JavaScript is disabled in your browser. Please enable JavaScript to view this website.
AB170107

Anti-DCTN4 antibody [EPR11223]

5

(4 Reviews)

|

(2 Publications)

Rabbit Recombinant Monoclonal DCTN4 antibody. Suitable for IHC-P, WB, ICC/IF and reacts with Human samples. Cited in 2 publications.

View Alternative Names

Dynactin subunit 4, Dyn4, Dynactin subunit p62, DCTN4

3 Images
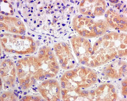
Immunohistochemistry (Formalin/PFA-fixed paraffin-embedded sections) - Anti-DCTN4 antibody [EPR11223] (AB170107)
  • IHC-P

Unknown

Immunohistochemistry (Formalin/PFA-fixed paraffin-embedded sections) - Anti-DCTN4 antibody [EPR11223] (AB170107)

Immunohistochemical analysis of paraffin embedded Human kidney tissue labeling DCTN4 with ab170107 at a 1/50 dilution.

Perform heat mediated antigen retrieval with citrate buffer pH 6 before commencing with IHC staining protocol.

Immunocytochemistry/ Immunofluorescence - Anti-DCTN4 antibody [EPR11223] (AB170107)
  • ICC/IF

Unknown

Immunocytochemistry/ Immunofluorescence - Anti-DCTN4 antibody [EPR11223] (AB170107)

Immunofluorescence analysis of HeLa cells labeling DCTN4 with ab170107 at a 1/100 dilution (red) plus Dapi staining (blue).

Western blot - Anti-DCTN4 antibody [EPR11223] (AB170107)
  • WB

Unknown

Western blot - Anti-DCTN4 antibody [EPR11223] (AB170107)

All lanes:

Western blot - Anti-DCTN4 antibody [EPR11223] (ab170107) at 1/1000 dilution

Lane 1:

U-87 MG (Human glioblastoma-astrocytoma epithelial cell line) cell lysate at 10 µg

Lane 2:

K562 cell lysate at 10 µg

Lane 3:

HeLa cell lysate at 10 µg

Secondary

All lanes:

HRP labelled goat anti-rabbit at 1/2000 dilution

Predicted band size: 52 kDa

false

Key facts

Host species

Rabbit

Clonality

Monoclonal

Clone number

EPR11223

Isotype

IgG

Carrier free

No

Reacts with

Human

Applications

IHC-P, WB, ICC/IF

applications

Immunogen

The exact immunogen used to generate this antibody is proprietary information.

Reactivity data

{ "title": "Reactivity Data", "filters": { "stats": ["", "Species", "Dilution Info", "Notes"], "tabs": { "all-applications": {"fullname" : "All Applications", "shortname": "All Applications"}, "IHCP" : {"fullname" : "Immunohistochemistry (Formalin/PFA-fixed paraffin-embedded sections)", "shortname":"IHC-P"}, "IP" : {"fullname" : "Immunoprecipitation", "shortname":"IP"}, "FlowCyt" : {"fullname" : "Flow Cytometry", "shortname":"Flow Cyt"}, "WB" : {"fullname" : "Western blot", "shortname":"WB"}, "ICCIF" : {"fullname" : "Immunocytochemistry/ Immunofluorescence", "shortname":"ICC/IF"} }, "product-promise": { "all": "all", "testedAndGuaranteed": "tested", "guaranteed": "expected", "predicted": "predicted", "notRecommended": "not-recommended" } }, "values": { "Human": { "IHCP-species-checked": "testedAndGuaranteed", "IHCP-species-dilution-info": "1/50 - 1/100", "IHCP-species-notes": "<p>Use of an HRP/AP polymerized secondary antibody recommended.</p>", "IP-species-checked": "notRecommended", "IP-species-dilution-info": "", "IP-species-notes": "<p></p>", "FlowCyt-species-checked": "notRecommended", "FlowCyt-species-dilution-info": "", "FlowCyt-species-notes": "<p></p>", "WB-species-checked": "testedAndGuaranteed", "WB-species-dilution-info": "1/1000 - 1/10000", "WB-species-notes": "<p></p>", "ICCIF-species-checked": "testedAndGuaranteed", "ICCIF-species-dilution-info": "1/100 - 1/250", "ICCIF-species-notes": "<p></p>" }, "Mouse": { "IHCP-species-checked": "predicted", "IHCP-species-dilution-info": "", "IHCP-species-notes": "", "IP-species-checked": "notRecommended", "IP-species-dilution-info": "", "IP-species-notes": "", "FlowCyt-species-checked": "notRecommended", "FlowCyt-species-dilution-info": "", "FlowCyt-species-notes": "", "WB-species-checked": "predicted", "WB-species-dilution-info": "", "WB-species-notes": "", "ICCIF-species-checked": "predicted", "ICCIF-species-dilution-info": "", "ICCIF-species-notes": "" }, "Rat": { "IHCP-species-checked": "predicted", "IHCP-species-dilution-info": "", "IHCP-species-notes": "", "IP-species-checked": "notRecommended", "IP-species-dilution-info": "", "IP-species-notes": "", "FlowCyt-species-checked": "notRecommended", "FlowCyt-species-dilution-info": "", "FlowCyt-species-notes": "", "WB-species-checked": "predicted", "WB-species-dilution-info": "", "WB-species-notes": "", "ICCIF-species-checked": "predicted", "ICCIF-species-dilution-info": "", "ICCIF-species-notes": "" } } }

Product details

Patented technology
Our RabMAb® technology is a patented hybridoma-based technology for making rabbit monoclonal antibodies. For details on our patents, please refer to RabMAb® patents.

What are the advantages of a recombinant monoclonal antibody?
This product is a recombinant monoclonal antibody, which offers several advantages including:

  • - High batch-to-batch consistency and reproducibility
  • - Improved sensitivity and specificity
  • - Long-term security of supply
  • - Animal-free batch production

For more information, read more on recombinant antibodies.

Properties and storage information

Form
Liquid
Purity
Tissue culture supernatant
Storage buffer
pH: 7.2 - 7.4 Preservative: 0.01% Sodium azide Constituents: PBS, 50% Tissue culture supernatant, 40% Glycerol (glycerin, glycerine), 0.05% BSA
Shipped at conditions
Blue Ice
Appropriate short-term storage duration
1-2 weeks
Appropriate short-term storage conditions
+4°C
Appropriate long-term storage conditions
-20°C
Aliquoting information
Upon delivery aliquot

Product protocols

For this product, it's our understanding that no specific protocols are required. You can visit:

Target data

Part of the dynactin complex that activates the molecular motor dynein for ultra-processive transport along microtubules.
See full target information DCTN4

Publications (2)

Recent publications for all applications. Explore the full list and refine your search

NPJ Parkinson's disease 9:35 PubMed36879021

2023

Deficiency of Perry syndrome-associated p150 in midbrain dopaminergic neurons leads to progressive neurodegeneration and endoplasmic reticulum abnormalities.

Applications

Unspecified application

Species

Unspecified reactive species

Jia Yu,Xuan Yang,Jiayin Zheng,Carmelo Sgobio,Lixin Sun,Huaibin Cai

International journal of molecular sciences 23: PubMed35409352

2022

Comparative Proteomic Profiling of Secreted Extracellular Vesicles from Breast Fibroadenoma and Malignant Lesions: A Pilot Study.

Applications

Unspecified application

Species

Unspecified reactive species

Katia Pane,Cristina Quintavalle,Silvia Nuzzo,Francesco Ingenito,Giuseppina Roscigno,Alessandra Affinito,Iolanda Scognamiglio,Birlipta Pattanayak,Enrico Gallo,Antonella Accardo,Guglielmo Thomas,Zoran Minic,Maxim V Berezovski,Monica Franzese,Gerolama Condorelli
View all publications

Product promise

We are committed to supporting your work with high-quality reagents, and we're here for you every step of the way. In the unlikely event that one of our products does not perform as expected, you're protected by our Product Promise.
For full details, please see our Terms & Conditions

Please note: All products are 'FOR RESEARCH USE ONLY. NOT FOR USE IN DIAGNOSTIC OR THERAPEUTIC PROCEDURES'.

For licensing inquiries, please contact partnerships@abcam.com