JavaScript is disabled in your browser. Please enable JavaScript to view this website.
AB154290

Anti-DCXR antibody

Be the first to review this product! Submit a review

|

(1 Publication)

Rabbit Polyclonal DCXR antibody. Suitable for IHC-P, WB and reacts with Human samples. Cited in 1 publication. Immunogen corresponding to Recombinant Fragment Protein within Human DCXR aa 1 to C-terminus.

View Alternative Names

SDR20C1, DCXR, L-xylulose reductase, XR, Carbonyl reductase II, Dicarbonyl/L-xylulose reductase, Kidney dicarbonyl reductase, Short chain dehydrogenase/reductase family 20C member 1, Sperm surface protein P34H, kiDCR

2 Images
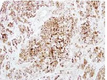
Immunohistochemistry (Formalin/PFA-fixed paraffin-embedded sections) - Anti-DCXR antibody (AB154290)
  • IHC-P

Unknown

Immunohistochemistry (Formalin/PFA-fixed paraffin-embedded sections) - Anti-DCXR antibody (AB154290)

Immunohistochemical analysis of paraffin-embedded Human H661 xenograft tissue labeling DCXR with ab154290 at 1/500 dilution.

Western blot - Anti-DCXR antibody (AB154290)
  • WB

Unknown

Western blot - Anti-DCXR antibody (AB154290)

12% SDS PAGE

All lanes:

Western blot - Anti-DCXR antibody (ab154290) at 1/1000 dilution

All lanes:

HepG2 whole cell lysate at 30 µg

Predicted band size: 26 kDa

false

Key facts

Host species

Rabbit

Clonality

Polyclonal

Isotype

IgG

Carrier free

No

Reacts with

Human

Applications

WB, IHC-P

applications

Immunogen

Recombinant Fragment Protein within Human DCXR aa 1 to C-terminus. The exact immunogen used to generate this antibody is proprietary information.

Q7Z4W1

Reactivity data

{ "title": "Reactivity Data", "filters": { "stats": ["", "Species", "Dilution Info", "Notes"], "tabs": { "all-applications": {"fullname" : "All Applications", "shortname": "All Applications"}, "IHCP" : {"fullname" : "Immunohistochemistry (Formalin/PFA-fixed paraffin-embedded sections)", "shortname":"IHC-P"}, "WB" : {"fullname" : "Western blot", "shortname":"WB"} }, "product-promise": { "all": "all", "testedAndGuaranteed": "tested", "guaranteed": "expected", "predicted": "predicted", "notRecommended": "not-recommended" } }, "values": { "Human": { "IHCP-species-checked": "testedAndGuaranteed", "IHCP-species-dilution-info": "1/100 - 1/1000", "IHCP-species-notes": "<p></p> Perform heat-mediated antigen retrieval with citrate buffer pH 6 before commencing with IHC staining protocol.", "WB-species-checked": "testedAndGuaranteed", "WB-species-dilution-info": "1/500 - 1/3000", "WB-species-notes": "<p></p>" } } }

Properties and storage information

Form
Liquid
Purification technique
Affinity purification Immunogen
Storage buffer
pH: 7 Preservative: 0.01% Thimerosal (merthiolate) Constituents: 20% Glycerol (glycerin, glycerine), 1.21% Tris, 0.75% Glycine
Shipped at conditions
Blue Ice
Appropriate short-term storage conditions
+4°C
Appropriate long-term storage conditions
-20°C
Aliquoting information
Upon delivery aliquot
Storage information
Avoid freeze / thaw cycle

Product protocols

For this product, it's our understanding that no specific protocols are required. You can visit:

Target data

Catalyzes the NADPH-dependent reduction of several pentoses, tetroses, trioses, alpha-dicarbonyl compounds and L-xylulose. Participates in the uronate cycle of glucose metabolism. May play a role in the water absorption and cellular osmoregulation in the proximal renal tubules by producing xylitol, an osmolyte, thereby preventing osmolytic stress from occurring in the renal tubules.
See full target information DCXR

Publications (1)

Recent publications for all applications. Explore the full list and refine your search

BMC cancer 18:723 PubMed29980182

2018

Targeting HOX-PBX interactions causes death in oral potentially malignant and squamous carcinoma cells but not normal oral keratinocytes.

Applications

Unspecified application

Species

Unspecified reactive species

Christopher Platais,Raghu Radhakrishnan,Sven Niklander Ebensperger,Richard Morgan,Daniel W Lambert,Keith D Hunter
View all publications

Product promise

We are committed to supporting your work with high-quality reagents, and we're here for you every step of the way. In the unlikely event that one of our products does not perform as expected, you're protected by our Product Promise.
For full details, please see our Terms & Conditions

Please note: All products are 'FOR RESEARCH USE ONLY. NOT FOR USE IN DIAGNOSTIC OR THERAPEUTIC PROCEDURES'.

For licensing inquiries, please contact partnerships@abcam.com