JavaScript is disabled in your browser. Please enable JavaScript to view this website.
AB232440

Anti-DCTN3 antibody [EPR5097] - BSA and Azide free

Be the first to review this product! Submit a review

|

(1 Publication)

Rabbit Recombinant Monoclonal DCTN3 antibody. Carrier free. Suitable for IHC-P, WB, ICC/IF and reacts with Human, Mouse, Rat samples. Cited in 1 publication.

View Alternative Names

DCTN22, DCTN3, Dynactin subunit 3, Dynactin complex subunit 22 kDa subunit, p22

4 Images
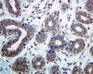
Immunohistochemistry (Formalin/PFA-fixed paraffin-embedded sections) - Anti-DCTN3 antibody [EPR5097] - BSA and Azide free (AB232440)
  • IHC-P

Lab

Immunohistochemistry (Formalin/PFA-fixed paraffin-embedded sections) - Anti-DCTN3 antibody [EPR5097] - BSA and Azide free (AB232440)

Immunohistochemical staining of paraffin embedded human pancreas with purified ab124674 at a working dilution of 1 in 100. The secondary antibody used is a HRP polymer for rabbit IgG. The sample is counter-stained with hematoxylin. Antigen retrieval was perfomed using Tris-EDTA buffer, pH 9.0. PBS was used instead of the primary antibody as the negative control, and is shown in the inset.

This data was developed using the same antibody clone in a different buffer formulation containing PBS, BSA, glycerol, and sodium azide (ab124674).

Immunocytochemistry/ Immunofluorescence - Anti-DCTN3 antibody [EPR5097] - BSA and Azide free (AB232440)
  • ICC/IF

Lab

Immunocytochemistry/ Immunofluorescence - Anti-DCTN3 antibody [EPR5097] - BSA and Azide free (AB232440)

Immunofluorescence staining of BxPC-3 cells with purified ab124674 at a working dilution of 1 in 100, counter-stained with DAPI. The secondary antibody was Alexa Fluor® 488 goat anti rabbit (ab150077), used at a dilution of 1 in 500. The cells were fixed in 4% PFA and permeabilized using 0.1% Triton X 100. The negative control is shown in bottom right hand panel - for the negative control, purified ab124674 was used at a dilution of 1/200 followed by an Alexa Fluor® 594 goat anti-mouse antibody (ab15120) at a dilution of 1/500.

This data was developed using the same antibody clone in a different buffer formulation containing PBS, BSA, glycerol, and sodium azide (ab124674).

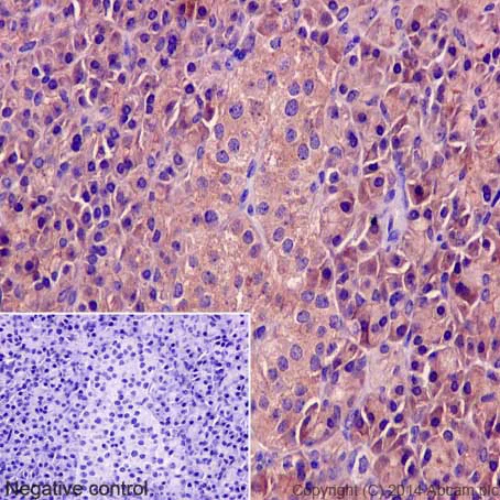
Immunohistochemistry (Formalin/PFA-fixed paraffin-embedded sections) - Anti-DCTN3 antibody [EPR5097] - BSA and Azide free (AB232440)
  • IHC-P

Unknown

Immunohistochemistry (Formalin/PFA-fixed paraffin-embedded sections) - Anti-DCTN3 antibody [EPR5097] - BSA and Azide free (AB232440)

Immunohistochemical staining of DCTN3 in paraffin embedded human breast tissue by unpurified ab124674 at 1/100 dilution.

This data was developed using the same antibody clone in a different buffer formulation containing PBS, BSA, glycerol, and sodium azide (ab124674).

Perform heat mediated antigen retrieval via the pressure cooker method before commencing with IHC staining protocol.

OI-RD Scanning - Anti-DCTN3 antibody [EPR5097] - BSA and Azide free (AB232440)
  • OI-RD Scanning

Unknown

OI-RD Scanning - Anti-DCTN3 antibody [EPR5097] - BSA and Azide free (AB232440)

We have systematically measured KD (the equilibrium dissociation constant between the antibody and its antigen), of more than 840 recombinant antibodies to assess not only their individual KD values but also to see the average affinity of antibody. Based on the comparison with published literature values for mouse monoclonal antibodies, Recombinant antibodies appear to be on average 1-2 order of magnitude higher affinity.

Key facts

Host species

Rabbit

Clonality

Monoclonal

Clone number

EPR5097

Isotype

IgG

Carrier free

Yes

Reacts with

Mouse, Rat, Human

Applications

IHC-P, WB, ICC/IF

applications

Immunogen

The exact immunogen used to generate this antibody is proprietary information.

Reactivity data

{ "title": "Reactivity Data", "filters": { "stats": ["", "Species", "Dilution Info", "Notes"], "tabs": { "all-applications": {"fullname" : "All Applications", "shortname": "All Applications"}, "IHCP" : {"fullname" : "Immunohistochemistry (Formalin/PFA-fixed paraffin-embedded sections)", "shortname":"IHC-P"}, "WB" : {"fullname" : "Western blot", "shortname":"WB"}, "ICCIF" : {"fullname" : "Immunocytochemistry/ Immunofluorescence", "shortname":"ICC/IF"} }, "product-promise": { "all": "all", "testedAndGuaranteed": "tested", "guaranteed": "expected", "predicted": "predicted", "notRecommended": "not-recommended" } }, "values": { "Human": { "IHCP-species-checked": "testedAndGuaranteed", "IHCP-species-dilution-info": "", "IHCP-species-notes": "<p></p>", "WB-species-checked": "guaranteed", "WB-species-dilution-info": "", "WB-species-notes": "<p></p>", "ICCIF-species-checked": "testedAndGuaranteed", "ICCIF-species-dilution-info": "", "ICCIF-species-notes": "<p></p>" }, "Mouse": { "IHCP-species-checked": "predicted", "IHCP-species-dilution-info": "", "IHCP-species-notes": "", "WB-species-checked": "guaranteed", "WB-species-dilution-info": "", "WB-species-notes": "<p></p>", "ICCIF-species-checked": "predicted", "ICCIF-species-dilution-info": "", "ICCIF-species-notes": "" }, "Rat": { "IHCP-species-checked": "predicted", "IHCP-species-dilution-info": "", "IHCP-species-notes": "", "WB-species-checked": "guaranteed", "WB-species-dilution-info": "", "WB-species-notes": "<p></p>", "ICCIF-species-checked": "predicted", "ICCIF-species-dilution-info": "", "ICCIF-species-notes": "" } } }

Product details

ab232440 is the carrier-free version of ab124674.

Patented technology
Our RabMAb® technology is a patented hybridoma-based technology for making rabbit monoclonal antibodies. For details on our patents, please refer to RabMAb® patents.

What are the advantages of a recombinant monoclonal antibody?
This product is a recombinant monoclonal antibody, which offers several advantages including:

  • - High batch-to-batch consistency and reproducibility
  • - Improved sensitivity and specificity
  • - Long-term security of supply
  • - Animal-free batch production

For more information, read more on recombinant antibodies.

Conjugation ready
Our carrier-free antibodies are typically supplied in a PBS-only formulation, purified and free of BSA, sodium azide and glycerol. This conjugation-ready format is designed for use with fluorochromes, metal isotopes, oligonucleotides, and enzymes, which makes them ideal for antibody labelling, functional and cell-based assays, flow-based assays (e.g. mass cytometry) and Multiplex Imaging applications.

Use our conjugation kits for antibody conjugates that are ready-to-use in as little as 20 minutes with 1 minute hands-on-time and 100% antibody recovery: available for fluorescent dyes, HRP, biotin and gold.

Compatibility
This product is compatible with the Maxpar® Antibody Labeling Kit from Fluidigm, without the need for antibody preparation. Maxpar® is a trademark of Fluidigm Canada Inc.

Properties and storage information

Form
Liquid
Purification technique
Affinity purification Protein A
Storage buffer
pH: 7.2 - 7.4 Constituents: PBS
Shipped at conditions
Blue Ice
Appropriate short-term storage conditions
+4°C
Appropriate long-term storage conditions
+4°C
Storage information
Do Not Freeze

Product protocols

For this product, it's our understanding that no specific protocols are required. You can visit:

Target data

Part of the dynactin complex that activates the molecular motor dynein for ultra-processive transport along microtubules (By similarity). Together with dynein may be involved in spindle assembly and cytokinesis (PubMed : 9722614).
See full target information DCTN3

Publications (1)

Recent publications for all applications. Explore the full list and refine your search

Journal of medicinal chemistry 67:19282-19303 PubMed39450890

2024

Discovery and Characterization of BAY-184: A New Potent and Selective Acylsulfonamide-Benzofuran -Active KAT6AB Inhibitor.

Applications

Unspecified application

Species

Unspecified reactive species

Antonius Ter Laak,Roman C Hillig,Steven J Ferrara,Daniel Korr,Naomi Barak,Philip Lienau,Simon Herbert,Amaury Ernesto Fernández-Montalván,Roland Neuhaus,Mátyás Gorjánácz,Vera Puetter,Volker Badock,Wilhelm Bone,Craig Strathdee,Franziska Siegel,Christoph Schatz,Katrin Nowak-Reppel,Olaf Doehr,Stefan Gradl,Ingo V Hartung,Matthew Meyerson,Léa Bouché
View all publications

Product promise

We are committed to supporting your work with high-quality reagents, and we're here for you every step of the way. In the unlikely event that one of our products does not perform as expected, you're protected by our Product Promise.
For full details, please see our Terms & Conditions

Please note: All products are 'FOR RESEARCH USE ONLY. NOT FOR USE IN DIAGNOSTIC OR THERAPEUTIC PROCEDURES'.

For licensing inquiries, please contact partnerships@abcam.com