® RX instrument. Counterstained with Hematoxylin.

Heat mediated antigen retrieval using Bond™ Epitope Retrieval Solution 2 (pH 9.0) for 20 mins.

Immunohistochemistry (Frozen sections) - Anti-DCTN1/p150-glued antibody [EPR26464-28] (BSA and Azide free) (AB302630)
  • IHC-Fr

Lab

Immunohistochemistry (Frozen sections) - Anti-DCTN1/p150-glued antibody [EPR26464-28] (BSA and Azide free) (AB302630)

This data was developed using ab302629, the same antibody clone in a different buffer formulation.

Immunohistochemical analysis of 4% PFA-fixed, 0.2% Triton X-100 permeabilized frozen Mouse spinal cord (fresh) tissue labelling DCTN1/p150-glued with ab302629 at 1/100 (19.91 ug/ml) dilution followed by ab150081 Goat Anti-Rabbit IgG H&L (Alexa Fluor® 488) preadsorbed at 1/1000 (2 ug/mL) dilution (Green).

Confocal image showing positive staining on mouse spinal cord. The nuclear counterstain was DAPI (Blue).

Secondary antibody control : Secondary antibody is ab150081 Goat Anti-Rabbit IgG H&L (Alexa Fluor® 488) preadsorbed at 1/1000 2 ug/mL dilution.

Immunohistochemistry (Formalin/PFA-fixed paraffin-embedded sections) - Anti-DCTN1/p150-glued antibody [EPR26464-28] (BSA and Azide free) (AB302630)
  • IHC-P

Lab

Immunohistochemistry (Formalin/PFA-fixed paraffin-embedded sections) - Anti-DCTN1/p150-glued antibody [EPR26464-28] (BSA and Azide free) (AB302630)

This data was developed using ab302629, the same antibody clone in a different buffer formulation.

Immunohistochemical analysis of paraffin-embedded mouse cerebrum labelling DCTN1/p150-glued with ab302629 at 1/3500 dilution.

Positive staining on mouse cerebrum.

The section was incubated with ab302629 for 30 mins at room temperature. The immunostaining was performed on a Leica Biosystems BOND® RX instrument. Counterstained with Hematoxylin.

Heat mediated antigen retrieval using Bond™ Epitope Retrieval Solution 2 (pH 9.0) for 20 mins.

Immunoprecipitation - Anti-DCTN1/p150-glued antibody [EPR26464-28] (BSA and Azide free) (AB302630)
  • IP

Lab

Immunoprecipitation - Anti-DCTN1/p150-glued antibody [EPR26464-28] (BSA and Azide free) (AB302630)

This data was developed using ab302629, the same antibody clone in a different buffer formulation.

DCTN1/p150-glued was immunoprecipitated from 0.35 mg mouse Neuro-2a whole cell lysate with ab302629 at 1/30 dilution (2ug in 0.35mg lysates). Western blot was performed on the immunoprecipitate using ab302629 at 1/1000 dilution.

Blocking and dilution buffer and concentration : 5% NFDM/TBST.

All lanes:

Immunoprecipitation - Anti-DCTN1/p150-glued antibody [EPR26464-28] (<a href='/en-us/products/primary-antibodies/dctn1-p150-glued-antibody-epr26464-28-ab302629'>ab302629</a>) at 1/1000 dilution

Lane 1:

Neuro-2a (mouse neuroblastoma neuroblast), whole cell lysate at 10 µg

Lane 2:

<a href='/en-us/products/primary-antibodies/dctn1-p150-glued-antibody-epr26464-28-ab302629'>ab302629</a> at 1/30 IP in Neuro-2a whole cell lysate at 10 µg

Lane 3:

Rabbit monoclonal IgG (<a href='/en-us/products/primary-antibodies/rabbit-igg-monoclonal-epr25a-isotype-control-ab172730'>ab172730</a>) instead of <a href='/en-us/products/primary-antibodies/dctn1-p150-glued-antibody-epr26464-28-ab302629'>ab302629</a> in Neuro-2a whole cell lysate at 10 µg

Secondary

All lanes:

Immunoprecipitation - VeriBlot for IP Detection Reagent (HRP) (<a href='/en-us/products/reagents/veriblot-for-ip-detection-reagent-hrp-ab131366'>ab131366</a>) at 1/5000 dilution

Observed band size: 150 kDa

false

Exposure time: 180s

Western blot - Anti-DCTN1/p150-glued antibody [EPR26464-28] (BSA and Azide free) (AB302630)
  • WB

Lab

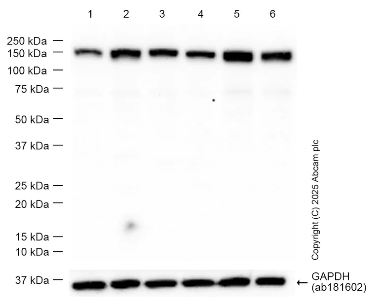
Western blot - Anti-DCTN1/p150-glued antibody [EPR26464-28] (BSA and Azide free) (AB302630)

This data was developed using ab302629, the same antibody clone in a different buffer formulation.

Blocking and diluting buffer and concentration : 5% NFDM/TBST.

All lanes:

Western blot - Anti-DCTN1/p150-glued antibody [EPR26464-28] (<a href='/en-us/products/primary-antibodies/dctn1-p150-glued-antibody-epr26464-28-ab302629'>ab302629</a>) at 1/1000 dilution

Lane 1:

HeLa (human cervix adenocarcinoma epithelial cell) whole cell lysate at 20 µg

Lane 2:

SH-SY5Y (human neuroblastoma epithelial cell) whole cell lysate at 20 µg

Lane 3:

Neuro-2a (mouse neuroblastoma neuroblast) whole cell lysate at 20 µg

Lane 4:

NIH/3T3 (mouse embryonic fibroblast) whole cell lysate at 20 µg

Lane 5:

Mouse brain tissue lysate at 20 µg

Lane 6:

Mouse cerebellum tissue lysate at 20 µg

Secondary

All lanes:

Western blot - Goat Anti-Rabbit IgG H&L (HRP) (<a href='/en-us/products/secondary-antibodies/goat-rabbit-igg-h-l-hrp-ab97051'>ab97051</a>) at 1/20000 dilution

Observed band size: 150 kDa

false

Exposure time: 20s

Key facts

Host species

Rabbit

Clonality

Monoclonal

Clone number

EPR26464-28

Isotype

IgG

Carrier free

Yes

Reacts with

Human, Mouse

Applications

ICC/IF, IHC-P, Flow Cyt (Intra), WB, IP, IHC-Fr

applications

Immunogen

The exact immunogen used to generate this antibody is proprietary information.

Reactivity data

{ "title": "Reactivity Data", "filters": { "stats": ["", "Species", "Dilution Info", "Notes"], "tabs": { "all-applications": {"fullname" : "All Applications", "shortname": "All Applications"}, "IP" : {"fullname" : "Immunoprecipitation", "shortname":"IP"}, "FlowCytIntra" : {"fullname" : "Flow Cytometry (Intracellular)", "shortname":"Flow Cyt (Intra)"}, "ICCIF" : {"fullname" : "Immunocytochemistry/ Immunofluorescence", "shortname":"ICC/IF"}, "IHCFr" : {"fullname" : "Immunohistochemistry (Frozen sections)", "shortname":"IHC-Fr"}, "IHCP" : {"fullname" : "Immunohistochemistry (Formalin/PFA-fixed paraffin-embedded sections)", "shortname":"IHC-P"}, "WB" : {"fullname" : "Western blot", "shortname":"WB"} }, "product-promise": { "all": "all", "testedAndGuaranteed": "tested", "guaranteed": "expected", "predicted": "predicted", "notRecommended": "not-recommended" } }, "values": { "Human": { "IP-species-checked": "testedAndGuaranteed", "IP-species-dilution-info": "", "IP-species-notes": "<p></p>", "FlowCytIntra-species-checked": "testedAndGuaranteed", "FlowCytIntra-species-dilution-info": "", "FlowCytIntra-species-notes": "<p></p>", "ICCIF-species-checked": "testedAndGuaranteed", "ICCIF-species-dilution-info": "", "ICCIF-species-notes": "<p></p>", "IHCFr-species-checked": "guaranteed", "IHCFr-species-dilution-info": "", "IHCFr-species-notes": "", "IHCP-species-checked": "notRecommended", "IHCP-species-dilution-info": "", "IHCP-species-notes": "<p></p>", "WB-species-checked": "testedAndGuaranteed", "WB-species-dilution-info": "", "WB-species-notes": "<p></p>" }, "Mouse": { "IP-species-checked": "testedAndGuaranteed", "IP-species-dilution-info": "", "IP-species-notes": "<p></p>", "FlowCytIntra-species-checked": "testedAndGuaranteed", "FlowCytIntra-species-dilution-info": "", "FlowCytIntra-species-notes": "<p></p>", "ICCIF-species-checked": "testedAndGuaranteed", "ICCIF-species-dilution-info": "", "ICCIF-species-notes": "<p></p>", "IHCFr-species-checked": "testedAndGuaranteed", "IHCFr-species-dilution-info": "", "IHCFr-species-notes": "<p></p>", "IHCP-species-checked": "testedAndGuaranteed", "IHCP-species-dilution-info": "", "IHCP-species-notes": "<p></p>", "WB-species-checked": "testedAndGuaranteed", "WB-species-dilution-info": "", "WB-species-notes": "<p></p>" }, "Rat": { "IP-species-checked": "notRecommended", "IP-species-dilution-info": "", "IP-species-notes": "", "FlowCytIntra-species-checked": "notRecommended", "FlowCytIntra-species-dilution-info": "", "FlowCytIntra-species-notes": "<p></p>", "ICCIF-species-checked": "notRecommended", "ICCIF-species-dilution-info": "", "ICCIF-species-notes": "", "IHCFr-species-checked": "notRecommended", "IHCFr-species-dilution-info": "", "IHCFr-species-notes": "<p></p>", "IHCP-species-checked": "notRecommended", "IHCP-species-dilution-info": "", "IHCP-species-notes": "<p></p>", "WB-species-checked": "notRecommended", "WB-species-dilution-info": "", "WB-species-notes": "<p></p>" } } }

Product details

Want a custom formulation?
This antibody clone is manufactured by Abcam. If you require a custom buffer formulation or conjugation for your experiments, please contact orders@abcam.com

Patented technology
Our RabMAb® technology is a patented hybridoma-based technology for making rabbit monoclonal antibodies. For details on our patents, please refer to RabMAb® patents.

Conjugation ready
Our carrier-free antibodies are typically supplied in a PBS-only formulation, purified and free of BSA, sodium azide and glycerol. This conjugation-ready format is designed for use with fluorochromes, metal isotopes, oligonucleotides, and enzymes, which makes them ideal for antibody labelling, functional and cell-based assays, flow-based assays (e.g. mass cytometry) and Multiplex Imaging applications.

Use our conjugation kits for antibody conjugates that are ready-to-use in as little as 20 minutes with 1 minute hands-on-time and 100% antibody recovery: available for fluorescent dyes, HRP, biotin and gold.

Compatibility
This product is compatible with the Maxpar® Antibody Labeling Kit from Fluidigm, without the need for antibody preparation. Maxpar® is a trademark of Fluidigm Canada Inc.

What are the advantages of a recombinant monoclonal antibody?
This product is a recombinant monoclonal antibody, which offers several advantages including:

  • - High batch-to-batch consistency and reproducibility
  • - Improved sensitivity and specificity
  • - Long-term security of supply
  • - Animal-free batch production

For more information, read more on recombinant antibodies.

Properties and storage information

Form
Liquid
Purification technique
Affinity purification Protein A
Storage buffer
pH: 7.2 - 7.4 Constituents: PBS
Shipped at conditions
Blue Ice
Appropriate short-term storage conditions
+4°C
Appropriate long-term storage conditions
+4°C
Storage information
Do Not Freeze

Product protocols

For this product, it's our understanding that no specific protocols are required. You can visit:

Target data

Part of the dynactin complex that activates the molecular motor dynein for ultra-processive transport along microtubules (By similarity). Plays a key role in dynein-mediated retrograde transport of vesicles and organelles along microtubules by recruiting and tethering dynein to microtubules. Binds to both dynein and microtubules providing a link between specific cargos, microtubules and dynein. Essential for targeting dynein to microtubule plus ends, recruiting dynein to membranous cargos and enhancing dynein processivity (the ability to move along a microtubule for a long distance without falling off the track). Can also act as a brake to slow the dynein motor during motility along the microtubule (PubMed : 25185702). Can regulate microtubule stability by promoting microtubule formation, nucleation and polymerization and by inhibiting microtubule catastrophe in neurons. Inhibits microtubule catastrophe by binding both to microtubules and to tubulin, leading to enhanced microtubule stability along the axon (PubMed : 23874158). Plays a role in metaphase spindle orientation (PubMed : 22327364). Plays a role in centriole cohesion and subdistal appendage organization and function. Its recruitment to the centriole in a KIF3A-dependent manner is essential for the maintenance of centriole cohesion and the formation of subdistal appendage. Also required for microtubule anchoring at the mother centriole (PubMed : 23386061). Plays a role in primary cilia formation (PubMed : 25774020).
See full target information DCTN1

Product promise

We are committed to supporting your work with high-quality reagents, and we're here for you every step of the way. In the unlikely event that one of our products does not perform as expected, you're protected by our Product Promise.
For full details, please see our Terms & Conditions

Please note: All products are 'FOR RESEARCH USE ONLY. NOT FOR USE IN DIAGNOSTIC OR THERAPEUTIC PROCEDURES'.

For licensing inquiries, please contact partnerships@abcam.com